Skip to main content

Adnexal ring of ectopic pregnancy detected by contrast-enhanced CT

Abstract

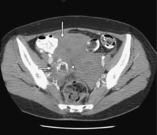
We present a case of a 37-year-old woman who presented with acute right lower quadrant abdominal pain. Work up with contrast enhanced CT to rule out appendicitis revealed dramatic ring enhancing cystic structure in the right adnexa corresponding to tubal ring sign of ectopic pregnancy seen on subsequent pelvic ultrasound. Right tubal ectopic pregnancy was confirmed at surgery.

This is a preview of subscription content, access via your institution.

Fig. 1.
Fig. 2.

References

  1. Dialani V, Levine D (2004) Ectopic pregnancy: a review. Ultrasound Q 20(3):105–117

    PubMed  Article  Google Scholar 

  2. Stein MW, Ricci ZJ, Novac L, Roberts JH, Koenigsberg M (2004) Sonographic comparison of the tubal ring of ectopic pregnancy with the corpus luteum. J Ultrasound Med 23:57–62

    PubMed  Google Scholar 

  3. Fleischer AC, Pennell RG, McKee MS, Worrell JA, Keefe B, Herbert CM, Hill GA, Cartwright PS, Kepple DM (1990) Ectopic pregnancy: features at transvaginal sonography. Radiology 174:375–378

    PubMed  CAS  Google Scholar 

  4. Taylor KJW, Ramos IM, Feyock AL, Snower DP, Carter D, Shapiro BS, Meyer WR, De Cherney AL (1989) Ectopic pregnancy: duplex Doppler evaluation. Radiology 173:93–97

    PubMed  CAS  Google Scholar 

  5. Delabrousse E, Site O, Le Mouel A, Riethmuller D, Kastler B (1999) Intrahepatic pregnancy: sonography and CT findings. AJR 173:1377–1378

    PubMed  CAS  Google Scholar 

  6. Pellerito JS, Taylor KJW, Quedens-Case C, Hammers LW, Scoutt LM, Ramos IM, Meyer WR (1992) Ectopic pregnancy: evaluation with endovaginal color flow imaging. Radiology 183:407–411

    PubMed  CAS  Google Scholar 

  7. Jung SE, Lee JM, Rha SE, Byun JY, Jung JI, Hahn ST (2002) CT and MR imaging of ovarian tumors with emphasis on differential diagnosis. Radiographics 22(6):1305–1325

    PubMed  Article  Google Scholar 

  8. Jeong YY, Outwater EK, Kang HK (2000) Imaging evaluation of ovarian masses. Radiographics 20:1445–1470

    PubMed  CAS  Google Scholar 

Download references

Author information

Affiliations

Authors

Corresponding author

Correspondence to Eugene C. Lin.

Rights and permissions

Reprints and Permissions

About this article

Cite this article

Pham, H., Lin, E.C. Adnexal ring of ectopic pregnancy detected by contrast-enhanced CT. Abdom Imaging 32, 56–58 (2007). https://doi.org/10.1007/s00261-006-9039-6

Download citation

  • Received:

  • Accepted:

  • Published:

  • Issue Date:

  • DOI: https://doi.org/10.1007/s00261-006-9039-6

Keywords

  • Ectopic pregnancy
  • Increased trophoblastic flow
  • Contrast enhanced CT
  • Adnexal ring