Skip to main content

Unusual presentation of acute pancreatitis: an irreducible inguinoscrotal swelling mimicking a strangulated hernia

Abstract

We report an unusual presentation of acute pancreatitis as a tender, irreducible, inguinoscrotal swelling mimicking a strangulated hernia. Lack of abdominal symptoms or signs can lead to misdiagnosis and unnecessary surgery.

This is a preview of subscription content, access via your institution.

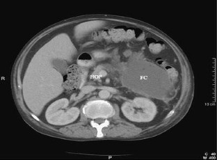
Fig. 1.
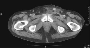
Fig. 2.
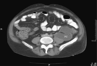
Fig. 3.
Fig. 4.

References

  1. Girotto JA, Shaikh AY, Freeswick PD, Todd LB, Harmon JW (2002) Diverticulitis presenting as a strangulated inguinal hernia. Dig Surg 19:67–70

    PubMed  Article  Google Scholar 

  2. Moissinac K, Boon Chong Se T, Liew NC, Yunus G (2001) Abdominal aortic aneurysm rupture masquerading as strangulated inguinal hernia. Am J Emerg Med 19:604–605

    PubMed  Article  CAS  Google Scholar 

  3. Lee AD, Abraham DT, Agarwal S, Perakath B (2004) The scrotum in pancreatitis: a case report and literature review. Journal of Pancreas 5:357–359

    Google Scholar 

  4. Dennison AR, Royle GT (1984) Acute pancreatitis—presentation as a discoloured lump in the groin. Postgrad Med J 60:374–375

    PubMed  CAS  Article  Google Scholar 

  5. Choong KK (1996) Acute penoscrotal edema due to acute necrotizing pancreatitis. J Ultrasound Med 15:247–278

    PubMed  CAS  Google Scholar 

Download references

Author information

Affiliations

Authors

Corresponding author

Correspondence to M. A. Memon.

Rights and permissions

Reprints and Permissions

About this article

Cite this article

Nazar, M.A., D’Souza, F.R., Ray, A. et al. Unusual presentation of acute pancreatitis: an irreducible inguinoscrotal swelling mimicking a strangulated hernia. Abdom Imaging 32, 116–118 (2007). https://doi.org/10.1007/s00261-006-9003-5

Download citation

  • Published:

  • Issue Date:

  • DOI: https://doi.org/10.1007/s00261-006-9003-5

Keywords

  • Acute pancreatitis
  • Inguinoscrotal swelling
  • Pancreatic necrosis