Skip to main content

Gastric cancer by multidetector row CT: preoperative staging

Abstract

The role of computed tomography (CT) in the preoperative staging of gastric cancer, even if controversial, may be fundamental for evaluating the local extent and nodal involvement of the disease, especially in locally advanced cases. However, previous results of CT staging have not been satisfactory for predicting the invasive depth of the tumor or possible nodal metastases. Recently introduced multidetector row CT (MDCT) and three-dimensional (3D) imaging are expected to overcome the limitations in cancer staging by offering rapid and accurate information for space perception, detailed hemodynamics, and real-time 3D processing of volumetric data sets. In particular, virtual endoscopic imaging may be helpful for detecting early gastric cancer. In our experience, T and N stagings of gastric cancer were improved with 3D MDCT when using volume rendering and virtual endoscopic imaging compared with conventional axial two-dimensional (2D) CT (accuracy of T staging with 3D vs. 2D CT images, 84% vs. 77%; accuracy of N staging, 63% vs. 61% with 3D vs. 2D images, respectively). In particular, the detection rate of early gastric cancer was markedly increased up to 96% when using 3D MDCT. Therefore, we believe that 3D MDCT of the stomach may enhance the performance of CT in the preoperative evaluation of patients who have gastric cancer by offering easy early detection of lesions and accurate tumor staging through the 3D imaging process.

This is a preview of subscription content, access via your institution.

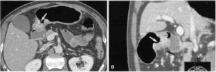
Figure 1
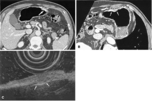
Figure 2
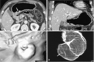
Figure 3
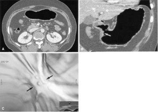
Figure 4
Figure 5

References

  1. DM Balfe RE Koehler N Karstaedt et al. (1981) ArticleTitleComputed tomography of gastric neoplasms Radiology 140 431–436 Occurrence Handle7255719

    PubMed  Google Scholar 

  2. TCB Dehn RH Reznek IB Nockler FE White (1984) ArticleTitleThe preoperative assessment of advanced gastric cancer by computed tomography Br J Surg 71 413–417 Occurrence Handle6722474

    PubMed  Google Scholar 

  3. J Triller R Roder A Stafford R Schroder (1986) ArticleTitleCT in advanced gastric carcinoma: is exploratory avoidable? Eur J Radiol 6 181–186 Occurrence Handle3769940

    PubMed  Google Scholar 

  4. SK Sussman RA Halvorsen SuffixJr FF Illescas et al. (1988) ArticleTitleGastric adenocarcinoma: CT versus surgical staging Radiology 167 335–340 Occurrence Handle3357941

    PubMed  Google Scholar 

  5. JF Botet CJ Lightdale AG Zauber et al. (1991) ArticleTitlePreoperative staging of gastric cancer: comparison of endoscopic US and dynamic CT Radiology 181 426–432 Occurrence Handle1924784

    PubMed  Google Scholar 

  6. M Minami N Kawauchi Y Itai et al. (1992) ArticleTitleGastric tumors: radiologic-pathologic correlation and accuracy of T staging with dynamic CT Radiology 185 173–178 Occurrence Handle1523303

    PubMed  Google Scholar 

  7. K Ziegler C Sanft M Zeitz et al. (1993) ArticleTitleComparison of computed tomography, endosonography, and intraoperative assessment in TN staging of gastric carcinoma Gut 34 604–610 Occurrence Handle8504959

    PubMed  Google Scholar 

  8. JS Cho IK Kim SM Rho et al. (1994) ArticleTitlePreoperative assessment of gastric carcinoma: value of two-phase dynamic CT with mechanical IV injection of contrast material AJR 163 69–75 Occurrence Handle8010251

    PubMed  Google Scholar 

  9. T Fukuya H Honda T Hayashi et al. (1995) ArticleTitleLymph-node metastases: efficacy of detection with helical CT in patients with gastric cancer Radiology 197 705–711 Occurrence Handle7480743

    PubMed  Google Scholar 

  10. T Fukuya H Honda K Kaneko et al. (1997) ArticleTitleEfficacy of helical CT in T-staging of gastric cancer J Comput Assist Tomogr 21 73–81 Occurrence Handle10.1097/00004728-199701000-00014 Occurrence Handle9022773

    Article  PubMed  Google Scholar 

  11. DH Lee YT Ko (1996) ArticleTitleThe findings and the role of axial CT imaging and 3D imaging of gastric lesion by spiral CT J Korean Radiol Soc 35 731–738

    Google Scholar 

  12. I Ogata Y Komohara Y Yamashita K Mitsuzaki M Takahashi M Ogawa (1999) ArticleTitleCT evaluation of gastric lesions with three-dimensional display and interactive virtual endoscopy: comparison with conventional barium study and endoscopy AJR 172 1263–1270 Occurrence Handle10227500

    PubMed  Google Scholar 

  13. RE Dortman MB Alpern BH Gross MA Sandler (1991) ArticleTitleUpper abdominal lymph nodes: criteria for normal size determined with CT Radiology 180 319–322 Occurrence Handle2068292

    PubMed  Google Scholar 

  14. M Matsushita H Oi T Murakami et al. (1994) ArticleTitleExtraserosal invasion in advanced gastric cancer; evaluation with MR imaging Radiology 192 87–91 Occurrence Handle8208971

    PubMed  Google Scholar 

  15. KM Sohn IM Lee SY Lee et al. (2000) ArticleTitleComparing MR imaging and CT in the staging of gastric carcinoma AJR 174 1551–1557 Occurrence Handle10845479

    PubMed  Google Scholar 

  16. NB Mani S Suri S Gupta JD Wig (2001) ArticleTitleTwo-phase dynamic contrast-enhanced computed tomography with water-filling method for staging of gastric carcinoma Clin Imaging 25 38–43 Occurrence Handle10.1016/S0899-7071(99)00134-5 Occurrence Handle11435038

    Article  PubMed  Google Scholar 

  17. HS Kim HY Han JA Choi et al. (2001) ArticleTitlePreoperative evaluation of gastric cancer: value of spiral CT during gastric arteriography (CTGA) Abdom Imaging 26 123–130 Occurrence Handle10.1007/s002610000167 Occurrence Handle11178686

    Article  PubMed  Google Scholar 

  18. F D’Elia A Zingarelli D Palli M Grani (2000) ArticleTitleHydro-dynamic CT preoperative staging of gastric cancer: correlation with pathological findings. A prospective study of 107 cases Eur Radiol 10 1877–1885 Occurrence Handle10.1007/s003300000537 Occurrence Handle11305564

    Article  PubMed  Google Scholar 

  19. DH Lee TS Seo YT Ko (2001) ArticleTitleSpiral CT of the gastric carcinoma: staging and enhancement pattern Clin Imaging 25 32–37 Occurrence Handle10.1016/S0899-7071(01)00245-5 Occurrence Handle11435037

    Article  PubMed  Google Scholar 

  20. JF Botet C Lighdale AG Zauber et al. (1991) ArticleTitlePreoperative staging of gastric cancer; comparison of endoscopic US and dynamic CT Radiology 181 426–432 Occurrence Handle1924784

    PubMed  Google Scholar 

  21. K Akahpshi MT Isawa H Fujishima et al. (1991) ArticleTitlePreoperative evaluation of gastric cancer by endoscopic ultrasound Gut 32 479–482 Occurrence Handle2040468

    PubMed  Google Scholar 

  22. K Akahpshi T Misawa H Fujishima et al. (1992) ArticleTitleRegional lymph node metastasis in gastric cancer: evaluation with endoscopic US Radiology 182 559–564 Occurrence Handle1732981

    PubMed  Google Scholar 

  23. Kim HJ, Kim AY, Ha HK, Kim TK, Kim PN, Lee MG (2005) Preoperative staging of gastric cancer: comparison of two-dimensional and three-dimensional images with multi detector row CT. Radiology (in print)

    Google Scholar 

  24. S Bhandari CS Shim JH Kim et al. (2004) ArticleTitleUsefulness of three-dimensional, multi detector row CT (virtual gastroscopy and multiplanar reconstruction) in the evaluation of gastric cancer: a comparison with conventional endoscopy, EUS, and histopathology Gastrointest Endosc 59 619–626 Occurrence Handle10.1016/S0016-5107(04)00169-5 Occurrence Handle15114303

    Article  PubMed  Google Scholar 

  25. IA Stabile P Pedote A Scardapane et al. (2003) ArticleTitlePreoperative staging of gastric carcinoma with multidetector spiral CT Radiol Med 106 467–480

    Google Scholar 

  26. CR Habermann F Weiss R Riecken et al. (2004) ArticleTitlePreoperative staging of gastric adenocarcinoma: comparison of helical CT and endoscopic US Radiology 230 465–471 Occurrence Handle14752188

    PubMed  Google Scholar 

  27. S Hori K Tsuda S Murayama et al. (1992) ArticleTitleCT of gastric carcinoma: preliminary results with a new scanning technique Radiographics 12 257–268 Occurrence Handle1561415

    PubMed  Google Scholar 

  28. M Rossi L Broglia F Maccioni et al. (1997) ArticleTitleHydro-CT in patients with gastric cancer: preoperative radiologic staging Eur Radiol 7 659–664 Occurrence Handle9166562

    PubMed  Google Scholar 

  29. K Tsuda S Hori T Murakami et al. (1995) ArticleTitleIntramural invasion of gastric cancer: evaluation by CT with water-filling method J Comput Assisted Tomogr 6 941–947

    Google Scholar 

  30. M Takao T Fukuda S Iwanaga et al. (1998) ArticleTitleGastric cancer: evaluation of triphasic spiral CT and radiologic-pathologic correlation J Comput Assist Tomogr 2 288–294 Occurrence Handle10.1097/00004728-199803000-00024

    Article  Google Scholar 

  31. W Hundt R Braunschweig M Reiser (1999) ArticleTitleAssessment of gastric cancer: value of breath-hold technique and two-phase spiral CT Eur Radiol 9 68–72 Occurrence Handle10.1007/s003300050630 Occurrence Handle9933383

    Article  PubMed  Google Scholar 

  32. DH Lee YT Ko (1998) ArticleTitleThe role of 3D spiral CT in early gastric carcinoma J Comput Assist Tomogr 22 709–713 Occurrence Handle10.1097/00004728-199809000-00007 Occurrence Handle9754102

    Article  PubMed  Google Scholar 

  33. AY Kim JK Han CK Seong et al. (2000) ArticleTitleMRI in staging advanced gastric cancer: is it useful compared with spiral CT? J Comput Assist Tomogr 24 389–394 Occurrence Handle10.1097/00004728-200005000-00006 Occurrence Handle10864073

    Article  PubMed  Google Scholar 

  34. G Belcastro V Nicolanti M Ferri et al. (1990) ArticleTitlePrognostic factors in stomach cancer: invasion of gastric serosa and lymph node involvement [in Italian] Minerva Chir 45 1287–1291 Occurrence Handle2082206

    PubMed  Google Scholar 

  35. DH Lee (1998) ArticleTitleThree-dimensional imaging of the stomach by spiral CT J Comput Assist Tomogr 22 52–58 Occurrence Handle10.1097/00004728-199801000-00009 Occurrence Handle9448761

    Article  PubMed  Google Scholar 

  36. Ko EY, Kim AY, Ha HK, et al. (2003). Performance of CT gastroscopy using multi detector row CT in evaluating gastric cancer. Presented at the Annual Meeting of the RSNA; Chicago, Illinois

  37. A Magnusson T Anderson B Larsson et al. (1989) ArticleTitleContrast enhancement of pathologic lymph nodes demonstrated by computed tomography Acta Radiol 30 307–310 Occurrence Handle2736185

    PubMed  Google Scholar 

Download references

Author information

Affiliations

Authors

Corresponding author

Correspondence to A. Y. Kim.

Rights and permissions

Reprints and Permissions

About this article

Cite this article

Kim, A.Y., Kim, H.J. & Ha, H.K. Gastric cancer by multidetector row CT: preoperative staging. Abdom Imaging 30, 465–472 (2005). https://doi.org/10.1007/s00261-004-0273-5

Download citation

  • Published:

  • Issue Date:

  • DOI: https://doi.org/10.1007/s00261-004-0273-5

Keywords

  • Stomach
  • Neoplasms, Stomach
  • Computed tomography
  • Computed tomographic technique
  • Multidetector row computed tomography