Skip to main content

Pathology of cholangiocarcinoma

This is a preview of subscription content, access via your institution.

Fig. 1.
Fig. 2.
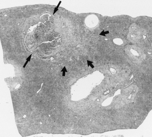
Fig. 3.
Fig. 4.
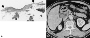
Fig. 5.
Fig. 6.
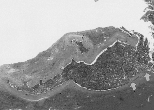
Fig. 7.
Fig. 8.
Fig. 9.
Fig. 10.
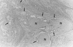
Fig. 11.
Fig. 12.
Fig. 13.
Fig. 14.
Fig. 15.
Fig. 16.
Fig. 17.

References

  1. H Eggel (1901) ArticleTitleUber das primare Carcinoma der Leber Beitr Pathol Anat Allg Pathol 30 506–604

    Google Scholar 

  2. T Rosai (1996) Ackerman’s surgical pathology, 8th ed Mosby St Louis

    Google Scholar 

  3. K Weinbren SS Mutum (1983) ArticleTitlePathological aspects of cholangiocarcinoma J Pathol 139 217–238 Occurrence Handle1:STN:280:BiyC3sfht1w%3D Occurrence Handle6298394

    CAS  PubMed  Google Scholar 

  4. WJ Lee HK Lim KM Jang et al. (2001) ArticleTitleRadiologic spectrum of cholangiocarcinoma: emphasis on unusual manifestations and differential diagnosis Radiographics 21 97–116

    Google Scholar 

  5. R Robledo A Muro ML Prieto (1996) ArticleTitleExtrahepatic bile duct carcinoma: US characteristics and accuracy in demonstration of tumors Radiology 198 869–873 Occurrence Handle1:STN:280:BymC1MvhtVA%3D Occurrence Handle8628885

    CAS  PubMed  Google Scholar 

  6. BI Choi JH Lee MC Han et al. (1989) ArticleTitleHilar cholangiocarcinoma: comparative study with sonography and CT Radiology 172 689–692 Occurrence Handle1:STN:280:BiaA28jotlY%3D Occurrence Handle2549565

    CAS  PubMed  Google Scholar 

  7. InstitutionalAuthorNameLiver Cancer Study Group of Japan (2000) The general rules for the clinical and pathological study of primary liver cancer, 4th ed Kanehara Tokyo

    Google Scholar 

  8. JH Lim (2003) ArticleTitleCholangiocarcinoma: morphologic classification according to growth pattern and imaging findings AJR 181 819–827 Occurrence Handle12933488

    PubMed  Google Scholar 

  9. InstitutionalAuthorNameJapanese Society of Biliary Surgery (2001) General rules for surgical and pathological studies on cancer of biliary tract, 1st English ed Kanehara Tokyo

    Google Scholar 

  10. G Klaskin (1965) ArticleTitleAdenocarcinoma of the hepatic duct at its bifurcation within the porta hepatitis Am J Med 38 241–256 Occurrence Handle10.1016/0002-9343(65)90178-6 Occurrence Handle14256720

    Article  PubMed  Google Scholar 

  11. S Stains D Parekh R Selby (1996) Tumors of the gallbladder and the biliary tract N Kaplowitz (Eds) Liver and biliary diseases, 2nd ed Williams & Wilkins Baltimore 730–734

    Google Scholar 

  12. JK Han BI Choi AY Kim et al. (2002) ArticleTitleCholangiocarcinoma: pictorial essay of CT and cholangiographic findings Radiographics 22 173–187 Occurrence Handle11796906

    PubMed  Google Scholar 

  13. PP Anthony (2002) Tumors and tumor-like lesions of the liver and biliary tract: aetiology, epidemiology and pathology RNM McCsween AD Burt BC Portmann (Eds) et al. Pathology of the liver, 4th ed Churchill Livingstone Edinburgh 743–747

    Google Scholar 

  14. KT Watkins SA Curley (2000) Liver and bile ducts MD Abeloff JO Armitage AS Lichter JE Niederhuber (Eds) Clinical oncology, 2nd ed Churchill Livingstone Edinburgh 1722–1723

    Google Scholar 

  15. T Sano J Kamiya M Nagino et al. (1999) ArticleTitleMacroscopic classification and preoperative diagnosis of intrahepatic cholangiocarcinomas in Japan J Hepatobil Pancreat Surg 6 101–107 Occurrence Handle10.1007/s005340050091 Occurrence Handle1:STN:280:DyaK1MzivFemug%3D%3D

    Article  CAS  Google Scholar 

  16. P Soyer DA Bluemke R Reichle et al. (1995) ArticleTitleImaging of intrahepatic cholangiocarcinoma. 1. Peripheral cholangiocarcinoma AJR 165 1427–1431 Occurrence Handle1:STN:280:BymD2s3mvFU%3D Occurrence Handle7484579

    CAS  PubMed  Google Scholar 

  17. JH Lim C Yi HK Lim et al. (2002) ArticleTitleRadiological spectrum of intraductal papillary tumors of the bile ducts Korean J Radiol 3 57–63 Occurrence Handle11919480

    PubMed  Google Scholar 

  18. YS Kim ST Myung SY Kim et al. (1998) ArticleTitleBiliary papillomatosis: clinical, cholangiographic and cholangioscopic findings Endoscopy 30 763–767 Occurrence Handle1:STN:280:DyaK1M7ivFGgtw%3D%3D Occurrence Handle9932755

    CAS  PubMed  Google Scholar 

  19. JW Lee JK Han TK Kim et al. (2000) ArticleTitleCT features of intraductal intrahepatic cholangiocarcinoma AJR 175 721–725 Occurrence Handle1:STN:280:DC%2BD3cvnsFaruw%3D%3D Occurrence Handle10954456

    CAS  PubMed  Google Scholar 

  20. KH Yoon HK Han CG Kim et al. (2000) ArticleTitleMalignant papillary neoplasms of intrahepatic bile ducts. CT and histopathologic features AJR 175 1135–1139 Occurrence Handle1:STN:280:DC%2BD3cvpvVyqsw%3D%3D Occurrence Handle11000178

    CAS  PubMed  Google Scholar 

  21. JH Lim MH Kim TK Kim et al. (2003) ArticleTitlePapillary neoplasms of the bile duct that mimic biliary stone disease Radiographics 23 447–455 Occurrence Handle12640158

    PubMed  Google Scholar 

  22. JH Lim KH Yoon SH Kim (2004) ArticleTitleIntraductal papillary mucinous tumor of the bile ducts Radiographics 24 53–67 Occurrence Handle14730036

    PubMed  Google Scholar 

  23. MT Dayton WP Longmire RK Tompkins (1983) ArticleTitleCaroli’s disease: a premalignant condition Am J Surg 145 41–47 Occurrence Handle10.1016/0002-9610(83)90164-2 Occurrence Handle1:STN:280:BiyD1MfhsVM%3D Occurrence Handle6295196

    Article  CAS  PubMed  Google Scholar 

  24. RL Rossi ML Silverman JW Braasch et al. (1987) ArticleTitleCarcinomas arising in cystic conditions of the bile ducts Ann Surg 205 377–384 Occurrence Handle1:STN:280:BiiC1czntFw%3D Occurrence Handle3566373

    CAS  PubMed  Google Scholar 

  25. T Todani Y Watanabe A Toki N Urushihara (1987) ArticleTitleCarcinoma related to choledochal cysts with internal drainage operations Surg Gynecol Obstet 164 61–64 Occurrence Handle1:STN:280:BiiD1MvlslQ%3D Occurrence Handle3026058

    CAS  PubMed  Google Scholar 

  26. T Nakajima Y Kondo M Miyazaki K Okui (1988) ArticleTitleA histopathologic study of 102 cases of intrahepatic cholangiocarcinoma: histologic classification and mode of spreading Hum Pathol 19 1228–1234 Occurrence Handle1:STN:280:BiaD3cnmtlA%3D Occurrence Handle2844646

    CAS  PubMed  Google Scholar 

  27. A Sasaki M Aramaki K Kawano et al. (1998) ArticleTitleIntrahepatic peripheral cholangiocarcinoma: mode of spread and choice of surgical treatment Br J Surg 85 1206–1209 Occurrence Handle10.1046/j.1365-2168.1998.00815.x Occurrence Handle1:STN:280:DyaK1cvitlOrsA%3D%3D Occurrence Handle9752860

    Article  CAS  PubMed  Google Scholar 

  28. T Terada T Kida Y Nakanuma T Noguchi (1991) ArticleTitleExtensive portal tumor thrombi with portal hypertension in an autopsy case of intrahepatic cholangiocarcinoma Am J Gastroenterol 87 1513–1518

    Google Scholar 

  29. MR Bhuiya Y Nimura J Kamiya et al. (1992) ArticleTitleClinicopathologic studies on perineural invasion of bile duct carcinoma Ann Surg 215 344–349 Occurrence Handle1:STN:280:By2B3MvpvVM%3D Occurrence Handle1558415

    CAS  PubMed  Google Scholar 

  30. S Isaji Y Kawarada H Taoka et al. (1999) ArticleTitleClinicopathological features and outcome of hepatic resection for intrahepatic cholangiocarcinoma in Japan J Hepatobil Pancreat Surg 6 108–116 Occurrence Handle10.1007/s005340050092 Occurrence Handle1:STN:280:DyaK1MzivFemuw%3D%3D

    Article  CAS  Google Scholar 

  31. M Yamamoto K Takasaki T Yoshikawa et al. (1998) ArticleTitleDoes gross appearance indicate prognosis in intrahepatic cholangiocarcinoma J Surg Oncol 69 162–167 Occurrence Handle10.1002/(SICI)1096-9098(199811)69:3<162::AID-JSO8>3.0.CO;2-L Occurrence Handle1:STN:280:DyaK1M%2FmtV2gtQ%3D%3D Occurrence Handle9846503

    Article  CAS  PubMed  Google Scholar 

  32. K Ohashi Y Nakajima M Tsutsumi et al. (1994) ArticleTitleClinical characteristics and proliferating activity of intrahepatic cholangiocarcinoma J Gastroenterol Hepatol XXX 442–446

    Google Scholar 

  33. YH Joo S-J Myung MH Kim et al. (1999) ArticleTitleClinical study on 193 cases of extrahepatic bile duct carcinoma and its prognostic factors [in Korean] Korean J Dig Dis 33 114–123

    Google Scholar 

Download references

Author information

Affiliations

Authors

Rights and permissions

Reprints and Permissions

About this article

Cite this article

Lim, J., Park, C. Pathology of cholangiocarcinoma. Abdom Imaging 29, 540–547 (2004). https://doi.org/10.1007/s00261-004-0187-2

Download citation

  • Published:

  • Issue Date:

  • DOI: https://doi.org/10.1007/s00261-004-0187-2

Keywords

  • Bile Duct
  • Cholangiocarcinoma
  • Obstructive Jaundice
  • Bile Duct Stone
  • Extrahepatic Bile Duct