Skip to main content

Usual and unusual causes of extrahepatic cholestasis: assessment with magnetic resonance cholangiography and fast MRI

Abstract

Cholestasis may result from hepatocellular (intrahepatic) disease or biliary tract (extrahepatic) abnormalities. Etiologies causing extrahepatic cholestasis are extremely diverse and invasive procedures, such as endoscopic retrograde cholangiopancreatography (ERCP) and percutaneous transhepatic cholangiography (PTC), were previously required to establish the diagnosis. Due to refinements of magnetic resonance imaging (MRI) techniques, the patient with extrahepatic cholestasis currently can be evaluated noninvasively, and the information revealed frequently exceeds the findings obtained by ERCP and PTC. In this essay, we illustrate the classic MR cholangiographic (MRC) and MRI features of a variety of disorders causing extrahepatic cholestasis, including non-neoplastic disorders of the biliary tract (congenital abnormalities, infectious processes, iatrogenic disorders, and postsurgical complications) and neoplastic conditions (e.g., tumors of the pancreas, biliary tree, liver, ampulla, and regional lymph nodes). In most cases, familiarity with the key MRC features in addition to information obtained via cross-sectional MR images provide sufficient information for adequate lesion characterization.

This is a preview of subscription content, access via your institution.

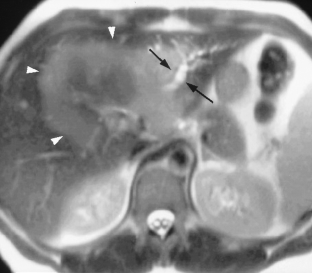
Figure 1
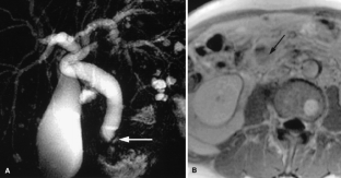
Figure 2
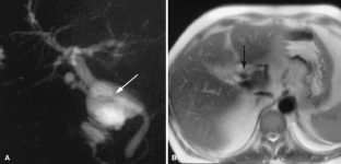
Figure 3
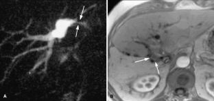
Figure 4
Figure 5
Figure 6
Figure 7
Figure 8
Figure 9
Figure 10
Figure 11
Figure 12
Figure 13
Figure 14
Figure 15
Figure 16
Figure 17
Figure 18
Figure 19
Figure 20
Figure 21
Figure 22
Figure 23

References

  1. A Fulcher M.A Turner G Capps (1999) ArticleTitleMR Cholangiography: technical advances and clinical applications. Radiographics 19 25–41 Occurrence Handle1:STN:280:DyaK1M7it1Oquw%3D%3D Occurrence Handle9925390

    CAS  PubMed  Google Scholar 

  2. L Van Hoe D Vanbeckevoort W Van Steenbergen (1999) Atlas of cross-sectional and projective MR cholangiopancreatography. Springer-Verlag Berlin

    Google Scholar 

  3. N Holzknecht et al. (1998) ArticleTitleBreath-hold MR cholangiography with snapshot techniques: prospective comparison with endoscopic retrograde cholangiography. Radiology 206 657–664 Occurrence Handle1:STN:280:DyaK1c7lsFGrtQ%3D%3D Occurrence Handle9494483

    CAS  PubMed  Google Scholar 

  4. SL Shih JCT Lin HC Lee et al. (1992) ArticleTitleUnusual causes of obstructive jaundice in children: diagnosis on CT. Pediatr Radiol 22 512–514 Occurrence Handle1:STN:280:ByyC2cbmvF0%3D Occurrence Handle1337201

    CAS  PubMed  Google Scholar 

  5. S Vedantham FC Taylor DK Yousefzadeh et al. (1992) ArticleTitleAbdominal pain in a young girl due to congenital stenosis of the common bile duct with mucus plug formation. J Pediatr Gastroenterol Nutr 15 440–443 Occurrence Handle1:STN:280:ByyC3cfht1M%3D Occurrence Handle1469527

    CAS  PubMed  Google Scholar 

  6. ME Dolar KB Ates AR Dalay et al. (1993) ArticleTitleCongenital stricture of the common hepatic duct due to a web: an unusual case without jaundice. Hepatogastroenterology 40 194–195 Occurrence Handle1:STN:280:ByyB1crmtV0%3D Occurrence Handle8509055

    CAS  PubMed  Google Scholar 

  7. FM Karrer RJ Hall BA Stewart et al. (1990) ArticleTitleCongenital biliary tract disease. Surg Clin North Am 70 1403–1418 Occurrence Handle1:STN:280:By6D283ot1M%3D Occurrence Handle2247822

    CAS  PubMed  Google Scholar 

  8. AK Sharma A Wakhlu SS Sharma (1995) ArticleTitleThe role of endoscopic retrograde cholangiopancreatography in the management of choledochal cysts in children. J Pediatr Surg 30 65–67 Occurrence Handle10.1016/0022-3468(95)90612-6 Occurrence Handle1:STN:280:ByqB3sblsVI%3D Occurrence Handle7722833

    Article  CAS  PubMed  Google Scholar 

  9. CA Rohrman RL Baron (1989) ArticleTitleBiliary complications of pancreatitis. Radiol Clin North Am 27 93–104 Occurrence Handle2642280

    PubMed  Google Scholar 

  10. CBLM Majoie JW Reeders JB Sanders et al. (1991) ArticleTitlePrimary sclerosing cholangitis: a modified classification of cholangiographic findings. AJR 157 495–497 Occurrence Handle1:STN:280:By6A3snhslM%3D Occurrence Handle1651643

    CAS  PubMed  Google Scholar 

  11. GD Dodd GA Niedzwiecki WL Campbell et al. (1997) ArticleTitleBile duct calculi in patients with primary sclerosing cholangitis. Radiology 203 443–447 Occurrence Handle9114102

    PubMed  Google Scholar 

  12. LH Lim (1991) ArticleTitleOriental cholangiohepatitis: pathologic, clinical, and radiological features. AJR 157 1–8 Occurrence Handle1:STN:280:By6B28zptFM%3D Occurrence Handle2048504

    CAS  PubMed  Google Scholar 

  13. L Van Hoe D Vanbeckevoort S Gryspeerdt et al. (1997) ArticleTitleMR cholangiography of periampullary lesions: potential pitfalls in diagnosis. Radiology 205(P) 709

    Google Scholar 

  14. A Fulcher MA Turner (1999) ArticleTitleOrthotopic liver transplantation: evaluation with MR cholangiography. Radiology 211 715–722 Occurrence Handle1:STN:280:DyaK1M3otVylsA%3D%3D Occurrence Handle10352596

    CAS  PubMed  Google Scholar 

  15. A Laghi P Pavone C Catalano et al. (1999) ArticleTitleMR cholangiography of late biliary complications after liver transplantation. AJR 172 1541–1546 Occurrence Handle1:STN:280:DyaK1M3nslOruw%3D%3D Occurrence Handle10350286

    CAS  PubMed  Google Scholar 

  16. V Meersschaut KJ Mortelé T Troisi et al. (2000) ArticleTitleValue of MRC in the evaluation of postoperative biliary complications following OLT. Eur Radiol 10 1576–1581 Occurrence Handle10.1007/s003300000379 Occurrence Handle1:STN:280:DC%2BD3crgtVOiuw%3D%3D Occurrence Handle11044927

    Article  CAS  PubMed  Google Scholar 

  17. DJ Deziel KW Millikan SG Economou et al. (1993) ArticleTitleComplications of laparoscopic cholecystectomy: a national survey of 4292 hospitals and analysis of 77604 cases. Am J Surg 165 9–14 Occurrence Handle1:STN:280:ByyC3MfosVM%3D Occurrence Handle8418705

    CAS  PubMed  Google Scholar 

  18. C Reinhold PM Bret (1996) ArticleTitleCurrent status of MR cholangiopancreatography. AJR . 1285–1295 Occurrence Handle8633434

    PubMed  Google Scholar 

  19. RE Koehler GL Melson JK Lee et al. (1979) ArticleTitleCommon hepatic duct obstruction by cystic duct stone: Mirizzi syndrome. AJR 132 1007–1009 Occurrence Handle1:STN:280:CSaC1cvot1Y%3D Occurrence Handle108950

    CAS  PubMed  Google Scholar 

  20. TS Yeh YY Jan JH Tseng et al. (2000) ArticleTitleMalignant perihilar biliary obstruction: magnetic resonance cholangiopancreatographic findings. Am J Gastroenterol 95 432–440 Occurrence Handle1:STN:280:DC%2BD3c7kvVWrsA%3D%3D Occurrence Handle10685746

    CAS  PubMed  Google Scholar 

  21. GS Allaire L Rabin KG Ishak et al. (1988) ArticleTitleBile duct adenoma: a study of 152 cases. Am J Surg Pathol 12 708–715 Occurrence Handle1:STN:280:BieA38vnvVQ%3D Occurrence Handle3046396

    CAS  PubMed  Google Scholar 

  22. AL Warshaw CF Castillo (1992) ArticleTitlePancreatic carcinoma. N EngI J Med 326 455–465 Occurrence Handle1:STN:280:By2C38zivVA%3D

    CAS  Google Scholar 

  23. AD Vellet W Romano DB Bach et al. (1992) ArticleTitleAdenocarcinoma of the pancreatic ducts: comparative evaluation with CT and MR imaging at 1.5 T. Radiology 183 87–95 Occurrence Handle1:STN:280:By2C1Mnjt1U%3D Occurrence Handle1312736

    CAS  PubMed  Google Scholar 

  24. RC Semelka SM Ascher (1993) ArticleTitleMR imaging of the pancreas. Radiology 188 593–602 Occurrence Handle1:STN:280:ByyA2MvpvVY%3D Occurrence Handle8351317

    CAS  PubMed  Google Scholar 

  25. PJ Mergo TK Helmberger PC Buetow et al. (1997) ArticleTitlePancreatic neoplasms: MR imaging and pathologic correlation. Radiographics 17 281–301 Occurrence Handle1:STN:280:ByiB3sjmtVA%3D Occurrence Handle9084072

    CAS  PubMed  Google Scholar 

  26. AJ Megibow XH Zhou H Rotterdam et al. (1995) ArticleTitlePancreatic adenocarcinoma: CT versus MR imaging in the evaluation of resectability—report of the radiology diagnostic oncology group. Radiology 195 327–332 Occurrence Handle1:STN:280:ByqB2c7ntVU%3D Occurrence Handle7724748

    CAS  PubMed  Google Scholar 

  27. KJ Mortelé M Praet H Van Vlierberghe et al. (2000) ArticleTitleCT and MRI findings in focal nodular hyperplasia: radiologic–pathologic correlation. AJR 175 687–692 Occurrence Handle10954451

    PubMed  Google Scholar 

  28. V Vilgrain BE Van Beers JF Flejou et al. (1997) ArticleTitleIntrahepatic cholangiocarcinoma: MRI and pathologic correlation in 14 patients. J Comput Assist Tomogr 21 59–65 Occurrence Handle10.1097/00004728-199701000-00012 Occurrence Handle1:STN:280:ByiC2srhtFU%3D Occurrence Handle9022771

    Article  CAS  PubMed  Google Scholar 

Download references

Author information

Affiliations

Authors

Rights and permissions

Reprints and Permissions

About this article

Cite this article

Mortelé, K., Wiesner, W., Cantisani, V. et al. Usual and unusual causes of extrahepatic cholestasis: assessment with magnetic resonance cholangiography and fast MRI . Abdom Imaging 29, 87–99 (2004). https://doi.org/10.1007/s00261-003-0062-6

Download citation

  • Received:

  • Published:

  • Issue Date:

  • DOI: https://doi.org/10.1007/s00261-003-0062-6

Keywords

  • Magnetic resonance imaging—Extrahepatic cholestasis—Pancreas
  • neoplasms