Skip to main content

Comparison of 3′-deoxy-3′-[18F]fluorothymidine positron emission tomography (FLT PET) and FDG PET/CT for the detection and characterization of pancreatic tumours

Abstract

Purpose

Despite recent advances in clinical imaging modalities, differentiation of pancreatic masses remains difficult. Here, we tested the diagnostic accuracy of molecular-based imaging including 3′-deoxy-3′-[18F]fluorothymidine (FLT) positron emission tomography (PET) and [18F]fluorodeoxyglucose (FDG) PET/CT in patients with suspected pancreatic masses scheduled to undergo surgery.

Methods

A total of 46 patients with pancreatic tumours suspicious for malignancy and scheduled for resective surgery were recruited prospectively. In 41 patients, FLT PET and FDG PET/CT scans were performed. A diagnostic CT performed on a routine basis was available in 31 patients. FLT PET and FDG PET/CT emission images were acquired according to standard protocols. Tracer uptake in the tumour [FDG and FLT standardized uptake value (SUV)] was quantified by the region of interest (ROI) technique. For FDG PET/CT analysis, correct ROI placement was ensured via side-by-side reading of corresponding CT images.

Results

Of 41 patients, 33 had malignancy, whereas 8 patients had benign disease. Visual analysis of FDG and FLT PET resulted in sensitivity values of 91% (30/33) and 70% (23/33), respectively. Corresponding specificities were 50% (4/8) for FDG PET and 75% (6/8) for FLT PET. In the subgroup of patients with contrast-enhanced CT (n = 31), sensitivities were 96% (PET/CT), 88% (CT alone), 92% (FDG PET) and 72% (FLT PET), respectively. Mean FLT uptake in all malignant tumours was 3.0 (range SUVmax 1.1–6.5; mean FDG SUVmax 7.9, range 3.3–17.8; p < 0.001).

Conclusion

For differentiation of pancreatic tumours, FDG PET and FDG PET/CT showed a higher sensitivity but lower specificity than FLT PET. Interestingly, visual analysis of FLT PET led to two false-positive findings by misinterpreting physiological bowel uptake as pathological FLT uptake in the pancreas. Due to the limited number of patients, the clinical value of adding FLT PET to the diagnostic workup of pancreatic tumours remains to be determined.

This is a preview of subscription content, access via your institution.

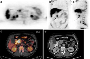
Fig. 1

References

  1. Balthazar EJ. Pancreatitis associated with pancreatic carcinoma. Preoperative diagnosis: role of CT imaging in detection and evaluation. Pancreatology 2005;5:330–44.

    PubMed  Article  CAS  Google Scholar 

  2. Ardengh JC, Lopes CV, Campos AD, Pereira de Lima LF, Venco F, Módena JL. Endoscopic ultrasound and fine needle aspiration in chronic pancreatitis: differential diagnosis between pseudotumoral masses and pancreatic cancer. JOP 2007;8:413–21.

    PubMed  Google Scholar 

  3. Diederichs CG, Staib L, Glatting G, Beger HG, Reske SN. FDG PET: elevated plasma glucose reduces both uptake and detection rate of pancreatic malignancies. J Nucl Med 1998;39:1030–3.

    PubMed  CAS  Google Scholar 

  4. Friess H, Langhans J, Ebert M, Beger HG, Stollfuss J, Reske SN, et al. Diagnosis of pancreatic cancer by 2[18F]-fluoro-2-deoxy-D-glucose positron emission tomography. Gut 1995;36:771–7.

    PubMed  Article  CAS  Google Scholar 

  5. Heinrich S, Goerres GW, Schäfer M, Sagmeister M, Bauerfeind P, Pestalozzi BC, et al. Positron emission tomography/computed tomography influences on the management of resectable pancreatic cancer and its cost-effectiveness. Ann Surg 2005;242:235–43.

    PubMed  Article  Google Scholar 

  6. Buck AC, Schirrmeister HH, Guhlmann CA, Diederichs CG, Shen C, Buchmann I, et al. Ki-67 immunostaining in pancreatic cancer and chronic active pancreatitis: does in vivo FDG uptake correlate with proliferative activity? J Nucl Med 2001;42:721–5.

    PubMed  CAS  Google Scholar 

  7. Shields AF, Grierson JR, Dohmen BM, Machulla HJ, Stayanoff JC, Lawhorn-Crews JM, et al. Imaging proliferation in vivo with [F-18]FLT and positron emission tomography. Nat Med 1998;4:1334–6.

    PubMed  Article  CAS  Google Scholar 

  8. Herrmann K, Eckel F, Schmidt S, Scheidhauer K, Krause BJ, Kleeff J, et al. In vivo characterization of proliferation for discriminating cancer from pancreatic pseudotumors. J Nucl Med 2008;49:1437–44. doi:10.2967/jnumed.108.052027.

    PubMed  Article  CAS  Google Scholar 

  9. Buchs NC, Bühler L, Bucher P, Willi JP, Frossard JL, Roth AD, et al. Value of contrast-enhanced 18F-fluorodeoxyglucose positron emission tomography/computed tomography in detection and presurgical assessment of pancreatic cancer: a prospective study. J Gastroenterol Hepatol 2011;26:657–62. doi:10.1111/j.1440-1746.2010.06525.x.

    PubMed  Article  Google Scholar 

  10. Tang S, Huang G, Liu J, Liu T, Treven L, Song S, et al. Usefulness of 18F-FDG PET, combined FDG-PET/CT and EUS in diagnosing primary pancreatic carcinoma: a meta-analysis. Eur J Radiol 2011;78:142–50. doi:10.1016/j.ejrad.2009.09.026.

    PubMed  Article  Google Scholar 

  11. Quon A, Chang ST, Chin F, Kamaya A, Dick DW, Loo BW Jr., et al. Initial evaluation of (18)F-fluorothymidine (FLT) PET/CT scanning for primary pancreatic cancer. Eur J Nucl Med Mol Imaging 2008;35:527–31.

    PubMed  Article  CAS  Google Scholar 

  12. Troost EG, Vogel WV, Merkx MA, Slootweg PJ, Marres HA, Peeters WJ, et al. 18F-FLT PET does not discriminate between reactive and metastatic lymph nodes in primary head and neck cancer patients. J Nucl Med 2007;48:726–35.

    PubMed  Article  Google Scholar 

  13. Buck AK, Hetzel M, Schirrmeister H, Halter G, Möller P, Kratochwil C, et al. Clinical relevance of imaging proliferative activity in lung nodules. Eur J Nucl Med Mol Imaging 2005;32:525–33.

    PubMed  Article  Google Scholar 

  14. Francis DL, Freeman A, Visvikis D, Costa DC, Luthra SK, Novelli M, et al. In vivo imaging of cellular proliferation in colorectal cancer using positron emission tomography. Gut 2003;52:1602–6.

    PubMed  Article  CAS  Google Scholar 

Download references

Conflicts of interest

None.

Author information

Affiliations

Authors

Corresponding author

Correspondence to K. Herrmann.

Additional information

K. Herrmann and M. Erkan contributed equally to this work.

Rights and permissions

Reprints and Permissions

About this article

Cite this article

Herrmann, K., Erkan, M., Dobritz, M. et al. Comparison of 3′-deoxy-3′-[18F]fluorothymidine positron emission tomography (FLT PET) and FDG PET/CT for the detection and characterization of pancreatic tumours. Eur J Nucl Med Mol Imaging 39, 846–851 (2012). https://doi.org/10.1007/s00259-012-2061-8

Download citation

  • Received:

  • Accepted:

  • Published:

  • Issue Date:

  • DOI: https://doi.org/10.1007/s00259-012-2061-8

Keywords

  • Pancreatic cancer
  • PET
  • Proliferation
  • FLT
  • FDG