Skip to main content

Incidental pituitary uptake on whole-body 18F-FDG PET/CT: a multicentre study

Abstract

Purpose

The purpose of this study was to determine the incidence of incidental pituitary uptake on whole-body 18F-fluorodeoxyglucose (FDG) positron emission tomography/computed tomography (PET/CT) and to investigate its clinical significance.

Methods

The files of 40,967 patients who underwent whole-body FDG PET/CT were retrospectively reviewed. Quantification of pituitary metabolic activity was obtained by using the maximum standardized uptake value (SUVmax). Hormone assays and pituitary MRIs were performed to assess pituitary lesions.

Results

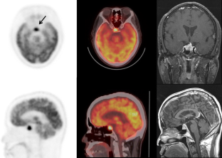
Focally increased pituitary FDG uptake on PET/CT was found in 30 of 40,967 patients, accounting for an incidence of 0.073%. The mean SUVmax of 30 patients was 8.9 ± 6.6 (range: 3.2–32.6). Histological diagnosis was obtained in three patients and included two growth hormone-secreting adenomas and one non-functioning adenoma. Hormone assays were performed on serum samples from 11 patients, 2 of whom were shown to have hypersecretion of pituitary hormone. MRI was performed on 19 patients. Abnormal MRI findings suggesting a pituitary mass were found in 18 of 19 cases (94.7%). The mean SUVmax calculated without correction for partial volume effect for macroadenomas was significantly higher than the SUVmax for microadenomas (11.5 ± 8.4 vs 4.8 ± 1.3; p < 0.05). There were no cases diagnosed with metastasis to the pituitary gland during clinical follow-up.

Conclusion

Incidental pituitary FDG uptake was a very rare finding. Cases with incidental pituitary FDG uptake were diagnosed primarily with clinically non-functioning adenomas, and there were also a few functioning adenomas. Further evaluations, including hormone assays and pituitary MRI, are warranted when pituitary uptake is found on FDG PET/CT.

This is a preview of subscription content, access via your institution.

Fig. 1
Fig. 2
Fig. 3

References

  1. Shirodkar M, Jabbour SA. Endocrine incidentalomas. Int J Clin Pract 2008;62:1423–31.

    CAS  Article  PubMed  Google Scholar 

  2. Molitch ME, Russell EJ. The pituitary “incidentaloma”. Ann Intern Med 1990;112:925–31.

    CAS  PubMed  Google Scholar 

  3. Molitch ME. Pituitary tumours: pituitary incidentalomas. Best Pract Res Clin Endocrinol Metab 2009;23:667–75.

    CAS  Article  PubMed  Google Scholar 

  4. Chidiac RM, Aron DC. Incidentalomas. A disease of modern technology. Endocrinol Metab Clin North Am 1997;26:233–53.

    CAS  Article  PubMed  Google Scholar 

  5. Campeau RJ, David O, Dowling AM. Pituitary adenoma detected on FDG positron emission tomography in a patient with mucosa-associated lymphoid tissue lymphoma. Clin Nucl Med 2003;28:296–8.

    Article  PubMed  Google Scholar 

  6. Bergström M, Muhr C, Lundberg PO, Långström B. PET as a tool in the clinical evaluation of pituitary adenomas. J Nucl Med 1991;32:610–5.

    PubMed  Google Scholar 

  7. Alzahrani AS, Farhat R, Al-Arifi A, Al-Kahtani N, Kanaan I, Abouzied M. The diagnostic value of fused positron emission tomography/computed tomography in the localization of adrenocorticotropin-secreting pituitary adenoma in Cushing’s disease. Pituitary 2009;12(4):309–14.

    CAS  Article  PubMed  Google Scholar 

  8. De Souza B, Brunetti A, Fulham MJ, Brooks RA, DeMichele D, Cook P, et al. Pituitary microadenomas: a PET study. Radiology 1990;177:39–44.

    PubMed  Google Scholar 

  9. Koo CW, Bhargava P, Rajagopalan V, Ghesani M, Sims-Childs H, Kagetsu NJ. Incidental detection of clinically occult pituitary adenoma on whole-body FDG PET imaging. Clin Nucl Med 2006;31:42–3.

    Article  PubMed  Google Scholar 

  10. Soussan M, Wartski M, Ezra J, Glaisner S, Pecking AP, Alberini JL. Non-Hodgkin lymphoma localization in the pituitary gland: diagnosis by FDG-PET/CT. Clin Nucl Med 2008;33:111–2.

    Article  PubMed  Google Scholar 

  11. Kluetz PG, Meltzer CC, Villemagne VL, Kinahan PE, Chander S, Martinelli MA, et al. Combined PET/CT imaging in oncology. Impact on patient management. Clin Positron Imaging 2000;3:223–30.

    Article  PubMed  Google Scholar 

  12. Israel O, Mor M, Guralnik L, Hermoni N, Gaitini D, Bar-Shalom R, et al. Is 18F-FDG PET/CT useful for imaging and management of patients with suspected occult recurrence of cancer? J Nucl Med 2004;45:2045–51.

    PubMed  Google Scholar 

  13. Bohuslavizki KH, Klutmann S, Kröger S, Sonnemann U, Buchert R, Werner JA, et al. FDG PET detection of unknown primary tumors. J Nucl Med 2000;41:816–22.

    CAS  PubMed  Google Scholar 

  14. Agress H, Cooper BZ. Detection of clinically unexpected malignant and premalignant tumors with whole-body FDG PET: histopathologic comparison. Radiology 2004;230:417–22.

    Article  PubMed  Google Scholar 

  15. Jana S, Zhang T, Milstein DM, Isasi CR, Blaufox MD. FDG-PET and CT characterization of adrenal lesions in cancer patients. Eur J Nucl Med Mol Imaging 2006;33:29–35.

    Article  PubMed  Google Scholar 

  16. Karantanis D, Bogsrud TV, Wiseman GA, Mullan BP, Subramaniam RM, Nathan MA, et al. Clinical significance of diffusely increased 18F-FDG uptake in the thyroid gland. J Nucl Med 2007;48:896–901.

    CAS  Article  PubMed  Google Scholar 

  17. Chen W, Parsons M, Torigian DA, Zhuang H, Alavi A. Evaluation of thyroid FDG uptake incidentally identified on FDG-PET/CT imaging. Nucl Med Commun 2009;30:240–4.

    CAS  Article  PubMed  Google Scholar 

  18. Bae JS, Chae BJ, Park WC, Kim JS, Kim SH, Jung SS, et al. Incidental thyroid lesions detected by FDG-PET/CT: prevalence and risk of thyroid cancer. World J Surg Oncol 2009;7:63.

    Article  PubMed  Google Scholar 

  19. Parent AD, Bebin J, Smith RR. Incidental pituitary adenomas. J Neurosurg 1981;54:228–31.

    CAS  Article  PubMed  Google Scholar 

  20. Kurosaki M, Saeger W, Lüdecke DK. Pituitary tumors in the elderly. Pathol Res Pract 2001;197:493–7.

    CAS  Article  PubMed  Google Scholar 

  21. Buurman H, Saeger W. Subclinical adenomas in postmortem pituitaries: classification and correlations to clinical data. Eur J Endocrinol 2006;154:753–8.

    CAS  Article  PubMed  Google Scholar 

  22. Gambhir SS, Czernin J, Schwimmer J, Silverman DH, Coleman RE, Phelps ME. A tabulated summary of the FDG PET literature. J Nucl Med 2001;42:1S–93.

    CAS  PubMed  Google Scholar 

  23. Pacak K, Ilias I, Chen CC, Carrasquillo JA, Whatley M, Nieman LK. The role of [(18)F]fluorodeoxyglucose positron emission tomography and [(111)In]-diethylenetriaminepentaacetate-D-Phe-pentetreotide scintigraphy in the localization of ectopic adrenocorticotropin-secreting tumors causing Cushing’s syndrome. J Clin Endocrinol Metab 2004;89:2214–21.

    CAS  Article  PubMed  Google Scholar 

  24. Kumar J, Spring M, Carroll PV, Barrington SF, Powrie JK. 18Flurodeoxyglucose positron emission tomography in the localization of ectopic ACTH-secreting neuroendocrine tumours. Clin Endocrinol (Oxf) 2006;64:371–4.

    CAS  Google Scholar 

  25. Sasajima T, Mineura K, Kowada M, Shishido F, Uemura K. Positron emission tomography (PET) of an invasive ACTH-producing pituitary adenoma. Rinsho Hoshasen 1990;35:407–10. Japanese.

    CAS  PubMed  Google Scholar 

  26. Komori T, Martin WH, Graber AL, Delbeke D. Serendipitous detection of Cushing’s disease by FDG positron emission tomography and a review of the literature. Clin Nucl Med 2002;27:176–8.

    Article  PubMed  Google Scholar 

  27. Francavilla TL, Miletich RS, DeMichele D, Patronas NJ, Oldfield EH, Weintraub BD, et al. Positron emission tomography of pituitary macroadenomas: hormone production and effects of therapies. Neurosurgery 1991;28:826–33.

    CAS  Article  PubMed  Google Scholar 

  28. Bonneville JF, Cattin F, Gorczyca W, Hardy J. Pituitary microadenomas: early enhancement with dynamic CT—implications of arterial blood supply and potential importance. Radiology 1993;187:857–61.

    CAS  PubMed  Google Scholar 

  29. Bonneville JF, Bonneville F, Cattin F. Magnetic resonance imaging of pituitary adenomas. Eur Radiol 2005;15:543–8.

    Article  PubMed  Google Scholar 

Download references

Acknowledgments

This work was supported by Nuclear Research & Development Program of National Research Foundation of Korea (NRF) funded by Ministry of Education, Science & Technology (MEST) (grant code: 2010-0017515) and this work was supported by the Grant of the Korean Ministry of Education, Science and Technology (The Regional Core Research Program/Antiaging and Well-being Research Center).

Conflicts of interest

None.

Author information

Affiliations

Authors

Corresponding author

Correspondence to Sang-Woo Lee.

Electronic supplementary materials

Below is the link to the electronic supplementary material.

ESM 1

(PDF 67 kb)

Rights and permissions

Reprints and Permissions

About this article

Cite this article

Jeong, S.Y., Lee, SW., Lee, H.J. et al. Incidental pituitary uptake on whole-body 18F-FDG PET/CT: a multicentre study. Eur J Nucl Med Mol Imaging 37, 2334–2343 (2010). https://doi.org/10.1007/s00259-010-1571-5

Download citation

  • Received:

  • Accepted:

  • Published:

  • Issue Date:

  • DOI: https://doi.org/10.1007/s00259-010-1571-5

Keywords

  • Pituitary gland
  • 18F-FDG
  • PET/CT
  • Incidentaloma