Skip to main content

Diffusion weighted imaging demystified: the technique and potential clinical applications for soft tissue imaging

Abstract

Diffusion-weighted imaging (DWI) is a fast, non-contrast technique that is readily available and easy to integrate into an existing imaging protocol. DWI with apparent diffusion coefficient (ADC) mapping offers a quantitative metric for soft tissue evaluation and provides information regarding the cellularity of a region of interest. There are several available methods of performing DWI, and artifacts and pitfalls must be considered when interpreting DWI studies. This review article will review the various techniques of DWI acquisition and utility of qualitative as well as quantitative methods of image interpretation, with emphasis on optimal methods for ADC measurement. The current clinical applications for DWI are primarily related to oncologic evaluation: For the assessment of de novo soft tissue masses, ADC mapping can serve as a useful adjunct technique to routine anatomic sequences for lesion characterization as cyst or solid and, if solid, benign or malignant. For treated soft tissue masses, the role of DWI/ADC mapping in the assessment of treatment response as well as recurrent or residual neoplasm in the setting of operative management is discussed, especially when intravenous contrast medium cannot be given. Emerging DWI applications for non-neoplastic clinical indications are also reviewed.

This is a preview of subscription content, access via your institution.

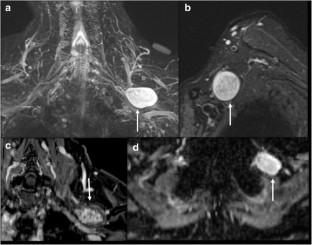
Fig. 1
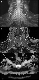
Fig. 2
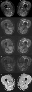
Fig. 3
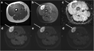
Fig. 4
Fig. 5
Fig. 6
Fig. 7
Fig. 8
Fig. 9
Fig. 10

References

  1. Le Bihan D, Breton E, Lallemand D, Aubin ML, Vignaud J, Laval-Jeantet M. Separation of diffusion and perfusion in intravoxel incoherent motion MR imaging. Radiology. 1988;168:497–505.

    Article  PubMed  Google Scholar 

  2. Fayad LM, Jacobs MA, Wang X, Carrino JA, Bluemke DA. Musculoskeletal tumors: how to use anatomic, functional, and metabolic MR techniques. Radiology. 2012 Nov;265(2):340–56.

    Article  PubMed  PubMed Central  Google Scholar 

  3. Taouli B, Beer AJ, Chenevert T, Collins D, Lehman C, Matos C, et al. Diffusion-weighted imaging outside the brain: consensus statement from an ISMRM-sponsored workshop. J Magn Reson Imaging. 2016 Sep;44(3):521–40.

    Article  PubMed  PubMed Central  Google Scholar 

  4. Mürtz P, Kaschner M, Lakghomi A, Gieseke J, Willinek WA, Schild HH, et al. Diffusion-weighted MR Neurography of the brachial and lumbosacral plexus: 3.0 T versus 1.5 T imaging. Eur J Radiol. 2015 Apr;84(4):696–702.

    Article  PubMed  Google Scholar 

  5. Ward R, Caruthers S, Yablon C, Blake M, DiMasi M, Eustace S. Analysis of diffusion changes in posttraumatic bone marrow using navigator-corrected diffusion gradients. AJR Am J Roentgenol. 2000;174:731–4.

    CAS  Article  PubMed  Google Scholar 

  6. Khoo MM, Tyler PA, Saifuddin A, Padhani AR. Diffusion-weighted imaging (DWI) in musculoskeletal MRI: a critical review. Skelet Radiol. 2011;40:665–81.

    Article  Google Scholar 

  7. Subhawong TK, Jacobs MA, Fayad LM. Diffusion-weighted MR imaging for characterizing musculoskeletal lesions. Radiographics. 2014;34(5):1163–77.

    Article  PubMed  PubMed Central  Google Scholar 

  8. Subhawong TK, Jacobs MA, Fayad LM. Insights into quantitative diffusion-weighted MRI for musculoskeletal tumor imaging. AJR Am J Roentgenol. 2014;203(3):560–72.

    Article  PubMed  Google Scholar 

  9. Baur A, Reiser MF. Diffusion-weighted imaging of the musculoskeletal system in humans. Skel Radiol. 2000;29:555–62.

    CAS  Article  Google Scholar 

  10. Baur A, Huber A, Arbogast S, et al. Diffusion-weighted imaging of tumor recurrences and post therapeutical soft-tissue changes in humans. Eur Radiol. 2001;11:828–33.

    CAS  Article  PubMed  Google Scholar 

  11. Padhani AR. Diffusion magnetic resonance imaging in cancer patient management. Semin Radiat Oncol. 2011;21(2):119–40.

    Article  PubMed  Google Scholar 

  12. Dudeck O, Zeile M, Pink D, Pech M, Tunn PU, Reichardt P, et al. Diffusion-weighted magnetic resonance imaging allows monitoring of anticancer treatment effects in patients with soft-tissue sarcomas. J Magn Reson Imaging. 2008 May;27(5):1109–13.

    Article  PubMed  Google Scholar 

  13. Soldatos T, Ahlawat S, Montgomery E, Chalian M, Jacobs MA, Fayad LM. Multiparametric assessment of treatment response in high-grade soft-tissue sarcomas with anatomic and functional MR imaging sequences. Radiology. 2016 Mar;278(3):831–40.

    Article  PubMed  Google Scholar 

  14. Singer AD, Pattany PM, Fayad LM, Tresley J, Subhawong TK. Volumetric segmentation of ADC maps and utility of standard deviation as measure of tumor heterogeneity in soft tissue tumors. Clin Imaging. 2016 May-Jun;40(3):386–91.

    Article  PubMed  Google Scholar 

  15. Ahlawat S, Khandheria P, Del Grande F, Morelli J, Subhawong TK, Demehri S, et al. Interobserver variability of selective region-of-interest measurement protocols for quantitative diffusion weighted imaging in soft tissue masses: Comparison with whole tumor volume measurements. J Magn Reson Imaging. 2016;43(2):446–54.

    Article  PubMed  Google Scholar 

  16. Del Grande F, Ahlawat S, Subhawong T, Fayad LM. Characterization of indeterminate soft tissue masses referred for biopsy: what is the added value of contrast imaging at 3.0 tesla? J Magn Reson Imaging. 2017;45(2):390–400.

    Article  PubMed  Google Scholar 

  17. Chhabra A, Thakkar RS, Andreisek G, Chalian M, Belzberg AJ, Blakeley J, et al. Anatomic MR imaging and functional diffusion tensor imaging of peripheral nerve tumors and tumor like conditions. AJNR Am J Neuroradiol. 2013;34(4):802–7.

    CAS  Article  PubMed  Google Scholar 

  18. Subhawong TK, Durand DJ, Thawait GK, Jacobs MA, Fayad LM. Characterization of soft tissue masses: can quantitative diffusion weighted imaging reliably distinguish cysts from solid masses? Skelet Radiol. 2013;42(11):1583–92.

    Article  Google Scholar 

  19. Van Rijswijk CSP, Kunz P, Hogendoorn PC, et al. Diffusion-weighted MRI in the characterization of soft-tissue tumors. J Magn Reson Imaging. 2002;15:302–7.

    Article  PubMed  Google Scholar 

  20. Einarsdóttir H, Karlsson M, Wejde J, Bauer HC. Diffusion-weighted MRI of soft tissue tumours. Eur Radiol. 2004;14(6):959–63.

    Article  PubMed  Google Scholar 

  21. Razek A, Nada N, Ghaniem M, Elkhamary S. Assessment of soft tissue tumours of the extremities with diffusion echoplanar MR imaging. Radiol Med. 2012;117(1):96–101.

    CAS  Article  PubMed  Google Scholar 

  22. Surov A, Fiedler E, Voigt W, et al. Magnetic resonance imaging of intramuscular metastases. Skelet Radiol. 2011;40:439–46.

    Article  Google Scholar 

  23. Oka K, Yakushiji T, Sato H, et al. Usefulness of diffusion-weighted imaging for differentiating between desmoid tumors and malignant soft tissue tumors. J Magn Reson Imaging. 2011;33(1):189–93.

    Article  PubMed  Google Scholar 

  24. Surov A, Behrmann C. Diffusion-weighted imaging of skeletal muscle lymphoma. Skelet Radiol. 2014;43(7):899–903.

    Article  Google Scholar 

  25. Surov A, Nagata S, Razek AA, Tirumani SH, Wienke A, Kahn T. Comparison of ADC values in different malignancies of the skeletal musculature: a multicentric analysis. Skelet Radiol. 2015;44(7):995–1000.

    Article  Google Scholar 

  26. Nagata S, Nishimura H, Uchida M, et al. Diffusion-weighted imaging of soft tissue tumors: usefulness of the apparent diffusion coefficient for differential diagnosis. Radiat Med. 2008;26(5):287–95.

    Article  PubMed  Google Scholar 

  27. Genovese E, Canì A, Rizzo S, Angeretti MG, Leonardi A, Fugazzola C. Comparison between MRI with spin-echo echo-planar diffusion-weighted sequence (DWI) and histology in the diagnosis of soft-tissue tumours. Radiol Med. 2011;116(4):644–56.

    CAS  Article  PubMed  Google Scholar 

  28. Maeda M, Matsumine A, Kato H, Kusuzaki K, Maier SE, Uchida A, et al. Soft-tissue tumors evaluated by line-scan diffusion-weighted imaging: influence of myxoid matrix on the apparent diffusion coefficient. J Magn Reson Imaging. 2007;25:1199–204.

    Article  PubMed  Google Scholar 

  29. Chun CW, Jung JY, Baik JS, Jee WH, Kim SK, Shin SH. Detection of soft-tissue abscess: comparison of diffusion-weighted imaging to contrast-enhanced MRI. J Magn Reson Imaging. 2017; https://doi.org/10.1002/jmri.25743.

  30. Harish S, Chiavaras MM, Kotnis N, Rebello R. MR imaging of skeletal soft tissue infection: utility of diffusion-weighted imaging in detecting abscess formation. Skelet Radiol. 2011;40:285–94.

    Article  Google Scholar 

  31. Unal O, Koparan HI, Avcu S, Kalender AM, Kisli E. The diagnostic value of diffusion-weighted magnetic resonance imaging in soft tissue abscesses. Eur J Radiol. 2011;77:490–4.

    Article  PubMed  Google Scholar 

  32. Oka K, Yakushiji T, Sato H, Yorimitsu S, Hayashida Y, Yamashita Y, et al. Ability of diffusion-weighted imaging for the differential diagnosis between chronic expanding hematomas and malignant soft tissue tumors. J Magn Reson Imaging. 2008;28(5):1195–200.

    Article  PubMed  Google Scholar 

  33. Demehri S, Belzberg A, Blakeley J, Fayad LM. Conventional and functional MR imaging of peripheral nerve sheath tumors: initial experience. AJNR Am J Neuroradiol. 2014;35(8):1615–20.

    CAS  Article  PubMed  PubMed Central  Google Scholar 

  34. Ahlawat S, Fayad LM, Khan MS, Bredella MA, Harris GJ, Evans DG, et al. Current whole-body MRI applications in the neurofibromatoses: NF1, NF2, and schwannomatosis. Neurology. 2016;87(7 Suppl 1):S31–9.

    Article  PubMed  PubMed Central  Google Scholar 

  35. Eutsler EP, Khanna G. Whole-body magnetic resonance imaging in children: technique and clinical applications. Pediatr Radiol. 2016;46(6):858–72.

    Article  PubMed  Google Scholar 

  36. Lecouvet FE, Whole-Body MR. Imaging: musculoskeletal applications. Radiology. 2016;279(2):345–65. https://doi.org/10.1148/radiol.2016142084. Review

    Article  PubMed  Google Scholar 

  37. Ahlawat S, Baig A, Blakeley JO, Jacobs MA, Fayad LM. Multiparametric whole-body anatomic, functional, and metabolic imaging characteristics of peripheral lesions in patients with schwannomatosis. J Magn Reson Imaging. 2016 Oct;44(4):794–803.

    Article  PubMed  Google Scholar 

  38. Fayad LM, Blakeley J, Plotkin S, Widemann B, Jacobs MA. Whole body MRI at 3T with quantitative diffusion weighted imaging and contrast-enhanced sequences for the characterization of peripheral lesions in patients with neurofibromatosis type 2 and schwannomatosis. ISRN Radiol. 2013;2013:627932.

    Article  PubMed  PubMed Central  Google Scholar 

  39. Eilber FC, Rosen G, Eckardt J, et al. Treatment-induced pathologic necrosis: a predictor of local recurrence and survival in patients receiving neoadjuvant therapy for high-grade extremity soft tissue sarcomas. J Clin Oncol. 2001;19(13):3203–9.

    CAS  Article  PubMed  Google Scholar 

  40. Del Grande F, Subhawong T, Weber K, Aro M, Mugera C, Fayad LM. Detection of soft-tissue sarcoma recurrence: added value of functional MR imaging techniques at 3.0 T. Radiology. 2014;271(2):499–511.

    Article  PubMed  Google Scholar 

  41. Kim JI, Lee IS, Song YS, Park SK, Choi KU, Song JW. Short-term follow-up MRI after unplanned resection of malignant soft-tissue tumours; quantitative measurements on dynamic contrast enhanced and diffusion-weighted MR images. Br J Radiol. 2016;89(1066):20160302.

    Article  PubMed  PubMed Central  Google Scholar 

  42. Takahara T, Hendrikse J, Yamashita T, Mali WP, Kwee TC, Imai Y, et al. Diffusion-weighted MR neurography of the brachial plexus: feasibility study. Radiology. 2008;249(2):653–60.

    Article  PubMed  Google Scholar 

  43. Chhabra A, Soldatos T, Subhawong TK, Machado AJ, Thawait SK, Wang KC, et al. The application of three-dimensional diffusion-weighted PSIF technique in peripheral nerve imaging of the distal extremities. J Magn Reson Imaging. 2011;34(4):962–7.

    Article  PubMed  Google Scholar 

  44. Zhao L, Wang G, Yang L, Wu L, Lin X, Chhabra A. Diffusion-weighted MR neurography of extremity nerves with unidirectional motion-probing gradients at 3 T: feasibility study. AJR Am J Roentgenol. 2013;200(5):1106–14.

    Article  PubMed  Google Scholar 

  45. Adachi Y, Sato N, Okamoto T, Sasaki M, Komaki H, Yamashita F, et al. Brachial and lumbar plexuses in chronic inflammatory demyelinating polyradiculoneuropathy: MRI assessment including apparent diffusion coefficient. Neuroradiology. 2011;53(1):3–11.

    Article  PubMed  Google Scholar 

  46. Bendszus M, Stoll G. Technology insight: visualizing peripheral nerve injury using MRI. Nat Clin Pract Neurol. 2005;1:45–53.

    Article  PubMed  Google Scholar 

  47. Kababci N, Gurses B, Firat Z, Bayram A, Ulug A, Kovanlikaya A. Diffusion tensor imaging and tractography of median nerve: normative diffusion values. AJR. 2007;189:923–7.

    Article  Google Scholar 

  48. Andreou A, Sohaib A, Collins DJ, Takahara T, Kwee TC, Leach MO, et al. Diffusion-weighted MR neurography for the assessment of brachial plexopathy in oncological practice. Cancer Imaging. 2015;15:6.

    Article  PubMed  PubMed Central  Google Scholar 

  49. Ran J, Liu Y, Sun D, Morelli J, Zhang P, Wu G, et al. The diagnostic value of biexponential apparent diffusion coefficients in myopathy. J Neurol. 2016;263(7):1296–302.

    CAS  Article  PubMed  Google Scholar 

  50. Qi J, Olsen NJ, Price RR, Winston JA, Park JH. Diffusion-weighted imaging of inflammatory myopathies: polymyositis and dermatomyositis. J Magn Reson Imaging. 2008;27(1):212–7.

    Article  PubMed  Google Scholar 

  51. Ai T, Yu K, Gao L, Zhang P, Goerner F, Runge VM, et al. Diffusion tensor imaging in evaluation of thigh muscles in patients with polymyositis and dermatomyositis. Br J Radiol. 2014;87:1043.

    Article  Google Scholar 

Download references

Author information

Affiliations

Authors

Corresponding author

Correspondence to Shivani Ahlawat.

Ethics declarations

Ethical approval

“All procedures performed in studies involving human participants were in accordance with the ethical standards of the institutional and/or national research committee and with the 1964 Helsinki Declaration and its later amendments or comparable ethical standards.”

Conflict of interest

The authors declare that they have no conflict of interest.

Rights and permissions

Reprints and Permissions

About this article

Verify currency and authenticity via CrossMark

Cite this article

Ahlawat, S., Fayad, L.M. Diffusion weighted imaging demystified: the technique and potential clinical applications for soft tissue imaging. Skeletal Radiol 47, 313–328 (2018). https://doi.org/10.1007/s00256-017-2822-3

Download citation

  • Received:

  • Revised:

  • Accepted:

  • Published:

  • Issue Date:

  • DOI: https://doi.org/10.1007/s00256-017-2822-3

Keywords

  • Diffusion-weighted MRI
  • ADC mapping
  • Soft tissue mass
  • Cyst
  • Malignant neoplasm
  • Recurrence