Skip to main content

Undifferentiated pleomorphic sarcoma: indolent, tail-like recurrence of a high-grade tumor

Abstract

Recurrence of a soft tissue sarcoma typically manifests as a round or oval mass at imaging, and recurrent high-grade soft tissue sarcomas generally enlarge relatively rapidly. We present a case of high-grade undifferentiated pleomorphic sarcoma in the calf of a 48-year-old male that recurred as a thin, curvilinear “tail” of enhancing tissue at magnetic resonance imaging (MRI), with extremely indolent growth over a 7-year period. The unusual imaging finding of a slowly enlarging “tail” should not be dismissed as postoperative changes, even for a high-grade soft tissue sarcoma.

This is a preview of subscription content, access via your institution.

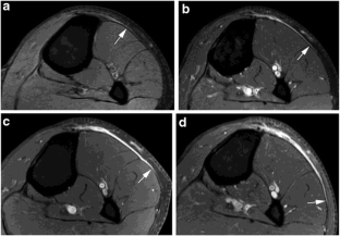
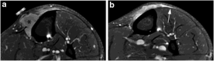
Fig. 1
Fig. 2
Fig. 3
Fig. 4

References

  1. Jo V, Fletcher C. WHO classification of soft tissue tumours: an update based on the 2013 (4th) edition. Pathology. 2014;46(2):95–104.

    CAS  Article  PubMed  Google Scholar 

  2. Yoo HJ, Hong SH, Kang Y, Choi JY, Moon KC, Kim HS, et al. MR imaging of myxofibrosarcoma and undifferentiated sarcoma with emphasis on tail sign; diagnostic and prognostic value. Eur Radiol. 2014;24:1749–57.

    Article  PubMed  Google Scholar 

  3. Daigler A, Zmarsly I, Hirsch T, Goertz O, Steinau HU, Lehnhardt M, et al. Long-term outcome after local recurrence of soft tissue sarcoma: a retrospective analysis of factors predictive of survival in 135 patients with locally recurrent soft tissue sarcoma. Br J Cancer. 2014;110(6):1456–64.

    Article  Google Scholar 

  4. Gibbs JF, Huang PP, Lee RJ, McGrath B, Brooks J, McKinley B, et al. Malignant fibrous histiocytoma: an institutional review. Cancer Investig. 2001;19(1):23–7.

    CAS  Article  Google Scholar 

  5. Steen S, Stephenson G. Current treatment of soft tissue sarcoma. Proc (Baylor Univ Med Cent). 2008;21(4):392–6.

    Google Scholar 

  6. Huang HY, Lal P, Qin J, Brennan M, Antonescu C. Low-grade myxofibrosarcoma: a clinicopathologic analysis of 49 cases treated at a single institution with simultaneous assessment of the efficacy of 3-tier and 4-tier grading systems. Hum Pathol. 2004;35(5):612–21.

    Article  PubMed  Google Scholar 

  7. Haglund KE, Raut CP, Nascimento AF, Wang Q, George S, Baldini EH. Recurrence patterns and survival for patients with intermediate- and high-grade myxofibrosarcoma. Int J Radiat Oncol Biol Phys. 2012;82(1):361–7.

    Article  PubMed  Google Scholar 

  8. Waters B, Panicek D, Lefkowitz R, Antonescu C, Healey J, Athanasian E, et al. Low-grade myxofibrosarcoma: CT and MRI patterns in recurrent disease. AJR Am J Roentgenol. 2007;188:W193–8.

    Article  PubMed  Google Scholar 

  9. Chou SH, Hippe D, Lee A, Scherer K, Porrino J, Davidson D, et al. Gadolinium contrast enhancement improves confidence in diagnosing recurrent soft tissue sarcoma by MRI. Acad Radiol. 2017;24(5):615–22.

    Article  PubMed  Google Scholar 

  10. Lefkowitz R, Landa J, Hwang S, Zabor E, Moskowitz C, Agaram N, et al. Myxofibrosarcoma: prevalence and diagnostic value of the “tail sign” on magnetic resonance imaging. Skelet Radiol. 2013;42:809–18.

    Article  Google Scholar 

Download references

Acknowledgements

This research was funded in part through the NIH/NCI Cancer Center Support Grant P30 CA008748.

Author information

Affiliations

Authors

Corresponding author

Correspondence to Justin S. Alpert.

Ethics declarations

Conflict of interest

The authors declare that they have no conflict of interest.

Rights and permissions

Reprints and Permissions

About this article

Verify currency and authenticity via CrossMark

Cite this article

Alpert, J.S., Boland, P., Hameed, M. et al. Undifferentiated pleomorphic sarcoma: indolent, tail-like recurrence of a high-grade tumor. Skeletal Radiol 47, 141–144 (2018). https://doi.org/10.1007/s00256-017-2778-3

Download citation

  • Received:

  • Revised:

  • Accepted:

  • Published:

  • Issue Date:

  • DOI: https://doi.org/10.1007/s00256-017-2778-3

Keywords

  • Undifferentiated pleomorphic sarcoma
  • Malignant fibrous histiocytoma
  • Soft tissue sarcoma
  • Postoperative change
  • Magnetic resonance imaging