Skip to main content

Atypical, unusual, and misleading imaging presentations of spondylolysis

Abstract

Although lumbar spondylolysis is a widely known and easily recognizable condition in its typical presentation, there are some less well-known forms that may occasionally be challenging and/or demand special attention on imaging. Examples include: acute and/or incomplete lesions; unilateral defects; lesions at unusual levels (cervical, upper lumbar, and multi-level spondylolyses); iatrogenic lesions; non-isthmic spondylolysis; and spondylolysis related to underlying diseases. In addition to their atypical, uncommon or confusing imaging presentations, these forms of spondylolysis are far rarer than the classic type and have been described, to a great extent, in the surgical literature, thus reducing the awareness of radiologists about them and raising the potential for misdiagnosis and inadequate treatment. In this review the authors address these special manifestations of spondylolysis, stressing the more important features to be considered in the differential diagnosis and the impact of a precise diagnosis of spondylolysis on the patient’s care.

This is a preview of subscription content, access via your institution.

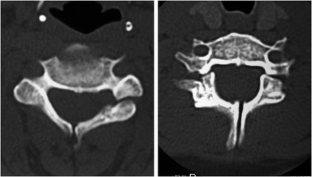
Fig. 1
Fig. 2
Fig. 3
Fig. 4
Fig. 5
Fig. 6
Fig. 7
Fig. 8
Fig. 9
Fig. 10
Fig. 11
Fig. 12
Fig. 13
Fig. 14
Fig. 15

References

  1. Leone A, Cianfoni A, Cerase A, Magarelli N, Bonomo L. Lumbar spondylolysis: a review. Skeletal Radiol. 2011;40(6):683–700.

    PubMed  Article  Google Scholar 

  2. Foreman P, Griessenauer CJ, Watanabe K, et al. L5 spondylolysis/spondylolisthesis: a comprehensive review with an anatomic focus. Childs Nerv Syst. 2013;29(2):209–16.

    PubMed  Article  Google Scholar 

  3. Nakayama T, Ehara S. Spondylolytic spondylolisthesis: various imaging features and natural courses. Jpn J Radiol. 2015;33(1):3–12.

    PubMed  Article  Google Scholar 

  4. Nayeemuddin M, Richards PJ, Ahmed EB. The imaging and management of nonconsecutive pars interarticularis defects: a case report and review of literature. Spine J. 2011;11(12):1157–63.

    PubMed  Article  Google Scholar 

  5. Kobayashi A, Kobayashi T, Kato K, Higuchi H, Takagishi K. Diagnosis of radiographically occult lumbar spondylolysis in young athletes by magnetic resonance imaging. Am J Sports Med. 2013;41(1):169–76.

    PubMed  Article  Google Scholar 

  6. Dunn AJ, Campbell RS, Mayor PE, Rees D. Radiological findings and healing patterns of incomplete stress fractures of the pars interarticularis. Skeletal Radiol. 2008;37(5):443–50.

    PubMed  Article  Google Scholar 

  7. Viana SL, Ribeiro MCM, Machado BB (2013) Imaging assessment of the pediatric spine: selected topics. In: Joint imaging in childhood and adolescence. Berlin Heidelberg: Springer; 2013. p. 269–90.

  8. Syrmou E, Tsitsopoulos PP, Marinopoulos D, Tsonidis C, Anagnostopoulos I, Tsitsopoulos PD. Spondylolysis: a review and reappraisal. Hippokratia. 2010;14(1):17–21.

    CAS  PubMed Central  PubMed  Google Scholar 

  9. Park JS, Moon SK, Jin W, Ryu KN. Unilateral lumbar spondylolysis on radiography and MRI: emphasis on morphologic differences according to involved segment. AJR Am J Roentgenol. 2010;194(1):207–15.

    PubMed  Article  Google Scholar 

  10. Maurer SG, Wright KE, Bendo JA. Iatrogenic spondylolysis leading to contralateral pedicular stress fracture and unstable spondylolisthesis: a case report. Spine (Phila Pa 1976). 2000;25(7):895–8.

    CAS  Article  Google Scholar 

  11. Merbs CF. Asymmetrical spondylolysis. Am J Phys Anthropol. 2002;119(2):156–74.

    PubMed  Article  Google Scholar 

  12. Schwartz JM. Case 36: bilateral cervical spondylolysis of C6. Radiology. 2001;220(1):191–4.

    CAS  PubMed  Article  Google Scholar 

  13. Gressot LV, Vadivelu S, Hwang SW, Fulkerson DH, Luerssen TG, Jea A. Spondylolysis of C-2 in children 3 years of age or younger: clinical presentation, radiographic findings, management, and outcomes with a minimum 12-month follow-up. J Neurosurg Pediatr. 2014;13(2):196–203.

    PubMed  Article  Google Scholar 

  14. Pilet B, De Foer B, Cuykx H, Pouillon M. Bilateral cervical spondylolysis. JBR-BTR. 2012;95(3):158–9.

    CAS  PubMed  Google Scholar 

  15. Paik NC. Bilateral cervical spondylolysis of C7. Spine J. 2010;10(11):e10–3.

    PubMed  Article  Google Scholar 

  16. Song KC, Cho KS, Lee SB. Congenital defect of the posterior arch of cervical spine: report of three cases and review of the current literature. J Korean Neurosurg Soc. 2010;48(3):294–7.

    PubMed Central  PubMed  Article  Google Scholar 

  17. Lee J, Ehara S, Tamakawa Y, Shimamura T. Spondylolysis of the upper lumbar spine. radiological features. Clin Imaging. 1999;23(6):389–93.

    CAS  PubMed  Article  Google Scholar 

  18. Hersh DS, Kim YH, Razi A. Multi-level spondylolysis. Bull NYU Hosp Jt Dis. 2011;69(4):339–43.

    PubMed  Google Scholar 

  19. Park KH, Ha JW, Kim HS, et al. Multiple levels of lumbar spondylolysis—a case report. Asian Spine J. 2009;3(1):35–8.

    PubMed Central  PubMed  Article  Google Scholar 

  20. Darnis A, Launay O, Perrin G, Barrey C. Surgical management of multilevel lumbar spondylolysis: a case report and review of the literature. Orthop Traumatol Surg Res. 2014;100(3):347–51.

    CAS  PubMed  Article  Google Scholar 

  21. Goda Y, Sakai T, Sakamaki T, Takata Y, Higashino K, Sairyo K. Analysis of MRI signal changes in the adjacent pedicle of adolescent patients with fresh lumbar spondylolysis. Eur Spine J. 2014;23(9):1892–5.

    PubMed  Article  Google Scholar 

  22. Suzuki K, Ishida Y, Ohmori K. Spondylolysis after posterior decompression of the lumbar spine. 35 patients followed for 3-9 years. Acta Orthop Scand. 1993;64(1):17–21.

    CAS  PubMed  Article  Google Scholar 

  23. König MA, Ebrahimi FV, Nitulescu A, Behrbalk E, Boszczyk BM. Early results of stand-alone anterior lumbar interbody fusion in iatrogenic spondylolisthesis patients. Eur Spine J. 2013;22(12):2876–83.

    PubMed Central  PubMed  Article  Google Scholar 

  24. Sakai T, Sairyo K, Mase Y, Dezawa A. Synchronic multiple stress fractures of L5 left hemilamina: a case of an unusual type of lumbar spondylolysis. Eur J Orthop Surg Traumatol. 2012;22 Suppl 1:S41–3.

    Article  Google Scholar 

  25. Chen JJ, Branstetter 4th BF, Welch WC. Multiple posterior vertebral fusion abnormalities: a case report and review of the literature. AJR Am J Roentgenol. 2006;186(5):1256–9.

    PubMed  Article  Google Scholar 

  26. Chang RS, Tsai MY, Yang TL, Huang JS, Chen CK. Neural arch clefts mimic fractures: a case report and literature review. Chin J Radiol. 2008;33(1):47–50.

    Google Scholar 

  27. Jeanneret B, Magerl F. Congenital fusion C0-C2 associated with spondylolysis of C2. J Spinal Disord. 1990;3(4):413–7.

    CAS  PubMed  Google Scholar 

  28. Baba H, Maezawa Y, Furusawa N, Chen Q, Imura S, Tomita K. The cervical spine in the Klippel-Feil syndrome. a report of 57 cases. Int Orthop. 1995;19(4):204–8.

    CAS  PubMed  Article  Google Scholar 

Download references

Acknowledgements

The authors would like to express their appreciation to Dr Carlos Renato Sales Bezerra, MD, PhD for his help during the preparation of this manuscript.

Conflict of interest

The authors declare that they have no conflict of interest.

Author information

Affiliations

Authors

Corresponding author

Correspondence to Sergio Lopes Viana.

Rights and permissions

Reprints and Permissions

About this article

Verify currency and authenticity via CrossMark

Cite this article

Viana, S.L., Viana, M.A.d.B. & de Alencar, E.L.C. Atypical, unusual, and misleading imaging presentations of spondylolysis. Skeletal Radiol 44, 1253–1262 (2015). https://doi.org/10.1007/s00256-015-2138-0

Download citation

  • Received:

  • Revised:

  • Accepted:

  • Published:

  • Issue Date:

  • DOI: https://doi.org/10.1007/s00256-015-2138-0

Keywords

  • Spondylolysis
  • Spondylolisthesis
  • Atypical spondylolysis
  • Acute spondylolysis
  • Incomplete spondylolysis
  • Unilateral spondylolysis
  • Iatrogenic spondylolysis
  • Cervical spondylolysis
  • Multi-level spondylolysis
  • Non-isthmic spondylolysis