Skip to main content

Giant cell tumor: rapid recurrence after cessation of long-term denosumab therapy

Abstract

We report a case of rapid recurrence of a giant cell tumor (GCT) of the distal radius in a 24-year-old woman following the cessation of long-term denosumab therapy. GCT of bone is a histologically benign tumor with multinucleated giant cells on a background of mononuclear giant cells usually presenting as a well-defined epi-metaphyseal lytic lesion without sclerotic margins. Denosumab, a monoclonal antibody to the receptor activator of nuclear factor kappa-B ligand (RANKL), has proven to be an effective neoadjuvant treatment for GCT. The tumor in this case had demonstrated a good response with sustained control for over 2 years while on denosumab therapy. However, within 2 months of cessation of therapy, the tumor demonstrated rapid recurrence and progression with growth, osteolysis, and increased soft tissue component. Despite reinitiating denosumab therapy, there was progressive tumor growth and destruction, ultimately necessitating below-the-elbow amputation. This case illustrates the need for maintenance of denosumab therapy for GCT of bone or definitive surgical treatment prior to its cessation.

This is a preview of subscription content, access via your institution.

Fig. 1
Fig. 2
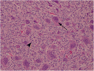
Fig. 3
Fig. 4
Fig. 5
Fig. 6
Fig. 7

References

  1. Balke M, Schremper L, Gebert C, et al. Giant cell tumor of bone: treatment and outcome of 214 cases. J Cancer Res Clin Oncol. 2008;134(9):969–78.

    Article  CAS  PubMed  Google Scholar 

  2. Turcotte RE. Giant cell tumor of bone. Orthop Clin North Am. 2006;37(1):35–51.

    Article  PubMed  Google Scholar 

  3. Turcotte RE, Wunder JS, Isler MH, et al. Giant cell tumor of long bone: a Canadian Sarcoma Group study. Clin Orthop Relat Res. 2002;397:248–58.

    Article  PubMed  Google Scholar 

  4. Kafchitsas K, Habermann B, Proschek D, Kurth A, Eberhardt C. Functional results after giant cell tumor operation near knee joint and the cement radiolucent zone as indicator of recurrence. Anticancer Res. 2010;30(9):3795–9.

    CAS  PubMed  Google Scholar 

  5. Murphey MD, Nomikos GC, Flemming DJ, Gannon FH, Temple HT, Kransdorf MJ. From the archives of AFIP. imaging of giant cell tumor and giant cell reparative granuloma of bone: radiologic-pathologic correlation. Radiographics. 2001;21(5):1283–309.

    Article  CAS  PubMed  Google Scholar 

  6. Anchan C. Giant cell tumor of bone with secondary aneurysmal bone cyst. Int J Shoulder Surg. 2008;2(3):68.

    Article  PubMed Central  PubMed  Google Scholar 

  7. Chawla S, Henshaw R, Seeger L, et al. Safety and efficacy of denosumab for adults and skeletally mature adolescents with giant cell tumour of bone: interim analysis of an open-label, parallel-group, phase 2 study. Lancet Oncol. 2013;14(9):901–8.

    Article  CAS  PubMed  Google Scholar 

  8. Thomas D, Henshaw R, Skubitz K, et al. Denosumab in patients with giant-cell tumour of bone: an open-label, phase 2 study. Lancet Oncol. 2010;11(3):275–80.

    Article  CAS  PubMed  Google Scholar 

  9. Dufresne A, Derbel O, Cassier P, Vaz G, Decouvelaere AV, Blay JY. Giant-cell tumor of bone, anti-RANKL therapy. Bonekey Rep. 2012;1:149.

    Article  PubMed Central  PubMed  Google Scholar 

  10. Skubitz KM. Giant cell tumor of bone: current treatment options. Curr Treat Options Oncol. 2014;15(3):507–18.

    Article  PubMed  Google Scholar 

  11. Chakarun CJ, Forrester DM, Gottsegen CJ, Patel DB, White EA, Matcuk Jr GR. Giant cell tumor of bone: review, mimics, and new developments in treatment. Radiographics. 2013;33(1):197–211.

    Article  PubMed  Google Scholar 

  12. Branstetter DG, Nelson SD, Manivel JC, et al. Denosumab induces tumor reduction and bone formation in patients with giant-cell tumor of bone. Clin Cancer Res. 2012;18(16):4415–24.

    Article  CAS  PubMed  Google Scholar 

  13. Martin-Broto J, Cleeland CS, Glare PA, et al. Effects of denosumab on pain and analgesic use in giant cell tumor of bone: interim results from a phase II study. Acta Oncol. 2014;53(9):1173–9.

    Article  CAS  PubMed  Google Scholar 

  14. Agarwal A, Larsen BT, Buadu LD, et al. Denosumab chemotherapy for recurrent giant-cell tumor of bone: a case report of neoadjuvant use enabling complete surgical resection. Case Rep Oncol Med. 2013;2013:496351.

    PubMed Central  PubMed  Google Scholar 

  15. Karras NA, Polgreen LE, Ogilvie C, Manivel JC, Skubitz KM, Lipsitz E. Denosumab treatment of metastatic giant-cell tumor of bone in a 10-year-old girl. J Clin Oncol. 2013;31(12):e200–2.

    Article  PubMed  Google Scholar 

  16. Demirsoy U, Karadogan M, Selek O, et al. Golden bullet-denosumab: early rapid response of metastatic giant cell tumor of the bone. J Pediatr Hematol Oncol. 2014;36(2):156–8.

    Article  CAS  PubMed  Google Scholar 

  17. Hakozaki M, Tajino T, Yamada H, et al. Radiological and pathological characteristics of giant cell tumor of bone treated with denosumab. Diagn Pathol. 2014;9:111.

    Article  PubMed Central  PubMed  Google Scholar 

  18. Mattei TA, Ramos E, Rehman AA, Shaw A, Patel SR, Mendel E. Sustained long-term complete regression of a giant cell tumor of the spine after treatment with denosumab. Spine J. 2014;14(7):e15–21.

    Article  PubMed  Google Scholar 

  19. Xu SF, Adams B, Yu XC, Xu M. Denosumab and giant cell tumour of bone-a review and future management considerations. Curr Oncol. 2013;20(5):e442–7.

    Article  PubMed Central  CAS  PubMed  Google Scholar 

  20. Morgan T, Atkins GJ, Trivett MK, et al. Molecular profiling of giant cell tumor of bone and the osteoclastic localization of ligand for receptor activator of nuclear factor kappaB. Am J Pathol. 2005;167(1):117–28.

    Article  PubMed Central  CAS  PubMed  Google Scholar 

  21. Huang PH, Lee CC, Chang PY, Shih YH, Yen YS. Giant cell tumor of the sphenoid bone occurring during pregnancy: successful tumor extirpation via endoscopic transnasal transsphenoidal surgery. Clin Neurol Neurosurg. 2013;115(2):222–6.

    Article  PubMed  Google Scholar 

  22. Kathiresan AS, Johnson JN, Hood BJ, Montoya SP, Vanni S, Gonzalez-Quintero VH. Giant cell bone tumor of the thoracic spine presenting in late pregnancy. Obstet Gynecol. 2011;118(2 Pt 2):428–31.

    Article  PubMed  Google Scholar 

  23. Ross AE, Bojescul JA, Kuklo TR. Giant cell tumor: a case report of recurrence during pregnancy. Spine (Phila Pa 1976). 2005;30(12):E332–5.

    Article  Google Scholar 

  24. Watanabe N, Matsumoto S, Shimoji T, et al. Early evaluation of the therapeutic effect of denosumab on tartrate-resistant acid phosphatase 5b expression in a giant cell tumor of bone: a case report. BMC Res Notes. 2014;7:608.

    Article  PubMed Central  PubMed  Google Scholar 

Download references

Conflict of interest

The authors declare that they have no conflicts of interest to declare..

Disclosures

None.

Author information

Affiliations

Authors

Corresponding author

Correspondence to George R. Matcuk Jr.

Rights and permissions

Reprints and Permissions

About this article

Verify currency and authenticity via CrossMark

Cite this article

Matcuk, G.R., Patel, D.B., Schein, A.J. et al. Giant cell tumor: rapid recurrence after cessation of long-term denosumab therapy. Skeletal Radiol 44, 1027–1031 (2015). https://doi.org/10.1007/s00256-015-2117-5

Download citation

  • Received:

  • Revised:

  • Accepted:

  • Published:

  • Issue Date:

  • DOI: https://doi.org/10.1007/s00256-015-2117-5

Keywords

  • Giant cell tumor of bone
  • Denosumab
  • Recurrence