Skip to main content

An analysis of factors related to the tail-like pattern of myxofibrosarcoma seen on MRI

Abstract

Objective

Myxofibrosarcoma (MFS) is characterized by a high frequency of local recurrence after surgery because of infiltrative growth of the tumor cells. This infiltrative growth creates a characteristic ‘tail-like’ pattern on magnetic resonance imaging (MRI), and it has been reported that this pattern is especially obvious on gadolinium-enhanced MRI (Gd MRI). However, the relationship between the tail-like pattern seen on Gd MRI and clinicopathological features of MFS is still not clear. In this study, we performed a retrospective analysis to identify clinicopathological factors related to the tail-like pattern of the MRI findings in patients with MFS.

Materials and methods

We retrospectively analyzed 50 patients with MFS to identify factors related to the tail-like pattern.

Results

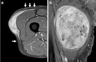
On Gd MRI, 32 of the 50 patients presented the tail-like pattern, whereas 18 presented a solid pattern. The clincopathological factors related to the tail-like pattern were evaluated by chi-squared test. A superficial origin (p = 0.0009) was most significantly related to the tail-like pattern. The 5-year recurrence-free survival (RFS) rate was 75.6 % for patients showing the tail-like pattern and 90.9 % for those showing the solid pattern. The corresponding 5-year disease-free survival (DFS) rates were 64.7 and 79.3 %, respectively. Thus in terms of both 5-year RFS and DFS, patients with the tail-like pattern tended to have a poorer outcome.

Conclusion

A superficial origin of MFS is significantly related to a tail-like pattern on Gd MRI. The tail-like pattern is associated with poorer prognosis. Further studies of tumor depth and the tail-like pattern on Gd MRI are needed.

This is a preview of subscription content, access via your institution.

Fig. 1
Fig. 2
Fig. 3

References

  1. Mentzel T, van den Berg D, Molenaar WM. Myxofibrosarocma. In: Fletcher CDM, Unni KK, Mertens F, editors. WHO classification of tumors- Pathology and genetics, tumors of soft tissue and bone. Lyon: IARC press; 2002. p. 102–3.

    Google Scholar 

  2. Muramatsu N, Akiyama H. Japan: super-aging society preparing for the future. Gerontologist. 2011;51(4):425–32.

    PubMed  Article  Google Scholar 

  3. Weiss SW, Enzinger FM. Myxoid variant of malignant fibrous histiocytoma. Cancer. 1977;39(4):1672–85.

    CAS  PubMed  Article  Google Scholar 

  4. Huang HY, Lal P, Qin J, Brennan MF, Antonescu CR. Low-grade myxofibrosarcoma: a clinicopathologic analysis of 49 cases treated at a single institution with simultaneous assessment of the efficacy of 3-tier and 4-tier grading systems. Hum Pathol. 2004;35(5):612–21.

    PubMed  Article  Google Scholar 

  5. Merck C, Angervall L, Kindblom LG, Oden A. Myxofibrosarcoma. A malignant soft tissue tumor of fibroblastic-histiocytic origin. A clinicopathologic and prognostic study of 110 cases using multivariate analysis. Acta Pathol Microbiol Immunol Scand Suppl. 1983;282:1–40.

    CAS  PubMed  Google Scholar 

  6. Willems SM, Debiec-Rychter M, Szuhai K, Hogendoorn PC, Sciot R. Local recurrence of myxofibrosarcoma is associated with increase in tumour grade and cytogenetic aberrations, suggesting a multistep tumour progression model. Mod Pathol. 2006;19(3):407–16.

    PubMed  Article  Google Scholar 

  7. Lin CN, Chou SC, Li CF, Tsai KB, Chen WC, Hsiung CY, et al. Prognostic factors of myxofibrosarcomas: implications of margin status, tumor necrosis, and mitotic rate on survival. J Surg Oncol. 2006;93(4):294–303.

    PubMed  Article  Google Scholar 

  8. Kaya M, Wada T, Nagoya S, Sasaki M, Matsumura T, Yamaguchi T, et al. MRI and histological evaluation of the infiltrative growth pattern of myxofibrosarcoma. Skelet Radiol. 2008;37(12):1085–90.

    Article  Google Scholar 

  9. Manoso MW, Pratt J, Healey JH, Boland PJ, Athanasian EA. Infiltrative MRI pattern and incomplete initial surgery compromise local control of myxofibrosarcoma. Clin Orthop Relat Res. 2006;450:89–94.

    PubMed  Article  Google Scholar 

  10. Lefkowitz RA, Landa J, Hwang S, Zabor EC, Moskowitz CS, Agaram NP, et al. Myxofibrosarcoma: prevalence and diagnostic value of the “tail sign” on magnetic resonance imaging. Skelet Radiol. 2013;42(6):809–18.

    Article  Google Scholar 

  11. Rosenberg SA, Tepper J, Glatstein E, Costa J, Baker A, Brennan M, et al. The treatment of soft-tissue sarcomas of the extremities: prospective randomized evaluations of (1) limb-sparing surgery plus radiation therapy compared with amputation and (2) the role of adjuvant chemotherapy. Ann Surg. 1982;196(3):305–15.

    CAS  PubMed Central  PubMed  Article  Google Scholar 

  12. Guillou L, Coindre JM, Bonichon F, Nguyen BB, Terrier P, Collin F, et al. Comparative study of the National Cancer Institute and French Federation of Cancer Centers Sarcoma Group grading systems in a population of 410 adult patients with soft tissue sarcoma. J Clin Oncol. 1997;15(1):350–62.

    CAS  PubMed  Google Scholar 

  13. Coindre JM, Terrier P, Guillou L, Le Doussal V, Collin F, Ranchere D, et al. Predictive value of grade for metastasis development in the main histologic types of adult soft tissue sarcomas: a study of 1,240 patients from the French Federation of Cancer Centers Sarcoma Group. Cancer. 2001;91(10):1914–26.

    CAS  PubMed  Article  Google Scholar 

  14. Sanfilippo R, Miceli R, Grosso F, Fiore M, Puma E, Pennacchioli E, et al. Myxofibrosarcoma: prognostic factors and survival in a series of patients treated at a single institution. Ann Surg Oncol. 2011;18(3):720–5.

    PubMed  Article  Google Scholar 

  15. Rich JT, Neely JG, Paniello RC, Voelker CC, Nussenbaum B, Wang EW. A practical guide to understanding Kaplan-Meier curves. Otolaryngol Head Neck Surg. 2010;143(3):331–6.

    PubMed Central  PubMed  Article  Google Scholar 

  16. Ottenbacher KJ. The chi-square test: its use in rehabilitation research. Arch Phys Med Rehabil. 1995;76(7):678–81.

    CAS  PubMed  Article  Google Scholar 

  17. Walker EA, Petscavage JM, Brian PL, Logie CI, Montini KM, Murphey MD. Imaging features of superficial and deep fibromatoses in the adult population. Sarcoma. 2012;2012:215810.

    PubMed Central  PubMed  Article  Google Scholar 

  18. Wada T, Hasegawa T, Nagoya S, Kawaguchi S, Kaya M, Ishii S. Myxofibrosarcoma with an infiltrative growth pattern: a case report. Jpn J Clin Oncol. 2000;30(10):458–62.

    CAS  PubMed  Article  Google Scholar 

  19. Riouallon G, Larousserie F, Pluot E, Anract P. Superficial myxofibrosarcoma: assessment of recurrence risk according to the surgical margin following resection. A series of 21 patients. Orthop Traumatol Surg Res. 2013;99(4):473–7.

    CAS  PubMed  Article  Google Scholar 

  20. Mentzel T, Calonje E, Wadden C, Camplejohn RS, Beham A, Smith MA, et al. Myxofibrosarcoma. Clinicopathologic analysis of 75 cases with emphasis on the low-grade variant. Am J Surg Pathol. 1996;20(4):391–405.

    CAS  PubMed  Article  Google Scholar 

  21. Kikuta K, Kubota D, Yoshida A, Suzuki Y, Morioka H, Toyama Y, et al. An analysis of factors related to recurrence of myxofibrosarcoma. Jpn J Clin Oncol. 2013;43(11):1093–104.

    PubMed  Article  Google Scholar 

  22. Waters B, Panicek DM, Lefkowitz RA, Antonescu CR, Healey JH, Athanasian EA, et al. Low-grade myxofibrosarcoma: CT and MRI patterns in recurrent disease. AJR Am J Roentgenol. 2007;188(2):W193–198.

    PubMed  Article  Google Scholar 

  23. Kindblom LG, Merck C, Angervall L. The ultrastructure of myxofibrosarcoma. A study of 11 cases. Virchows Arch A Pathol Anat Histol. 1979;381(2):121–39.

    CAS  PubMed  Article  Google Scholar 

Download references

Acknowledgments

This work was supported by JSPS Grants-in-Aid Scientific Research grant no. 26293342 to AK and in part by the Health and Labour Sciences Research Expenses for Commission, Applied Research for Innovative Treatment of Cancer, from the Ministry of Health, Labour and Welfare (H26-084).

Conflict of Interest

The authors declare that they have no conflict of interest.

Author information

Affiliations

Authors

Corresponding author

Correspondence to Kazutaka Kikuta.

Rights and permissions

Reprints and Permissions

About this article

Verify currency and authenticity via CrossMark

Cite this article

Kikuta, K., Kubota, D., Yoshida, A. et al. An analysis of factors related to the tail-like pattern of myxofibrosarcoma seen on MRI. Skeletal Radiol 44, 55–62 (2015). https://doi.org/10.1007/s00256-014-1992-5

Download citation

  • Received:

  • Revised:

  • Accepted:

  • Published:

  • Issue Date:

  • DOI: https://doi.org/10.1007/s00256-014-1992-5

Keywords

  • Myxofibrosarcoma
  • MRI
  • Tail like