Skip to main content

Pisotriquetral joint disorders: an under-recognized cause of ulnar side wrist pain

Abstract

Pisotriquetral joint disorders are often under-recognized in routine clinical practice. They nevertheless represent a significant cause of ulnar side wrist pain. The aim of this article is to present the main disorders of this joint and discuss the different imaging modalities that can be useful for its assessment.

This is a preview of subscription content, access via your institution.

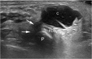
Fig. 1
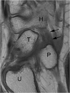
Fig. 2
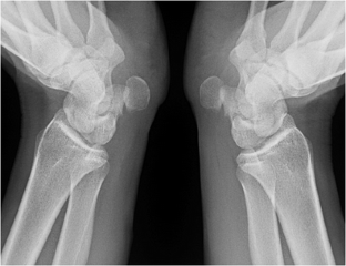
Fig. 3
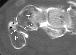
Fig. 4
Fig. 5
Fig. 6
Fig. 7
Fig. 8
Fig. 9
Fig. 10
Fig. 11
Fig. 12
Fig. 13
Fig. 14
Fig. 15
Fig. 16
Fig. 17
Fig. 18
Fig. 19
Fig. 20
Fig. 21
Fig. 22
Fig. 23
Fig. 24

References

  1. May O. The pisiform bone: sesamoid or carpal bone? Ann Chir Main Memb Super. 1996;15(4):265–71.

    PubMed  Article  CAS  Google Scholar 

  2. Michelson N. Studies in physical development: the ossification time of the os pisiform. Hum Biol. 1945;1945(17):142–6.

    Google Scholar 

  3. Pevny T, Rayan GM, Egle D. Ligamentous and tendinous support of the pisiform, anatomic and biomechanical study. J Hand Surg [Am]. 1995;20(2):299–304.

    Article  CAS  Google Scholar 

  4. Yamaguchi S, Viegas SF, Patterson RM. Anatomic study of the pisotriquetral joint: ligament anatomy and cartilagenous change. J Hand Surg Am. 1998;23(4):600–6.

    PubMed  Article  CAS  Google Scholar 

  5. Theumann NH, Pfirrmann CW, Chung CB, Antonio GE, Trudell DJ, Resnick D. Pisotriquetral joint. Assessment with MR imaging and MR arthrography. Radiology. 2002;222(3):763–70.

    PubMed  Article  Google Scholar 

  6. Rayan GM. Pisiform ligament complex syndrome and pisotriquetral arthrosis. Hand Clin. 2005;21(4):507–17.

    PubMed  Article  Google Scholar 

  7. Rayan GM, Jameson BH, Chung KW. The pisotriquetral joint: anatomic, biomechanical, and radiographic analysis. J Hand Surg Am. 2005;30(3):596–602.

    PubMed  Article  Google Scholar 

  8. Buck FM, Gheno R, Nico MA, Haghighi P, Trudell DJ, Resnick D. Ulnomeniscal homologue of the wrist: correlation of anatomic and MR imaging findings. Radiology. 2009;253(3):771–9.

    PubMed  Article  Google Scholar 

  9. Beckers A, Koebke J. Mechanical strain at the pisotriquetral joint. Clin Anat. 1998;11(5):320–6.

    PubMed  Article  CAS  Google Scholar 

  10. Denman EE. The anatomy of the space of Guyon. Hand. 1978;10(1):69–76.

    PubMed  Article  CAS  Google Scholar 

  11. Ombaba J, Kuo M, Rayan G. Anatomy of the ulnar tunnel and the influence of wrist motion on its morphology. J Hand Surg Am. 2010;35(5):760–8.

    PubMed  Article  Google Scholar 

  12. Pierre A, Le Nen D, Hu W, Dubrana F, Saraux A, Chaise F. Treatment of piso-triquetral pain by excision of the pisiform: report of fifteen cases. Chir Main. 2003;22(1):37–42.

    PubMed  Article  CAS  Google Scholar 

  13. Seradge H, Seradge E. Piso-triquetral pain syndrome after carpal tunnel release. J Hand Surg Am. 1989;14(5):858–62.

    PubMed  Article  CAS  Google Scholar 

  14. Carroll RE, Coyle Jr MP. Dysfunction of the pisotriquetral joint: treatment by excision of the pisiform. J Hand Surg Am. 1985;10(5):703–7.

    PubMed  Article  CAS  Google Scholar 

  15. Belliappa PP, Burke FD. Excision of the pisiform in piso-triquetral osteoarthritis. J Hand Surg Br. 1992;17(2):133–6.

    PubMed  Article  CAS  Google Scholar 

  16. Blum AG, Zabel JP, Kohlmann R, et al. Pathologic conditions of the hypothenar eminence: evaluation with multidetector CT and MR imaging. Radiographics. 2006;26(4):1021–44.

    PubMed  Article  Google Scholar 

  17. Wick MC, Weiss RJ, Arora R, et al. Enthesiopathy of the flexor carpi ulnaris at the pisiform: findings of high-frequency sonography. Eur J Radiol. 2011;77(2):240–4.

    PubMed  Article  Google Scholar 

  18. Moraux A, Vandenbussche L, Demondion X, Gheno R, Pansini V, Cotten A. Anatomical study of the pisotriquetral joint ligaments using ultrasonography. Skeletal Radiol. 2012;41(3):321–8.

    PubMed  Article  Google Scholar 

  19. Seror P, Lestrade M, Vacher H. Ulnar nerve compression at the wrist by a synovial cyst successfully treated with percutaneous puncture and corticosteroid injection. Jt Bone Spine. 2000;67(2):127–8.

    CAS  Google Scholar 

  20. Pessis E, Drape JL, Bach F, Feydy A, Guerini H, Chevrot A. Direct arthrography of the pisotriquetral joint. AJR Am J Roentgenol. 2006;186(3):800–4.

    PubMed  Article  Google Scholar 

  21. Yoshioka H, Ueno T, Tanaka T, Shindo M, Itai Y. High-resolution MR imaging of triangular fibrocartilage complex (TFCC): comparison of microscopy coils and a conventional small surface coil. Skeletal Radiol. 2003;32(10):575–81.

    PubMed  Article  Google Scholar 

  22. Yoshioka H, Burns JE. Magnetic resonance imaging of triangular fibrocartilage. J Magn Reson Imaging. 2012;35(4):764–78.

    PubMed  Article  Google Scholar 

  23. Watanabe A, Souza F, Vezeridis PS, Blazar P, Yoshioka H. Ulnar-sided wrist pain. II. Clinical imaging and treatment. Skeletal Radiol. 2010;39(9):837–57.

    PubMed Central  PubMed  Article  Google Scholar 

  24. Lenk S, Ludescher B, Martirosan P, Schick F, Claussen CD, Schlemmer HP. 3.0-T high-resolution MR imaging of carpal ligaments and TFCC. Rofo. 2004;176(5):664–7.

    PubMed  Article  CAS  Google Scholar 

  25. Saupe N. 3-Tesla high-resolution MR imaging of the wrist. Semin Musculoskelet Radiol. 2009;13(1):29–38.

    PubMed  Article  Google Scholar 

  26. Saupe N, Prussmann KP, Luechinger R, Bosiger P, Marincek B, Weishaupt D. MR imaging of the wrist: comparison between 1.5- and 3-T MR imaging–preliminary experience. Radiology. 2005;234(1):256–64.

    PubMed  Article  Google Scholar 

  27. Jacobs LG. Isolated fracture of the pisiform bone; a case report. Radiology. 1948;50(4):529–31.

    PubMed  CAS  Google Scholar 

  28. Vasilas A. Roentgen aspect of injuries to the pisiform bone and pisotriquetral joint. J Bone Joint Surg. 1960;42:1317–28.

    Google Scholar 

  29. O'Shea K, Weiland AJ. Fractures of the hamate and pisiform bones. Hand Clin. 2012;28(3):287–300. viii.

    PubMed  Article  Google Scholar 

  30. Fleege MA, Jebson PJ, Renfrew DL, Steyers Jr CM. el-Khoury GY. Pisiform fractures. Skeletal Radiol. 1991;20(3):169–72.

    PubMed  Article  CAS  Google Scholar 

  31. Lacey JD, Hodge JC. Pisiform and hamulus fractures: easily missed wrist fractures diagnosed on a reverse oblique radiograph. J Emerg Med. 1998;16(3):445–52.

    PubMed  Article  CAS  Google Scholar 

  32. Israeli A, Engel J, Ganel A. Possible fatigue fracture of the pisiform bone in volleyball players. Int J Sports Med. 1982;3(1):56–7.

    PubMed  Article  CAS  Google Scholar 

  33. Welling RD, Jacobson JA, Jamadar DA, Chong S, Caoili EM, Jebson PJ. MDCT and radiography of wrist fractures: radiographic sensitivity and fracture patterns. AJR Am J Roentgenol. 2008;190(1):10–6.

    PubMed  Article  Google Scholar 

  34. Aiki H, Wada T, Yamashita T. Pisotriquetral arthrosis after triquetral malunion: a case report. J Hand Surg Am. 2006;31(7):1157–9.

    PubMed  Article  Google Scholar 

  35. Suzuki T, Nakatsuchi Y, Tateiwa Y, Tsukada A, Yotsumoto N. Osteochondral fracture of the triquetrum: a case report. J Hand Surg Am. 2002;27(1):98–100.

    PubMed  Article  Google Scholar 

  36. Immermann EW. Dislocation of the pisiform. J Bone Joint Surg Am. 1948;30A(2):489–22.

    PubMed  CAS  Google Scholar 

  37. Fabre A, Le Nen D, Casse JP, Hu W, Colin D. L'angle piso-métacarpien: application au diagnostic de luxation du pisiform. La Main. 1999;4(4):253–62.

    Google Scholar 

  38. Steinmann SP, Linscheid RL. Pisotriquetral loose bodies. J Hand Surg Am. 1997;22(5):918–21.

    PubMed  Article  CAS  Google Scholar 

  39. Katolik LI. Arthroscopic resection of pisotriquetral joint loose body: a case report. J Hand Surg Am. 2008;33(2):206–9.

    PubMed  Article  Google Scholar 

  40. Moreel P. Osteoarthritic degeneration of the pisiform-triquetral joint. J Traumatol Sports. 2005;2005(22):102–6.

    Article  Google Scholar 

  41. Lautenbach M, Eisenschenk A, Langner I, Arntz U, Millrose M. Comparison of clinical results after pisiformectomy in patients with rheumatic versus posttraumatic osteoarthritis. Orthopedics. 2013;36(10):e1239–43.

    PubMed  Google Scholar 

  42. Abrams R, Tontz W. Pisotriquetral arthrodesis as an alternative to excision for pisotriquetral instability in high-demand patients: a case report in a gymnast. J Hand Surg Am. 2006;31(4):611–4.

    PubMed  Article  Google Scholar 

  43. Singer G, Eberl R, Hoellwarth ME. Pisotriquetral arthrodesis for pisotriquetral instability: case report. J Hand Surg Am. 2011;36(2):299–303.

    PubMed  Article  Google Scholar 

  44. Le Nen D. Pathology of the piso-triquetral joint: report of 26 cases. Ann Orthop Quest. 2000;2000(32):129–34.

    Google Scholar 

  45. Fischer E. Piso-triquetral arthrosis and the so-called pisiform secundarium. Radiology. 1988;28(7):338–44.

    CAS  Google Scholar 

  46. Paley D, McMurtry RY, Cruickshank B. Pathologic conditions of the pisiform and pisotriquetral joint. J Hand Surg Am. 1987;12(1):110–9.

    PubMed  Article  CAS  Google Scholar 

  47. Lam KS, Woodbridge S, Burke FD. Wrist function after excision of the pisiform. J Hand Surg Br. 2003;28(1):69–72.

    PubMed  Article  CAS  Google Scholar 

  48. Seror P, Vuillemin V. Ulnar nerve lesion at the wrist related to pisotriquetral joint arthropathy. Muscle Nerve. 2013;47(4):600–4.

    PubMed  Article  Google Scholar 

  49. Jenkins SA. Osteoarthritis of the pisiform-triquetral joint; report of three cases. J Bone Joint Surg Br. 1951;33-B(4):532–4.

    PubMed  CAS  Google Scholar 

  50. Krag C. Osteoarthritis of the piso-triquetral articulation. Hand. 1974;6(2):181–4.

    PubMed  Article  CAS  Google Scholar 

  51. Vastamaki M. Pisiform-triquetrial osteoarthritis as cause of wrist pain. Ann Chir Gynaecol. 1986;75(5):280–2.

    PubMed  CAS  Google Scholar 

  52. Helal B. Chronic overuse injuries of the piso-triquetral joint in racquet game players. Br J Sports Med. 1978;12(4):195–8.

    PubMed Central  PubMed  Article  CAS  Google Scholar 

  53. Rodineau J, Rolland E. Pisotriquetral joint diseases. In: Masson, editor. Pathologie intra- et péritendineuse du membre supérieur des sportifs. Paris: Elsevier Masson; 2006.

    Google Scholar 

  54. Sundaram M, Shively R, Patel B, Tayob A. Isolated dislocation of the pisiform. Br J Radiol. 1980;53(633):911–2.

    PubMed  Article  CAS  Google Scholar 

  55. Saint-Cyr M, Kleinert HE. Compression of the ulnar nerve and spasm of the ulnar artery in Guyon's canal caused by a hypermobile pisiform bone. Scand J Plast Reconstr Surg Hand Surg. 2008;42(4):215–7.

    PubMed  Article  Google Scholar 

  56. Corten EM, van den Broecke DG, Kon M, Schuurman AH. Pisotriquetral instability causing an unusual flexor tendon rupture. J Hand Surg Am. 2004;29(2):236–9.

    PubMed  Article  Google Scholar 

  57. Chen WA, Barnwell JC, Li Y, Smith BP, Li Z. An ulnar intraneural ganglion arising from the pisotriquetral joint: case report. J Hand Surg Am. 2011;36(1):65–7.

    PubMed  Article  Google Scholar 

  58. Hayes JR, Mulholland RC, O'Connor BT. Compression of the deep palmar branch of the ulnar nerve. Case report and anatomical study. J Bone Joint Surg Br. 1969;51(3):469–72.

    PubMed  CAS  Google Scholar 

  59. Burnett SE. Hamate-pisiform coalition. Morphology, clinical significance, and a simplified classification scheme for carpal coalition. Clin Anat. 2011;24(2):188–96.

    PubMed  Article  Google Scholar 

  60. Saylisoy S, Akcan E, Atlanoglu S, Calisir C, Inan U, Oztunali C. Incomplete left-hand and complete right-hand pisiform and hamate coalition: multidetector computed tomography findings. Jpn J Radiol. 2011;29(4):276–8.

    PubMed  Article  Google Scholar 

  61. Tsionos I, Drape JL, Le Viet D. Bilateral pisiform-hamate coalition causing carpal tunnel syndrome and tendon attrition. A case report. Acta Orthop Belg. 2004;70(2):171–6.

    PubMed  Google Scholar 

  62. Louaste J, Amhajji L, Rachid K. Pisiform-hamate synostosis with ulnar neuropathy. Case report. Chir Main. 2007;26(3):170–2.

    PubMed  Article  CAS  Google Scholar 

  63. Chikura B. Pisiform hypertrophy. A radiological feature of psoriatic arthritis. J Clin Rheumatol. 2011;17(2):109.

    PubMed  Article  Google Scholar 

  64. Freedman DM, Botte MJ, Gelberman RH. Vascularity of the carpus. Clin Orthop Relat Res. 2001;383:47–59.

    PubMed  Article  Google Scholar 

  65. Garcia LA, Vaca JB. Avascular necrosis of the pisiform. J Hand Surg Br. 2006;31(4):453–4.

    PubMed  Article  CAS  Google Scholar 

  66. Match RM. Nonspecific avascular necrosis of the pisiform bone: a case report. J Hand Surg Am. 1980;5(4):341–2.

    PubMed  Article  CAS  Google Scholar 

Download references

Conflict of interest

The authors declare that they have no conflicts of interest.

Author information

Affiliations

Authors

Corresponding author

Correspondence to A. Moraux.

Rights and permissions

Reprints and Permissions

About this article

Cite this article

Moraux, A., Lefebvre, G., Pansini, V. et al. Pisotriquetral joint disorders: an under-recognized cause of ulnar side wrist pain. Skeletal Radiol 43, 761–773 (2014). https://doi.org/10.1007/s00256-014-1848-z

Download citation

  • Received:

  • Revised:

  • Accepted:

  • Published:

  • Issue Date:

  • DOI: https://doi.org/10.1007/s00256-014-1848-z

Keywords

  • Pisiform
  • Pisotriquetral joint diseases
  • Radiography
  • Sonography
  • CT Scan
  • Magnetic resonnance imaging (MRI)