Skip to main content

Radiographic findings in Waldenström’s macroglobulinemia resembling fibrogenesis imperfecta ossium (FIO): A case report

Abstract

A case of Waldenström’s macroglobulinemia with radiographic features of fibrogenesis imperfecta ossium is presented. The case raises the possibility that these radiographic findings might be more common in Waldenström’s macroglobulinemia than previously appreciated, and illustrates the need for bone biopsy to establish a definitive diagnosis of fibrogenesis imperfecta ossium.

This is a preview of subscription content, access via your institution.

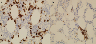
Fig. 1
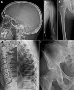
Fig. 2
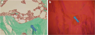
Fig. 3

References

  1. Waldenström J. Incipient myelomatosis an “essential” hyperglobulinemia with fibrinogenopenia—a new syndrome. Acta Med Scand. 1944;117:216–47.

    Article  Google Scholar 

  2. Resnick D. Diagnosis of Bone and Joint Disorders. 4th ed. Philadelphia: Saunders; 2002.

    Google Scholar 

  3. Welton J, Walker SR, Sharp GC, Herzenberg LA, Wistar Jr R, Creger WP. Macroglobulinemia with bone destruction. Am J Med. 1968;44(2):280–8.

    CAS  PubMed  Article  Google Scholar 

  4. Vermess M, Pearson KD, Einstein AB, Fahey JL. Osseous manifestations of Waldenström’s macroglobulinemia. Radiology. 1972;102(3):497–504.

    CAS  PubMed  Google Scholar 

  5. Rothschild BM, Ruhli F, Rothschild C. Skeletal clues apparently distinguishing Waldenström’s macroglobulinemia from multiple myeloma and leukemia. Am J Human Biol. 2002;14(4):532–7.

    CAS  Article  Google Scholar 

  6. Carr AJ, Smith R, Athanasou N, Woods CG. Fibrogenesis imperfecta ossium. J Bone Joint Surg Br. 1995;77(5):820–9.

    CAS  PubMed  Google Scholar 

  7. Sissons HA. Fibrogenesis imperfect ossium (Baker’s disease): a case studied at autopsy. Bone. 2000;27(6):865–73.

    CAS  PubMed  Article  Google Scholar 

  8. Stanley P, Baker SL, Byers PD. Unusual bone trabeculation in a patient with macroglobulinemia simulating fibrogenesis imperfecta ossium. Br J Radiol. 1971;44(520):305–13.

    CAS  PubMed  Article  Google Scholar 

  9. Baker SL, Dent CE, Friedman M, Watson L. Fibrogenesis imperfecta ossium. J Bone Joint Surg. 1966;48(4):804–25.

    CAS  Google Scholar 

  10. Baker SL. Fibrogenesis imperfecta ossium: a generalized disease of bone characterized by defective formation of the collagen fibers of the bone matrix. J Bone Joint Surg Br. 1956;38-B(1):378–417.

    CAS  PubMed  Google Scholar 

  11. Stamp TC, Byers PD, Ali SY, Jenkins MV, Willoughby JM. Fibrogenesis imperfecta ossium: remission with melphalan. Lancet. 1985;1(8428):582–3.

    CAS  PubMed  Article  Google Scholar 

  12. Ralphs JR, Stamp TC, Dopping-Hepenstal PJ, Ali SY. Ultrastructural features of the osteoid of patients with fibrogenesis imperfecta ossium. Bone. 1989;10(4):243–9.

    CAS  PubMed  Article  Google Scholar 

  13. Lafage-Proust MH, Schaeverbeke T, Dehais J. Fibrogenesis imperfecta ossium: ineffectiveness of melphalan. Calcif Tissue Int. 1996;59(4):240–4.

    CAS  PubMed  Article  Google Scholar 

  14. Wang CS, Steinbach LS, Campbell JB, Hayashi G, Sangwook TY, Johnston JO. Fibrogenesis imperfecta ossium: imaging correlation in three new patients. Skeletal Radiol. 1999;28(7):390–5.

    CAS  PubMed  Article  Google Scholar 

  15. Pinto F, Bonucci E, Mezzelani P, Cetta G, De Sandre G. Fibrogenesis imperfecta ossium: clinical, biochemical and Ultrastructural investigations. Ital J Orthop Traumatol. 1981;7(3):371–85.

    CAS  PubMed  Google Scholar 

  16. Stoddart PGP, Wickremaratchi T, Hollingworth P, Watt I. Fibrogenesis imperfecta ossium. Br J Radiol. 1984;57(680):744–51.

    CAS  PubMed  Article  Google Scholar 

  17. Connor R. Case of the season. Fibrogenesis imperfect ostium. Semin Roentgenol. 1985;20(4):325–6.

    Article  Google Scholar 

  18. Coursey C, Weber T, Dodd L, Martinez S. Fibrogenesis imperfect ossium: MR imaging of the axial and appendicular skeleton and correlation with a unique radiographic appearance. Skeletal Radiol. 2007;36(11):1077–84.

    PubMed  Article  Google Scholar 

  19. Thomas Jr WC, Moore TH. Fibrogenesis imperfect ossium. Trans Am Clin Climatol Assoc. 1969;80:54–62.

    PubMed Central  PubMed  Google Scholar 

Download references

Acknowledgments

The authors thank the Marshfield Clinic Research Foundation Office of Scientific Writing and Publications for assistance with this case report.

Conflict of Interest

The authors declare that they have no conflicts of interest.

Author information

Affiliations

Authors

Corresponding author

Correspondence to Narendranath Epperla.

Rights and permissions

Reprints and Permissions

About this article

Cite this article

Epperla, N., McKiernan, F.E. & Kenney, C.V. Radiographic findings in Waldenström’s macroglobulinemia resembling fibrogenesis imperfecta ossium (FIO): A case report. Skeletal Radiol 43, 381–385 (2014). https://doi.org/10.1007/s00256-013-1734-0

Download citation

  • Received:

  • Revised:

  • Accepted:

  • Published:

  • Issue Date:

  • DOI: https://doi.org/10.1007/s00256-013-1734-0

Keywords

  • Fibrogenesis imperfecta ossium
  • Waldenström’s macroglobulinemia
  • Skeletal system
  • Radiograph