Skip to main content

Increased size of a gas-filled intradural cyst causing acute foot drop: a case report

Abstract

We describe the case of a 76-year-old man presenting with a gas-filled intradural cyst that increased in size over a 10-month period and caused acute bilateral foot drop. The gas-filled intradural cyst was resected from the adherent cauda equina, and histopathological examination identified cystic tissue with degenerated fibrocartilage. Leg pain disappeared immediately following surgery, and the bilateral foot drop resolved within 8 months.

This is a preview of subscription content, access via your institution.

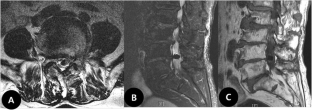
Fig. 1
Fig. 2
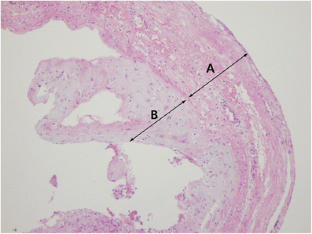
Fig. 3
Fig. 4

References

  1. Hidalgo-Ovejero AM, Garcia-Mata S, Gozzi-Vallejo S, Izco-Cabezon T, Martinez-Morentin J, Martinez-Grande M. Intradural disc herniation and epidural gas: something more than a casual association? Spine (Phila Pa 1976). 2004;29(20):E463–7.

    Article  Google Scholar 

  2. Kakitsubata Y, Theodorou SJ, Theodorou DJ, Yuko M, Ito Y, Yuki Y, et al. Symptomatic epidural gas cyst associated with discal vacuum phenomenon. Spine (Phila Pa 1976). 2009;34(21):E784–9.

    Article  Google Scholar 

  3. Harvey AR, Britton JM, Plant GR. A gas-filled intradural cyst associated with disc degeneration. Spinal Cord. 2000;38(11):708–10.

    PubMed  Article  CAS  Google Scholar 

  4. Chiu LJ, Tsai PC, Chou PC, Kuo TM, Cheng C, Li MJ, et al. A gas-filled intradural cyst with intradural disc herniation: a case report. Acta Neurol Taiwan. 2008;17(1):36–41.

    PubMed  Google Scholar 

  5. Kawaguchi S, Yamashita T, Ida K, Ikeda T, Ohwada O. Gas-filled intradural cyst of the lumbar spine. Case report. J Neurosurg. 2001;95(2 Suppl):257–9.

    PubMed  CAS  Google Scholar 

  6. Kudo Y, Nishijima Y, Mochida K, Sekido Y, Tachibana S. Gas-filled intradural cyst with migration into the nerve root of the cauda equina. J Neurosurg Spine. 2008;8(5):482–6.

    PubMed  Article  Google Scholar 

  7. Sei A, Mizutamari M, Fujimoto T, Taniwaki T, Mizuta H. Gas-filled intradural cysts of the lumbar spine and the possible pathogenesis. Spine J. 2009;9(7):e6–8.

    PubMed  Article  Google Scholar 

  8. Cho HL, Lee SH, Kim JS. Gas-filled intradural cyst within the cauda equine. J Korean Neurosurg Soc. 2011;49(3):182–5.

    PubMed  Article  Google Scholar 

  9. Schizas C, Theumann N, Burn A, Tansey R, Wardlaw D, Smith FW, et al. Qualitative grading of severity of lumbar spinal stenosis based on the morphology of the dural sac on magnetic resonance images. Spine (Phila Pa 1976). 2010;35(21):1919–24.

    Article  Google Scholar 

  10. Niggemann P, Kuchta J, Hoeffer J, Grosskurth D, Beyer HK, Delank KS. Juxtafacet cysts of the lumbar spine: a positional MRI study. Skelet Radiol. 2012;41(3):313–20.

    Article  Google Scholar 

  11. Taha H, Bareksei Y, Albanna W, Schirmer M. Ligamentum flavum cyst in the lumbar spine: a case report and review of the literature. J Orthop Traumatol Off J Italian Soc Orthop Traumatol. 2010;11(2):117–22.

    Article  CAS  Google Scholar 

  12. Lippman CR, Arginteanu M, Purohit D, Naidich TP, Camins MB. Intramedullary neurenteric cysts of the spine. Case report and review of the literature. J Neurosurg. 2001;94(2 Suppl):305–9.

    PubMed  CAS  Google Scholar 

  13. Dillon WP, Kaseff LG, Knackstedt VE, Osborn AG. Computed tomography and differential diagnosis of the extruded lumbar disc. J Comput Assist Tomogr. 1983;7(6):969–75.

    PubMed  Article  CAS  Google Scholar 

  14. Raynor RB, Saint-Louis L. Postoperative gas bubble foot drop. A case report. Spine (Phila Pa 1976). 1999;24(3):299–301.

    Article  CAS  Google Scholar 

  15. Yoshida H, Shinomiya K, Nakai O, Kurosa Y, Yamaura I. Lumbar nerve root compression caused by lumbar intraspinal gas. Report of three cases. Spine (Phila Pa 1976). 1997;22(3):348–51.

    Article  CAS  Google Scholar 

  16. Salpietro FM, Alafaci C, Collufio D, Passalacqua M, Puglisi E, Tripodo E, et al. Radicular compression by lumbar intraspinal epidural gas pseudocyst in association with lateral disc herniation. Role of the posterior longitudinal ligament. J Neurosurg Sci. 2002;46(2):93–5. discussion 95.

    PubMed  CAS  Google Scholar 

  17. Sasani M, Ozer AF, Oktenoglu T, Cosar M, Karaarslan E, Sarioglu AC. Recurrent radiculopathy caused by epidural gas after spinal surgery: report of four cases and literature review. Spine (Phila Pa 1976). 2007;32(10):E320–5.

    Article  Google Scholar 

  18. Kuh SU, Heo DH, Kim KS, Cho YJ. Lumbar epidural gas-containing pseudocysts as a cause of severe radicular pain. Joint Bone Spine. 2011;78(4):398–401.

    PubMed  Article  Google Scholar 

  19. Righini A, Lucchi S, Reganati P, Zavanone M, Bettinelli A. Percutaneous treatment of gas-containing lumbar disc herniation. Report of two cases. J Neurosurg. 1999;91(1 Suppl):133–6.

    PubMed  CAS  Google Scholar 

Download references

Acknowledgments

No benefit in any form has been received or will be received from any commercial party related directly or indirectly to the subject of this article. We thank Textcheck.com for providing professional English-language editing of our manuscript.

No funds were received in support of this work. No benefits in any form have been or will be received from a commercial party related directly or indirectly to the subject of this article.

Conflicts of interest

None

Author information

Affiliations

Authors

Corresponding author

Correspondence to Nam-Su Chung.

Additional information

The manuscript submitted does not contain information about medical device(s)/drug(s).

Rights and permissions

Reprints and Permissions

About this article

Cite this article

Jeon, CH., Park, JU., Choo, HS. et al. Increased size of a gas-filled intradural cyst causing acute foot drop: a case report. Skeletal Radiol 42, 1747–1750 (2013). https://doi.org/10.1007/s00256-013-1668-6

Download citation

  • Received:

  • Revised:

  • Accepted:

  • Published:

  • Issue Date:

  • DOI: https://doi.org/10.1007/s00256-013-1668-6

Keywords

  • Intradural
  • Gas
  • Cyst
  • Foot drop
  • MRI