Skip to main content

Subchondral impaction fractures of the non-weight-bearing portion of the lateral femoral condyle

Abstract

Objective

To document the first report of intra-articular, non-weight-bearing, impaction fractures of the lateral femoral condyle.

Materials & methods

Institutional Review Board and Regional Ethics Committee approval for this study was obtained and patient informed consent deemed unnecessary. We prospectively documented all potential cases of non-weight-bearing posterior subchondral impaction fractures of the femoral condyles diagnosed on magnetic resonance imaging (MRI) of the knee performed at our institution between January 2006 and December 2011. The cases were reviewed and discussed by three experienced musculoskeletal radiologists and only cases satisfying pre-defined MRI criteria were included.

Results

Sixteen cases of intra-articular impaction fractures in a posterior, non-weight-bearing area of the lateral femoral condyle were diagnosed in patients with a mean age of 40. Eight were associated with recreational sports activities and 4 with repeated kneeling. There were no fractures documented in the non-weight-bearing aspect of the medial femoral condyles. Proposed underlying mechanisms for development of this type of fracture are presented.

Conclusion

Awareness, along with a high level of suspicion, that non-specific knee pain, especially in patients involved in athletic activities, could be due to intra-articular impaction fractures of the non-weight-bearing posterior aspect of the lateral femoral condyle is essential and MRI is the mainstay of diagnosis.

This is a preview of subscription content, access via your institution.

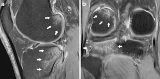
Fig. 1
Fig. 2
Fig. 3
Fig. 4
Fig. 5
Fig. 6
Fig. 7
Fig. 8

References

  1. DeFranco M, Recht M, Schils J, Parker RD. Stress fractures of the femur in athletes. Clin Sports Med. 2006;25:89–103. ix.

    PubMed  Article  Google Scholar 

  2. Drabicki R, Greer W, DeMeo P. Stress fractures around the knee. Clin Sports Med. 2006;25:105–15.

    PubMed  Article  Google Scholar 

  3. Boden B, Speer K. Femoral stress fractures. Clin Sports Med. 1997;16(2):307–17.

    PubMed  Article  CAS  Google Scholar 

  4. Lafforgue P, Daumen-Legré V, Clairet D, Daver L, Acquaviva PC. Insufficiency fractures of the medial femoral condyle. Rev Rhum Engl Ed. 1996;63(4):262–9.

    PubMed  CAS  Google Scholar 

  5. Milgrom C, Chisin R, Margulies J, et al. Stress fractures of the medial femoral condyle. J Trauma. 1986;26(2):199–200.

    PubMed  Article  CAS  Google Scholar 

  6. Davies M, Cassar-Pullicino VN, Darby AJ. Subchondral insufficiency fractures of the femoral head. Eur Radiol. 2004;14(2):201–7.

    PubMed  Article  CAS  Google Scholar 

  7. Muthukumar T, Butt SH, Cassar-Pullicino VN. Stress fractures and related disorders in foot and ankle: plain films, scintigraphy, CT and MR imaging. Semin Musculoskelet Radiol. 2005;09(3):210–26.

    Article  Google Scholar 

  8. Legroux Gerot I, Demondion X, Louville AB, Delcambre B, Cortet B. Subchondral fractures of the femoral head: a review of seven cases. Joint Bone Spine. 2004;71(2):131–5.

    PubMed  Article  Google Scholar 

  9. Ikemura S, Yamamoto T, Motomura G, Nakashima Y, Makawari T, Iwamoto Y. MRI evaluation of collapsed femoral heads in patients 60 years old or older: Differentiation of subchondral insufficiency fracture from osteonecrosis of the femoral head. Am J Roentgenol. 2010;195(1):W63–8.

    Article  Google Scholar 

  10. Yildirim M, Gursoy R, Varoglu E, Oztasyonar Y, Cogalgil S. 99 M Tc-MDP bone SPECT in evaluation of the knee in asymptomatic soccer players. Br J Sports Med. 2004;38(1):15–8.

    PubMed  Article  CAS  Google Scholar 

  11. Mink JH, Deutsch AL. Occult cartilage and bone injuries of the knee: detection, classification, and assessment with MR imaging. Radiology. 1989;170(3 Pt1):823–9.

    PubMed  CAS  Google Scholar 

  12. Milgrom C, Giladi M, Stein M, et al. Stress fractures in military recruits: a prospective study showing an unusually high incidence. J Bone Joint Surg Br. 1985;67(5):732–5.

    PubMed  CAS  Google Scholar 

  13. Matheson GO, Clement DB, McKenzie DC, Taunton JE, Lloyd-Smith DR, MacIntyre JG. Stress fractures in athletes: a study of 320 cases. Am J Sports Med. 1987;15(1):46–58.

    PubMed  Article  CAS  Google Scholar 

  14. Anderson MW, Greenspan A. Stress fractures. Radiology. 1996;199(1):1–12.

    PubMed  CAS  Google Scholar 

  15. Clement DB, Ammann W, Taunton JE, et al. Exercise-induced stress injuries to the femur. Int J Sports Med. 1993;14(6):347–52.

    PubMed  Article  CAS  Google Scholar 

  16. Rajendran K. Mechanism of locking at the knee joint. J Anat. 1985;143:189–94.

    PubMed  CAS  Google Scholar 

  17. Pinskerova V, Johal P, Nakagawa S, et al. Does the femur roll-back with flexion? J Bone Joint Surg Br. 2004;86(6):925–31.

    PubMed  Article  CAS  Google Scholar 

  18. Nakagawa S, Kadoya Y, Todo S, et al. Tibiofemoral movement 3: full flexion in the living knee studied by MRI. J Bone Joint Surg Br. 2000;82(8):1199–200.

    PubMed  Article  CAS  Google Scholar 

  19. Sofka CM. Imaging of stress fractures. Clin Sports Med. 2006;25(1):53–62.

    PubMed  Article  Google Scholar 

  20. Wall J, Feller J. Imaging of stress fractures in runners. Clin Sports Med. 2006;25(4):781–802.

    PubMed  Article  Google Scholar 

  21. Iwamoto J, Takeda T. Stress fractures in athletes: review of 196 cases. J Orthop Sci. 2003;8(3):273–8.

    PubMed  Article  Google Scholar 

  22. Zazryn TR, Finch CF, McCrory P. A 16 year study of injuries to professional kickboxers in the state of Victoria, Australia. Br J Sports Med. 2003;37(5):448–51.

    PubMed  Article  CAS  Google Scholar 

  23. Gartland S, Malik MHA, Lovell ME. Injury and injury rates in Muay Thai kick boxing. Br J Sports Med. 2001;35(5):308–13.

    PubMed  Article  CAS  Google Scholar 

  24. Krivickas LS. Anatomical factors associated with overuse sports injuries. Sports Med. 1997;24(2):132–46.

    PubMed  Article  CAS  Google Scholar 

  25. Niva H, Kiuru J, Haataja R, Pihlajamäki H. Fatigue injuries of the femur. J Bone Joint Surg Br. 2005;87(10):1385–90.

    PubMed  Article  CAS  Google Scholar 

Download references

Conflicts of interest

The authors declare that they have no conflicts of interest.

Author information

Affiliations

Authors

Corresponding author

Correspondence to Victor N. Cassar-Pullicino.

Rights and permissions

Reprints and Permissions

About this article

Cite this article

Depasquale, R., Fotiadou, A., Kumar, D.S. et al. Subchondral impaction fractures of the non-weight-bearing portion of the lateral femoral condyle. Skeletal Radiol 42, 177–185 (2013). https://doi.org/10.1007/s00256-012-1492-4

Download citation

  • Received:

  • Revised:

  • Accepted:

  • Published:

  • Issue Date:

  • DOI: https://doi.org/10.1007/s00256-012-1492-4

Keywords

  • Intra-articular
  • Non-weight-bearing
  • Impaction fractures
  • Knee
  • Magnetic resonance imaging