Skip to main content

Vacuum phenomenon: prevalence and appearance in the knee with 3 T magnetic resonance imaging

Abstract

Objectives

To determine the prevalence of vacuum phenomenon (VP) in the knee on magnetic resonance (MR) images, describe the imaging features that characterize VP, and assess how often VP mimics pathological knee lesions.

Materials and methods

Consecutive knee MR studies performed on a 3 T MR system over a 9-month period were retrospectively reviewed by one radiologist who then selected studies with findings potentially indicating VP. Three experienced musculoskeletal radiologists reviewed these cases in consensus to confirm the presence of VP and to assess the shape, size, and signal of VP; the presence of magnetic susceptibility artifacts; and the ability of MR sequences to show VP.

Results

A total of 914 consecutive exams from 875 patients (524 men; mean age, 35 years) were reviewed. Vacuum phenomenon was found in 12 patients (prevalence 1.3%). In six (50%) patients, VP mimicked a meniscal tear, with four cases simulating a torn medial discoid meniscus. The VP signal was not easily differentiated from meniscal signal on most sequences in most cases (9/12). Gradient-recalled echo (GRE) localizer images proved most definitive, with 3D SPACE images the next most effective. Fast spin echo (FSE) images were only occasionally able to differentiate VP from meniscus.

Conclusion

Rarely recognized on MR, VP can mimic meniscal pathology, potentially leading to inappropriate surgery. Because differentiation of VP from the meniscus is challenging on FSE at 3 T, radiologists should become familiar with the appearance of VP and review GRE localizer or 3D images carefully to avoid misinterpretation.

This is a preview of subscription content, access via your institution.

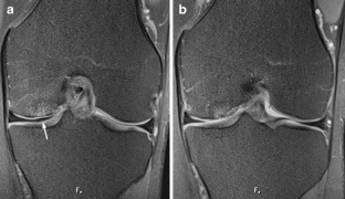
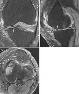
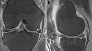
Fig. 1
Fig. 2
Fig. 3
Fig. 4
Fig. 5
Fig. 6
Fig. 7
Fig. 8
Fig. 9
Fig. 10

References

  1. Fuiks DM, Grayson CE. Vacuum pneumoarthrography and the spontaneous occurrence of gas in the joint spaces. J Bone Joint Surg Am. 1950;32(A:4):933–8.

    Article  Google Scholar 

  2. Virtama P. The vacuum phenomenon in knee- and shoulder-joints. Ann Chir Gynaecol Fenn. 1957;46(1):51–6.

    CAS  PubMed  Google Scholar 

  3. Fick R. Manual of joint anatomy and mechanics; Part 2. Jena: Gustav Fischer; 1910:53.

    Google Scholar 

  4. Evans WA. The roentgenological demonstration of the true articular space. Am J Roentgenol. 1940;43:860–4.

    Google Scholar 

  5. Moore TM, Meyers MH, Harvey Jr JP. Collateral ligament laxity of the knee. Long-term comparison between plateau fractures and normal. J Bone Joint Surg Am. 1976;58(5):594–8.

    CAS  Article  Google Scholar 

  6. Lee TH, Wapner KL, Mayer DP, Hecht PJ. Computed tomographic demonstration of the vacuum phenomenon in the subtalar and tibiotalar joints. Foot Ankle Int. 1994;15(7):382–5.

    CAS  Article  Google Scholar 

  7. Resnick D, Niwayama G, Guerra Jr J, Vint V, Usselman J. Spinal vacuum phenomena: anatomical study and review. Radiology. 1981;139(2):341–8.

    CAS  Article  Google Scholar 

  8. Novák VJ, Forrai J. On the 'vaccum phenomenon' in 20 cases. Z Ärztl Fortbild (Jena). 1963;57(2):91–3.

    Google Scholar 

  9. Dittmar O. The knee meniscus in the radiograph. Rontgenpraxis. 1932;4:422–5.

    Google Scholar 

  10. Shogry ME, Pope Jr TL. Vacuum phenomenon simulating meniscal or cartilaginous injury of the knee at MR imaging. Radiology. 1991;180(2):513–5.

    CAS  Article  Google Scholar 

  11. Patten RM. Vacuum phenomenon: a potential pitfall in the interpretation of gradient-recalled-echo MR images of the shoulder. AJR Am J Roentgenol. 1994;162(6):1383–6.

    CAS  Article  Google Scholar 

  12. Miller MD, Osborne JR. Spontaneous vacuum pneumarthrography revisited: the significance of the vacuum phenomenon in the lateral compartment of the knee. Arthroscopy. 1998;14(6):576–9.

    CAS  Article  Google Scholar 

  13. Nordheim Y. A new method to visualize cartilage, specifically knee meniscii, using radiography (without the help of injected contrast). Fortechr Rontgenmtr. 1938;57:479–95.

    Google Scholar 

  14. Gershon-Cohen J, Schraer H, Sklaroff DM, Blumberg N. Dissolution of the intervertebral disk in the aged normal; the phantom nucleus pulposus. Radiology. 1954;62(3):383–7.

    CAS  Article  Google Scholar 

  15. Martel W, Poznanski AK. The value of traction during roentgenography of the hip. Radiology. 1970;94(3):497–503.

    CAS  Article  Google Scholar 

  16. Greenough CG. The vacuum arthrogram in the acutely injured knee: a case report. J Trauma. 1989;29(3):401–2.

    CAS  Article  Google Scholar 

  17. Wright DM, Sochart DH. Spontaneous vacuum phenomenon in the lateral compartment of the knee associated with a lateral tibial plateau fracture. Knee. 2006;13(1):42–4.

    CAS  Article  Google Scholar 

  18. Middleton WD, McAlister WH. Hip joint fluid in the presence of the vacuum phenomenon. Pediatr Radiol. 1986;16(2):171–2.

    CAS  Article  Google Scholar 

  19. Laczay A, Csapó K. The vacuum phenomenon in the knee joint. Rontgenblatter. 1974;27(6):315–20.

    CAS  PubMed  Google Scholar 

  20. Sochart DH, Amr M, Paul AS. Meniscal vacuum phenomenon—a radiographic sign diagnostic of meniscal tear. Knee. 1997;4(2):105–8.

    Article  Google Scholar 

  21. Jordanov MI, Block JJ. Minute amounts of intraarticular gas mimicking torn discoid lateral menisci. J Magn Reson Imaging. 2010;31(3):698–702.

    Article  Google Scholar 

  22. Busse RF, Brau AC, Vu A, Michelich CR, Bayram E, Kijowski R, et al. Effects of refocusing flip angle modulation and view ordering in 3D fast spin echo. Magn Reson Med. 2008;60(3):640–9.

    Article  Google Scholar 

  23. Busse RF, Hariharan H, Vu A, Brittain JH. Fast spin echo sequences with very long echo trains: design of variable refocusing flip angle schedules and generation of clinical T2 contrast. Magn Reson Med. 2006;55(5):1030–7.

    Article  Google Scholar 

  24. Gold GE, Busse RF, Beehler C, Han E, Brau AC, Beatty PJ, et al. Isotropic MRI of the knee with 3D fast spin-echo extended echo-train acquisition (XETA): initial experience. AJR Am J Roentgenol. 2007;188(5):1287–93.

    Article  Google Scholar 

  25. Yoshida H, Shinomiya K, Nakai O, Kurosa Y, Yamaura I. Lumbar nerve root compression caused by lumbar intraspinal gas. Report of three cases. Spine. 1997;22(3):348–51.

    CAS  Article  Google Scholar 

  26. Thomas SF, Williams OL. High-altitude joint pains (bends): their roentgenographic aspects. Radiology. 1945;44:259–61.

    Article  Google Scholar 

  27. Ford LT, Gilula LA, Murphy WA, Gado M. Analysis of gas in vacuum lumbar disc. AJR Am J Roentgenol. 1977;128(6):1056–7.

    CAS  Article  Google Scholar 

  28. Roston JB, Haines RW. Cracking in the metacarpo-phalangeal joint. J Anat. 1947;81(Pt 2):165–73.

    CAS  PubMed  PubMed Central  Google Scholar 

  29. Hippe H, Hähle K. In question of the true joint space. Röntgenpraxis. 1938;8:98–9.

    Google Scholar 

  30. Malghem J, Maldague B, Labaisse MA, Dooms G, Duprez T, Devogelaer JP, et al. Intravertebral vacuum cleft: changes in content after supine positioning. Radiology. 1993;187:483–7.

    CAS  Article  Google Scholar 

  31. Wood L, Ferrell WR, Baxendale RH. Pressures in normal and acutely distended human knee joints and effects on quadriceps maximal voluntary contractions. Q J Exp Physiol. 1988;73(3):305–14.

    CAS  Article  Google Scholar 

  32. Spencer JD, Hayes KC, Alexander IJ. Knee joint effusion and quadriceps reflex inhibition in man. Arch Phys Med Rehabil. 1984;65(4):171–7.

    CAS  PubMed  Google Scholar 

  33. Levick JR. Microvascular architecture and exchange in synovial joints. Microcirculation. 1995;2(3):217–33.

    CAS  Article  Google Scholar 

  34. Löhr R, Hellpap W. The knee joint space in radiograph. Fortschr Geb Röntgenstrahlen. 1938;58:45–56.

    Google Scholar 

  35. Herman LJ, Beltran J. Pitfalls in MR imaging of the knee. Radiology. 1988;167(3):775–81.

    CAS  Article  Google Scholar 

  36. Oei EH, Ginai AZ, Hunink MG. MRI for traumatic knee injury: a review. Semin Ultrasound CT MR. 2007;28(2):141–57.

    Article  Google Scholar 

  37. Watanabe AT, Carter BC, Teitelbaum GP, Bradley Jr WG. Common pitfalls in magnetic resonance imaging of the knee. J Bone Joint Surg Am. 1989;71(6):857–62.

    CAS  Article  Google Scholar 

  38. Zanetti M, Pfirrmann CW. Pitfalls in magnetic resonance imaging of the knee. Radiologe. 2006;46(1):71–7.

    CAS  Article  Google Scholar 

  39. Fox MG. MR imaging of the meniscus: review, current trends, and clinical implications. Radiol Clin North Am. 2007;45(6):1033–53.

    Article  Google Scholar 

  40. Manmaster BJ, Newman A. A practical guide for MR interpretation of knee menisci. Part I: Normal anatomy and criteria for diagnosis of meniscal tears. Radiologist. 1994;1:209–16.

    Google Scholar 

  41. Stoller DW, Li AE, Anderson LJ, Cannon DW. The knee. In: Stoller DW, editor. Magnetic resonance imaging in orthopaedics and sports medicine, 3rd ed. Philadelphia: Lippincott Williams & Wilkins; 2007. p. 305–731.

    Google Scholar 

  42. Rubin DA. MR imaging of the knee menisci. Radiol Clin North Am. 1997;35(1):21–44.

    CAS  PubMed  Google Scholar 

  43. McKnight A, Southgate J, Price A, Ostlere S. Meniscal tears with displaced fragments: common patterns on magnetic resonance imaging. Skeletal Radiol. 39(3):279–83.

    Article  Google Scholar 

  44. Helms CA, Laorr A, Cannon Jr WD. The absent bow tie sign in bucket-handle tears of the menisci in the knee. AJR Am J Roentgenol. 1998;170(1):57–61.

    CAS  Article  Google Scholar 

  45. Haramati N, Staron RB, Rubin S, Shreck EH, Feldman F, Kiernan H. The flipped meniscus sign. Skeletal Radiol. 1993;22(4):273–7.

    CAS  Article  Google Scholar 

  46. Lecas LK, Helms CA, Kosarek FJ, Garret WE. Inferiorly displaced flap tears of the medial meniscus: MR appearance and clinical significance. AJR Am J Roentgenol. 2000;174(1):161–4.

    CAS  Article  Google Scholar 

  47. Ruff C, Weingardt JP, Russ PD, Kilcoyne RF. MR imaging patterns of displaced meniscus injuries of the knee. AJR Am J Roentgenol. 1998;170(1):63–7.

    CAS  Article  Google Scholar 

  48. Chen HC, Hsu CY, Shih TT, Huang KM, Li YW. MR imaging of displaced meniscal tears of the knee. Importance of a "disproportional posterior horn sign". Acta Radiol. 2001;42(4):417–21.

    CAS  PubMed  Google Scholar 

  49. Kim SJ, Seo YJ. Bilateral discoid medial menisci: incomplete type in one knee and complete type in opposite knee. Knee. 2006;13(3):255–7.

    Article  Google Scholar 

  50. Dickason JM, Del Pizzo W, Blazina ME, Fox JM, Friedman MJ, Snyder SJ. A series of ten discoid medial menisci. Clin Orthop Relat Res. 1982;168:75–9.

    Google Scholar 

  51. Papadopoulos A, Karathanasis A, Kirkos JM, Kapetanos GA. Epidemiologic, clinical and arthroscopic study of the discoid meniscus variant in Greek population. Knee Surg Sports Traumatol Arthrosc. 2009;17(6):600–6.

    Article  Google Scholar 

Download references

Acknowledgments

We thank Bethany Casagranda (casagrandab@upmc.edu) who emphasized the importance of the interlocking key sign to us. We appreciate the assistance provided by Ms. Megan Griffiths, scientific writer for the Imaging Institute, in the preparation and submission of this manuscript. We thank Dr. Erika Schneider for translating the German articles. I wish to dedicate this manuscript to Piran Aliabadi, MD, for first demonstrating to me that vacuum phenomenon can occur in the presence of a joint effusion.—CSW

Conflicts of interest

The authors declare that they have no conflicts of interest.

Author information

Affiliations

Authors

Corresponding author

Correspondence to Carl S. Winalski.

Rights and permissions

Reprints and Permissions

About this article

Cite this article

Sakamoto, F.A., Winalski, C.S., Schils, J.P. et al. Vacuum phenomenon: prevalence and appearance in the knee with 3 T magnetic resonance imaging. Skeletal Radiol 40, 1275–1285 (2011). https://doi.org/10.1007/s00256-011-1192-5

Download citation

  • Received:

  • Revised:

  • Accepted:

  • Published:

  • Issue Date:

  • DOI: https://doi.org/10.1007/s00256-011-1192-5

Keywords

  • Knee
  • MRI
  • Vacuum phenomenon
  • Meniscus
  • Pseudotear
  • Artifact