Skip to main content

Musculoskeletal applications of flat-panel volume CT

Abstract

Flat-panel volume computed tomography (fpVCT) is a recent development in imaging. We discuss some of the musculoskeletal applications of a high-resolution flat-panel CT scanner. FpVCT has four main advantages over conventional multidetector computed tomography (MDCT): high-resolution imaging; volumetric coverage; dynamic imaging; omni-scanning. The overall effective dose of fpVCT is comparable to that of MDCT scanning. Although current fpVCT technology has higher spatial resolution, its contrast resolution is slightly lower than that of MDCT (5-10HU vs. 1-3HU respectively). We discuss the efficacy and potential utility of fpVCT in various applications related to musculoskeletal radiology and review some novel applications for pediatric bones, soft tissues, tumor perfusion, and imaging of tissue-engineered bone growth. We further discuss high-resolution CT and omni-scanning (combines fluoroscopic and tomographic imaging).

This is a preview of subscription content, access via your institution.

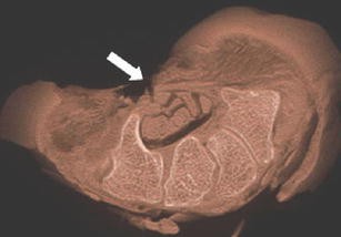
Fig. 1
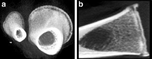
Fig. 2
Fig. 3
Fig. 4
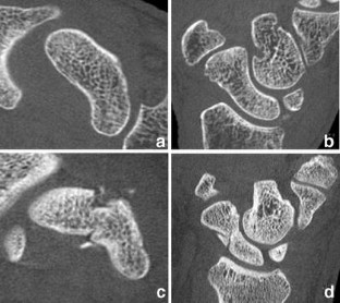
Fig. 5
Fig. 6
Fig. 7
Fig. 8
Fig. 9
Fig. 10
Fig. 11
Fig. 12

References

  1. Flohr TG, Stierstorfer K, Ulzheimer S, Bruder H, Primak AN, McCollough CH. Image reconstruction and image quality evaluation for a 64-slice CT scanner with z-flying focal spot. Med Phys 2005; 32: 2536–2547.

    CAS  Article  Google Scholar 

  2. Link TM, Majumdar S, Lin JC, et al. A comparative study of trabecular bone properties in the spine and femur using high resolution MRI and CT. J Bone Miner Res 1998; 13: 122–132.

    CAS  Article  Google Scholar 

  3. Link TM, Vieth V, Stehling C, et al. High-resolution MRI vs multislice spiral CT: which technique depicts the trabecular bone structure best? Eur Radiol 2003; 13: 663–671.

    PubMed  Google Scholar 

  4. Gupta R, Grasruck M, Suess C, et al. Ultra-high resolution flat-panel volume CT: fundamental principles, design architecture, and system characterization. Eur Radiol 2006; 16: 1191–1205.

    Article  Google Scholar 

  5. Kotter E, Langer M. Digital radiography with large-area flat-panel detectors. Eur Radiol 2002; 12: 2562–2570.

    CAS  Article  Google Scholar 

  6. Kalender WA. [The use of flat-panel detectors for CT imaging]. Radiologe 2003; 43: 379–387.

    CAS  Article  Google Scholar 

  7. Gupta R, Jones SE, Mooyaart EA, Pomerantz SR. Computed tomographic angiography in stroke imaging: fundamental principles, pathologic findings, and common pitfalls. Semin Ultrasound CT MR 2006; 27: 221–242.

    Article  Google Scholar 

  8. Nikolaou K, Flohr T, Stierstorfer K, Becker CR, Reiser MF. Flat panel computed tomography of human ex vivo heart and bone specimens: initial experience. Eur Radiol 2005; 15: 329–333.

    Article  Google Scholar 

  9. Shin HO, Falck CV, Galanski M. Low-contrast detectability in volume rendering: a phantom study on multidetector-row spiral CT data. Eur Radiol 2004; 14: 341–349.

    Article  Google Scholar 

  10. Kleinman PK, Marks SC, Blackbourne B. The metaphyseal lesion in abused infants: a radiologic-histopathologic study. AJR Am J Roentgenol 1986; 146: 895–905.

    CAS  Article  Google Scholar 

  11. Sehat KR, Bannister GC. The prevalence of established scaphoid fracture non-union found on incidental radiography. Injury 2000; 31: 275–276.

    CAS  Article  Google Scholar 

  12. Tiel-van Buul MM, Roolker W, Verbeeten BW, Broekhuizen AH. Magnetic resonance imaging versus bone scintigraphy in suspected scaphoid fracture. Eur J Nucl Med 1996; 23: 971–975.

    CAS  Article  Google Scholar 

  13. Frahm R, Lowka K, Vinee P. [Computerized tomography diagnosis of scaphoid fracture and pseudarthrosis in comparison with roentgen image]. Handchir Mikrochir Plast Chir 1992; 24: 62–66.

    CAS  PubMed  Google Scholar 

  14. Martini AK, Schiltenwolf M. [Changes in the wrist joint in spontaneous course of scaphoid pseudarthrosis]. Handchir Mikrochir Plast Chir 1995; 27: 201–207.

    CAS  PubMed  Google Scholar 

  15. Stahelin A, Pfeiffer K, Sennwald G, Segmuller G. Determining carpal collapse. An improved method. J Bone Joint Surg Am 1989; 71: 1400–1405.

    CAS  Article  Google Scholar 

  16. Weinand C, Gupta R, Huang AY, et al. Comparison of hydrogels in the in vivo formation of tissue-engineered bone using mesenchymal stem cells and beta-tricalcium phosphate. Tissue Eng 2007; 13: 757–65.

    CAS  Article  Google Scholar 

  17. Weinand C, Gupta R, Weinberg E, Madisch I, Jupiter JB, Vacanti JP. Human shaped thumb bone tissue engineered by hydrogel-beta-tricalciumphosphate/poly-epsilon-caprolactone scaffolds and magnetically sorted stem cells. Ann Plast Surg 2007; 59: 46–52; discussion 52.

    CAS  Article  Google Scholar 

  18. Weinand C, Pomerantseva I, Neville CM, et al. Hydrogel-beta-TCP scaffolds and stem cells for tissue engineering bone. Bone 2006; 38: 555–563.

    CAS  Article  Google Scholar 

  19. Knollmann F, Valencia R, Buhk JH, Obenauer S. [Characteristics and applications of a flat panel computer tomography system]. Rofo 2006; 178: 862–871.

    CAS  Article  Google Scholar 

  20. Kiessling F, Greschus S, Lichy MP, et al. Volumetric computed tomography (VCT): a new technology for noninvasive, high-resolution monitoring of tumor angiogenesis. Nat Med 2004; 10: 1133–1138.

    CAS  Article  Google Scholar 

  21. Marten K, Engelke C, Grabbe E, Rummeny EJ. [Flat-panel detector-based computed tomography: accuracy of experimental growth rate assessment in pulmonary nodules]. Rofo 2004; 176: 752–757.

    CAS  Article  Google Scholar 

  22. Rafferty MA, Siewerdsen JH, Chan Y, et al. Investigation of C-arm cone-beam CT-guided surgery of the frontal recess. Laryngoscope 2005; 115: 2138–2143.

    CAS  Article  Google Scholar 

  23. Siewerdsen JH, Moseley DJ, Burch S, et al. Volume CT with a flat-panel detector on a mobile, isocentric C-arm: pre-clinical investigation in guidance of minimally invasive surgery. Med Phys 2005; 32: 241–254.

    CAS  Article  Google Scholar 

Download references

Acknowledgments

The authors wish to thank Drs. Willi Kalendar, Diego Jaramillo, Susan A. Connolly, Gleeson F. Rebello, and Paul Kleinman for the use of their images.

Author information

Affiliations

Authors

Corresponding author

Correspondence to Rajiv Gupta.

Rights and permissions

Reprints and Permissions

About this article

Cite this article

Reichardt, B., Sarwar, A., Bartling, S.H. et al. Musculoskeletal applications of flat-panel volume CT. Skeletal Radiol 37, 1069–1076 (2008). https://doi.org/10.1007/s00256-008-0473-0

Download citation

  • Received:

  • Revised:

  • Accepted:

  • Published:

  • Issue Date:

  • DOI: https://doi.org/10.1007/s00256-008-0473-0

Keywords

  • Musculoskeletal applications
  • Flat-panel volume computed tomography
  • High-resolution imaging
  • Trabecular imaging