Skip to main content

MR imaging of delamination tears of the rotator cuff tendons

Abstract

Objective

The objective was to describe the imaging appearances and location of delamination tears of the rotator cuff tendons on non-contrast conventional MR imaging.

Subjects and methods

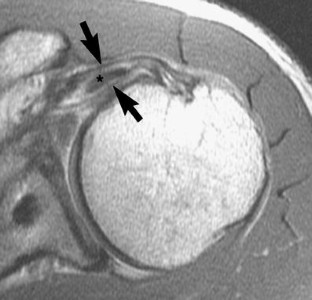
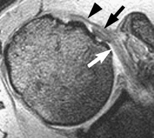
This study was reviewed and approved by our Institutional Review Board. The reports of 548 consecutive MR examinations of the shoulder were reviewed, looking for mention or description of delamination tears of the rotator cuff. The images of the identified cases were then reviewed by two radiologists to confirm the findings. Correlation with surgical and arthroscopic information was then performed. Delamination tears were defined as horizontal retraction of either the bursal or articular surface of the tendon, manifest as thickening of the torn retracted edge, and/or interstitial splitting of the tendon, manifest as fluid-like high signal intensity on fat-suppressed T2-weighted oblique coronal images.

Results

Fourteen cases of delamination tears were identified in 13 patients. Ten of the cases involved the supraspinatus tendon, all with articular surface involvement. Nine of these supraspinatus cases were isolated tears and one occurred as part of a full thickness tear. All 10 of these supraspinatus cases showed medial retraction of the articular surface of the tendon, with thickening of the retracted edge, and 5 of the 10 had a demonstrable horizontal cleft in the interstitium. Four cases involved the subscapularis tendon, with articular surface disruption in three and pure interstitial delamination in one. Medial subluxation of the tendon of the long head of the biceps was present in all four cases. No delamination tears occurred on the bursal surface. Only three of the 14 shoulders underwent surgical repair with one confirmation of supraspinatus delamination, one confirmation of a subscapularis tear that had become a full thickness tear 10 months after initial imaging and another interstitial subscapularis delamination that was not identified arthroscopically.

Conclusion

Delamination tears occur most often in the supraspinatus tendon, and in our series always involved the articular surface of the tendon. Only half of these tears have a visible cleavage plane in the interstitium, but this cleavage plane is not necessary for diagnosis if the torn edge is retracted.

This is a preview of subscription content, access via your institution.

Fig. 1
Fig. 2
Fig. 3
Fig. 4
Fig. 5

References

  1. Fukuda H. The management of partial-thickness tears of the rotator cuff. J Bone Joint Surg (Br) 2003;85-B:3–11.

    Article  Google Scholar 

  2. Garstsman GM, Milne JC. Articular surface partial-thickness rotator cuff tears. J Shoulder Elbow Surg 1996;5:458–66.

    Article  Google Scholar 

  3. McConville OR, Ianotti JP. Partial-thickness tears of the rotator cuff: evaluation and management. J Am Acad Orthop Surg 1999;7:32–43.

    CAS  Article  Google Scholar 

  4. Resnick D. Diagnosis of bone and joint disorders. 4th ed. Philadelphia: Saunders; 2002. p. 3100–2.

    Google Scholar 

  5. Ellman H. Diagnosis and treatment of incomplete rotator cuff tears. Clin Orthop 1990;254:64–74.

    Google Scholar 

  6. Lee SY, Lee JK. Horizontal component of partial-thickness tears of the rotator cuff: imaging characteristics and comparison of ABER view with oblique coronal view at MR arthrography—initial results. Radiology 2002;224:470–6.

    Article  Google Scholar 

  7. Sonnabend DH, Yu Y, Howlett R, Harper GD, Walsh WR. Laminated tears of the human rotator cuff: a histologic and immunochemical study. J Shoulder Elbow Surg 2001;109–15.

    CAS  Article  Google Scholar 

  8. Itoi E, Tabata S. Incomplete rotator cuff tears: results of operative treatment. Clin Orthop Relat Res 1992;284:128–35.

    Google Scholar 

  9. Bateman JE. Cuff tears in athletes. Orthop Clin North Am 1973;4:721–45.

    CAS  PubMed  Google Scholar 

  10. Lohr JF, Uhthoff HK. The microvascular pattern of the supraspinatus tendon. Clin Orthop 1990;254:35–8.

    Google Scholar 

  11. Nakajima T, Rokuuma N, Hamada K, Tomatsu T, Fukuda H. Histologic and biochemical characteristics of the supraspinatus tendon: reference to rotator cuff tearing. J Shoulder Elbow Surg 1994;3:79–86.

    CAS  Article  Google Scholar 

  12. Tung GA, Yoo DC, Levine SM, Brody JM, Green A. Subscapularis tendon tears: primary and associated signs on MRI. J Comput Assist Tomogr 2001;25:417–24.

    CAS  Article  Google Scholar 

  13. Mehta K, Singson RD. Isolated and non-isolated subscapularis tendon disease patterns by MRI. AJR Am J Roentgenol 2005;184 Supplement:13–4.

    Google Scholar 

  14. Walch G, Nove-Josserand L, Boileau P, Levrigne C. Subluxation and dislocation of the long head of the biceps. J Shoulder Elbow Surg 1998;7:100–8.

    CAS  Article  Google Scholar 

  15. Cervilla V, Schweitzer ME, Ho C, Motta A, Kerr R, Resnick D. Medial dislocation of the biceps brachii tendon. Appearance at MR Imaging. Radiology 1991;180:523–6.

    CAS  Article  Google Scholar 

  16. Hamada K, Fukuda H, Yamada N, Gotoh M, Yamakawa H. Management of intratendinous extension based on basic research. In: Skirving AP, editor. Shoulder surgery: the Asian perspective, vol. 2. Perth: The Asian Shoulder Association; 1997. p. 202–4.

    Google Scholar 

  17. Sonnabend DH, Watson EM. Structural factors affecting the outcome of rotator cuff repair. J Shoulder Elbow Surg 2000;11:212–8.

    Article  Google Scholar 

Download references

Author information

Affiliations

Authors

Corresponding author

Correspondence to Daniel M. Walz.

Rights and permissions

Reprints and Permissions

About this article

Cite this article

Walz, D.M., Miller, T.T., Chen, S. et al. MR imaging of delamination tears of the rotator cuff tendons. Skeletal Radiol 36, 411–416 (2007). https://doi.org/10.1007/s00256-006-0265-3

Download citation

  • Received:

  • Revised:

  • Accepted:

  • Published:

  • Issue Date:

  • DOI: https://doi.org/10.1007/s00256-006-0265-3

Keywords

  • MRI
  • Shoulder
  • Rotator cuff tear
  • Delamination