Skip to main content

Flexor carpi radialis tendinopathy: spectrum of imaging findings and association with triscaphe arthritis

Abstract

Objective

To present the spectrum of pathology affecting the flexor carpi radialis (FCR), and its anatomical, functional and clinical relationship with conditions affecting the triscaphe or scapho–trapezium–trapezoid (STT) compartment, and particularly osteoarthritis.

Design

The study comprised two men and four women aged between 23 and 79 years (mean age, 49 years). Two musculoskeletal radiologists in consensus evaluated MRI findings.

Results

Five of the patients showed evidence of triscaphe osteoarthritis. One of the patients showed synovitis and reactive marrow edema at the triscaphe joint without more specific findings of osteoarthritis. Five patients showed evidence of FCR tenosynovitis. Partial-thickness tears were noted in three patients. Two patients showed complete discontinuity of the FCR; one of them had undergone prior tendon harvesting for interposition arthroplasty after trapezectomy. One patient showed a ganglion cyst in connection to the FCR tendon sheath.

Conclusion

The FCR tendon courses over the volar surfaces of the scaphoid and trapezium in a separate fibro-osseous tunnel. This anatomical and functional relationship explains the coexistence of FCR tendinopathy and STT arthritis demonstrated by MR imaging.

This is a preview of subscription content, access via your institution.

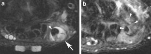
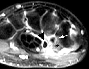
Fig. 1
Fig. 2
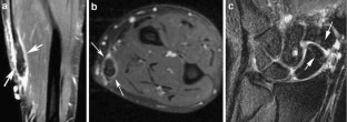
Fig. 3
Fig. 4
Fig. 5
Fig. 6
Fig. 7

References

  1. Irwin LR, Outhwaite J, Burge PD. Rupture of the flexor carpi radialis tendon associated with scapho-trapezial osteoarthritis. J Hand Surg [Br] 1992;17(3):343–345

    Article  CAS  Google Scholar 

  2. Verellen K, Dauwe D, Demuynck M, Kestelijn P, Vanden Berghe L. Spontaneous ruptures of the flexor carpi radialis tendon secondary to STT osteoarthritis. Acta Orthop Belg 1992;58(4):474–476

    PubMed  CAS  Google Scholar 

  3. Tonkin MA, Stern HS. Spontaneous rupture of the flexor carpi radialis tendon. J Hand Surg [Br] 1991;16(1):72–74

    Article  CAS  Google Scholar 

  4. Bowe A, Doyle L, Millender LH. Bilateral partial ruptures of the flexor carpi radialis tendon secondary to trapezial arthritis. J Hand Surg [Am] 1984;9(5):738–739

    CAS  Google Scholar 

  5. Allred DW, Rayan GM. Flexor carpi radialis tendon rupture following chronic wrist osteoarthritis: a case report. J Okla State Med Assoc 2003;96(5):211–212

    PubMed  Google Scholar 

  6. Tomaino MM, Coleman K. Use of the entire width of the flexor carpi radialis tendon for the ligament reconstruction tendon interposition arthroplasty does not impair wrist function. Am J Orthop 2000;29(4):283–284

    PubMed  CAS  Google Scholar 

  7. Sodha S, Ring D, Zurakowski D, Jupiter JB. Prevalence of osteoarthrosis of the trapeziometacarpal joint. J Bone Joint Surg (Am) 2005;87:2614–2618

    Article  Google Scholar 

  8. Gabel G, Bishop AT, Wood MB. Flexor carpi radialis tendinitis. Part II: Results of operative treatment. J Bone Joint Surg (Am) 1994;76(7):1015–1018

    CAS  Google Scholar 

  9. Soejima O, Iida H, Naito M. Flexor carpi radialis tendinitis caused by malunited trapezial ridge fracture in a professional baseball player. J Orthop Sci 2002;7(1):151–153

    Article  PubMed  Google Scholar 

  10. Bishop AT, Gabel G, Carmichael SW. Flexor carpi radialis tendinitis. Part I: Operative anatomy. J Bone Joint Surg (Am) 1994;76(7):1009–1014 Jul

    CAS  Google Scholar 

  11. Menon J. The problem of trapeziometacarpal degenerative arthritis. Clin Orthop 1983;175:155–165

    PubMed  Google Scholar 

Download references

Author information

Affiliations

Authors

Corresponding author

Correspondence to Antoni J. Parellada.

Rights and permissions

Reprints and Permissions

About this article

Cite this article

Parellada, A.J., Morrison, W.B., Reiter, S.B. et al. Flexor carpi radialis tendinopathy: spectrum of imaging findings and association with triscaphe arthritis. Skeletal Radiol 35, 572–578 (2006). https://doi.org/10.1007/s00256-006-0116-2

Download citation

  • Received:

  • Revised:

  • Accepted:

  • Published:

  • Issue Date:

  • DOI: https://doi.org/10.1007/s00256-006-0116-2

Keywords

  • Tendon
  • Wrist
  • Magnetic resonance imaging
  • Triscaphe
  • Joint
  • Osteoarthritis