Skip to main content

Bilateral aplasia of the tibialis anterior and unilateral aplasia of the extensor hallucis longus muscles

Abstract

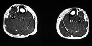
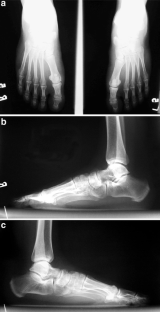
A 35-year-old woman presented with bilateral leg pain on walking that had been present since childhood. Clinical examination showed bilateral absence of the tibialis anterior tendons and the left extensor hallucis longus tendon. Magnetic resonance imaging revealed that signal intensities in the location of the tibialis anterior muscles bilaterally and the left extensor hallucis longus muscle were uniformly high on T1-weighted images, consistent with fat tissue and aplastic muscles: findings not previously reported.

This is a preview of subscription content, access via your institution.

Fig. 1
Fig. 2
Fig. 3
Fig. 4
Fig. 5

References

  1. Bergman RA, Afifi AK, Miyauchi R Illustrated Encyclopedia of Human Anatomic Variation: Opus I: Muscular System:http://www.vh.org/adult/provider/anatomy/AnatomicVariants/AnatomyHP.html#TOC;2002

  2. Sharrard WJW Paediatric Orthopaedics and Fractures. Blackwell, Oxford;1993

    Google Scholar 

  3. Ary KR Jr, Graaman R, Ochreiter JA An anomalous muscle on the dorsum of the foot. J Am Podiatr Assoc 1978;68:814–816

    Google Scholar 

  4. Bibbo C, Arangio G, Patel DV The accessory extensor tendon of the first metatarsophalangeal joint. Foot Ankle Int 2004;25:387–390

    PubMed  Google Scholar 

  5. Gumusalan Y, Kalaycioglu A Bilateral accessory flexor digitorum longus muscle in man. Ann Anat 2000;182:573–576

    PubMed  CAS  Article  Google Scholar 

  6. Uzel M, Cetinus E, Gumusalan Y, Coban YK An anomalous muscle on the dorsomedial aspect of the foot (M. Cuneo-Naviculo-Fascialis): Case report. Foot Ankle Int 2004;25:647–649

    PubMed  Google Scholar 

  7. Williams PL, Bannister LH, Berry MM, Collins P, Dyson M, Dussek JE, Ferguson MWJ Gray’s Anatomy. Churchill Livingstone, Edinburgh;1995

    Google Scholar 

  8. Luchansky E, Paz Z Variations in the insertion of tibialis anterior muscle. Anat Anz 1986;162:129–136

    PubMed  CAS  Google Scholar 

  9. Rodriguez-Baeza A, Minguella J, Soldado F, Ortega M, Escola J Congenital tibial aplasia with preaxial polydactyly. A case report. Acta Anat (Basel) 1997;160:51–61

    CAS  Google Scholar 

  10. Denk CC, Oznur A, Surucu HS Double tendons at the distal attachment of the extensor hallucis longus muscle. Surg Radiol Anat 2002;24:50–52

    Article  PubMed  CAS  Google Scholar 

Download references

Author information

Affiliations

Authors

Corresponding author

Correspondence to Murat Uzel.

Rights and permissions

Reprints and Permissions

About this article

Cite this article

Uzel, M., Gumusalan, Y., Cetinus, E. et al. Bilateral aplasia of the tibialis anterior and unilateral aplasia of the extensor hallucis longus muscles. Skeletal Radiol 36, 83–86 (2007). https://doi.org/10.1007/s00256-005-0067-z

Download citation

  • Received:

  • Revised:

  • Accepted:

  • Published:

  • Issue Date:

  • DOI: https://doi.org/10.1007/s00256-005-0067-z

Keywords

  • Extremities
  • Muscles
  • Aplasia
  • Tibialis anterior
  • Extensor hallucis longus
  • MR