Skip to main content

Primary clear cell sarcoma of rib

Abstract

Clear cell sarcoma (malignant melanoma of soft tissues) is a very rare soft tissue neoplasm. It generally arises in tendons and aponeuroses. Although metastasis of malignant melanoma to bone is not uncommon, primary clear cell sarcoma of bone is an extremely rare neoplasm. To our knowledge five cases have been reported in the English literature. We present a case of primary clear cell sarcoma of bone in a 28-year-old woman arising in the left ninth rib. We treated the patient with total excision of the mass and postoperative radiotherapy. The patient is alive and well without local recurrence or distant metastasis at 33 months after surgery.

This is a preview of subscription content, access via your institution.

Fig. 1
Fig. 2
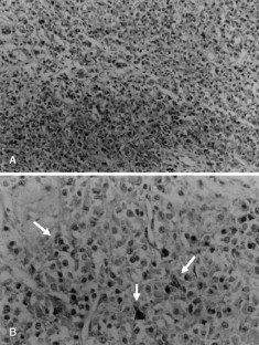
Fig. 3 A
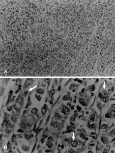
Fig. 4 A

References

  1. Enzinger FM. Clear cell sarcoma of tendons and aponeuroses: an analysis of 21 cases. Cancer 1965; 18:1163–1174.

    CAS  PubMed  Google Scholar 

  2. Sandberg AA, Bridge JA. Updates on the cytogenetics and molecular genetics of bone and soft tissue tumors: clear cell sarcoma (malignant melanoma of parts). Cancer Genet Cytogenet 2001; 130:1–7.

    Article  CAS  PubMed  Google Scholar 

  3. Yokoyama R, Mukai K, Hirota T, Beppu Y, Fukuma H. Primary malignant melanoma (clear cell sarcoma) of bone: a report of a case arising in the ulna. Cancer 1996; 77:2471–2475.

    Article  CAS  PubMed  Google Scholar 

  4. Brekke MK, Northcote K, Temple WE. Clear cell sarcoma in the first metatarsal. An unusual case. J Am Podiatr Med Assoc 1998; 88:457–461.

    CAS  PubMed  Google Scholar 

  5. Gelczer RK, Wenger DE, Wold LE. Primary clear cell sarcoma of bone: a unique site of origin. Skeletal Radiol 1999; 28:240–243.

    Article  CAS  PubMed  Google Scholar 

  6. Inaoka T, Takahashi K, Tandai S. et al. Primary clear cell sarcoma (malignant melanoma) in the right radius. Skeletal Radiol 2003; 32:594–597.

    Article  PubMed  Google Scholar 

  7. Choi JH, Gu MJ, Kim MJ, et al. Primary clear cell sarcoma of bone. Skeletal Radiol 2003; 32:598–602.

    Article  CAS  PubMed  Google Scholar 

  8. Enzinger FM, Weiss SW. Soft tissues tumors. St Louis: CV Mosby, 1983:795–801.

  9. Lucas DR, Nascimento AG, Sim FH. Clear cell sarcoma of soft tissues: Mayo Clinic experience with 35 cases. Am J Surg Pathol 1992; 16:1197–1204.

    CAS  PubMed  Google Scholar 

  10. Wetzel LH, Levine E. Soft tissue tumors of the foot: value of MR imaging for specific diagnosis. AJR Am J Roentgenol 1990; 15:1025–1030.

    Google Scholar 

  11. De Beuckeleer LH, De Schepper AM, Vandevenne JE, et al. MR imaging of clear cell sarcoma (malignant melanoma of the soft parts): a multicenter correlative MRI-pathology study of 21 cases and literature review. Skeletal Radiol 2000; 29:187–195.

    Article  PubMed  Google Scholar 

  12. Mrozek K, Karakousis CP, Perez-Mesa C, Bloomfield CD. Translocation t(12;22)(q13;q12.2–12.3) in a clear cell sarcoma of tendons and aponeuroses. Genes Chromosomes Cancer 1993; 6:249–252.

    CAS  PubMed  Google Scholar 

  13. Langezaal SM, Graadt van Roggen JF, Cleton-Jansen AM, Baelde JJ, Hogendoorn PC. Malignant melanoma is genetically distinct from clear cell sarcoma of tendons and aponeurosis (malignant melanoma of soft parts). Br J Cancer 2001; 84:535–538.

    Article  CAS  PubMed  Google Scholar 

  14. Steger GG, Wrba F, Mader R, Schlappack O, Dittrich C, Rainer H. Complete remission of metastasized clear cell sarcoma of tendons and aponeuroses. Eur J Cancer 1991; 27:254–256.

    CAS  PubMed  Google Scholar 

Download references

Acknowledgement

Cytogenetic analysis of the patient was carried out by Prof. Dr. P.C.W. Hogendoorn, Leiden, The Netherlands. We thank him for his kind help and assistance.

Author information

Affiliations

Authors

Corresponding author

Correspondence to Murat Ali Hersekli.

Additional information

Presented at SICOT/SIROT 2002 XXII World Congress, San Diego, California, USA, August 23–30, 2002

Rights and permissions

Reprints and Permissions

About this article

Cite this article

Hersekli, M.A., Ozkoc, G., Bircan, S. et al. Primary clear cell sarcoma of rib. Skeletal Radiol 34, 167–170 (2005). https://doi.org/10.1007/s00256-004-0801-y

Download citation

  • Received:

  • Revised:

  • Accepted:

  • Published:

  • Issue Date:

  • DOI: https://doi.org/10.1007/s00256-004-0801-y

Keywords

  • Rib
  • Primary
  • Clear cell sarcoma
  • Malignant melanoma of soft parts
  • CT