Skip to main content

SAPHO: syndrome or concept? Imaging findings

Abstract

The SAPHO syndrome was a term coined to include a variety of musculoskeletal disorders associated with skin conditions, mainly palmoplantar pustulosis and acne conglobata. It is more correctly a spectrum which includes the following: skin lesions, osteoarticular manifestations of synovitis hyperostosis and osteitis affecting particular target sites, and·a clinical course marked by relapses and remissions. The major sites of involvement are the anterior chest wall, the spine, long bones, flat bones, and large and small joints. The distribution and severity of involvement varies from the adult to the pediatric form of chronic recurrent multifocal osteomyelitis (CRMO). The diagnosis of SAPHO syndrome is not difficult when the typical osteoarticular lesions are located in characteristic target sites. The diagnosis is more difficult if atypical sites are involved and there is no skin disease.

This is a preview of subscription content, access via your institution.

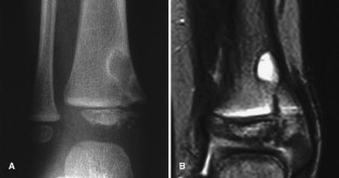
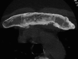
Fig. 1.
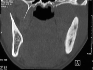
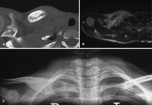
Fig. 2.
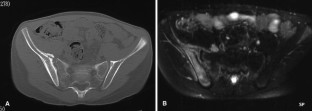
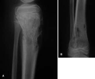
Fig. 3.
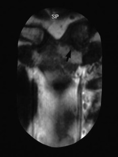
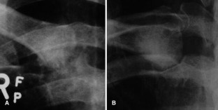
Fig. 4.
Fig. 5.
Fig. 6.
Fig. 7.
Fig. 8.
Fig. 9.
Fig. 10.
Fig. 11.
Fig. 12.
Fig. 13.
Fig. 14.
Fig. 15.
Fig. 16.
Fig. 17.
Fig. 18.
Fig. 19.
Fig. 20.
Fig. 21.
Fig. 22.
Fig. 23.
Fig. 24.
Fig. 25.
Fig. 26A, B.
Fig. 27.
Fig. 28.
Fig. 29.
Fig. 30. A
Fig. 31A, B.

References

  1. Windom RE, Sandford JP, Ziff M. Acne conglobata and arthritis. Arthritis Rheum 1961; 4:632–635.

    CAS  Google Scholar 

  2. Gideon A, Holthusen W, Masel L. Subacute and chronic symmetrical osteomyelitis. Ann Radiol 1972; 15:329–342.

    PubMed  Google Scholar 

  3. Bjorksten B, Gustavson KH, Eriksson B et al. Chronic recurrent multifocal osteomyelitis and pustulosis palmoplantaris. J Pediatr 1978; 932:227–231.

    Google Scholar 

  4. Chamot A, Benhamou CL, Kahn MF, et al. Le syndrome acne pustulose hyperostose osteite (SAPHO). Rev Rhum 1987; 54:187–196.

    CAS  Google Scholar 

  5. Benhamou CL, Chamot AM, Kahn MF. Synovitis-acne-pustulosis-hyperostosis osteomyelitis syndrome (SAPHO). Clin Exp Rheumatol 1988; 6:109–112.

    CAS  PubMed  Google Scholar 

  6. Grosshans EM. SAPHO the impossible acronym. Dermatology 1993; 186:161–162.

    CAS  PubMed  Google Scholar 

  7. Boutin RD, Resnick D. The SAPHO syndrome: an evolving concept for unifying several idiopathic disorders of bone and skin. AJR Am J Roentgenol 1988; 170:585–591.

    Google Scholar 

  8. Freyschmidt J, Sternberg A. The bull's head sign: scintigraphy pattern of sternoclavicular hyperostosis and pustulotic arthrosclerosis. Eur Radiol 1998; 8:807–812.

    Article  CAS  PubMed  Google Scholar 

  9. Kasperzyk A, Freyschmidt J. Pustolotic arthro-osteitis: spectrum of bone lesions with palmoplantar pustulosis. Radiology 1994; 191:207–211.

    CAS  PubMed  Google Scholar 

  10. Sugimoto H, Tamura K, Fujii T. The SAPHO syndrome: defining the radiological spectrum of disease comprising the syndrome. Eur Radiol 1998; 8:800–806.

    Article  CAS  PubMed  Google Scholar 

  11. Hayem G, Bouchaud-Chabot A, Benali K, et al. SAPHO syndrome: a long term follow up study of 120 cases. Semin Arthritis Rheum 1999; 293:159–171.

    Google Scholar 

  12. Jurik AG. Anterior chest wall involvement in patients with pustulosis palmoplantaris. Skeletal Radiol 1990; 19:271–277.

    CAS  PubMed  Google Scholar 

  13. Reith JD, Bauer TW, Schils JP. Osseous manifestations of SAPHO (synovitis, acne, pustulosis, hyperostosis, osteitis) syndrome. Am J Surg Pathol 1996; 20:1368–1377.

    Article  CAS  PubMed  Google Scholar 

  14. Van Doornum S, Barraclough D, McColl G, Wicks I. SAPHO: Rare or just not recognised? Semin Arthritis Rheum 2000; 30:70–77.

    Article  PubMed  Google Scholar 

  15. Davies AM, Marins AJ, Evans N, et al. SAPHO syndrome: 20 year follow up. Skeletal Radiol 1999; 28:159–162.

    Article  CAS  PubMed  Google Scholar 

  16. Kahn MF, Khan MA. The SAPHO syndrome. Baillieres Clin Rheumatol 1994; 8:333–362.

    CAS  PubMed  Google Scholar 

  17. Maugars Y, Berthelot JM, Ducloux JM, Prost A. SAPHO syndrome. a follow up study of 19 cases with special emphasis on enthesis involvement. J Rheumatol 1995; 22:2135–2141.

    CAS  PubMed  Google Scholar 

  18. Jurik AG, Egund N. MRI in chronic recurrent multifocal osteomyelitis. Skeletal Radiol 1997; 26:230–238.

    Article  CAS  PubMed  Google Scholar 

  19. Watts RA, Crisp AJ, Hazleman BL, et al. Arthro-osteitis: a clinical spectrum. Br J Rheum 1993; 32:403–407.

    CAS  Google Scholar 

  20. Nachtigal A, Cardinal E, Bureau NJ, et al. Vertebral involvement in SAPHO syndrome: MRI findings. Skeletal Radiol 1999; 28:163–168.

    Article  CAS  PubMed  Google Scholar 

  21. Van Holsbeeck M, Martel W, Dequeker J, et al. Soft tissue involvement, mediastinal pseudotumour, and venous thrombosis in pustulotic arthro-osteitis. Skeletal Radiol 1989; 18:1–8.

    PubMed  Google Scholar 

  22. Toussirot E, Dupond JL, Wendling D. Spondylodiscitis in SAPHO syndrome. A series of eight cases. Ann Rheum Dis 1997; 56:52–58.

    CAS  PubMed  Google Scholar 

  23. Sonozaki H, Azuma O, Okai K, et al. Clinical features of 22 cases with "inter-sterno-costo-clavicular " ossification. A new rheumatic syndrome. Arch Orthop Trauma Surg 1979; 95:13–22.

    CAS  PubMed  Google Scholar 

  24. Ellis BI, Shier CK, Leisen JC, et al. Acne-associated spondyloarthropathy: radiographic features. Radiology 1987; 162:541–545.

    CAS  PubMed  Google Scholar 

  25. Eyrich GKH, Harder C, Sailer HF, et al. Primary chronic osteomyelitis associated with synovitis, acne, pustulosis, hyperostosis and osteitis (SAPHO syndrome). J Oral Pathol Med 1999; 28:456–464.

    CAS  PubMed  Google Scholar 

  26. Huaux JP, Maldague B. Malghem J, et al. Pustulotic arthro-osteitis and related disorders in children and adults. JBR-BTR 1986; 69:345–354.

    CAS  PubMed  Google Scholar 

  27. Rosner IA, Richter DE, Huettner TL, et al. Spondyloarthropathy associated with hidradenitis suppurativa and acne conglobata. Ann Intern Med 1982; 97:520–525.

    CAS  PubMed  Google Scholar 

  28. Cotten A. Flipo RM, Mentre A, et al. SAPHO syndrome. Radiographics 1995; 15:1147–1154.

    CAS  PubMed  Google Scholar 

  29. Hatem SF, et al. Case 3: Chronic recurrent multifocal osteomyelitis (CRMO). AJR Roentgen 01 1997; 169:285; 289–291.

    Google Scholar 

  30. Tyrrell PNM, Cassar-Pullicino VN, Eisenstein JF, et al. Back pain in childhood. Ann Rheum Dis 1996; 55:789–793.

    CAS  PubMed  Google Scholar 

  31. Anderson S, et al. Imaging of chronic recurrent multifocal osteomyelitis of childhood first presenting with isolated primary spinal involvement. Skeletal Radiol DOI 10.1007/s00256-002-0602-0

  32. Hellman DB. Spondyloarthropathy with hidradenitis suppurativa. JAMA 1992; 267:2363–2365.

    PubMed  Google Scholar 

  33. Schwartz B. Infectious agents. Immunity and rheumatic diseases. Arthritis Rheum 1990; 33:457–465.

    CAS  PubMed  Google Scholar 

  34. Kotilainen P, Merilahti-Palo R, Lehtonen OP, et al. Case report. Propionibacterium acnes isolated from sternal osteitis in a patient with SAPHO syndrome. J Rheumatol 1996; 23:1302–1304.

    CAS  PubMed  Google Scholar 

  35. Kooijmans-Coutinho MF, Markusse HM, Dijkmans BAC. Infectious arthritis caused by Propionibacterium acnes: a report of two cases. Ann Rheum Dis 1989; 48:851–852.

  36. Anneli Savolainen H, Von Essen R, Anti J, Jahkola M. Propionibacterium acnes in purulent arthritis: probable cause of iatrogenic infection (letter). J Rheumatol 1988; 15:6.

    Google Scholar 

  37. Sulkowski MS, Abonik IZ, Morris EI, Granger DL. Infectious arthritis due to Propionibacterium acnes in a prosthetic joint. Clin Infect Dis 1994; 19:224–225.

    CAS  PubMed  Google Scholar 

  38. Suter F, Silanos MA, Tabacchi G, Maggiolo F. A case of Propionibacterium acnes spinal osteomyelitis. J Clin Microbiol Infect Dis 1992; 11:196–197.

    CAS  Google Scholar 

  39. Honan M, White GW, Eisenberg GM. Spontaneous infectious diseases in adults. Am J Med 1996; 100:85–89.

    CAS  PubMed  Google Scholar 

  40. Wagner AD, Mai U, Hammer M, Zeidler H. Long term antibiotic therapy in patients with SAPHO syndrome (abstract). Arthritis Rheum 1997; 40(Suppl 9):562.

  41. Ballara SC, Siraj QH, Maini RN, Venables PJW. Sustained response to doxycycline therapy in two patients with SAPHO syndrome. Arthritis Rheum 1999; 42:819–821.

    Article  CAS  PubMed  Google Scholar 

  42. Edlund E, Johnsson U, Lidgren L, et al. Palmoplantar pustulosis and sterno-costo-clavicular arthro-osteitis. Ann Rheum Dis 1998; 47:809–815.

    Google Scholar 

  43. Rothschild B, Schils J, Lavelle H. Potential therapeutic approach to SAPHO. Semin Arthritis Rheum 2000; 29:332–334.

    CAS  PubMed  Google Scholar 

Download references

Author information

Affiliations

Authors

Corresponding author

Correspondence to J. W. S. Earwaker.

Rights and permissions

Reprints and Permissions

About this article

Cite this article

Earwaker, J.W.S., Cotten, A. SAPHO: syndrome or concept? Imaging findings. Skeletal Radiol 32, 311–327 (2003). https://doi.org/10.1007/s00256-003-0629-x

Download citation

  • Received:

  • Accepted:

  • Published:

  • Issue Date:

  • DOI: https://doi.org/10.1007/s00256-003-0629-x

Keywords

  • SAPHO
  • CRMO
  • Synovitis
  • Spondyloarthropathy
  • Osteitis
  • Hyperostosis