Abstract
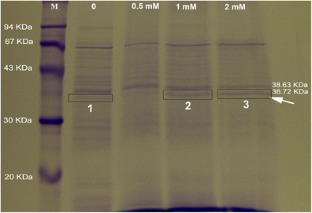
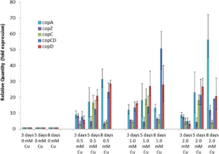
Several Frankia strains have been shown to be copper-tolerant. The mechanism of their copper tolerance was investigated for Frankia sp. strain EuI1c. Copper binding was shown by binding studies. Unusual globular structures were observed on the surface of the bacterium. These globular structures were composed of aggregates containing many relatively smaller “leaf-like” structures. Scanning electron microscopy with energy-dispersive X-ray (SEM-EDAX) analysis of these structures indicated elevated copper and phosphate levels compared to the control cells. Fourier transform infrared spectroscopy (FTIR) analysis indicated an increase in extracellular phosphate on the cell surface of copper-stressed cells. Bioinformatics’ analysis of the Frankia sp. strain EuI1c genome revealed five potential cop genes: copA, copZ, copC, copCD, and copD. Experiments with Frankia sp. strain EuI1c using qRT-PCR indicated an increase in messenger RNA (mRNA) levels of the five cop genes upon Cu2+ stress. After 5 days of Cu2+ stress, the copA, copZ, copC, copCD, and copD mRNA levels increased 25-, 8-, 18-, 18-, and 25-fold, respectively. The protein profile of Cu2+-stressed Frankia sp. strain EuI1c cells revealed the upregulation of a 36.7 kDa protein that was identified as FraEuI1c_1092 (sulfate-binding periplasmic transport protein). Homologues of this gene were only present in the genomes of the Cu2+-resistant Frankia strains (EuI1c, DC12, and CN3). These data indicate that copper tolerance by Frankia sp. strain EuI1c involved the binding of copper to the cell surface and transport proteins.





References
Akkermans ADL, Roelofsen W, Blom J, Hussdanell K, Harkink R (1983) Utilization of carbon and nitrogen compounds by Frankia in synthetic media and in root nodules of Alnus glutinosa, Hippophae rhamnoides, and Datisca cannabina. Can J Bot 61(11):2793–2800
Alvarez S, Jerez CA (2004) Copper ions stimulate polyphosphate degradation and phosphate efflux in Acidithiobacillus ferrooxidans. Appl Environ Microb 70(9):5177–5182. doi:10.1128/Aem.70.9.5177-5182.2004
Arahou M, Diem HG, Sasson A (1998) Influence of iron depletion on growth and production of catechol siderophores by different Frankia strains. World J Microb Biot 14(1):31–36
Arnesano F, Banci L, Bertini I, Thompsett AR (2002) Solution structure of CopC: a cupredoxin-like protein involved in copper homeostasis. Structure 10(10):1337–1347
Arnesano F, Banci L, Bertini I, Felli IC, Luchinat C, Thompsett AR (2003a) A strategy for the NMR characterization of type II copper(II) proteins: the case of the copper trafficking protein CopC from Pseudomonas syringae. J Am Chem Soc 125(24):7200–7208. doi:10.1021/Ja034112c
Arnesano F, Banci L, Bertini I, Mangani S, Thompsett AR (2003b) A redox switch in CopC: an intriguing copper trafficking protein that binds copper(I) and copper(II) at different sites. Proc Natl Acad Sci U S A 100(7):3814–3819. doi:10.1073/pnas.0636904100
Bai H, Kang Y, Quan H, Han Y, Sun J, Feng Y (2013) Bioremediation of copper-containing wastewater by sulfate reducing bacteria coupled with iron. J Environ Manag 129:350–356. doi:10.1016/j.jenvman.2013.06.050
Baker D, Newcomb W, Torrey JG (1980) Characterization of an ineffectiveactinorhizal micro-symbiont, Frankia Sp EuI1 (Actinomycetales). Can J Microbiol 26(9):1072–1089
Banci L, Bertini I, Del Conte R, Markey J, Ruiz-Duenas FJ (2001) Copper trafficking: the solution structure of Bacillus subtilis CopZ. Biochem-Us 40(51):15660–15668. doi:10.1021/Bi0112715
Banci L, Bertini I, Ciofi-Baffoni S, Del Conte R, Gonnelli L (2003a) Understanding copper trafficking in bacteria: interaction between the copper transport protein CopZ and the N-terminal domain of the copper ATPase CopA from Bacillus subtilis. Biochem-Us 42(7):1939–1949. doi:10.1021/Bi027096
Banci L, Bertini I, Ciofi-Baffoni S, Gonnelli L, Su XC (2003b) Structural basis for the function of the N-terminal domain of the ATPase CopA from Bacillus subtilis. J Biol Chem 278(50):50506–50513. doi:10.1074/jbc.M3073892200
Beauchemin N, Gtari M, Ghodbhane-Gtari F, Furnholm T, Sen A, Wall L, Tavares F, Santos C, Nouioui I, Xu F, Lucus S, Copeland A, Lapidus A, Galina del Rio T, Tice H, Bruce D, Goodwin L, Pitluck S, Larimer F, Land ML, Hauser L, Tisa LS (2012a) What can the genome of an infective ineffective (Fix-) Frankia. Strain (EuI1c) that is able to form nodules with its host plant tell us about actinorhizal symbiosis and Frankia evolution. Paper presented at the The 112th General Meeting of the American Society for Microbiology San Francisco, CA
Beauchemin NJ, Furnholm T, Lavenus J, Svistoonoff S, Doumas P, Bogusz D, Laplaze L, Tisa LS (2012b) Casuarina root exudates alter the physiology, surface properties, and plant infectivity of Frankia sp strain CcI3. Appl Environ Microb 78(2):575–580. doi:10.1128/Aem.06183-11
Benson DR, Silvester WB (1993) Biology of Frankia strains, actinomycete symbionts of actinorhizal plants. Microbiol Rev 57(2):293–319
Bolanos L, Redondo-Nieto M, Bonilla I, Wall LG (2002) Boron requirement in the Discaria trinervis (Rhamnaceae) and Frankia symbiotic relationship. Its essentiality for Frankia BCU110501 growth and nitrogen fixation. Physiol Plant 115(4):563–570
Brickner DG, Ahmed S, Meldi L, Thompson A, Light W, Young M, Hickman TL, Chu F, Fabre E, Brickner JH (2012) Transcription factor binding to a DNA zip code controls interchromosomal clustering at the nuclear periphery. Dev Cell 22(6):1234–1246
Brown NL, Barrett SR, Camakaris J, Lee BTO, Rouch DA (1995) Molecular genetics and transport analysis of the copper-resistance determinant (Pco) from Escherichia coli plasmid pRJ1004. Mol Microbiol 17(6):1153–1166. doi:10.1111/j.1365-2958.1995.mmi_17061153.x
Cha JS, Cooksey DA (1991) Copper resistance in Pseudomonas syringae mediated by periplasmic and outer-membrane proteins. Proc Natl Acad Sci U S A 88(20):8915–8919. doi:10.1073/pnas.88.20.8915
Chalkley R, Maltby D, Medzihradszky K, Guan SH, Baker P, Burlingame AL (2006) Quality vs quantity in mass spectrometric analysis of complex mixtures. Faseb J 20(5):A926
Chillappagari S, Miethke M, Trip H, Kuipers OP, Marahiel MA (2009) Copper acquisition is mediated by YcnJ and regulated by YcnK and CsoR in Bacillus subtilis. J Bacteriol 191(7):2362–2370. doi:10.1128/Jb.01616-08
Chu FX, Nusinow DA, Chalkely RJ, Plath K, Panning B, Burlingame AL (2006) Mapping post-translational modifications of the histone variant macroH2A1 using tandem mass spectrometry. Mol Cell Proteomics 5(1):194–203. doi:10.1074/mcp.M500285-MCP200
Cooksey DA (1994) Molecular mechanisms of copper resistance and accumulation in bacteria. FEMS Microbiol Rev 14(4):381–386. doi:10.1111/j.1574-6976.1994.tb00112.x
Crannell WK, Tanaka Y, Myrold DD (1994) Calcium and pH interaction on root nodulation of nursery-grown red Alder (Alnus rubra Bong) seedlings by Frankia. Soil Biol Biochem 26(5):607–614
Cusato MS, Tortosa RD, Valiente L, Barneix AJ, Puelles MM (2007) Effects of Zn2+ on nodulation and growth of a South American actinorhizal plant, Discaria americana (Rhamnaceae). World J Microb Biot 23(6):771–777. doi:10.1007/s11274-006-9295-1
Dhanjal S, Cameotra SS (2010) Aerobic biogenesis of selenium nanospheres by Bacillus cereus isolated from coalmine soil. Microb Cell Fact 9:52. doi:10.1186/1475-2859-9-52
Diem HG, Dommergues YR (1990) Current and potential uses and management of Casuarinacae in the topics and subtropics. In: Schwintzer CR, Tjepkema JD (eds) The Biology of Frankia and Actinorhizal Plants. Acadamic press, San Diego, pp 317–342
Franke S, Grass G, Rensing C, Nies DH (2003) Molecular analysis of the copper-transporting efflux system CusCFBA of Escherichia coli. J Bacteriol 185(13):3804–3812. doi:10.1128/Jb.185.13.3804-3812.2003
Gaballa A, Helmann JD (2003) Bacillus subtilis CPx-type ATPases: characterization of Cd, Zn, Co and Cu efflux systems. Biometals 16(4):497–505. doi:10.1023/A:1023425321617
Ganji TJ, Page AL (1974) Rapid acid dissolution of plant tissue for cadmium determination by atomic absorption spectrophotometer. Atomic Absorption Newsl 13:131–134
Ghodbhane-Gtari F, Beauchemin N, Bruce D, Chain P, Chen A, Walston Davenport K, Deshpande S, Detter C, Furnholm T, Goodwin L, Gtari M, Han C, Han J, Huntemann M, Ivanova N, Kyrpides N, Land ML, Markowitz V, Mavrommatis K, Nolan M, Nouioui I, Pagani I, Pati A, Pitluck S, Santos CL, Sen A, Sur S, Szeto E, Tavares F, Teshima H, Thakur S, Wall L, Woyke T, Tisa LS (2013) Draft Genome sequence of Frankia sp. strain CN3, an atypical, non-infective (Nod-) ineffective (Fix-) isolate from Coriaria nepalensis. Genome Announc 1(2):00085–13. doi:10.1128/genomeA.00085-13
Golab Z, Orlowska B, Glubiak M, Olejnik K (1990) Uranium and lead accumulation in cells of Streptomyces sp. Acta Microbiol Pol 39(3–4):177–188
Gonzalez-Guerrero M, Arguello JM (2008) Mechanism of Cu+-transporting ATPases: soluble Cu+ chaperones directly transfer Cu+ to transmembrane transport sites. Proc Natl Acad Sci U S A 105(16):5992–5997. doi:10.1073/pnas.0711446105
Grass G, Rensing C (2001) Genes involved in copper homeostasis in Escherichia coli. J Bacteriol 183(6):2145–2147. doi:10.1128/Jb.183.6.2145-2147.2001
Guan SH, Burlingame AL (2010) Data processing algorithms for analysis of high resolution MSMS spectra of peptides with complex patterns of posttranslational modifications. Mol Cell Proteomics 9(5):804–810. doi:10.1074/mcp.M900431-MCP200
Igual JM, Dawson JO (1999) Stimulatory effects of aluminum on in vitro growth of Frankia. Can J Bot 77(9):1321–1326
Kessi J, Ramuz M, Wehrli E, Spycher M, Bachofen R (1999) Reduction of selenite and detoxification of elemental selenium by the phototrophic bacterium Rhodospirillum rubrum. Appl Environ Microb 65(11):4734–4740
Koay M, Zhang LY, Yang BS, Maher MJ, Xiao ZG, Wedd AG (2005) CopC protein from Pseudomonas syringae: intermolecular transfer of copper from both the copper(I) and copper(II) sites. Inorg Chem 44(15):5203–5205. doi:10.1021/Ic0506198
Laemmli UK (1970) Cleavage of structural proteins during assembly of head of bacteriophage T4. Nature 227(5259):680-&
Levinson HS, Mahler I (1998) Phosphatase activity and lead resistance in Citrobacter freundii and Staphylococcus aureus. FEMS Microbiol Lett 161(1):135–138
Levinson HS, Mahler I, Blackwelder P, Hood T (1996) Lead resistance and sensitivity in Staphylococcus aureus. FEMS Microbiol Lett 145(3):421–425
Markowitz VM, Korzeniewski F, Palaniappan K, Szeto E, Werner G, Padki A, Zhao XL, Dubchak I, Hugenholtz P, Anderson I, Lykidis A, Mavromatis K, Ivanova N, Kyrpides NC (2006) The integrated microbial genomes (IMG) system. Nucleic Acids Res 34:D344–D348. doi:10.1093/Nar/Gkj024
Mattsson U, Sellstedt A (2002) Nickel affects activity more than expression of hydrogenase protein in Frankia. Curr Microbiol 44(2):88–93
Mellano MA, Cooksey DA (1988) Nucleotide sequence and organization of copper resistance genes from Pseudomonas syringae pv tomato. J Bacteriol 170(6):2879–2883
Mirza MS, Hahn D, Akkermans ADL (1992) Isolation and characterization of Frankia strains from Coriaria nepalensis. Syst Appl Microbiol 15(2):289–295
Myers AK, Tisa LS (2004) Isolation of antibiotic-resistant and antimetabolite-resistant mutants of Frankia strains Eul1c and Cc1.17. Can J Microbiol 50(4):261–267. doi:10.1139/W04-013
Naumann D (2006) Infrared spectroscopy in microbiology. In: Meyers R (ed) Encylopedia of analytical chemistry. Wiley, New York, pp 102–131
Niemann J, Tisa LS (2008) Nitric oxide and oxygen regulate truncated hemoglobin gene expression in Frankia strain CcI3. J Bacteriol 190(23):7864–7867. doi:10.1128/Jb.01100-08
Normand P, Lapierre P, Tisa LS, Gogarten JP, Alloisio N, Bagnarol E, Bassi CA, Berry AM, Bickhart DM, Choisne N, Couloux A, Cournoyer B, Cruveiller S, Daubin V, Demange N, Francino MP, Goltsman E, Huang Y, Kopp OR, Labarre L, Lapidus A, Lavire C, Marechal J, Martinez M, Mastronunzio JE, Mullin BC, Niemann J, Pujic P, Rawnsley T, Rouy Z, Schenowitz C, Sellstedt A, Tavares F, Tomkins JP, Vallenet D, Valverde C, Wall LG, Wang Y, Medigue C, Benson DR (2007a) Genome characteristics of facultatively symbiotic Frankia sp strains reflect host range and host plant biogeography. Genome Res 17(1):7–15. doi:10.1101/Gr.5798407
Normand P, Queiroux C, Tisa LS, Benson DR, Rouy Z, Cruveiller S, Medigue C (2007b) Exploring the genomes of Frankia. Physiol Plant 130(3):331–343. doi:10.1111/j.1399-3054.2007.00918.x
Orell A, Navarro CA, Arancibia R, Mobarec JC, Jerez CA (2010) Life in blue: copper resistance mechanisms of bacteria and archaea used in industrial biomining of minerals. Biotechnol Adv 28(6):839–848. doi:10.1016/j.biotechadv.2010.07.003
Perrine-Walker F, Doumas P, Lucas M, Vaissayre V, Beauchemin NJ, Band LR, Chopard J, Crabos A, Conejero G, Peret B, King JR, Verdeil JL, Hocher V, Franche C, Bennett MJ, Tisa LS, Laplaze L (2010) Auxin carriers localization drives auxin accumulation in plant cells infected by Frankia in Casuarina glauca actinorhizal nodules. Plant Physiol 154(3):1372–1380. doi:10.1104/pp.110.163394
Persson T, Benson DR, Normand P, Vanden Heuvel B, Pujic P, Chertkov O, Teshima H, Bruce DC, Detter C, Tapia R, Han SS, Han J, Woyke T, Pitluck S, Pennacchio L, Nolan M, Ivanova N, Pati A, Land ML, Pawlowski K, Berry AM (2011) Genome sequence of “Candidatus Frankia datiscae” Dg1, the uncultured microsymbiont from nitrogen-fixing root nodules of the Dicot Datisca glomerata. J Bacteriol 193(24):7017–7018. doi:10.1128/Jb.06208-11
Pfaffl MW (2001) A new mathematical model for relative quantification in real-time RT-PCR. Nucleic Acids Res 29(9) doi:10.1093/nar/29.9.e45
Pontel LB, Soncini FC (2009) Alternative periplasmic copper-resistance mechanisms in Gram negative bacteria. Mol Microbiol 73(2):212–225. doi:10.1111/j.1365-2958.2009.06763.x
Radford DS, Kihlken MA, Borrelly GPM, Harwood CR, Le Brun NE, Cavet JS (2003) CopZ from Bacillus subtilis interacts in vivo with a copper exporting CPx-type ATPase CopA. FEMS Microbiol Lett 220(1):105–112. doi:10.1016/S0378-1097(03)00095-8
Rehan M, Kluge M, Fränzle S, Kellner H, Ullrich R, Hofrichter M (2014) Degradation of Atrazine by Frankia alni ACN14a: gene regulation, dealkylation and dechlorination. Appl Microbiol Biotechnol. doi:10.1007/s00253-014-5665-z
Rensing C, Fan B, Sharma R, Mitra B, Rosen BP (2000) CopA: an Escherichia coli Cu(I)-translocating P-type ATPase. Proc Natl Acad Sci U S A 97(2):652–656. doi:10.1073/pnas.97.2.652
Richards JW, Krumholz GD, Chval MS, Tisa LS (2002) Heavy metal resistance patterns of Frankia strains. Appl Environ Microb 68(2):923–927
Ridgway KP, Marland LA, Harrison AF, Wright J, Young JPW, Fitter AH (2004) Molecular diversity of Frankia in root nodules of Alnus incana grown with inoculum from polluted urban soils. FEMS Microbiol Ecol 50(3):255–263. doi:10.1016/j.femsec.2004.07.002
Sayed WF, Mohaowad SM, Abd El-Karim MM (2000) Effect of Al, Co, and Pb ions on growth of Frankia spp. in a mineral medium. Folia Microbiol 45(2):153–156
Sen A, Beauchemin N, Bruce D, Chain P, Chen A, Walston Davenport K, Deshpande S, Detter C, Furnholm T, Ghodbhane-Gtari F, Goodwin L, Gtari M, Han C, Han J, Huntemann M, Ivanova N, Kyrpides N, Land ML, Markowitz V, Mavrommatis K, Nolan M, Nouioui I, Pagani I, Pati A, Pitluck S, Santos CL, Sur S, Szeto E, Tavares F, Teshima H, Thakur S, Wall L, Wishart J, Woyke T, Tisa LS (2013) Draft Genome sequence of Frankia sp. strain QA3, a nitrogen-fixing actinobacterium isolated from the root nodule of Alnus nitida. Genome Announc 1(2):e00103–e00113. doi:10.1128/genomeA.00103-13
Solioz M, Stoyanov JV (2003) Copper homeostasis in Enterococcus hirae. FEMS Microbiol Rev 27(2–3):183–195. doi:10.1016/S0168-6445(03)00053-6
Solioz M, Abicht HK, Mermod M, Mancini S (2010) Response of Gram-positive bacteria to copper stress. J Biol Inorg Chem 15(1):3–14. doi:10.1007/s00775-009-0588-3
Taghavi S, Lesaulnier C, Monchy S, Wattiez R, Mergeay M, van der Lelie D (2009) Lead(II) resistance in Cupriavidus metallidurans CH34: interplay between plasmid and chromosomally-located functions. Anton Leeuw Int J G 96(2):171–182. doi:10.1007/s10482-008-9289-0
Tamura K, Peterson D, Peterson N, Stecher G, Nei M, Kumar S (2011) MEGA5: molecular evolutionary genetics analysis using maximum likelihood, evolutionary distance, and maximum parsimony methods. Mol Biol Evol 28(10):2731–2739. doi:10.1093/molbev/msr121
Thompson JD, Gibson TJ, Plewniak F, Jeanmougin F, Higgins DG (1997) The CLUSTAL_X windows interface: flexible strategies for multiple sequence alignment aided by quality analysis tools. Nucleic Acids Res 25(24):4876–4882
Tisa LS, Ensign JC (1987) The calcium requirement for functional vesicle development and nitrogen-fixation by Frankia strains EAN1pec and CpI1. Arch Microbiol 149(1):24–29
Tisa L, Mcbride M, Ensign JC (1983) Studies of growth and morphology of Frankia strains EAN1pec, EuI1c, CpI1, and ACN1ag. Can J Bot 61(11):2768–2773
Tisa LS, Chval MS, Krumholz GD, Richards J (1999) Antibiotic resistance patterns of Frankia strains. Can J Bot 77(9):1257–1260
Udwary DW, Gontang EA, Jones AC, Jones CS, Schultz AW, Winter JM, Yang JY, Beauchemin N, Capson TL, Clark BR, Esquenazi E, Eustaquio AS, Freel K, Gerwick L, Gerwick WH, Gonzalez D, Liu WT, Malloy KL, Maloney KN, Nett M, Nunnery JK, Penn K, Prieto-Davo A, Simmons TL, Weitz S, Wilson MC, Tisa LS, Dorrestein PC, Moore BS (2011) Significant natural product biosynthetic potential of actinorhizal symbionts of the genus Frankia, as revealed by comparative genomic and proteomic analyses. Appl Environ Microb 77(11):3617–3625. doi:10.1128/Aem.00038-11
Wall LG (2000) The actinorhizal symbiosis. J Plant Growth Regul 19(2):167–182
Wang H, Hollywood K, Jarvis RM, Lloyd JR, Goodacre R (2010) Phenotypic characterization of Shewanella oneidensis MR-1 under aerobic and anaerobic growth conditions by using Fourier transform infrared spectroscopy and high-performance liquid chromatography analyses. Appl Environ Microb 76(18):6266–6276. doi:10.1128/Aem.00912-10
Wheeler CT, Miller IM (1990) Current and potential uses of actinorhizal plants in Europe. In: Schwintzer CR, Tjepkema JD (eds) The biology of Frankia and actinorhizal plants. Academic Press, San Diego, pp 365–389
Wheeler CT, Hughes LT, Oldroyd J, Pulford ID (2001) Effects of nickel on Frankia and its symbiosis with Alnus glutinosa (L.) Gaertn. Plant Soil 231(1):81–90
Acknowledgments
This investigation was supported, in part, by the New Hampshire Agricultural Experiment Station (NH00585 and NH00567), NSF CLF 1307367, and by the College of Life Science and Agriculture at the University of New Hampshire, Durham. This is scientific contribution number 2511 from the NH Agricultural Experiment Station. MR was supported by an Egyptian Channel Fellowship from The Egyptian Cultural Affairs and Missions Sectors. We thank Robert Mooney for his help with the photography, Nancy Chemin for her help with the electron microscopy, and Nicholas Beauchemin, Rebecca Wagers, Joel Richards, Scott Powers, and Glenn Krumholz for their initial contributions to this project.
Author information
Authors and Affiliations
Corresponding author
Electronic supplementary material
Below is the link to the electronic supplementary material.
ESM 1
(PDF 424 kb)
Rights and permissions
About this article
Cite this article
Rehan, M., Furnholm, T., Finethy, R.H. et al. Copper tolerance in Frankia sp. strain EuI1c involves surface binding and copper transport. Appl Microbiol Biotechnol 98, 8005–8015 (2014). https://doi.org/10.1007/s00253-014-5849-6
Received:
Revised:
Accepted:
Published:
Issue Date:
DOI: https://doi.org/10.1007/s00253-014-5849-6