Skip to main content

Characterization of the monoclonal antibody against classical swine fever virus glycoprotein Erns and its application to an indirect sandwich ELISA

Abstract

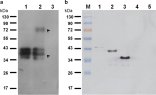
Classical swine fever virus (CSFV) Erns is an envelope glycoprotein possessing RNase activity. The Erns-based enzyme-linked immunosorbent assay (ELISA) has been considered a discriminating diagnostic test for differentiating infected from vaccinated animals. The purpose of this study was to produce a specific monoclonal antibody (MAb) to Erns for further developing an indirect sandwich ELISA. The MAb CW813 was shown to specifically recognize both the monomer and dimer forms of Pichia pastoris yeast-expressed Erns (yErns). The antigenic site recognized by MAb CW813 was mapped to the region of amino acid residues 101–160 of Erns where it was neither a neutralizing epitope nor essential to RNase activity. Furthermore, MAb CW813 was utilized as a capture antibody to develop a yErns-based indirect sandwich ELISA for detecting swine antibody to Erns. The assay demonstrated a high sensitivity and specificity that may provide an alternative method for developing a diagnostic kit with easy manipulation and low cost.

This is a preview of subscription content, access via your institution.

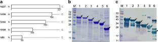
Fig. 1
Fig. 2
Fig. 3
Fig. 4

References

  • Bouma A, De Smit AJ, De Jong MCM, De Kluijver EP, Moormann RJM (2000) Determination of the onset of the herd-immunity induced by the E2 subunit vaccine against classical swine fever virus. Vaccine 18:1374–1381

    CAS  Article  Google Scholar 

  • de Smit AJ (2000) Laboratory diagnosis, epizootiology, and efficacy of marker vaccines in classical swine fever: a review. Vet Q 4:182–188

    Article  Google Scholar 

  • Huang C, Chien MS, Hu CM, Chen CW, Hsieh PC (2006) Secreted expression of the classical swine fever virus glycoprotein Erns in yeast and application to a sandwich blocking ELISA. J Virol Methods 132:40–47

    CAS  Article  Google Scholar 

  • Huang C, Chien MS, Landolt M, Winton J (1994) Characterization of the infectious hematopoietic necrosis virus glycoprotein using neutralizing monoclonal antibodies. Dis Aquat Org 18:29–35

    CAS  Article  Google Scholar 

  • Hulst MM, Himes G, Newbigin E, Moormann RJM (1994) Glycoprotein E2 of classical swine fever virus: expression in insect cells and identification as a ribonuclease. Virology 200:558–565

    CAS  Article  Google Scholar 

  • Hulst MM, Panoto FE, Hoekman A, van Gennip HG, Moormann RJ (1998) Inactivation of the RNase activity of glycoprotein Erns of classical swine fever virus results in a cytopathogenic virus. J Virol 72:151–157

    CAS  Article  Google Scholar 

  • König M, Lengsfeld T, Pauly T, Stark R, Thiel HJ (1995) Classical swine fever virus independent induction of protective immunity by two structural glycoproteins. J Virol 69:6479–6486

    Article  Google Scholar 

  • Langedijk JP, van Veelen PA, Schaaper WM, de Ru AH, Meloen RH, Hulst MM (2002) A structural model of pestivirus Erns based on disulfide bond connectivity and homology modeling reveals an extremely rare vicinal disulfide. J Virol 76:10383–10392

    CAS  Article  Google Scholar 

  • Lin GJ, Liu TY, Tseng YY, Chen ZW, You CC, Hsuan SL, Chien MS, Huang C (2009) Yeast-expressed classical swine fever virus glycoprotein E2 induces a protective immune response. Vet Microbiol 139:369–374

    CAS  Article  Google Scholar 

  • Lindenbach BD, Rice CN (2001) Flaviviridae: the viruses and their replication. In: Knipe DM, Howley PM, Griffin DE, Lamb RA, Martin MA, Rzman B (eds) Fields Virology, vol 1, 4th edn. Lippincott Williams & Wilkins, Philadelphia PA, pp 991–1041

    Google Scholar 

  • Meyers G, Thiel HJ (1995) Cytopathogenicity of classical swine fever virus caused by defective interfering particles. J Virol 69:3683–3689

    CAS  Article  Google Scholar 

  • Meyers G, Saalmuller A, Buttner M (1999) Mutations abrogating the RNase activity in glycoprotein Erns of the pestivirus classical swine fever virus lead to virus attenuation. J Virol 73:10224–10235

    CAS  Article  Google Scholar 

  • Moormann RJM, Bouma A, Kramps JA, Terpstra C, De Smit HJ (2000) Development of a classical swine fever subunit marker vaccine and companion diagnostic test. Vet Microbiol 73:209–219

    CAS  Article  Google Scholar 

  • Rumenapf T, Unger G, Strauss R, Thiel HJ (1993) Processing of the envelope glycoprotein of pestiviruses. J Virol 67:3288–3294

    CAS  Article  Google Scholar 

  • Schneider R, Unger G, Stark R, Schneider SE, Thiel HJ (1993) Identification of a structural glycoprotein of an RNA virus as a ribonuclease. Science 216:1169–1171

    Article  Google Scholar 

  • Shiu JS, Chang MH, Liu ST, Ho WC, Lai SS, Chang TJ, Chang YS (1996) Molecular cloning and nucleotide sequence determination of three envelope genes of classical swine fever virus Taiwan isolate p97. Virus Res 41:173–178

    CAS  Article  Google Scholar 

  • Terpstra C, Bloemraad M, Gielkens AL (1984) The neutralizing peroxidase-linked assay for detection of antibody against swine fever virus. Vet Microbiol 9:113–120

    CAS  Article  Google Scholar 

  • Terpstra C, Wensvoort G (1988) The protective value of vaccine-induced neutralizing antibody titers in swine fever. Vet Microbiol 16:123–128

    CAS  Article  Google Scholar 

  • van Rijn PA, Bossers A, Wensvoort G, Moormann RJM (1996) Classical swine fever virus (CSFV) envelope glycoprotein E2 containing on structural antigenic unit protect pigs from lethal CSFV challenge. J Gen Virol 77:2737–2745

    Article  Google Scholar 

  • Weiland E, Ahl R, Stark R, Weiland F, Thiel HJ (1992) A second envelope glycoprotein mediates neutralization of a Pestivirus, hog cholera virus. J Virol 66:3677–3682

    CAS  Article  Google Scholar 

  • Windisch JM, Schneider R, Stark R, Weiland E, Meyers G, Thiel HJ (1996) RNase of classical swine fever virus: biochemical characterization and inhibition by virus-neutralizing monoclonal antibodies. J Virol 70:352–358

    CAS  Article  Google Scholar 

  • Yue T, Goldstein IJ, Hollingsworth MA, Kaul K, Brand RE, Haab BB (2009) The prevalence and nature of glycan alterations on specific proteins in pancreatic cancer patients revealed using antibody-lectin sandwich arrays. Mol Cell Proteomics 8:1697–1707

    CAS  Article  Google Scholar 

Download references

Acknowledgments

This work was supported in part by the grant NSC97-2323-B-005-007-MY3 from the National Science Council and the grant 99AS-9.2.5-BQ-B1(5) from the Bureau of Animal and Plant Health Inspection and Quarantine, Council of Agriculture, Taiwan, Republic of China.

Author information

Affiliations

Authors

Corresponding author

Correspondence to Chienjin Huang.

Rights and permissions

Reprints and Permissions

About this article

Cite this article

Wu, CW., Chien, MS., Liu, TY. et al. Characterization of the monoclonal antibody against classical swine fever virus glycoprotein Erns and its application to an indirect sandwich ELISA. Appl Microbiol Biotechnol 92, 815–821 (2011). https://doi.org/10.1007/s00253-011-3602-y

Download citation

  • Received:

  • Revised:

  • Accepted:

  • Published:

  • Issue Date:

  • DOI: https://doi.org/10.1007/s00253-011-3602-y

Keywords

  • Classical swine fever virus
  • RNase activity
  • Monoclonal antibody
  • Sandwich ELISA