Skip to main content

Construction of a chimeric gene cluster for the biosynthesis of apoemulsan with altered molecular weight

Abstract

Acinetobacter venetianus RAG-1 produces an extracellular protein/high-molecular-weight (HMW) polysaccharide complex termed emulsan. As an emulsion stabilizer, emulsan has potential industrial applications. To control the molecular weight of the polymer, a stable chromosomal mutant was generated where RAG-1 wza, wzb, wzc genes were replaced by Escherichia coli homologs. The heterologous Wza, Wzb, Wzc proteins restored production of HMW polysaccharide. The polymer produced was of higher molecular weight than from the parent strain and with the cells exhibiting modified hydrophobicity.

This is a preview of subscription content, access via your institution.

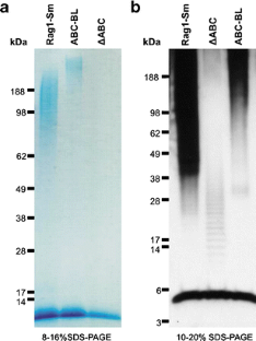
Fig. 1
Fig. 2
Fig. 3

References

  • Bastin DA, Stevenson G, Brown PK, Haase A, Reeves PR (1993) Repeat unit polysaccharides of bacteria: a model for polymerization resembling that of ribosomes and fatty acid synthetase, with a novel mechanism for determining chain length. Mol Microbiol 7:725–734

    Article  Google Scholar 

  • Castro GR, Kamdar RR, Panilaitis B, Kaplan DL (2005) Triggered release of proteins from emulsan–alginate beads. J Control Release 109:149–157

    Article  Google Scholar 

  • Collins RF, Beis K, Clarke BR, Ford RC, Hulley M, Naismith JH, Whitfield C (2006) Periplasmic protein–protein contacts in the inner membrane protein Wzc form a tetrameric complex required for the assembly of Escherichia coli group 1 capsules. J Biol Chem 281:2144–2150

    Google Scholar 

  • Dams-Kozlowska H, Kaplan DL (2007) Protein engineering of Wzc to generate new emulsan analogs. Appl Environ Microbiol 73:4020–4028

    Article  Google Scholar 

  • Daniels C, Morona R (1999) Analysis of Shigella flexneri Wzz (Rol) function by mutagenesis and cross-linking: Wzz is able to oligomerize. Mol Microbiol 34:181–194

    Article  Google Scholar 

  • Dodgson C, Amor P, Whitfield C (1996) Distribution of the rol gene encoding the regulator of lipopolysaccharide O-chain length in Escherichia coli and its influence on the expression of group I capsular K antigens. J Bacteriol 178:1895–1902

    Article  Google Scholar 

  • Drummelsmith J, Whitfield C (2000) Translocation of group 1 capsular polysaccharide to the surface of Escherichia coli requires a multimeric complex in the outer membrane. Embo J 19:57–66

    CAS  Article  Google Scholar 

  • Franco AV, Liu D, Reeves PR (1998) The Wzz (Cld) protein in Escherichia coli: amino acid sequence variation determines O-antigen chain length specificity. J Bacteriol 180:2670–2675

    Article  Google Scholar 

  • Gorkovenko A, Zhang J, Gross RA, Allen AL, Kaplan DL (1997) Bioengineering of emulsifier structure: emulsan analogs. Can J Microbiol 43:384–390

    Article  Google Scholar 

  • Gutnick DL (1987) The emulsan polymer: perspectives on a microbial capsule as an industrial product. Biopolymers 26:S223–S240

    Article  Google Scholar 

  • Johri AK, Blank W, Kaplan DL (2002) Bioengineered emulsans from Acinetobacter calcoaceticus RAG-1 transposon mutants. Appl Microbiol Biotechnol 59:217–223

    Google Scholar 

  • Klee SR, Tzschaschel BD, Timmis KN, Guzman CA (1997) Influence of different rol gene products on the chain length of Shigella dysenteriae type 1 lipopolysaccharide O antigen expressed by Shigella flexneri carrier strains. J Bacteriol 179:2421–2425

    Article  Google Scholar 

  • Morona R, van den Bosch L, Manning PA (1995) Molecular, genetic, and topological characterization of O-antigen chain length regulation in Shigella flexneri. J Bacteriol 177:1059–1068

    CAS  Article  Google Scholar 

  • Morona R, Van Den Bosch L, Daniels C (2000) Evaluation of Wzz/MPA1/MPA2 proteins based on the presence of coiled-coil regions. Microbiology 146(Pt 1):1–4

    CAS  Article  Google Scholar 

  • Nakar D, Gutnick DL (2001) Analysis of the wee gene cluster responsible for the biosynthesis of the polymeric bioemulsifier from the oil-degrading strain Acinetobacter lwoffii RAG-1. Microbiology 147:1937–1946

    Article  Google Scholar 

  • Nakar D, Gutnick DL (2003) Involvement of a protein tyrosine kinase in production of the polymeric bioemulsifier emulsan from the oil-degrading strain Acinetobacter lwoffii RAG-1. J Bacteriol 185:1001–1009

    Article  Google Scholar 

  • Panilaitis B, Johri A, Blank W, Kaplan D, Fuhrman J (2002) Adjuvant activity of emulsan, a secreted lipopolysaccharide from Acinetobacter calcoaceticus. Clin Diagn Lab Immunol 9:1240–1247

    PubMed Central  Google Scholar 

  • Raetz CR, Whitfield C (2002) Lipopolysaccharide endotoxins. Annu Rev Biochem 71:635–700

    CAS  Article  Google Scholar 

  • Reid AN, Whitfield C (2005) Functional analysis of conserved gene products involved in assembly of Escherichia coli capsules and exopolysaccharides: evidence for molecular recognition between Wza and Wzc for colanic acid biosynthesis. J Bacteriol 187:5470–5481

    Article  Google Scholar 

  • Rosenberg M (1981) Bacterial adherence to polystyrene: a replica method of screening for bacterial hydrophobicity. Appl Environ Microbiol 42:375–377

    Article  Google Scholar 

  • Rosenberg E, Zuckerberg A, Rubinovitz C, Gutnick DL (1979) Emulsifier of arthrobacter RAG-1: isolation and emulsifying properties. Appl Environ Microbiol 37:402–408

    PubMed Central  Google Scholar 

  • Sambrook AJ, Fritsch EF, Maniatis T (1989) Molecular cloning. A laboratory manual. 2nd ed. Cold Spring Harbor Laboratory Press, Cold Spring Harbor

    Google Scholar 

  • Vincent C, Duclos B, Grangeasse C, Vaganay E, Riberty M, Cozzone AJ, Doublet P (2000) Relationship between exopolysaccharide production and protein–tyrosine phosphorylation in gram-negative bacteria. J Mol Biol 304:311–321

    Article  Google Scholar 

  • Whitfield C (2006) Biosynthesis and assembly of capsular polysaccharides in Escherichia coli. Annu Rev Biochem 75:39–68

    CAS  Article  Google Scholar 

  • Wugeditsch T, Paiment A, Hocking J, Drummelsmith J, Forrester C, Whitfield C (2001) Phosphorylation of Wzc, a tyrosine autokinase, is essential for assembly of group 1 capsular polysaccharides in Escherichia coli. J Biol Chem 276:2361–2371

    Article  Google Scholar 

  • Zhang J, Gorkovenko A, Gross RA, Allen AL, Kaplan D (1997) Incorporation of 2-hydroxyl fatty acids by Acinetobacter calcoaceticus RAG-1 to tailor emulsan structure. Int J Biol Macromol 20:9–21

    Article  Google Scholar 

  • Zuckerberg A, Diver A, Peeri Z, Gutnick DL, Rosenberg E (1979) Emulsifier of arthrobacter RAG-1: chemical and physical properties. Appl Environ Microbiol 37:414–420

    Article  Google Scholar 

Download references

Acknowledgements

The NIH NIAID (AI055976) is gratefully acknowledged for support in this program. We thank Bruce Paniliatis for helpful discussions.

Author information

Affiliations

Authors

Corresponding author

Correspondence to David L. Kaplan.

Electronic supplementary material

Below is the link to the electronic supplementary material.

Supplementary material 1

Nucleic acid and translated amino acid sequences of wza, wzb, wzc genes of E. coli B strain BL21 (Novagen) (DOC 51 KB)

Rights and permissions

Reprints and Permissions

About this article

Cite this article

Dams-Kozlowska, H., Sainath, N. & Kaplan, D.L. Construction of a chimeric gene cluster for the biosynthesis of apoemulsan with altered molecular weight. Appl Microbiol Biotechnol 78, 677–683 (2008). https://doi.org/10.1007/s00253-008-1346-0

Download citation

  • Received:

  • Revised:

  • Accepted:

  • Published:

  • Issue Date:

  • DOI: https://doi.org/10.1007/s00253-008-1346-0

Keywords

  • Emulsan
  • Acinetobacter
  • Alcian Blue
  • Polymer Synthesis
  • Replacement Mutant