Abstract
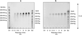
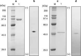
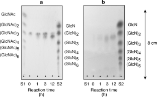
A chitin-degrading bacterial strain, KN1699, isolated from Yatsu dry beach (Narashino, Chiba Prefecture, Japan), was identified as Vibrio parahaemolyticus. Treatment of powdered chitin with crude enzyme solution prepared from the supernatant of KN1699 cultures yielded a disaccharide, β-d-N-acetylglucosaminyl-(1,4)-d-glucosamine (GlcNAc-GlcN), as the primary chitin degradation product. The extracellular enzymes involved in the production of this heterodisaccharide, chitinase (Pa-Chi; molecular mass, 92 kDa) and chitin oligosaccharide deacetylase (Pa-COD; molecular mass, 46 kDa), were isolated from the crude enzyme solution, and their hydrolysis specificities were elucidated. These studies confirmed that (1) Pa-Chi hydrolyzes chitin to produce (GlcNAc)2 and (2) Pa-COD hydrolyzes the acetamide group of reducing end GlcNAc residue of (GlcNAc)2. These findings indicate that GlcNAc-GlcN is produced from chitin by the cooperative hydrolytic reactions of both Pa-Chi and Pa-COD.




Similar content being viewed by others
Explore related subjects
Discover the latest articles and news from researchers in related subjects, suggested using machine learning.References
Caufrier F, Martinou A, Dupont C, Bouriotis V (2003) Carbohydrate esterase family 4 enzymes: substrate specificity. Carbohydr Res 338:687–692
Dahiya N, Tewari R, Hoondal GS (2006) Biotechnological aspects of chitinolytic enzymes: a review. Appl Microbiol Biotechnol 71:773–782
Dische Z, Borenfreund E (1950) A spectrophotometric method for the microdetermination of hexosamines. J Biol Chem 184:517–522
Farmer III JJ, Janda JM, Brenner FW, Cameron DN, Birkhead KM (2005) Genus I. Vibrio Pacini 1854, 411AL. In: Garrity GM, Brenner DJ, Krieg NR, Staley JT (eds) Bergey’s manual of systematic bacteriology vol 2: the proteobacteria part B: the gammaproteobacteria, 2nd edn. Springer, Berlin Heidelberg New York, pp 494–546
Gao XD, Katsumoto T, Onodera K (1995) Purification and characterization of chitin deacetylase from Absidia coerulea. J Biochem (Tokyo) 117:257–263
Imoto T, Yagashita K (1971) A simple activity measurement of lysozyme. Agric Biol Chem 35:1154–1156
Kafetzopoulos D, Martinou A, Bouriotis V (1993) Bioconversion of chitin to chitosan: purification and characterization of chitin deacetylase from Mucor rouxii. Proc Natl Acad Sci USA 90:2564–2568
Kobayashi M, Watanabe T, Suzuki S, Suzuki M (1990) Effect of N-acetylchitohexaose against Candida albicans infection of tumor-bearing mice. Microbiol Immunol 34:413–426
Murao S, Kawada T, Itoh H, Oyama H, Shin T (1992) Purification and characterization of a novel type of chitinase from Vibrio alginolyticus TK-22. Biosci Biotechnol Biochem 56:368–369
Ohishi K, Yamagishi M, Ohta T, Suzuki M, Izumida H, Sano H, Nishijima M, Miwa T (1996) Purification and properties of two chitinases from Vibrio alginolyticus H-8. J Ferment Bioeng 82:598–600
Ohishi K, Yamagishi M, Ohta T, Motosugi M, Izumida H, Sano H, Adachi K, Miwa T (1997) Purification and properties of two deacetylases produced by Vibrio algionolyticus H-8. Biosci Biotechnol Biochem 61:1113–1117
Ohtakara A, Mitsutomi M, Uchida Y (1979) Purification and some properties of chitinase from Vibrio sp. J Ferment Technol 57:169–177
Sanger F, Nicklen S, Coulson AR (1977) DNA sequencing with chain-terminating inhibitors. Proc Natl Acad Sci USA 74:5463–5467
Scigelova M, Crout DHG (1999) Microbial β-N-acetylhexosaminidases and their biotechnological applications. Enzyme Microb Technol 25:3–14
Shimahara K, Takiguchi Y (1988) Preparation of crustacean chitin. Methods Enzymol 161:417–423
Suginta W, Robertson PAW, Austin B, Fry SC, Fothergill-Gilmore LA (2000) Chitinases from Vibrio: activity screening and purification of chiA from Vibrio carchariae. J Appl Microbiol 89:76–84
Suzuki K, Mikami T, Okawa Y, Tokoro A, Suzuki S, Suzuki M (1986) Antitumor effect of hexa-N-acetylchitohexaose and chitohexaose. Carbohydr Res 151:403–408
Takahashi M, Tsukiyama T, Suzuki T (1993) Purification and some properties of chitinase produced by Vibrio sp. J Ferment Bioeng 75:457–459
Tokoro A, Tatewaki N, Suzuki K, Mikami T, Suzuki S, Suzuki M (1988) Growth-inhibitory effect of hexa-N-acetylchitohexaose and chitohexaose against Meth-A solid tumor. Chem Pharm Bull 36:784–790
Tokoro A, Kobayashi M, Tatewaki N, Suzuki K, Okawa Y, Mikami T, Suzuki S, Suzuki M (1989) Protective effect of N-acetyl chitohexaose on Listeria monocytogenes infection in mice. Microbiol Immunol 33:357–367
Tokuyasu K, Ohnishi-Kameyama M, Hayashi K (1996) Purification and characterization of extracellular chitin deacetylase from Colletotrichum lindemuthianum. Biosci Biotechnol Biochem 60:1598–1603
Tokuyasu K, Ono H, Hayashi K, Mori Y (1999) Reverse hydrolysis reaction of chitin deacetylase and enzymatic synthesis of β-d-GlcNAc-(1-4)-GlcN from chitobiose. Carbohydr Res 322:26–31
Tsigos I, Bouriotis V (1995) Purification and characterization of chitin deacetylase from Colletotrichum lindemuthianum. J Biol Chem 270:26286–26291
Tsigos I, Martinou A, Kafetzopoulos D, Bouriotis V (2000) Chitin deacetylases: new, versatile tools in biotechnology. Trends Biotech 18:305–312
Tsukada K, Matsumoto T, Aizawa K, Tokoro A, Naruse R, Suzuki S, Suzuki M (1990) Antimetastatic and growth-inhibitory effects of N-acetylchitohexaose in mice bearing Lewis lung carcinoma. Jpn J Cancer Res 81:259–265
Acknowledgment
This work was supported by a grant from the 21st Century Center of Excellence (COE) Program of the Ministry of Education, Science, Sports, and Culture (Japan) to promote advanced scientific research.
Author information
Authors and Affiliations
Corresponding author
Rights and permissions
About this article
Cite this article
Kadokura, K., Rokutani, A., Yamamoto, M. et al. Purification and characterization of Vibrio parahaemolyticus extracellular chitinase and chitin oligosaccharide deacetylase involved in the production of heterodisaccharide from chitin. Appl Microbiol Biotechnol 75, 357–365 (2007). https://doi.org/10.1007/s00253-006-0831-6
Received:
Revised:
Accepted:
Published:
Issue Date:
DOI: https://doi.org/10.1007/s00253-006-0831-6


