Skip to main content

Novel bacterial sulfur oxygenase reductases from bioreactors treating gold-bearing concentrates

Abstract

The microbial community and sulfur oxygenase reductases of metagenomic DNA from bioreactors treating gold-bearing concentrates were studied by 16S rRNA library, real-time polymerase chain reaction (RT-PCR), conventional cultivation, and molecular cloning. Results indicated that major bacterial species were belonging to the genera Acidithiobacillus, Leptospirillum, Sulfobacillus, and Sphingomonas, accounting for 6.3, 66.7, 18.8, and 8.3%, respectively; the sole archaeal species was Ferroplasma sp. (100%). Quantitative RT-PCR revealed that the 16S rRNA gene copy numbers (per gram of concentrates) of bacteria and archaea were 4.59 × 109 and 6.68 × 105, respectively. Bacterial strains representing Acidithiobacillus, Leptospirillum, and Sulfobacillus were isolated from the bioreactors. To study sulfur oxidation in the reactors, pairs of new PCR primers were designed for the detection of sulfur oxygenase reductase (SOR) genes. Three sor-like genes, namely, sor Fx, sor SA, and sor SB were identified from metagenomic DNAs of the bioreactors. The sor Fx is an inactivated SOR gene and is identical to the pseudo-SOR gene of Ferroplasma acidarmanus. The sor SA and sor SB showed no significant identity to any genes in GenBank databases. The sor SB was cloned and expressed in Escherichiacoli, and SOR activity was determined. Quantitative RT-PCR determination of the gene densities of sor SA and sor SB were 1,000 times higher than archaeal 16S rRNA gene copy numbers, indicating that these genes were mostly impossible from archaea. Furthermore, with primers specific to the sor SB gene, this gene was PCR-amplified from the newly isolated Acidithiobacillus sp. strain SM-1. So far as we know, this is the first time to determine SOR activity originating from bacteria and to document SOR gene in bioleaching reactors and Acidithiobacillus species.

This is a preview of subscription content, access via your institution.

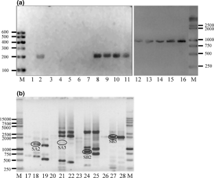
Fig. 1
Fig. 2

References

  • Amend JP, Shock EL (2001) Energetics of overall metabolic reactions of thermophilic and hyperthermophilic Archaea and Bacteria. FEMS Microbiol Rev 25:175–243

    CAS  PubMed  Google Scholar 

  • Beja O, Koonin EV, Aravind L, Taylor LT, Seitz H, Stein JL, Bensen DC, Feldman RA, Swanson RV, DeLong EF (2002) Comparative genomic analysis of archaeal genotypic variants in a single population and in two different oceanic provinces. Appl Environ Microbiol 68:335–345

    CAS  PubMed  PubMed Central  Google Scholar 

  • Breed AW, Dempers CJ, Searby GE, Gardner MN, Rawlings DE, Hansford GS (1999) The effect of temperature on the continuous ferrous-iron oxidation kinetics of a predominantly Leptospirillum ferrooxidans culture. Biotechnol Bioeng 65:44–53

    CAS  PubMed  Google Scholar 

  • Chen ZW, Jiang CY, She Q, Liu SJ, Zhou PJ (2005) Key role of cysteine residues in catalysis and subcellular localization of sulfur oxygenase reductase of Acidianus tengchongensis. Appl Environ Microbiol 71:621–628

    CAS  PubMed  PubMed Central  Google Scholar 

  • Deckert G, Warren PV, Gaasterland T, Young WG, Lenox AL, Graham DE, Overbeek R, Snead MA, Keller M, Aujay M, Huber R, Feldman RA, Short JM, Olsen GJ, Swanson RV (1998) The complete genome of the hyperthermophilic bacterium Aquifex aeolicus. Nature 392:353–358

    CAS  PubMed  Google Scholar 

  • Duquesne K, Lebrun S, Casiot C, Bruneel O, Personné JC, Leblanc M, Elbaz-Poulichet F, Morin G, Bonnefoy V (2003) Immobilization of arsenite and ferric Iron by Acidithiobacillus ferrooxidans and its relevance to acid mine drainage. Appl Environ Microbiol 69:6165–6173

    CAS  PubMed  PubMed Central  Google Scholar 

  • Emmel T, Sand W, Koenig WA, Bock E (1986) Evidence for the existence of a sulfur oxygenase in Sulfolobus brierleyi. J Gen Microbiol 132:3415–3420

    CAS  Google Scholar 

  • Friedriech CG, Rother D, Bardischewsky F, Quentmeier A, Fischer J (2001) Oxidation of reduced inorganic sulfur compounds by bacteria: emergence of a common mechanism? Appl Environ Microbiol 67:2873–2882

    Google Scholar 

  • Friedrich CG, Bardischewsky F, Rother D, Quentmeier A, Fischer J (2005) Prokaryotic sulfur oxidation. Curr Opin Microbiol 8:253–259

    CAS  PubMed  Google Scholar 

  • Futterer O, Angelov A, Liesegang H, Gottschalk G, Schleper C, Schepers B, Dock C, Antranikian G, Liebl W (2004) Genome sequence of Picrophilus torridus and its implications for life around pH 0. Proc Natl Acad Sci USA 101:9091–9096

    CAS  PubMed  Google Scholar 

  • Goebel BM, Stackebrandt E (1994) Cultural and phylogenetic analysis of mixed microbial populations found in natural and commercial bioleaching environments. Appl Environ Microbiol 60:1614–1621

    CAS  PubMed  PubMed Central  Google Scholar 

  • Golyshina OV, Timmis KN (2005) Ferroplasma and relatives, recently discovered cell wall-lacking archaea making a living in extremely acid, heavy metal-rich environments. Environ Microbiol 7:1277–1288

    CAS  PubMed  Google Scholar 

  • Hall TA (1999) BioEdit: a user-friendly biological sequence alignment editor and analysis program for Windows 95/98/NT. Nucleic Acids Symp Ser 41:95–98

    CAS  Google Scholar 

  • Hanson TE, Tabita FR (2003) Insights into the stress response and sulfur metabolism revealed by proteome analysis of a Chlorobium tepium mutant lacking the Rubisco-like protein. Photosynth Res 78:231–248

    CAS  PubMed  Google Scholar 

  • He Z, Li Y, Zhou P, Liu SJ (2000) Cloning and heterologous expression of a sulfur oxygenase/reductase gene from the thermoacidophilic archaeon Acidianus sp. S5 in Escherichia coli. FEMS Microbiol Lett 193:217–221

    CAS  PubMed  Google Scholar 

  • Johnson DB, Maacvicar JHM, Rolfe S (1987) A new solid medium for isolating and enumeration Thiobacillus ferrooxidans and acidophilic heterotrophic bacteria. J Microbiol Methods 7:9–18

    Google Scholar 

  • Kawarabayasi Y, Hino Y, Horikawa H, Jin-no K, Takahashi M, Sekine M, Baba S, Ankai A, Kosugi H, Hosoyama A, Fukui S, Nagai Y, Nishijima K, Otsuka R, Nakazawa H, Takamiya M, Kato Y, Yoshizawa T, Tanaka T, Kudoh Y, Yamazaki J, Kushida N, Oguchi A, Aoki K, Masuda S, Yanagii M, Nishimura M, Yamagishi A, Oshima T, Kikuchi H (2001) Complete genome sequence of an aerobic thermoacidophilic crenarchaeon, Sulfolobus tokodaii strain 7. DNA Res 8:123–140

    CAS  PubMed  Google Scholar 

  • Kemnitz D, Kolb S, Conrad R (2005) Phenotypic characterization of Rice Cluster III archaea without prior isolation by applying quantitative polymerase chain reaction to an enrichment culture. Environ Microbiol 7:553–565

    CAS  PubMed  Google Scholar 

  • Kinnunen PHM, Robertson WJ, Plumb JJ, Gibson JAE, Nicols PD, Franzmann PD, Puhakka JA (2003) The isolation and use of iron-oxidizing moderately thermophilic acidophiles from the Collie coal mine for the generation of ferric iron leaching solution. Appl Microbiol Biotechnol 60:748–753

    CAS  PubMed  Google Scholar 

  • Klappenbach JA, Saxman PR, Cole JR, Schmidt TM (2001) rrndb: the Ribosomal RNA operon copy number database. Nucleic Acids Res 29:181–184

    CAS  PubMed  PubMed Central  Google Scholar 

  • Kletzin A (1989) Coupled enzymatic production of sulfite, thiosulfate, and hydrogen sulfide from sulfur: purification and properties of a sulfur oxygenase reductase from the facultatively anaerobic archaebacterium Desulfurolobus ambivalens. J Bacteriol 171:1638–1643

    CAS  PubMed  PubMed Central  Google Scholar 

  • Kletzin A (1992) Molecular characterization of the sor gene, which encodes the sulfur oxygenase/reductase of the thermoacidophilic Archaeum Desulfurolobus ambivalens. J Bacteriol 174:5854–5859

    CAS  PubMed  PubMed Central  Google Scholar 

  • Kletzin A, Urich T, Müller F, Bandeiras TM, Gomes CM (2004) Dissimilatory oxidation and reduction of elemental sulfur in thermophilic Archaea. J Bioenerg Biomembr 36:77–91

    CAS  PubMed  Google Scholar 

  • Konishi Y, Asai S, Tokushige M, Suzuki T (1999) Kinetics of the bioleaching of chalcopyrite concentrate by acidophilic thermophile Acidianus brierleyi. Biotechnol Prog 15:681–688

    CAS  PubMed  Google Scholar 

  • Kumar S, Tamura K, Nei M (2004) MEGA3: Integrated software for molecular evolutionary genetics analysis and sequence alignment. Brief Bioinform 5:150–163

    CAS  PubMed  Google Scholar 

  • Lane DJ (1991) 16S/23S rRNA sequencing. In: Stackebrandt E, Goodfellow M (eds) Nucleic acid techniques in bacterial systematics. Wiley, New York, NY, pp 115–175

    Google Scholar 

  • Marmur M (1961) A procedure for the isolation of deoxyribonucleic acid from microorganisms. J Mol Biol 3:208–218

    CAS  Google Scholar 

  • Martin-Laurent F, Philippot L, Hallet S, Chaussod R, Germon JC, Soulas G (2001) DNA extraction from soils: old bias for new microbial diversity analysis method. Appl Environ Microbiol 67:2354–2359

    CAS  PubMed  PubMed Central  Google Scholar 

  • Norris PR, Clark DA, Owen JP (1996) Characteristics of Sulfobacillus acidophilus sp. nov. and other moderately thermophilic mineral-sulphide-oxidizing bacteria. Microbiology 142:775–783

    CAS  PubMed  Google Scholar 

  • Okibe N, Gericke M, Hallberg KB, Johnson DB (2003) Enumeration and characterization of acidophilic microorganisms isolated from a pilot plant stirred-tank bioleaching operation. Appl Environ Microbiol 69:1936–1943

    CAS  PubMed  PubMed Central  Google Scholar 

  • Olson GJ, Brierley JA, Brierley CL (2003) Bioleaching review part B: Progress in bioleaching: applications of microbial processes by the minerals industries. Appl Microbiol Biotechnol 63:249–257

    CAS  PubMed  Google Scholar 

  • Picard C, Cello FD, Ventura M, Fani R, Guckert A (2000) Frequency and biodiversity of 2,4-diacetylphloroglucinol-producing bacteria isolated from the maize rhizosphere at different stages of plant growth. Appl Environ Microbiol 66:948–955

    CAS  PubMed  PubMed Central  Google Scholar 

  • Pizarro J, Jedlicki E, Orellana O, Romero J, Espejo RT (1996) Bacterial populations in samples of bioleached copper ore as revealed by analysis of DNA obtained before and after cultivation. Appl Environ Microbiol 62:1323–1328

    CAS  PubMed  PubMed Central  Google Scholar 

  • Rawlings DE (ed) (1997) Biomining: theory, microbes and industrial processes. Springer, Berlin Heidelberg New York

    Google Scholar 

  • Rawlings DE (2002) Heavy metals mining using microbes. Annu Rev Microbiol 56:65–91

    CAS  PubMed  Google Scholar 

  • Rawlings DE (2005) Characteristics and adaptability of iron- and sulfur-oxidizing microorganisms used for the recovery of metals from minerals and their concentrates. Microb Cell Fact 4:13

    PubMed  PubMed Central  Google Scholar 

  • Robb FT, Place AR, Sowers KR, Schreier HJ, Dassarma S, Fleischmann EM (eds) (1996) Archaea, a laboratory manual. Cold Spring Harbor Press, New York, pp 202–203

    Google Scholar 

  • Rohwerder T, Gehrke T, Kinzler K, Sand W (2003) Bioleaching review part A: process in bioleaching: fundamentals and mechanisms of bacterial metal sulfide oxidation. Appl Microbiol Biotechnol 63:239–248

    CAS  PubMed  Google Scholar 

  • Ruby EG, Wirsen CO, Jannasch HW (1981) Chemolithotrophic sulfur-oxidizing bacteria from the Galapagos rift hydrothermal vents. Appl Environ Microbiol 42:317–324

    CAS  PubMed  PubMed Central  Google Scholar 

  • Sambrook J, Russell DW (eds) (2001) Molecular cloning, 3rd edn. vol. 3. Cold Spring Harbor Laboratory Press, Cold Spring Harbor, NY (appendix 3.6–3.10)

    Google Scholar 

  • Segerer A, Neuner A, Kristjansson JK, Stetter KO (1986) Acidianus infernus gen. nov., sp. nov., and Acidianus brierleyi comb. nov.: facultatively aerobic, extremely acidophilic thermophilic sulfur-metabolizing archaebacteria. Int J Syst Bacteriol 36:559–564

    Google Scholar 

  • Spring S, Schulze R, Overmann J, Schleifer KH (2000) Identification and characterization of ecologically significant prokaryotes in the sediment of freshwater lakes: molecular and cultivation studies. FEMS Microbiol Rev 24:573–590

    CAS  PubMed  Google Scholar 

  • Stubner S, Wind T, Conrad R (1998) Sulfur oxidation in rice field soil: activity, enumeration, isolation and characterization of thiosulfate-oxidizing bacteria. Syst Appl Microbiol 21:569–578

    CAS  PubMed  Google Scholar 

  • Sugio T, Katagiri T, Inagaki K, Tano T (1989) Actual substrate for elemental sulfur oxidation by sulfur:ferric ion oxidoreductase purified from Thiobacillus ferrooxidans. Biochim Biophys Acta 973:250–256

    CAS  Google Scholar 

  • Sun CW, Chen ZW, He ZG, Zhou PJ, Liu SJ (2003) Purification and properties of the sulfur oxygenase/reductase from the acidothermophilic archaeon, Acidianus strain S5. Extremophiles 7:131–134

    CAS  PubMed  Google Scholar 

  • Suzuki I (1965) Oxidation of elemental sulfur by an enzyme system of Thiobacillus thiooxidans. Biochim Biophys Acta 104:359–371

    CAS  PubMed  Google Scholar 

  • Suzuki MT, Taylor LT, DeLong EF (2000) Quantitative analysis of small-subunit rRNA genes in mixed microbial populations via 5′-nuclease assays. Appl Environ Microbiol 66:4605–4614

    CAS  PubMed  PubMed Central  Google Scholar 

  • Tan G, Gao Y, Shi M, Zhang X, He S, Chen Z, An C (2005) SiteFinding-PCR: a simple and efficient PCR method for chromosome walking. Nucleic Acids Research 33(13):e122

    PubMed  PubMed Central  Google Scholar 

  • Tano T, Imai K (1968) Physiological studies on thiobacilli. Part II. The metabolism of colloidal sulfur by the cell-free enzyme system of Thiobacillus thiooxidans. Agr Biol Chem 32:51–54

    CAS  Google Scholar 

  • Urich T, Banerras TM, Leal SS, Teixeira M, Gomes CM, Kletzin A (2004) The sulphur oxygenase reductase from Acidianus ambivalens is a multimeric protein containing a low-potential mononuclear non-haem iron center. Biochem J 381:137–146

    CAS  PubMed  PubMed Central  Google Scholar 

  • Urich T, Kroke A, Bauer C, Seyfarth K, Reuff M, Kletzin A (2005) Identification of core active site residues of the sulfur oxygenase reductase from Acidianus ambivalens by site-directed mutagensis. FEMS Microbiol Lett 248:171–176

    CAS  PubMed  Google Scholar 

  • Urich T, Gomes CM, Kletzin A, Frazao C (2006) X-ray structure of a self-compartmentalizing sulfur cycle metalloenzyme. Science 311:996–999

    CAS  PubMed  Google Scholar 

  • Valenzuela L, Chi A, Beard S, Orell A, Guiliani N, Shabanowitz J, Hunt DF, Jerez CA (2006) Genomics, metagenomics and proteomics in biomining microorganisms. Biotechnol Adv 24:197–211

    CAS  PubMed  Google Scholar 

  • Yamamoto H, Hiraishi A, Kato K, Chiura HX, Maki Y, Shimizu A (1998) Phylogenetic evidence for the existence of novel thermophilic bacteria in hot spring sulfur-turf microbial mats in Japan. Appl Environ Microbiol 64:1680–1687

    CAS  PubMed  PubMed Central  Google Scholar 

Download references

Acknowledgements

This work is partially supported by grants from National Natural Science Foundation of China (30670018) and from the Ministry of Science and Technology (2004CB719602) and from BHP Billiton. We also acknowledge Prof. Chengcai An and Dr. Guihong Tan at Peking University (Beijing) for their advice on performing SiteFinding PCR.

Author information

Affiliations

Authors

Corresponding author

Correspondence to S.-J. Liu.

Rights and permissions

Reprints and Permissions

About this article

Cite this article

Chen, ZW., Liu, YY., Wu, JF. et al. Novel bacterial sulfur oxygenase reductases from bioreactors treating gold-bearing concentrates. Appl Microbiol Biotechnol 74, 688–698 (2007). https://doi.org/10.1007/s00253-006-0691-0

Download citation

  • Received:

  • Revised:

  • Accepted:

  • Published:

  • Issue Date:

  • DOI: https://doi.org/10.1007/s00253-006-0691-0

Keywords

  • Sulfur oxygenase reductase
  • Acidithiobacillus
  • Sulfur oxidation
  • Bioleaching
  • Metagenome