Skip to main content

Molecular identification of pathogenic and nonpathogenic strains of Vibrio harveyi using PCR and RAPD

Abstract

Fifteen environmental samples of Vibrio spp. isolated from healthy and diseased shrimps were tested for pathogenicity to juvenile shrimps. Two isolates, strains Z2 and Z3, were observed to be pathogenic, causing 100% mortality of the target host compared to the control strain Vibrio harveyi ATCC 14126. Environmental and type strains were subjected to molecular characterization by restriction fragment length polymorphism (RFLP) and PCR using primers targeted to different virulence, transcriptional regulator, or quorum sensing genes from V. harveyi. Primers designed for luxN were specific and identified all the environmental strains as V. harveyi. The random amplified polymorphic DNA (RAPD) method was used to differentiate between pathogenic and nonpathogenic strains of V. harveyi. These methodologies allowed us to detect and distinguish strains virulent and avirulent to juvenile shrimp.

This is a preview of subscription content, access via your institution.

Fig. 1
Fig. 2
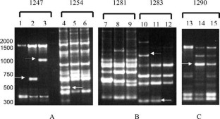
Fig. 3
Fig. 4A–C

References

  • Aguirre-Guzmán G, Vazquez-Juárez R, Ascencio F (2001) Differences in the susceptibility of american white shrimp larval substages (Litopenaeus vannamei) to four Vibrio species. J Inv Path 78:215–219

    Article  Google Scholar 

  • Akopyanz N, Bukanov NO, Westblom TU, Kresovich S, Berg DE (1992) DNA diversity among clinical isolates of Helicobacter pylori detected by PCR-based RAPD fingerprinting. Nucleic Acids Res 20:5137–5142

    CAS  PubMed  Google Scholar 

  • Alabi AO, Jones DA, Latchford JW (1999) The efficacy of immersion as opposed to oral vaccination of Penaeus indicus larvae against Vibrio harveyi. Aquaculture 178:1–11

    Article  Google Scholar 

  • Alsina M, Blanch AR (1994) A set of keys for biochemical identification of environmental Vibrio species. J Appl Bacteriol 76:79–85

    CAS  PubMed  Google Scholar 

  • Arellano CF, Olmos SJ (2002) Thermostable α-1,4- and α-1–6-glucosidase enzymes from Bacillus sp. isolated from a marine environment. World J Microbiol Biotechnol 18:791–795

    Article  Google Scholar 

  • Bassler BL, Wright M, Showalter RE, Silverman MR (1993) Intercellular signaling in Vibrio harveyi: sequence and function of genes regulating expression of luminescence. Mol Microbiol 9:773–786

    CAS  PubMed  Google Scholar 

  • Bassler BL, Greenberg EP, Stevens AM (1997) Cross-species induction of luminescence in the quorum-sensing bacterium Vibrio harveyi. J Bacteriol 179:4043–4045

    CAS  PubMed  Google Scholar 

  • Freeman JA, Lilley BN, Bassler BL (2000) A genetic analysis of the functions of LuxN: a two-component hybrid sensor kinase that regulates quorum sensing in Vibrio harveyi. Mol Microbiol 35:139–49

    Article  CAS  PubMed  Google Scholar 

  • García OM (1997) Caracterización molecular de especies marinas del género Vibrio. BSch Tesis. Universidad Autónoma de Baja California. Tijuana, Baja California, México

  • Harris LJ, Owens L (1999) Production of exotoxins by two luminous Vibrio harveyi strains known to be primary pathogens of Penaeus monodon larvae. Dis Aquat Org 38:11–22

    CAS  Google Scholar 

  • Karunasagar I, Pai R, Malathi GR, Karunasagar I (1994) Mass mortality of Penaeus monodon larvae due to antibiotic-resistant Vibrio harveyi infection. Aquaculture 128:203–209

    Google Scholar 

  • Kim YB, Okuda J, Matsumoto C, Takahashi N, Hashimoto S, Nishibuchi M (1999) Identification of Vibrio parahaemolyticus strains at the species level by PCR targeted to the toxR gene. J Clin Microbiol 37:1173–1177

    CAS  PubMed  Google Scholar 

  • Kita-Tsukamoto K, Oyaizu H, Nanba K, Simidu U (1993) Phylogenetic relationships of marine bacteria, mainly members of the family Vibrionaceae, determined on the basis of 16S rRNA sequences. Int J Syst Bacteriol 43:8–19

    CAS  PubMed  Google Scholar 

  • Liu PC, Lee KK, Chen S N (1996a) Pathogenicity of different isolates of Vibrio harveyi in tiger prawn, Penaeus monodon. Lett Appl Microbiol 22:413–416

    Google Scholar 

  • Liu PC, Lee KK, Yii KC, Kou GH, Chen SN (1996b) Isolation of Vibrio harveyi from diseased Kuruma prawns Penaeus japonicus. Curr Microbiol 33:129–132

    Article  CAS  PubMed  Google Scholar 

  • Milton D, Chalker VJ, Kirke D, Hardman A, Cámara M, Williams P (2001) The LuxM homologue VanM from Vibrio anguillarum directs the synthesis of N-(3-Hydroxyhexanoyl) homoserine lactone and n-hexanoylhomoserine lactone. J Bacteriol 183:3537–3547

    Article  CAS  PubMed  Google Scholar 

  • Mukhopadhyay AK, Chakraborty S, Takeda Y, Nair GB, Berg DE (2001) Characterization of VPI pathogenicity island and CTXphi prophage in environmental strains of Vibrio cholerae. J Bacteriol 183:4737–4746

    Article  CAS  PubMed  Google Scholar 

  • Olmos SJ, Paniagua MJ, Contreras FR (2000) Molecular identification of Dunaliella sp utilizing the 18S rDNA gene. Lett Appl Microbiol 30:80–84

    Article  CAS  PubMed  Google Scholar 

  • Pizzutto M, Hirst RG (1995) Classification of isolates of Vibrio harveyi virulent to Penaeus monodon larvae by protein profile analysis and M13 DNA fingerprinting. Dis Aquat Org 21:61–68

    Google Scholar 

  • Reichelt JL, Baumann P (1973) Taxonomy of the marine luminous bacteria. Arch Microbiol 94:283–330

    Google Scholar 

  • Robertson PAW, Xu HS, Austin B (1998) An enzyme-linked immunosorbent assay (ELISA) for the detection of Vibrio harveyi in penaeid shrimp and water. J Microbiol Meth 34:31–39

    Article  CAS  Google Scholar 

  • Ruangpan L, Danayadol Y, Direkbusarakom S, Siurairatana S, Flegel TW (1999) Lethal toxicity of Vibrio harveyi to cultivated Penaeus monodon induced by a bacteriophage. Dis Aquat Org 35:195–201

    Google Scholar 

  • Ruby EG, Nealson KH (1977) Seasonal changes in the species composition of luminous bacteria in the nearshore sea-water. Limmol Oceanogr 23:530–533

    Google Scholar 

  • Saeed MO (1995) Association of Vibrio harveyi with mortalities in cultured marine fish in Kuwait. Aquaculture 136:21–29

    Article  Google Scholar 

  • Sambrook J, Fritsch EF, Maniatis T (1989) Molecular cloning a laboratory manual. Cold Spring Harbor Laboratory, Cold Spring Harbor, New York

  • Saulnier D, Haffner P, Goarant C, Levy P, Ansquer D (2000) Experimental infection models for shrimp vibriosis studies: a rewiew. Aquaculture 191:133–144

    Article  Google Scholar 

  • Simonet P, Grosjean MC, Misra AK, Nazaret S, Cournoyer B, Normand P (1991) Frankia genus-specific characterization by polymerase chain reaction. Appl Environ Microbiol 57:3278–86

    Google Scholar 

  • Soto RS, Roque A, Lizarraga PL, Guerra FL, Gomez GB (2003) Virulence of luminous vibrios to Artemia franciscana nauplii. Dis Aquat Org 53:231–240

    PubMed  Google Scholar 

  • Surette MG, Miller MB, Bassler BL (1999) Quorum sensing in Escherichia coli, Salmonella typhimurium, and Vibrio harveyi: A new family of genes responsible for autoinducer production. Proc Natl Acad Sci 96:1639–1644

    CAS  PubMed  Google Scholar 

  • Teo JW, Suwanto A, Poh CL (2000) Novel β-lactamase genes from two environmental isolates of Vibrio harveyi. Antimicro Agents Chemother 44:1309–1314

    Article  CAS  Google Scholar 

  • Vandenberghe J, Verdonck L, Robles-Arozarena R, Rivera G, Bolland A, Balladares M, Gomez-Gil B, Calderon J, Sorgeloos P, Swings J (1999) Vibriosis associated with Litopenaeus vannamei larvae, postlarvae, broodstock, and hatchery probionts. Appl Environ Microbiol 65:2592–2597

    CAS  PubMed  Google Scholar 

  • West PA, Colwell RR (1984) Identification and classification of Vibrionaceae an overview. In: Colwell RR(ed), Vibrios in the environment. Wiley, New York, NY, 285–363

  • Zhang XH, Meaden PG, Austin B (2001) Duplication of hemolysin genes in a virulent isolate of Vibrio harveyi. Appl Environ Microbiol 67:3161–3167

    Article  CAS  PubMed  Google Scholar 

Download references

Acknowledgements

This work was supported by grant 34035-V from CONACyT. The authors wish to thanks Rosalia Contreras Flores, Diana Arce Machado and Sonia Soto for their contribution to this work, and Dr. Denise Garcia (University State of California, San Marcos) for English language assistance.

Author information

Affiliations

Authors

Corresponding author

Correspondence to J. Olmos.

Rights and permissions

Reprints and Permissions

About this article

Cite this article

Hernández, G., Olmos, J. Molecular identification of pathogenic and nonpathogenic strains of Vibrio harveyi using PCR and RAPD. Appl Microbiol Biotechnol 63, 722–727 (2004). https://doi.org/10.1007/s00253-003-1451-z

Download citation

  • Received:

  • Revised:

  • Accepted:

  • Published:

  • Issue Date:

  • DOI: https://doi.org/10.1007/s00253-003-1451-z

Keywords

  • Vibrio
  • Control Strain
  • Restriction Fragment Length Polymorphism Analysis
  • Environmental Isolate
  • Avirulent Strain