Skip to main content

Antibiotic-Induced Depletion of Murine Microbiota Induces Mild Inflammation and Changes in Toll-Like Receptor Patterns and Intestinal Motility

Abstract

We examine the impact of changes in microbiota induced by antibiotics on intestinal motility, gut inflammatory response, and the function and expression of toll-like receptors (TLRs). Alterations in mice intestinal microbiota were induced by antibiotics and evaluated by q-PCR and DGGE analysis. Macroscopic and microscopic assessments of the intestine were performed in control and antibiotic-treated mice. TLR expression was determined in the intestine by q-RT-PCR. Fecal parameter measurements, intestinal transit, and muscle contractility studies were performed to evaluate alterations in intestinal motility. Antibiotics reduced the total bacterial quantity 1000-fold, and diversity was highly affected by treatment. Mice with microbiota depletion had less Peyer’s patches, enlarged ceca, and mild gut inflammation. Treatment with antibiotics increased the expression of TLR4, TLR5, and TLR9 in the ileum and TLR3, TLR4, TLR6, TLR7, and TLR8 in the colon, and it reduced the expression of TLR2, TLR3, and TLR6 in the ileum and TLR2 and TLR9 in the colon. Antibiotics decreased fecal output, delayed the whole gut and colonic transit, and reduced the spontaneous contractions and the response to acetylcholine (ACh) in the ileum and colon. Activation of TLR4 by lipopolysaccharide (LPS) reverted the reduction of the spontaneous contractions induced by antibiotics in the ileum. Activation of TLR4 by LPS and TLR5 by flagellin reduced the response to ACh in the ileum in control mice. Our results confirm the role of the microbiota in the regulation of TLRs expression and shed light on the microbiota connection to motor intestinal alterations.

This is a preview of subscription content, access via your institution.

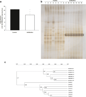
Fig. 1
Fig. 2
Fig. 3
Fig. 4
Fig. 5
Fig. 6

References

  1. Guarner F (2011) The intestinal microbiota and inflammatory bowel disease. Gastroenterol Hepatol 34:147–154. doi:10.1016/j.gastrohep.2010.11.009

    Article  PubMed  Google Scholar 

  2. Dupont HL (2014) Review article: evidence for the role of gut microbiota in irritable bowel syndrome and its potential influence on therapeutic targets. Aliment Pharmacol Ther 39:1033–1042. doi:10.1111/apt.12728

    CAS  Article  PubMed  Google Scholar 

  3. Cerf-Bensussan N, Gaboriau-Routhiau V (2010) The immune system and the gut microbiota: friends or foes? Nat Rev Immunol 10:735–744. doi:10.1038/nri2850

    CAS  Article  PubMed  Google Scholar 

  4. Hawrelak JA, Myers SP (2004) The causes of intestinal dysbiosis: a review. Altern Med Rev 9:180–197

    PubMed  Google Scholar 

  5. Konig J, Brummer RJ (2014) Alteration of the intestinal microbiota as a cause of and a potential therapeutic option in irritable bowel syndrome. Benef Microbes 5:247–261. doi:10.3920/BM2013.0033

    CAS  Article  PubMed  Google Scholar 

  6. Uusijarvi A, Bergstrom A, Simren M, Ludvigsson JF, Kull I, Wickman M, Alm J, Olen O (2014) Use of antibiotics in infancy and childhood and risk of recurrent abdominal pain—a Swedish birth cohort study. Neurogastroenterol Motil 26:841–850. doi:10.1111/nmo.12340

    CAS  Article  PubMed  Google Scholar 

  7. Ubeda C, Pamer EG (2012) Antibiotics, microbiota, and immune defense. Trends Immunol 33:459–466. doi:10.1016/j.it.2012.05.003

    PubMed Central  CAS  Article  PubMed  Google Scholar 

  8. Reikvam DH, Erofeev A, Sandvik A, Grcic V, Jahnsen FL, Gaustad P, McCoy KD, Macpherson AJ, Meza-Zepeda LA, Johansen FE (2011) Depletion of murine intestinal microbiota: effects on gut mucosa and epithelial gene expression. PLoS One 6, e17996. doi:10.1371/journal.pone.0017996

    PubMed Central  CAS  Article  PubMed  Google Scholar 

  9. Eutamene H, Lamine F, Chabo C, Theodorou V, Rochat F, Bergonzelli GE, Corthesy-Theulaz I, Fioramonti J, Bueno L (2007) Synergy between Lactobacillus paracasei and its bacterial products to counteract stress-induced gut permeability and sensitivity increase in rats. J Nutr 137:1901–1907. doi: 137/8/1901

  10. Verdu EF, Bercik P, Verma-Gandhu M, Huang XX, Blennerhassett P, Jackson W, Mao Y, Wang L, Rochat F, Collins SM (2006) Specific probiotic therapy attenuates antibiotic induced visceral hypersensitivity in mice. Gut 55:182–190. doi:10.1136/gut.2005.066100

    PubMed Central  CAS  Article  PubMed  Google Scholar 

  11. Collins SM, Bercik P (2009) The relationship between intestinal microbiota and the central nervous system in normal gastrointestinal function and disease. Gastroenterology 136:2003–2014. doi:10.1053/j.gastro.2009.01.075

    Article  PubMed  Google Scholar 

  12. Lees GM, Percy WH (1981) Antibiotic-associated colitis: an in vitro investigation of the effects of antibiotics on intestinal motility. Br J Pharmacol 73:535–547

    PubMed Central  CAS  Article  PubMed  Google Scholar 

  13. Anitha M, Vijay-Kumar M, Sitaraman SV, Gewirtz AT, Srinivasan S (2012) Gut microbial products regulate murine gastrointestinal motility via Toll-like receptor 4 signaling. Gastroenterology 143(1006–1016), e1004. doi:10.1053/j.gastro.2012.06.034

    Google Scholar 

  14. Cario E (2010) Toll-like receptors in inflammatory bowel diseases: a decade later. Inflamm Bowel Dis 16:1583–1597. doi:10.1002/ibd.21282

    PubMed Central  Article  PubMed  Google Scholar 

  15. Takeda K, Akira S (2005) Toll-like receptors in innate immunity. Int Immunol 17:1–14. doi:17/1/1

  16. Abreu MT (2010) Toll-like receptor signalling in the intestinal epithelium: how bacterial recognition shapes intestinal function. Nat Rev Immunol 10:131–144. doi:10.1038/nri2707

    CAS  Article  PubMed  Google Scholar 

  17. Brun P, Giron MC, Qesari M, Porzionato A, Caputi V, Zoppellaro C, Banzato S, Grillo AR, Spagnol L, De Caro R, Pizzuti D, Barbieri V, Rosato A, Sturniolo GC, Martines D, Zaninotto G, Palu G, Castagliuolo I (2013) Toll-like receptor 2 regulates intestinal inflammation by controlling integrity of the enteric nervous system. Gastroenterology 145:1323–1333. doi:10.1053/j.gastro.2013.08.047

    CAS  Article  PubMed  Google Scholar 

  18. Filippova LV, Malyshev FS, Bykova AA, Nozdrachev AD (2012) Expression of toll-like receptors 4 in nerve plexuses of the rat duodenum, jejunum, and colon. Dokl Biol Sci 445:215–217. doi:10.1134/S0012496612040114

    CAS  Article  PubMed  Google Scholar 

  19. Barajon I, Serrao G, Arnaboldi F, Opizzi E, Ripamonti G, Balsari A, Rumio C (2009) Toll-like receptors 3, 4, and 7 are expressed in the enteric nervous system and dorsal root ganglia. J Histochem Cytochem 57:1013–1023. doi:10.1369/jhc.2009.953539

    PubMed Central  CAS  Article  PubMed  Google Scholar 

  20. Bercik P, Denou E, Collins J, Jackson W, Lu J, Jury J, Deng Y, Blennerhassett P, Macri J, McCoy KD, Verdu EF, Collins SM (2011) The intestinal microbiota affect central levels of brain-derived neurotropic factor and behavior in mice. Gastroenterology 141:599–609, 609 e591–593. doi:10.1053/j.gastro.2011.04.052

  21. Marin-Manzano MC, Abecia L, Hernandez-Hernandez O, Sanz ML, Montilla A, Olano A, Rubio LA, Moreno FJ, Clemente A (2013) Galacto-oligosaccharides derived from lactulose exert a selective stimulation on the growth of Bifidobacterium animalis in the large intestine of growing rats. J Agric Food Chem 61:7560–7567. doi:10.1021/jf402218z

    CAS  Article  PubMed  Google Scholar 

  22. Muyzer G, de Waal EC, Uitterlinden AG (1993) Profiling of complex microbial populations by denaturing gradient gel electrophoresis analysis of polymerase chain reaction-amplified genes coding for 16S rRNA. Appl Environ Microbiol 59:695–700

    PubMed Central  CAS  PubMed  Google Scholar 

  23. Abecia L, Rodriguez-Romero N, Yanez-Ruiz DR, Fondevila M (2012) Biodiversity and fermentative activity of caecal microbial communities in wild and farm rabbits from Spain. Anaerobe 18:344–349. doi:10.1016/j.anaerobe.2012.04.004

    CAS  Article  PubMed  Google Scholar 

  24. Cattaruzza F, Cenac N, Barocelli E, Impicciatore M, Hyun E, Vergnolle N, Sternini C (2006) Protective effect of proteinase-activated receptor 2 activation on motility impairment and tissue damage induced by intestinal ischemia/reperfusion in rodents. Am J Pathol 169:177–188. doi:S0002-9440(10)61441-1

  25. Appleyard CB, Wallace JL (1995) Reactivation of hapten-induced colitis and its prevention by anti-inflammatory drugs. Am J Physiol 269:G119–G125

    CAS  PubMed  Google Scholar 

  26. Jiang X, McClellan SA, Barrett RP, Zhang Y, Hazlett LD (2012) Vasoactive intestinal peptide downregulates proinflammatory TLRs while upregulating anti-inflammatory TLRs in the infected cornea. J Immunol 189:269–278. doi:10.4049/jimmunol.1200365

    PubMed Central  CAS  Article  PubMed  Google Scholar 

  27. Williams AS, Leung SY, Nath P, Khorasani NM, Bhavsar P, Issa R, Mitchell JA, Adcock IM, Chung KF (2007) Role of TLR2, TLR4, and MyD88 in murine ozone-induced airway hyperresponsiveness and neutrophilia. J Appl Physiol (1985) 103:1189–1195. doi:10.1152/japplphysiol.00172.2007

    CAS  Article  Google Scholar 

  28. Lundin A, Bok CM, Aronsson L, Bjorkholm B, Gustafsson JA, Pott S, Arulampalam V, Hibberd M, Rafter J, Pettersson S (2008) Gut flora, Toll-like receptors and nuclear receptors: a tripartite communication that tunes innate immunity in large intestine. Cell Microbiol 10:1093–1103. doi:10.1111/j.1462-5822.2007.01108.x

    CAS  Article  PubMed  Google Scholar 

  29. Shin OS, Isberg RR, Akira S, Uematsu S, Behera AK, Hu LT (2008) Distinct roles for MyD88 and Toll-like receptors 2, 5, and 9 in phagocytosis of Borrelia burgdorferi and cytokine induction. Infect Immun 76:2341–2351. doi:10.1128/IAI.01600-07

    PubMed Central  CAS  Article  PubMed  Google Scholar 

  30. Santiago-Raber ML, Dunand-Sauthier I, Wu T, Li QZ, Uematsu S, Akira S, Reith W, Mohan C, Kotzin BL, Izui S (2010) Critical role of TLR7 in the acceleration of systemic lupus erythematosus in TLR9-deficient mice. J Autoimmun 34:339–348. doi:10.1016/j.jaut.2009.11.001

    CAS  Article  PubMed  Google Scholar 

  31. Thatcher TH, Luzina I, Fishelevich R, Tomai MA, Miller RL, Gaspari AA (2006) Topical imiquimod treatment prevents UV-light induced loss of contact hypersensitivity and immune tolerance. J Invest Dermatol 126:821–831. doi:10.1038/sj.jid.5700167

    CAS  Article  PubMed  Google Scholar 

  32. Zhou M, Jia P, Chen J, Xiu A, Zhao Y, Zhan Y, Chen P, Zhang J (2013) Laxative effects of Salecan on normal and two models of experimental constipated mice. BMC Gastroenterol 13:52. doi:10.1186/1471-230X-13-52

    PubMed Central  CAS  Article  PubMed  Google Scholar 

  33. De Palma G, Collins SM, Bercik P (2014) The microbiota-gut-brain axis in functional gastrointestinal disorders. Gut Microbes 5:419–429. doi: 10.4161/gmic.29417

  34. Aguilera M, Vergara P, Martinez V (2013) Stress and antibiotics alter luminal and wall-adhered microbiota and enhance the local expression of visceral sensory-related systems in mice. Neurogastroenterol Motil 25:e515–e529. doi:10.1111/nmo.12154

    CAS  Article  PubMed  Google Scholar 

  35. Barbara G, Stanghellini V, Brandi G, Cremon C, Di Nardo G, De Giorgio R, Corinaldesi R (2005) Interactions between commensal bacteria and gut sensorimotor function in health and disease. Am J Gastroenterol 100:2560–2568. doi:10.1111/j.1572-0241.2005.00230.x

    CAS  Article  PubMed  Google Scholar 

  36. Okayasu I, Hatakeyama S, Yamada M, Ohkusa T, Inagaki Y, Nakaya R (1990) A novel method in the induction of reliable experimental acute and chronic ulcerative colitis in mice. Gastroenterology 98:694–702. doi:S0016508590000725

  37. Muzio M, Bosisio D, Polentarutti N, D'Amico G, Stoppacciaro A, Mancinelli R, van't Veer C, Penton-Rol G, Ruco LP, Allavena P, Mantovani A (2000) Differential expression and regulation of toll-like receptors (TLR) in human leukocytes: selective expression of TLR3 in dendritic cells. J Immunol 164:5998–6004. doi:ji_v164n10p5998

  38. Zarember KA, Godowski PJ (2002) Tissue expression of human Toll-like receptors and differential regulation of Toll-like receptor mRNAs in leukocytes in response to microbes, their products, and cytokines. J Immunol 168:554–561

    CAS  Article  PubMed  Google Scholar 

  39. Abreu MT (2003) Immunologic regulation of toll-like receptors in gut epithelium. Curr Opin Gastroenterol 19:559–564. doi:10.1097/00001574-200311000-00008

    CAS  Article  PubMed  Google Scholar 

  40. Furrie E, Macfarlane S, Thomson G, Macfarlane GT (2005) Toll-like receptors-2, -3 and -4 expression patterns on human colon and their regulation by mucosal-associated bacteria. Immunology 115:565–574. doi:10.1111/j.1365-2567.2005.02200.x

    PubMed Central  CAS  Article  PubMed  Google Scholar 

  41. Chen LW, Chang WJ, Chen PH, Liu WC, Hsu CM (2008) TLR ligand decreases mesenteric ischemia and reperfusion injury-induced gut damage through TNF-alpha signaling. Shock 30:563–570. doi:10.1097/SHK.0b013e31816a3458

    CAS  Article  PubMed  Google Scholar 

  42. Brint EK, MacSharry J, Fanning A, Shanahan F, Quigley EM (2011) Differential expression of toll-like receptors in patients with irritable bowel syndrome. Am J Gastroenterol 106:329–336. doi:10.1038/ajg.2010.438

    CAS  Article  PubMed  Google Scholar 

  43. Barona I, Fagundes DS, Gonzalo S, Grasa L, Arruebo MP, Plaza MA, Murillo MD (2011) Role of TLR4 and MAPK in the local effect of LPS on intestinal contractility. J Pharm Pharmacol 63:657–662. doi:10.1111/j.2042-7158.2011.01253.x

    CAS  Article  PubMed  Google Scholar 

  44. Grasa L, Arruebo MP, Plaza MA, Murillo MD (2008) A downregulation of nNOS is associated to dysmotility evoked by lipopolysaccharide in rabbit duodenum. J Physiol Pharmacol 59:511–524

    CAS  PubMed  Google Scholar 

  45. Gonzalo S, Grasa L, Arruebo MP, Plaza MA, Murillo MD (2010) Inhibition of p38 MAPK improves intestinal disturbances and oxidative stress induced in a rabbit endotoxemia model. Neurogastroenterol Motil 22: 564-572, e123. doi:10.1111/j.1365-2982.2009.01439.x

  46. Hernandez LV, Gonzalo S, Castro M, Arruebo MP, Plaza MA, Murillo MD, Grasa L (2011) Nuclear factor kappaB is a key transcription factor in the duodenal contractility alterations induced by lipopolysaccharide. Exp Physiol 96:1151–1162. doi:10.1113/expphysiol.2011.060830

    CAS  Article  PubMed  Google Scholar 

  47. Rolli J, Rosenblatt-Velin N, Li J, Loukili N, Levrand S, Pacher P, Waeber B, Feihl F, Ruchat P, Liaudet L (2010) Bacterial flagellin triggers cardiac innate immune responses and acute contractile dysfunction. PLoS One 5, e12687. doi:10.1371/journal.pone.0012687

    PubMed Central  Article  PubMed  Google Scholar 

  48. Tattoli I, Petitta C, Scirocco A, Ammoscato F, Cicenia A, Severi C (2012) Microbiota, innate immune system, and gastrointestinal muscle: ongoing studies. J Clin Gastroenterol 46(Suppl):S6–S11. doi:10.1097/MCG.0b013e318265ea7d

    CAS  Article  PubMed  Google Scholar 

Download references

Acknowledgments

We thank Dr. Claudia Vergara and Ana de Prado from the University of Zaragoza for their technical assistance. This work was funded by Gobierno de Aragón (B61/2014) and the University of Zaragoza (JIUZ-2013-BIO-08), Spain. Eva Latorre received a personal grant from Gobierno de Aragón (B105/11).

Conflict of Interest

Authors declare no conflict of interest.

Author information

Affiliations

Authors

Corresponding author

Correspondence to Laura Grasa.

Additional information

Results of this article were partially presented at the 21st United European Gastroenterology Week, Berlin, October 12–16, 2013.

Rights and permissions

Reprints and Permissions

About this article

Verify currency and authenticity via CrossMark

Cite this article

Grasa, L., Abecia, L., Forcén, R. et al. Antibiotic-Induced Depletion of Murine Microbiota Induces Mild Inflammation and Changes in Toll-Like Receptor Patterns and Intestinal Motility. Microb Ecol 70, 835–848 (2015). https://doi.org/10.1007/s00248-015-0613-8

Download citation

  • Received:

  • Accepted:

  • Published:

  • Issue Date:

  • DOI: https://doi.org/10.1007/s00248-015-0613-8

Keywords

  • Intestinal microbiota
  • Antibiotics
  • Intestinal motility
  • Toll-like receptors