Skip to main content

Quads or quins? Atraumatic restricted knee flexion due to accessory quadriceps bands in children

Abstract

Background

Recent anatomical investigations have emphasized the variability in the knee extensor apparatus, with particular attention to a fifth component of the quadriceps femoris termed the tensor vastus intermedius or accessory “quinticeps femoris.” Disorders of this structure have not been described in the pediatric imaging literature.

Objective

To review the clinical features, pathoanatomy and imaging findings of children presenting with derangement of the accessory quadriceps femoris, with a particular emphasis on the utility of early magnetic resonance imaging (MRI) of the thigh.

Materials and methods

This is a retrospective analysis of 3 children, ages 3–10 years at presentation, who underwent imaging evaluation with subsequent surgically proven accessory quadriceps femoris muscles. Their clinical histories, including duration of symptoms, MRI findings, intervention and surgical outcomes, are reported.

Results

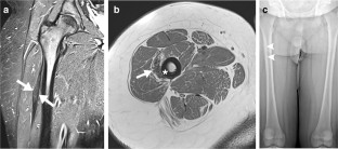
All patients presented with progressive unilateral restricted knee flexion and had multiple imaging studies targeting the knee before diagnosis. Diagnosis in all patients was made on MRI of the thighs, which demonstrated a fusiform low signal intensity structure with muscle-like architecture arising from the anterior or anterolateral proximal femur and blending with the common quadriceps tendon distally. All patients underwent surgical release of the anomalous band with significant functional improvement.

Conclusion

In cases of progressive limited knee flexion without intrinsic pathology, an accessory quadriceps muscle should be considered as an extrinsic cause. Our experience demonstrated this to be readily identifiable on MRI, with symptomatic improvement following surgical release. Early recognition of this condition should prevent unnecessary intervention such as knee arthroscopy and the debilitating loss of flexion due to delayed diagnosis.

This is a preview of subscription content, access via your institution.

Fig. 1
Fig. 2
Fig. 3
Fig. 4

References

  1. Fixsen JA (2014) Knee stiffness in children. In: Bentley G (ed) European surgical orthopaedics and traumatology. Springer, Berlin, Heidelberg, pp 4871–4878

    Chapter  Google Scholar 

  2. Herman MJ, Martinek MA, Abzuq JM (2014) Complications of tibial eminence and diaphyseal fractures in children: prevention and treatment. J Am Acad Orthop Surg 22:730–741

    Article  Google Scholar 

  3. Hawkins RJ, Goddard NJ (2008) Haemophilic knee arthropathy with extension contracture. Haemophilia 14:656–657

    CAS  Article  Google Scholar 

  4. Borowski A, Grissom L, Littleton AG et al (2008) Diagnostic imaging of the knee in children with arthrogryposis and knee extension or hyperextension contracture. J Pediatr Orthop 28:466–470

    Article  Google Scholar 

  5. Saunders FP, Hoefnagel D, Staples OS (1965) Progressive fibrosis of the quadriceps muscles. J Bone Joint Surg Am 47:380–384

    CAS  Article  Google Scholar 

  6. Akgun I, Aydingoz O, Kesmezacar H, Centel T (1999) Progressive fibrosis of the quadriceps muscle. Orthopedics 22:1171–1173

    CAS  PubMed  Google Scholar 

  7. Suksathien R (2008) Idiopathic fibrosis of the quadriceps muscle: a case report with magnetic resonance imaging and pathologic findings. J Med Assoc Thail 91:568–573

    Google Scholar 

  8. Grob K, Ackland T, Kuster MS et al (2016) A newly discovered muscle: the tensor of the vastus intermedius. Clin Anat 29:256–263

    CAS  Article  Google Scholar 

  9. Labbe JL, Peres O, Leclair O et al (2011) Progressive limitation of knee flexion secondary to an accessory quinticeps femoris muscle in a child: a case report and literature review. J Bone Joint Surg Br 93:1568–1570

    Article  Google Scholar 

  10. Willan PL, Mahon M, Golland JA (1990) Morphological variations of the human vastus lateralis muscle. J Anat 168:235–239

    CAS  PubMed  PubMed Central  Google Scholar 

  11. Bonnechere B, Louryan S, Feipel V (2020) Triceps, quadriceps, or pentaceps femoris? Need for proper muscle definition. Morphologie 104:77–84

    CAS  Article  Google Scholar 

  12. Willan PLT, Ransome JA, Mahon M (2002) Variability in human quadriceps muscles: quantitative study and review of clinical literature. Clin Anat 15:116–128

    CAS  Article  Google Scholar 

  13. Rajasekaran S, Hall MM (2016) Sonographic appearance of the tensor of the vastus intermedius. PM R 8:1020–1023

    Article  Google Scholar 

  14. Grob K, Manestar M, Gascho D et al (2017) Magnetic resonance imaging of the tensor vastus intermedius: a topographic study based on anatomical dissections. Clin Anat 30:1096–1102

    Article  Google Scholar 

  15. Sarassa C, Sarassa V, Restrepo R et al (2017) Limitation of knee flexion by a fibrotic band of a fifth component of the quadriceps muscle in a child: a case report. JBJS Case Connect 7:e87

    Article  Google Scholar 

  16. Vanhoenacker FM, Desimpel J, Mespreuve M, Tagliafico A (2018) Accessory muscles of the extremities. Semin Musculoskelet Radiol 22:275–285

    Article  Google Scholar 

  17. McCloskey JR, Chung MK (1977) Quadriceps contracture as a result of multiple intramuscular injection. Am J Dis Child 131:416–417

    CAS  PubMed  Google Scholar 

Download references

Acknowledgments

The authors would like to thank Dr. Christopher Dunham for pathology assistance.

Author information

Affiliations

Authors

Corresponding author

Correspondence to Daniel G. Rosenbaum.

Ethics declarations

Conflicts of interest

None

Additional information

Publisher’s note

Springer Nature remains neutral with regard to jurisdictional claims in published maps and institutional affiliations.

Rights and permissions

Reprints and Permissions

About this article

Verify currency and authenticity via CrossMark

Cite this article

Mendes Da Costa, T., Leveille, L.A. & Rosenbaum, D.G. Quads or quins? Atraumatic restricted knee flexion due to accessory quadriceps bands in children. Pediatr Radiol 51, 435–440 (2021). https://doi.org/10.1007/s00247-020-04866-z

Download citation

  • Received:

  • Revised:

  • Accepted:

  • Published:

  • Issue Date:

  • DOI: https://doi.org/10.1007/s00247-020-04866-z

Keywords

  • Accessory muscle
  • Children
  • Extensor mechanism
  • Fibrosis
  • Knee
  • Magnetic resonance imaging
  • Quadriceps