Skip to main content

CT and MRI findings in pancreatic trauma in children and correlation with outcome

Abstract

Background

There are limited published data on pancreatic trauma imaging in children.

Objective

To present our experience using computed tomography (CT) and magnetic resonance (MR) imaging of pancreatic trauma in children and to correlate the imaging grade of pancreatic injury with management and outcome.

Materials and methods

A retrospective cohort study of children with pancreatic injury presenting between Jan. 1, 2000, and Dec. 31, 2016, was performed. Patient charts were reviewed to note demographics, the mechanism of injury, associated abdominal injuries, management and outcome. All imaging was rereviewed by two radiologists blinded to clinical and laboratory information, and pancreatic injuries were graded according to the American Association for the Surgery of Trauma (AAST).

Results

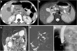
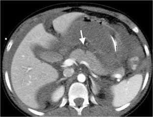
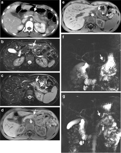
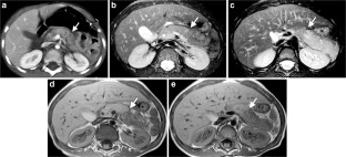
Of 3,265 patients presented as trauma team activations during the study period, only 28 (0.86%) children (19 boys, 9 girls; mean age: 7.14 years; age range: 1–15 years) had pancreatic injury. Of the available 27 CTs of the abdomen, 26 were performed on the day of trauma. Associated injuries were seen in 25/27 children, most frequently in the liver and lung, 16 (59.2%) each. There were 5 (19%) Grade I, 9 (33%) Grade II, 8 (30%) Grade III and 3 (11%) Grade IV. No patients had Grade V injury. No pancreatic parenchymal injury was identified in 2 (7%) patients with isolated fluid around the pancreas and mesentery. The pancreatic duct was visible in all 10 children (days: 0–330, median days: 41 post-trauma) who had MRI. Eight of these children, who had Grade III/IV injuries on CT and confirmed pancreatic duct injury on endoscopic retrograde cholangiopancreatography (ERCP) or surgery, showed either signal intensity difference in pancreatic parenchyma and/or caliber difference in the pancreatic duct proximal and distal to the injury site. Two patients died because of multiorgan injuries, 9 patients (mainly with Grade III and IV injuries) underwent surgery and/or ERCP, and 16 patients were managed conservatively. AAST grading of pancreatic injury on CT correlated with type of management (P=0.0001) with most of the Grade III and IV injuries treated with intervention and/or surgery while all of the Grade I and II injuries were treated conservatively.

Conclusion

Pancreatic injury is rare in children but often associated with other organ injuries most frequently involving the liver and lung. CT grading of injury correlates with management and guides intervention and/or surgery versus conservative treatment. MRI is useful for assessing pancreatic duct injury by demonstrating the pancreatic duct directly and/or secondary changes like signal intensity difference in pancreatic parenchyma and caliber difference in the pancreatic duct.

This is a preview of subscription content, access via your institution.

Fig. 1
Fig. 2
Fig. 3
Fig. 4
Fig. 5

References

  1. Englum BR, Gulack BC, Rice HE et al (2016) Management of blunt pancreatic trauma in children: review of the National Trauma Data Bank. J Pediatr Surg 51:1526–1531

    Article  Google Scholar 

  2. Linsenmaier U, Wirth S, Reiser M, Körner M (2008) Diagnosis and classification of pancreatic and duodenal injuries in emergency radiology. Radiographics 28:1591–1602

    Article  Google Scholar 

  3. Debi U, Kaur R, Prasad KK et al (2013) Pancreatic trauma: a concise review. World J Gastroenterol 19:9003–9011

    Article  Google Scholar 

  4. Edwards MJ, Crudo DF, Carlson TL et al (2013) Pancreatic atrophy and diabetes mellitus following blunt abdominal trauma. J Pediatr Surg 48:432–435

    Article  Google Scholar 

  5. Garg RK, Mahajan JK (2017) Blunt trauma pancreas in children: is non-operative management appropriate for all grades? Pediatr Gastroenterol Hepatol Nutr 20:252–258

    Article  Google Scholar 

  6. Abbo O, Lemandat A, Reina N et al (2013) Conservative management of blunt pancreatic trauma in children: a single center experience. Eur J Pediatr Surg 23:470–473

    Article  Google Scholar 

  7. Wales PW, Shuckett B, Kim PC (2001) Long-term outcome after nonoperative management of complete traumatic pancreatic transection in children. J Pediatr Surg 36:823–827

    CAS  Article  Google Scholar 

  8. Shilyansky J, Sena LM, Kreller M et al (1998) Nonoperative management of pancreatic injuries in children. J Pediatr Surg 33:343–349

    CAS  Article  Google Scholar 

  9. Iqbal CW, St Peter SD, Tsao K et al (2014) Operative vs nonoperative management for blunt pancreatic transection in children: multi-institutional outcomes. J Am Coll Surg 218:157–162

    Article  Google Scholar 

  10. Beres AL, Wales PW, Christison-Lagay ER et al (2013) Non-operative management of high-grade pancreatic trauma: is it worth the wait? J Pediatr Surg 48:1060–1064

    Article  Google Scholar 

  11. Rosenfeld EH, Vogel A, Russell RT et al (2018) Comparison of diagnostic imaging modalities for the evaluation of pancreatic duct injury in children: a multi-institutional analysis from the pancreatic trauma study group. Pediatr Surg Int 34:961–966

    Article  Google Scholar 

  12. Mahajan A, Kadavigere R, Sripathi S et al (2014) Utility of serum pancreatic enzyme levels in diagnosing blunt trauma to the pancreas: a prospective study with systematic review. Injury 45:1384–1393

    Article  Google Scholar 

  13. Banks PA, Bollen TL, Dervenis C et al (2013) Classification of acute pancreatitis — 2012: revision of the Atlanta classification and definitions by international consensus. Gut 62:102–111

    Article  Google Scholar 

  14. American Association for the Surgery of Trauma (2019) http://www.aast.org/library/traumatools/injuryscoringscales.aspx#pancreas Accessed 1 Aug 2019

  15. Almaramhy HH, Guraya SY (2012) Computed tomography for pancreatic injuries in pediatric blunt abdominal trauma. World J Gastrointest Surg 4:166–170

    Article  Google Scholar 

  16. Sheikh F, Fallon S, Bisset G et al (2015) Image-guided prediction of pseudocyst formation in pediatric pancreatic trauma. J Surg Res 193:513–518

    Article  Google Scholar 

Download references

Author information

Affiliations

Authors

Corresponding author

Correspondence to Govind B. Chavhan.

Ethics declarations

Conflicts of interest

None

Additional information

Publisher’s note

Springer Nature remains neutral with regard to jurisdictional claims in published maps and institutional affiliations.

Rights and permissions

Reprints and Permissions

About this article

Verify currency and authenticity via CrossMark

Cite this article

Ibrahim, A., Wales, P.W., Aquino, M.R. et al. CT and MRI findings in pancreatic trauma in children and correlation with outcome. Pediatr Radiol 50, 943–952 (2020). https://doi.org/10.1007/s00247-020-04642-z

Download citation

  • Received:

  • Revised:

  • Accepted:

  • Published:

  • Issue Date:

  • DOI: https://doi.org/10.1007/s00247-020-04642-z

Keywords

  • American Association for the Surgery of Trauma
  • Children
  • Computed tomography
  • Grade
  • Magnetic resonance cholangiopancreatography
  • Pancreas
  • Trauma