Skip to main content

Placental magnetic resonance imaging Part II: placenta accreta spectrum

Abstract

The human placenta remains an enigma to many. Its position as the point of communication between distinct maternal and fetal circulations means that it must act as both source of nourishment and gatekeeper for the developing pregnancy. In vivo assessment of the placenta is perhaps the greatest challenge, yet it is most essential for diagnostic and prognostic purposes. In particular, there is a need for improved diagnostic accuracy in recognizing the invasive forms of the placenta accreta spectrum that require surgical intervention at delivery and often cesarean hysterectomy. The costs of insufficient sensitivity and specificity are high, with well-documented cases of adverse outcomes ranging from unnecessary surgery to maternal hemorrhage and even death. In Part I of this pictorial essay series, we reviewed the appearance of the normal developing placenta across gestation by MRI. With this as a background, we here consider the varied appearances of the placenta accreta spectrum (placenta accreta, increta, percreta), which is a growing challenge given the rapidly expanding number of women worldwide with history of cesarean section delivery. Accurate prenatal imaging is crucial for recognizing cases of the placenta accreta spectrum and for planning the necessary surgery.

This is a preview of subscription content, access via your institution.

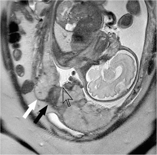
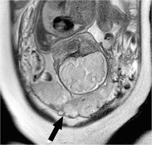
Fig. 1
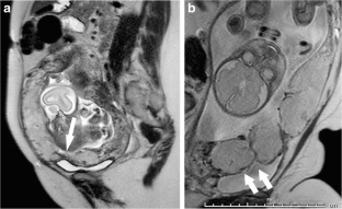
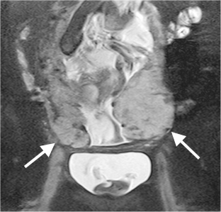
Fig. 2
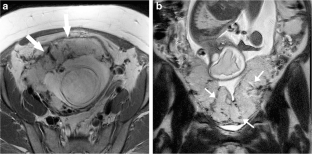
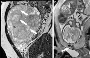
Fig. 3
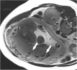
Fig. 4
Fig. 5
Fig. 6
Fig. 7
Fig. 8
Fig. 9
Fig. 10
Fig. 11
Fig. 12

References

  1. Luo J, Abaci Turk E, Bibbo C et al (2017) In vivo quantification of placental insufficiency by BOLD MRI: a human study. Sci Rep 7:3713

    Article  Google Scholar 

  2. Jauniaux E, Ayres-de-Campos D (2018) FIGO consensus guidelines on placenta accreta spectrum disorders: introduction. Int J Gynaecol Obstet 140:261–264

    Article  Google Scholar 

  3. Jauniaux E, Ayres-de-Campos D, Langhoff-Roos J et al (2019) FIGO classification for the clinical diagnosis of placenta accreta spectrum disorders. Int J Gynaecol Obstet 146:20–24

    Article  Google Scholar 

  4. Jauniaux E, Bhide A, Kennedy A et al (2018) FIGO consensus guidelines on placenta accreta spectrum disorders: prenatal diagnosis and screening. Int J Gynaecol Obstet 140:274–280

    Article  Google Scholar 

  5. Jauniaux E, Chantraine F, Silver RM, Langhoff-Roos J (2018) FIGO consensus guidelines on placenta accreta spectrum disorders: epidemiology. Int J Gynaecol Obstet 140:265–273

    Article  Google Scholar 

  6. Sentilhes L, Kayem G, Chandraharan E et al (2018) FIGO consensus guidelines on placenta accreta spectrum disorders: conservative management. Int J Gynaecol Obstet 140:291–298

    Article  Google Scholar 

  7. D'Antonio F, Iacovella C, Palacios-Jaraquemada J et al (2014) Prenatal identification of invasive placentation using magnetic resonance imaging: systematic review and meta-analysis. Ultrasound Obstet Gynecol 44:8–16

    CAS  Article  Google Scholar 

  8. Grannum PA, Berkowitz RL, Hobbins JC (1979) The ultrasonic changes in the maturing placenta and their relation to fetal pulmonic maturity. Am J Obstet Gynecol 133:915–922

    CAS  Article  Google Scholar 

  9. Usta IM, Hobeika EM, Musa AA et al (2005) Placenta previa-accreta: risk factors and complications. Am J Obstet Gynecol 193:1045–1049

    Article  Google Scholar 

  10. Belfort MA (2010) Placenta accreta. Am J Obstet Gynecol 203:430–439

    Article  Google Scholar 

  11. Hull AD, Moore TR (2011) Multiple repeat cesareans and the threat of placenta accreta: incidence, diagnosis, management. Clin Perinatol 38:285–296

    Article  Google Scholar 

  12. Baughman WC, Corteville JE, Shah RR (2008) Placenta accreta: spectrum of US and MR imaging findings. Radiographics 28:1905–1916

    Article  Google Scholar 

  13. Silver RM, Landon MB, Rouse DJ et al (2006) Maternal morbidity associated with multiple repeat cesarean deliveries. Obstet Gynecol 107:1226–1232

    Article  Google Scholar 

  14. Lax A, Prince MR, Mennitt KW et al (2007) The value of specific MRI features in the evaluation of suspected placental invasion. Magn Reson Imaging 25:87–93

    Article  Google Scholar 

  15. Kilcoyne A, Shenoy-Bhangle AS, Roberts DJ et al (2017) MRI of placenta accreta, placenta increta, and placenta percreta: pearls and pitfalls. AJR Am J Roentgenol 208:214–221

    Article  Google Scholar 

  16. Thiravit S, Lapatikarn S, Muangsomboon K et al (2017) MRI of placenta percreta: differentiation from other entities of placental adhesive disorder. Radiol Med 122:61–68

    Article  Google Scholar 

  17. Sato T, Mori N, Hasegawa O et al (2017) Placental recess accompanied by a T2 dark band: a new finding for diagnosing placental invasion. Abdom Radiol 42:2146–2153

    Article  Google Scholar 

  18. Derman AY, Nikac V, Haberman S et al (2011) MRI of placenta accreta: a new imaging perspective. AJR Am J Roentgenol 197:1514–1521

    Article  Google Scholar 

  19. Sorensen A, Peters D, Frund E et al (2013) Changes in human placental oxygenation during maternal hyperoxia estimated by blood oxygen level-dependent magnetic resonance imaging (BOLD MRI). Ultrasound Obstet Gynecol 42:310–314

    CAS  Article  Google Scholar 

  20. Koh DM, Collins DJ, Orton MR (2011) Intravoxel incoherent motion in body diffusion-weighted MRI: reality and challenges. AJR Am J Roentgenol 196:1351–1361

    Article  Google Scholar 

  21. Leyendecker JR, DuBose M, Hosseinzadeh K et al (2012) MRI of pregnancy-related issues: abnormal placentation. AJR Am J Roentgenol 198:311–320

    Article  Google Scholar 

  22. Srisajjakul S, Prapaisilp P, Bangchokdee S (2014) MRI of placental adhesive disorder. Br J Radiol 87:20140294

    CAS  Article  Google Scholar 

  23. Delli Pizzi A, Tavoletta A, Narciso R et al (2019) Prenatal planning of placenta previa: diagnostic accuracy of a novel MRI-based prediction model for placenta accreta spectrum (PAS) and clinical outcome. Abdom Radiol 44:1873–1882

    Article  Google Scholar 

  24. Knight JC, Lehnert S, Shanks AL et al (2018) A comprehensive severity score for the morbidly adherent placenta: combining ultrasound and magnetic resonance imaging. Pediatr Radiol 48:1945–1954

    Article  Google Scholar 

  25. Warshak CR, Eskander R, Hull AD et al (2006) Accuracy of ultrasonography and magnetic resonance imaging in the diagnosis of placenta accreta. Obstet Gynecol 108:573–581

    Article  Google Scholar 

Download references

Author information

Affiliations

Authors

Corresponding author

Correspondence to Mariana L. Meyers.

Ethics declarations

Conflicts of interest

None

Additional information

Publisher’s note

Springer Nature remains neutral with regard to jurisdictional claims in published maps and institutional affiliations.

CME activity

This article has been selected as the CME activity for the current month. Please visit the SPR website at www.pedrad.org on the Education page and follow the instructions to complete this CME activity.

Rights and permissions

Reprints and Permissions

About this article

Verify currency and authenticity via CrossMark

Cite this article

Brown, B.P., Meyers, M.L. Placental magnetic resonance imaging Part II: placenta accreta spectrum. Pediatr Radiol 50, 275–284 (2020). https://doi.org/10.1007/s00247-019-04521-2

Download citation

  • Received:

  • Revised:

  • Accepted:

  • Published:

  • Issue Date:

  • DOI: https://doi.org/10.1007/s00247-019-04521-2

Keywords

  • Fetus
  • Magnetic resonance imaging
  • Maternal care
  • Placenta
  • Placenta accreta
  • Placenta accreta spectrum
  • Placenta percreta