Skip to main content

A new imaging entity consistent with partial ectopic posterior pituitary gland: report of six cases

Abstract

Background

Abnormal posterior pituitary development including ectopic location has been associated with endocrine manifestations of anterior pituitary dysfunction.

Objective

We describe an unreported clinical and radiologic entity we call partial ectopic posterior pituitary for which associated endocrine consequences are not known.

Materials and methods

We selected pediatric head MRI examinations from 2005 to 2017 based on the finding of a double midline sellar and suprasellar bright spot on T1-weighted sequence. Medical history, physical examination, pituitary hormonal profile and bone age evaluation were extracted from the medical record of the selected patients. An experienced pediatric neuroradiologist reviewed head MRIs, which were performed on 3-tesla (T) magnet and included at least sagittal T1-weighted imaging centered on the sella turcica obtained with and without fat suppression.

Results

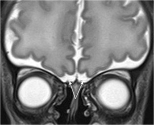
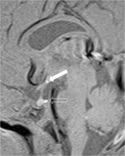
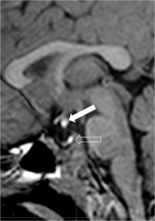
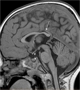
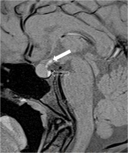
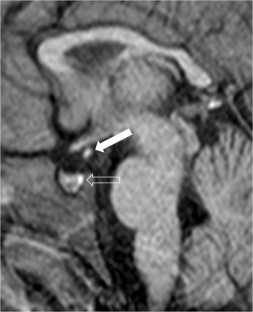
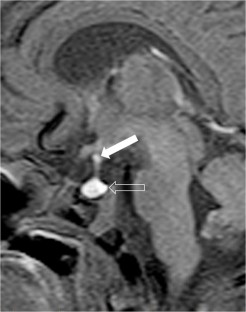
In six cases, two midline bright spots were identified on T1-weighted sequences obtained both with and without fat suppression. While one spot was located at the expected site of the neurohypophysis in the posterior sella, the second one was in the region of the median eminence, suggesting partial ectopic posterior pituitary gland. Growth hormone deficiency, either isolated (n=1) or combined with thyroid stimulating hormone deficiency (n=1) was found. None of the children had clinical signs of posterior pituitary dysfunction.

Conclusion

We describe an unreported imaging entity suggesting partial ectopic posterior pituitary gland in six children. Anterior pituitary hormone deficiencies might be detected in those children and long-term follow-up could provide additional information on the development of other pituitary hormone deficiencies.

This is a preview of subscription content, access via your institution.

Fig. 1
Fig. 2
Fig. 3
Fig. 4
Fig. 5
Fig. 6
Fig. 7
Fig. 8
Fig. 9
Fig. 10
Fig. 11
Fig. 12

References

  1. Murray PG, Hague C, Fafoula O et al (2008) Associations with multiple pituitary hormone deficiency in patients with an ectopic posterior pituitary gland. Clin Endocrinol 69:597–602

    CAS  Article  Google Scholar 

  2. Iacovazzo D, Lugli F, Giampietro A (2012) Ectopic posterior pituitary causing hyperprolactinemia. Endocrine 42:449–450

    CAS  Article  Google Scholar 

  3. Yoo HJ, Choi KM, Ryu OH et al (2006) Delayed puberty due to pituitary stalk dysgenesis and ectopic neurohypophysis. Korean J Intern Med 21:68–72

    CAS  Article  Google Scholar 

  4. Sloop KW, Walvoord EC, Showalter AD et al (2000) Molecular analysis of LHX3 and PROP-1 in pituitary hormone deficiency patients with posterior pituitary ectopia. J Clin Endocrinol Metab 85:2701–2708

    CAS  PubMed  Google Scholar 

  5. Fang Q, George AS, Brinkmeier ML et al (2016) Genetics of combined pituitary hormone deficiency: roadmap into the genome era. Endocr Rev 37:636–675

    CAS  Article  Google Scholar 

  6. Zuccoli G, Ferrozzi F, Troiso A et al (2001) An unusual MR presentation of the neurohypophyseal "bright spot" in pituitary dwarfism. Clin Imaging 25:9–11

    CAS  Article  Google Scholar 

  7. Mitchell LA, Thomas PQ, Zacharin MR, Scheffer IE (2002) Ectopic posterior pituitary lobe and periventricular heterotopia: cerebral malformations with the same underlying mechanism? AJNR Am J Neuroradiol 23:1475–1481

    PubMed  Google Scholar 

  8. WHO Multicentre Growth Reference Study Group (2006) WHO child growth standards based on length/height, weight and age. Acta Paediatr Suppl 450:76–85

    Google Scholar 

  9. Greulich WP, Pyle SI (1959) Radiographic atlas of skeletal development of the hand and wrist. Stanford University Press, Redwood City

    Book  Google Scholar 

  10. Tillmann V, Tang VW, Price DA et al (2000) Magnetic resonance imaging of the hypothalamic-pituitary axis in the of growth hormone deficiency. J Pediatr Endocrinol Metab 13:1577–1583

    CAS  Article  Google Scholar 

  11. Ginat DT, Meyers SP (2012) Intracranial lesions with high signal intensity on T1-weighted MR images: differential diagnosis. Radiographics 32:499–516

    Article  Google Scholar 

  12. Mark LP, Haughton VM, Hendrix LE et al (1991) High-intensity signals within the posterior pituitary fossa: a study with fat-suppression MR techniques. AJNR Am J Neuroradiol 12:529–532

    CAS  PubMed  Google Scholar 

  13. Tuttenberg J, Fink W, Back W et al (2004) A rare primary sellar melanoma. Case report. J Neurosurg 100:931–934

    Article  Google Scholar 

  14. Copeland DD, Sink JD, Seigler HF (1980) Primary intracranial melanoma presenting as a suprasellar tumor. Neurosurgery 6:542–545

    CAS  Article  Google Scholar 

  15. Byun WM, Kim OL, Kim D (2000) MR imaging findings of Rathke's cleft cysts: significance of intracystic nodules. AJNR Am J Neuroradiol 21:485–488

    CAS  PubMed  Google Scholar 

  16. Voutetakis A, Sertedaki A, Dacou-Voutetakis C (2016) Pituitary stalk interruption syndrome: cause, clinical manifestations, diagnosis, and management. Curr Opin Pediatr 28:545–550

    CAS  Article  Google Scholar 

  17. Argyropoulou MI, Kiortsis DN (2005) MRI of the hypothalamic-pituitary axis in children. Pediatr Radiol 35:1045–1055

    Article  Google Scholar 

  18. Gutch M, Kumar S, Razi SM et al (2014) Pituitary stalk interruption syndrome: case report of three cases with review of literature. J Pediatr Neurosci 9:188–191

    Article  Google Scholar 

  19. Simon D, Hadjiathanasiou C, Garel C et al (2006) Phenotypic variability in children with growth hormone deficiency associated with posterior pituitary ectopia. Clin Endocrinol 64:416–422

    CAS  Google Scholar 

  20. Boruah DK, Sanyal S, Prakash A et al (2017) Extra-pituitary cerebral anomalies in pediatric patients of ectopic neurohypophysis: an uncommon association. J Clin Imaging Sci 7:19

    Article  Google Scholar 

  21. Melo ME, Marui S, Carvalho LR et al (2007) Hormonal, pituitary magnetic resonance, LHX4 and HESX1 evaluation in patients with hypopituitarism and ectopic posterior pituitary lobe. Clin Endocrinol 66:95–102

    CAS  Google Scholar 

  22. Tajima T, Ohtake A, Hoshino M et al (2009) OTX2 loss of function mutation causes anophthalmia and combined pituitary hormone deficiency with a small anterior and ectopic posterior pituitary. J Clin Endocrinol Metab 94:314–319

    CAS  Article  Google Scholar 

  23. Woods KS, Cundall M, Turton J et al (2005) Over- and underdosage of SOX3 is associated with infundibular hypoplasia and hypopituitarism. Am J Hum Genet 76:833–849

    CAS  Article  Google Scholar 

  24. Kaiser U, Ho KKY (2017) Pituitary physiology and diagnostic evaluation. In: Melmed S, Larsen PR, Polonsky KS, Kronenberg HM (eds) Williams textbook of endocrinology. Elsevier/Saunders, Philadelphia, pp 176–231

    Google Scholar 

  25. Chen S, Leger J, Garel C et al (1999) Growth hormone deficiency with ectopic neurohypophysis: anatomical variations and relationship between the visibility of the pituitary stalk asserted by magnetic resonance imaging and anterior pituitary function. J Clin Endocrinol Metab 84:2408–2413

    CAS  Article  Google Scholar 

  26. Di Iorgi N, Morana G, Allegri AE et al (2016) Classical and non-classical causes of GH deficiency in the paediatric age. Best Pract Res Clin Endocrinol Metab 30:705–736

    Article  Google Scholar 

  27. El Sanharawi I, Tzarouchi L, Cardoen L et al (2017) High-resolution heavily T2-weighted magnetic resonance imaging for evaluation of the pituitary stalk in children with ectopic neurohypophysis. Pediatr Radiol 47:599–605

    Article  Google Scholar 

  28. Maghnie M, Lindberg A, Koltowska-Haggstrom M, Ranke MB (2013) Magnetic resonance imaging of CNS in 15,043 children with GH deficiency in KIGS (Pfizer international growth database). Eur J Endocrinol 168:211–217

    CAS  Article  Google Scholar 

  29. Zentner GE, Layman WS, Martin DM, Scacheri PC (2010) Molecular and phenotypic aspects of CHD7 mutation in CHARGE syndrome. Am J Med Genet A 152A:674–686

    CAS  Article  Google Scholar 

  30. Gregory LC, Gevers EF, Baker J et al (2013) Structural pituitary abnormalities associated with CHARGE syndrome. J Clin Endocrinol Metab 98:E737–E743

    CAS  Article  Google Scholar 

  31. Kelberman D, Dattani MT (2008) Septo-optic dysplasia — novel insights into the aetiology. Horm Res 69:257–265

    CAS  Article  Google Scholar 

  32. Ferran K, Paiva IA, Gilban DL et al (2010) Septo-optic dysplasia. Arq Neuropsiquiatr 68:400–405

    Article  Google Scholar 

  33. Brodsky MC, Glasier CM (1993) Optic nerve hypoplasia. Clinical significance of associated central nervous system abnormalities on magnetic resonance imaging. Arch Ophthalmol 111:66–74

    CAS  Article  Google Scholar 

  34. Izenberg N, Rosenblum M, Parks JS (1984) The endocrine spectrum of septo-optic dysplasia. Clin Pediatr 23:632–636

    CAS  Article  Google Scholar 

  35. Pinto G, Netchine I, Sobrier ML et al (1997) Pituitary stalk interruption syndrome: a clinical-biological-genetic assessment of its pathogenesis. J Clin Endocrinol Metab 82:3450–3454

    CAS  PubMed  Google Scholar 

Download references

Acknowledgments

We would like to acknowledge the librarian Mariza Kazue for help with the literature review.

Author information

Affiliations

Authors

Corresponding author

Correspondence to Christine Saint-Martin.

Ethics declarations

Conflicts of interest

None

Additional information

Publisher’s note

Springer Nature remains neutral with regard to jurisdictional claims in published maps and institutional affiliations.

Rights and permissions

Reprints and Permissions

About this article

Verify currency and authenticity via CrossMark

Cite this article

Ybarra, M., Hafiz, R., Robinson, ME. et al. A new imaging entity consistent with partial ectopic posterior pituitary gland: report of six cases. Pediatr Radiol 50, 107–115 (2020). https://doi.org/10.1007/s00247-019-04502-5

Download citation

  • Received:

  • Revised:

  • Accepted:

  • Published:

  • Issue Date:

  • DOI: https://doi.org/10.1007/s00247-019-04502-5

Keywords

  • Children
  • Ectopic
  • Endocrine
  • Growth hormone
  • Magnetic resonance imaging
  • Pituitary gland
  • Posterior pituitary