Skip to main content

Prevalence of pituitary cysts in children using modern magnetic resonance imaging techniques

Abstract

Background

Pituitary pars intermedia/Rathke cleft cysts or cyst-like structures are commonly encountered in children undergoing brain magnetic resonance imaging (MRI), especially when examinations include thin-section, high-resolution sequences.

Objective

To determine the prevalence of pituitary cystic lesions in children at our institution using modern MRI technique, to assess for associated endocrinopathy and to address the need for follow-up.

Materials and methods

We retrospectively reviewed 232 consecutive 1.5- and 3-T brain MRIs in children ages 0–18 years (mean: 8.3±5.3 years). We evaluated 3-D volumetric T1 spoiled gradient echo (SPGR) and axial T2-weighted sequences. Pituitary glands were evaluated for the presence, size and signal characteristics of cysts. Cyst volumes were measured in three orthogonal planes. Endocrine abnormalities were documented from the medical record.

Results

Pituitary cysts were present in 57.7% of children (n=134), with a mean linear measurement of 3.6±1.17 mm (range: 0.4 to 12.3 mm). The overwhelming majority of cysts were hyopointense on T1-W images (n=121, 90%) and isointense on T2-W images relative to the adenohypophysis (n=106, 79%). T1 hyperintense and T2 hypointense signals were present in a minority, 6.7% and 8%, respectively. Most cysts were occult on post-contrast T1-W images (n=24, 77%). Endocrine abnormalities were present in 2/134 (1.5%) of children with cysts (these were unrelated to the pituitary gland) versus 1/98 (1%) children without cysts (P=0.7).

Conclusion

More often than not, pituitary cysts/cyst-like structures can be found incidentally in children using modern MRI techniques. Follow-up is not typically required if there are no associated symptoms or excessive size.

This is a preview of subscription content, access via your institution.

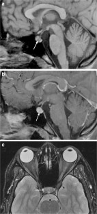
Fig. 1
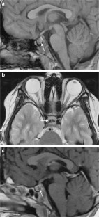
Fig. 2
Fig. 3
Fig. 4
Fig. 5

References

  1. Delman BN (2009) Imaging of pediatric pituitary abnormalities. Endocrinol Metab Clin N Am 38:673–698

    CAS  Article  Google Scholar 

  2. Shields R, Mangla R, Almast J, Meyers S (2015) Magnetic resonance imaging of sellar and juxtasellar abnormalities in the paediatric population: an imaging review. Insights Imaging 6:241–260

    Article  Google Scholar 

  3. Barkovich AJ, Raybaud CA (2011) Congenital malformations of the brain and skull. In: Barkovich AJ, Raybaud CA (eds) Pediatric neuroimaging, 5th edn. Wolters Kluwer Health, Philadelphia, pp 367–568

    Google Scholar 

  4. Takanashi JI, Tada H, Barkovich AJ et al (2005) Pituitary cysts in childhood evaluated by MR imaging. AJNR Am J Neuroradiol 26:2144–2147

    PubMed  Google Scholar 

  5. Teramoto A, Hirakawa K, Sanno N, Osamura Y (1994) Incidental pituitary lesions in 1,000 unselected autopsy specimens. Radiology 193:161–164

    CAS  Article  Google Scholar 

  6. Hoang JK, Hoffman AR, Gonzalez RG et al (2018) Management of incidental pituitary findings on CT, MRI, and 18 F-fluorodeoxyglucose PET: a white paper of the ACR incidental findings committee. J Am Coll Radiol 15:966–972

    Article  Google Scholar 

  7. Centers for Disease Control and Prevention (2018) Positive parenting tips. https://www.cdc.gov/ncbddd/childdevelopment/positiveparenting/index.html. Accessed 14 April 2019

  8. Kucharczyk W, Peck WW, Kelly WM et al (1987) Rathke cleft cysts: CT, MR imaging, and pathologic features. Radiology 165:491–495

    CAS  Article  Google Scholar 

  9. Nemoto Y, Inoue Y, Fukuda T et al (1988) MR appearance of Rathke’s cleft cysts. Neuroradiology 30:155–159

    CAS  Article  Google Scholar 

  10. Harrison MJ, Morgello S, Post KD (1994) Epithelial cystic lesions of the sellar and parasellar region: a continuum of ectodermal derivatives? J Neurosurg 80:1018–1025

    CAS  Article  Google Scholar 

  11. Byun WM, Kim OL, Kim D (2000) MR imaging findings of Rathke’s cleft cysts: significance of intracystic nodules. AJNR Am J Neuroradiol 21:485–488

    CAS  PubMed  Google Scholar 

  12. Sumida M, Uozumi T, Mukada K et al (1994) Rathke cleft cysts: correlation of enhanced MR and surgical findings. AJNR Am J Neuroradiol 15:525–532

    CAS  PubMed  Google Scholar 

  13. Zada G (2011) Rathke cleft cysts: a review of clinical and surgical management. Neurosurg Focus 31:E1

    Article  Google Scholar 

  14. Raybaud C, Barkovich AJ (2011) Intracranial, orbital, and neck masses of childhood. In: Barkovich AJ, Raybaud CA (eds) Pediatric neuroimaging, 5th edn. Wolters Kluwer Health, Philadelphia, pp 637–807

    Google Scholar 

  15. Voelker JL, Campbell RL, Muller J (1991) Clinical, radiographic, and pathological features of symptomatic Rathke’s cleft cysts. J Neurosurg 74:535–544

    CAS  Article  Google Scholar 

  16. Prokop-Piotrkowska M, Moszczyńska E, Daszkiewicz P et al (2018) Symptomatic Rathke cleft cyst in paediatric patients-clinical presentations, surgical treatment and postoperative outcomes-an analysis of 38 cases. J Pediatr Endocrinol Metab 31:903–910

    Article  Google Scholar 

Download references

Author information

Affiliations

Authors

Corresponding author

Correspondence to Eman S. Mahdi.

Ethics declarations

Conflicts of interest

None

Additional information

Publisher’s note

Springer Nature remains neutral with regard to jurisdictional claims in published maps and institutional affiliations.

Rights and permissions

Reprints and Permissions

About this article

Verify currency and authenticity via CrossMark

Cite this article

Mahdi, E.S., Webb, R.L. & Whitehead, M.T. Prevalence of pituitary cysts in children using modern magnetic resonance imaging techniques. Pediatr Radiol 49, 1781–1787 (2019). https://doi.org/10.1007/s00247-019-04479-1

Download citation

  • Received:

  • Revised:

  • Accepted:

  • Published:

  • Issue Date:

  • DOI: https://doi.org/10.1007/s00247-019-04479-1

Keywords

  • Children
  • Craniopharyngioma
  • Magnetic resonance imaging
  • Pars intermedia cyst
  • Pituitary cyst
  • Pituitary gland
  • Rathke cleft cyst