Skip to main content

Review of paraneoplastic syndromes in children

Abstract

Paraneoplastic syndromes are defined as clinical syndromes that are not related to direct tumor invasion or compression but are secondary to tumor secretion of functional peptides/hormones or related to immune cross-reactivity with normal host tissue. Paraneoplastic syndromes have a wide range of presentations and can present before the primary malignancy or tumor recurrence is diagnosed. They can mimic non-neoplastic processes, making detection, diagnosis and treatment difficult. However, they can also provide clues to the presence of an underlying malignancy. In this paper, we reviewed a range of paraneoplastic syndromes that can occur in children including: (1) neurologic (opsoclonus-myoclonus, limbic, anti-N-methyl-d-aspartate [NMDA] and anti-Ma2 encephalitis and myasthenia gravis); (2) endocrine (neuroendocrine tumors, hypercalcemia, SIADH [syndrome of inappropriate antidiuretic hormone secretion], osteomalacia/rickets and ROHHAD [rapid onset of obesity, hypoventilation, hypothalamic dysfunction and autonomic dysregulation]); and (3) dermatologic/rheumatologic syndromes (hypertrophic osteoarthropathy and paraneoplastic pemphigus). Familiarity with these syndromes can aid in early diagnosis, treatment and imaging optimization.

This is a preview of subscription content, access via your institution.

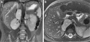
Fig. 1
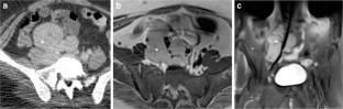
Fig. 2
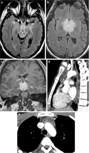
Fig. 3
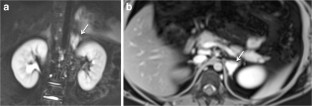
Fig. 4
Fig. 5
Fig. 6
Fig. 7
Fig. 8
Fig. 9

References

  1. Pelosof LC, Gerber DE (2010) Paraneoplastic syndromes: an approach to diagnosis and treatment. Mayo Clin Proc 85:838–854

    Article  PubMed  PubMed Central  Google Scholar 

  2. Alavi S (2013) Paraneoplastic neurologic syndromes in children: a review article. Iran J Child Neurol 7:6–14

    PubMed  PubMed Central  Google Scholar 

  3. Kunstreich M, Kreth JH, Oommen PT et al (2017) Paraneoplastic limbic encephalitis with SOX1 and PCA2 antibodies and relapsing neurological symptoms in an adolescent with Hodgkin lymphoma. Eur J Paediatr Neurol 21:661–665

    Article  CAS  PubMed  Google Scholar 

  4. Stein-Wexler R, Wootton-Gorges SL, Greco CM, Brunberg JA (2005) Paraneoplastic limbic encephalitis in a teenage girl with an immature ovarian teratoma. Pediatr Radiol 35:694–697

    Article  PubMed  Google Scholar 

  5. Zhang YT, Feng LH, Zhang Z et al (2015) Different kinds of paraneoplastic syndromes in childhood neuroblastoma. Iran J Pediatr 25:e266

    Article  PubMed  PubMed Central  Google Scholar 

  6. Rutherford GC, Dineen RA, O'Connor A (2007) Imaging in the investigation of paraneoplastic syndromes. Clin Radiol 62:1021–1035

    Article  PubMed  Google Scholar 

  7. Graus F, Delattre JY, Antoine JC et al (2004) Recommended diagnostic criteria for paraneoplastic neurological syndromes. J Neurol Neurosurg Psychiatry 75:1135–1140

    Article  CAS  PubMed  PubMed Central  Google Scholar 

  8. Camisa C, Helm TN (1993) Paraneoplastic pemphigus is a distinct neoplasia-induced autoimmune disease. Arch Dermatol 129:883–886

    Article  CAS  PubMed  Google Scholar 

  9. Dimitriadis GK, Angelousi A, Weickert MO et al (2017) Paraneoplastic endocrine syndromes. Endocr Relat Cancer 24:R173–R190

    Article  CAS  PubMed  Google Scholar 

  10. Ibanez-Mico S, Marcos Oltra A, de Murcia Lemauviel S et al (2016) Rapid-onset obesity with hypothalamic dysregulation, hypoventilation, and autonomic dysregulation (ROHHAD syndrome): a case report and literature review. Neurologia 32:616–622

  11. Kaltsas G, Androulakis II, de Herder WW, Grossman AB (2010) Paraneoplastic syndromes secondary to neuroendocrine tumours. Endocr Relat Cancer 17:R173–R193

    Article  PubMed  Google Scholar 

  12. Reppucci D, Hamilton J, Yeh EA et al (2016) ROHHAD syndrome and evolution of sleep disordered breathing. Orphanet J Rare Dis 11:106

    Article  PubMed  PubMed Central  Google Scholar 

  13. de Beukelaar J, Sillevis Smitt P (2006) Managing paraneoplastic neurological disorders. Oncologist 11:292–305

    Article  PubMed  Google Scholar 

  14. Raffaghello L, Conte M, De Grandis E, Pistoia V (2009) Immunological mechanisms in opsoclonus-myoclonus associated neuroblastoma. Eur J Paediatr Neurol 13:219–223

    Article  PubMed  Google Scholar 

  15. Dalmau J, Graus F, Villarejo A et al (2004) Clinical analysis of anti-Ma2-associated encephalitis. Brain 127:1831–1844

    Article  PubMed  Google Scholar 

  16. Brunklaus A, Pohl K, Zuberi SM, de Sousa C (2012) Investigating neuroblastoma in childhood opsoclonus-myoclonus syndrome. Arch Dis Child 97:461–463

    Article  PubMed  Google Scholar 

  17. Liu W, Zheng J, Li Q (2013) Application of imaging modalities for evaluating neuroblastoma. J Pediatr Endocrinol Metab 26:1015–1020

    Article  PubMed  Google Scholar 

  18. Pranzatelli MR, Tate ED, Travelstead AL et al (2006) Rituximab (anti-CD20) adjunctive therapy for opsoclonus-myoclonus syndrome. J Pediatr Hematol Oncol 28:585–593

    Article  CAS  PubMed  Google Scholar 

  19. Slovis TL, Meza MP, Cushing B et al (1997) Thoracic neuroblastoma: what is the best imaging modality for evaluating extent of disease? Pediatr Radiol 27:273–275

    Article  CAS  PubMed  Google Scholar 

  20. Evoli A, Lancaster E (2014) Paraneoplastic disorders in thymoma patients. J Thorac Oncol 9:S143–S147

    Article  PubMed  PubMed Central  Google Scholar 

  21. Jayam Trouth A, Dabi A, Solieman N et al (2012) Myasthenia gravis: a review. Autoimmune Dis 2012:874680

    PubMed  PubMed Central  Google Scholar 

  22. Ortega Suero G, Sola-Valls N, Escudero D et al (2018) Anti-Ma and anti-Ma2-associated paraneoplastic neurological syndromes. Neurologia 33:18–27

  23. Oyanguren B, Sanchez V, Gonzalez FJ et al (2013) Limbic encephalitis: a clinical-radiological comparison between herpetic and autoimmune etiologies. Eur J Neurol 20:1566–1570

    Article  CAS  PubMed  Google Scholar 

  24. Sahashi K, Sakai K, Mano K, Hirose G (2003) Anti-Ma2 antibody related paraneoplastic limbic/brain stem encephalitis associated with breast cancer expressing Ma1, Ma2, and Ma3 mRNAs. J Neurol Neurosurg Psychiatry 74:1332–1335

    Article  CAS  PubMed  PubMed Central  Google Scholar 

  25. Waragai M, Chiba A, Uchibori A et al (2006) Anti-Ma2 associated paraneoplastic neurological syndrome presenting as encephalitis and progressive muscular atrophy. J Neurol Neurosurg Psychiatry 77:111–113

    Article  CAS  PubMed  PubMed Central  Google Scholar 

  26. da Rocha AJ, Nunes RH, Maia AC Jr, do Amaral LL (2015) Recognizing autoimmune-mediated encephalitis in the differential diagnosis of limbic disorders. AJNR Am J Neuroradiol 36:2196–2205

  27. Damato V (2016) Diagnostic algorithms in autoimmune encephalitis. Neuroimmunol Neuroinflammation 3:93

    Article  CAS  Google Scholar 

  28. Irani SR, Bera K, Waters P et al (2010) N-methyl-D-aspartate antibody encephalitis: temporal progression of clinical and paraclinical observations in a predominantly non-paraneoplastic disorder of both sexes. Brain 133:1655–1667

    Article  PubMed  PubMed Central  Google Scholar 

  29. Kelley BP, Patel SC, Marin HL et al (2017) Autoimmune encephalitis: pathophysiology and imaging review of an overlooked diagnosis. AJNR Am J Neuroradiol 38:1070–1078

    Article  CAS  PubMed  Google Scholar 

  30. Titulaer MJ, McCracken L, Gabilondo I et al (2013) Treatment and prognostic factors for long-term outcome in patients with anti-NMDA receptor encephalitis: an observational cohort study. Lancet Neurol 12:157–165

    Article  CAS  PubMed  PubMed Central  Google Scholar 

  31. Titulaer MJ, Soffietti R, Dalmau J et al (2011) Screening for tumours in paraneoplastic syndromes: report of an EFNS task force. Eur J Neurol 18:19–e3

    Article  CAS  PubMed  Google Scholar 

  32. Inaoka T, Takahashi K, Mineta M et al (2007) Thymic hyperplasia and thymus gland tumors: differentiation with chemical shift MR imaging. Radiology 243:869–876

    Article  PubMed  Google Scholar 

  33. Priola AM, Priola SM (2014) Imaging of thymus in myasthenia gravis: from thymic hyperplasia to thymic tumor. Clin Radiol 69:e230–e245

    Article  CAS  PubMed  Google Scholar 

  34. Tomiyama N, Honda O, Tsubamoto M et al (2009) Anterior mediastinal tumors: diagnostic accuracy of CT and MRI. Eur J Radiol 69:280–288

    Article  PubMed  Google Scholar 

  35. Dalmau J, Rosenfeld MR (2008) Paraneoplastic syndromes of the CNS. Lancet Neurol 7:327–340

    Article  PubMed  PubMed Central  Google Scholar 

  36. Matthay KK, Blaes F, Hero B et al (2005) Opsoclonus myoclonus syndrome in neuroblastoma a report from a workshop on the dancing eyes syndrome at the advances in neuroblastoma meeting in Genoa, Italy, 2004. Cancer Lett 228:275–282

    Article  CAS  PubMed  Google Scholar 

  37. Mitchell WG, Davalos-Gonzalez Y, Brumm VL et al (2002) Opsoclonus-ataxia caused by childhood neuroblastoma: developmental and neurologic sequelae. Pediatrics 109:86–98

    Article  PubMed  Google Scholar 

  38. Gultekin SH, Rosenfeld MR, Voltz R et al (2000) Paraneoplastic limbic encephalitis: neurological symptoms, immunological findings and tumour association in 50 patients. Brain 123:1481–1494

    Article  PubMed  Google Scholar 

  39. Malter MP, Elger CE, Surges R (2013) Diagnostic value of CSF findings in antibody-associated limbic and anti-NMDAR-encephalitis. Seizure 22:136–140

    Article  PubMed  Google Scholar 

  40. Melzer N, Ruck T, Fuhr P et al (2016) Clinical features, pathogenesis, and treatment of myasthenia gravis: a supplement to the guidelines of the German Neurological Society. J Neurol 263:1473–1494

  41. Nasseri F, Eftekhari F (2010) Clinical and radiologic review of the normal and abnormal thymus: pearls and pitfalls. Radiographics 30:413–428

    Article  Google Scholar 

  42. Kascak P, Zamecnik M, Bystricky B (2016) Small cell carcinoma of the ovary (hypercalcemic type): malignant rhabdoid tumor. Case Rep Oncol 9:305–311

    Article  CAS  PubMed  PubMed Central  Google Scholar 

  43. Keffer JH (1996) Endocrinopathy and ectopic hormones in malignancy. Hematol Oncol Clin North Am 10:811–823

    Article  CAS  PubMed  Google Scholar 

  44. Lamberts SW, Hofland LJ, Nobels FR (2001) Neuroendocrine tumor markers. Front Neuroendocrinol 22:309–339

    Article  CAS  PubMed  Google Scholar 

  45. Srivastava T, Kats A, Martin TJ et al (2011) Parathyroid-hormone-related protein-mediated hypercalcemia in benign congenital mesoblastic nephroma. Pediatr Nephrol 26:799–803

    Article  PubMed  Google Scholar 

  46. Stewart AF (2005) Clinical practice. Hypercalcemia associated with cancer. N Engl J Med 352:373–379

    Article  CAS  PubMed  Google Scholar 

  47. Minisola S, Pepe J, Piemonte S, Cipriani C (2015) The diagnosis and management of hypercalcaemia. BMJ 350:h2723

    Article  CAS  PubMed  Google Scholar 

  48. Skowsky WR, Kikuchi TA (1978) The role of vasopressin in the impaired water excretion of myxedema. Am J Med 64:613–621

    Article  CAS  PubMed  Google Scholar 

  49. Sorensen JB, Andersen MK, Hansen HH (1995) Syndrome of inappropriate secretion of antidiuretic hormone (SIADH) in malignant disease. J Intern Med 238:97–110

    Article  CAS  PubMed  Google Scholar 

  50. Aziz KT, McCarthy EF, Morris CD (2017) Oncogenic osteomalacia secondary to a metastatic phosphaturic mesenchymal tumor in the talus: a case report and review of the literature. JBJS Case Connect 7:e40

    Article  PubMed  Google Scholar 

  51. Chang CY, Rosenthal DI, Mitchell DM et al (2016) Imaging findings of metabolic bone disease. Radiographics 36:1871–1887

    Article  PubMed  Google Scholar 

  52. Cuesta M, Garrahy A, Thompson CJ (2016) SIAD: practical recommendations for diagnosis and management. J Endocrinol Investig 39:991–1001

    Article  CAS  Google Scholar 

  53. Folpe AL, Fanburg-Smith JC, Billings SD et al (2004) Most osteomalacia-associated mesenchymal tumors are a single histopathologic entity: an analysis of 32 cases and a comprehensive review of the literature. Am J Surg Pathol 28:1–30

    Article  PubMed  Google Scholar 

  54. Ghorbani-Aghbolaghi A, Darrow MA, Wang T (2017) Phosphaturic mesenchymal tumor (PMT): exceptionally rare disease, yet crucial not to miss. Autops Case Rep 7:32–37

    Article  PubMed  PubMed Central  Google Scholar 

  55. Giuliani C, Peri A (2014) Effects of hyponatremia on the brain. J Clin Med 3:1163–1177

    Article  CAS  PubMed  PubMed Central  Google Scholar 

  56. Fukumoto S, Takeuchi Y, Nagano A, Fujita T (1999) Diagnostic utility of magnetic resonance imaging skeletal survey in a patient with oncogenic osteomalacia. Bone 25:375–377

    Article  CAS  PubMed  Google Scholar 

  57. Ize-Ludlow D, Gray JA, Sperling MA et al (2007) Rapid-onset obesity with hypothalamic dysfunction, hypoventilation, and autonomic dysregulation presenting in childhood. Pediatrics 120:e179–e188

    Article  PubMed  Google Scholar 

  58. Jan de Beur SM, Streeten EA, Civelek AC et al (2002) Localisation of mesenchymal tumours by somatostatin receptor imaging. Lancet 359:761–763

    Article  CAS  PubMed  Google Scholar 

  59. Seufert J, Ebert K, Muller J et al (2001) Octreotide therapy for tumor-induced osteomalacia. N Engl J Med 345:1883–1888

    Article  CAS  PubMed  Google Scholar 

  60. Battle L, Battle B (2017) Radiology for the dermatologist: a basic guide to imaging modalities and how to utilize them. J Am Acad Dermatol 76:AB212

    Google Scholar 

  61. Bougneres P, Pantalone L, Linglart A et al (2008) Endocrine manifestations of the rapid-onset obesity with hypoventilation, hypothalamic, autonomic dysregulation, and neural tumor syndrome in childhood. J Clin Endocrinol Metab 93:3971–3980

    Article  CAS  PubMed  Google Scholar 

  62. Campagnola S, Fasoli L, Flessati P et al (1998) Congenital cystic mesoblastic nephroma. Urol Int 61:254–256

    Article  CAS  PubMed  Google Scholar 

  63. Chew H, Ngu L, Keng W (2011) Rapid-onset obesity with hypothalamic dysfunction, hypoventilation and autonomic dysregulation (ROHHAD): a case with additional features and review of the literature. BMJ Case Rep. https://doi.org/10.1136/bcr.02.2010.2706

  64. Chong WH, Molinolo AA, Chen CC, Collins MT (2011) Tumor-induced osteomalacia. Endocr Relat Cancer 18:R53–R77

    Article  CAS  PubMed  PubMed Central  Google Scholar 

  65. Daskas N, Argyropoulou M, Pavlou M, Andronikou S (2002) Congenital mesoblastic nephroma associated with polyhydramnios and hypercalcemia. Pediatr Nephrol 17:187–189

    Article  CAS  PubMed  Google Scholar 

  66. Dupond JL, Mahammedi H, Prie D et al (2005) Oncogenic osteomalacia: diagnostic importance of fibroblast growth factor 23 and F-18 fluorodeoxyglucose PET/CT scan for the diagnosis and follow-up in one case. Bone 36:375–378

    Article  CAS  PubMed  Google Scholar 

  67. Fernandez-Cooke E, Cruz-Rojo J, Gallego C et al (2015) Tumor-induced rickets in a child with a central giant cell granuloma: a case report. Pediatrics 135:e1518–e1523

    Article  PubMed  Google Scholar 

  68. Filippatos TD, Liamis G, Christopoulou F, Elisaf MS (2016) Ten common pitfalls in the evaluation of patients with hyponatremia. Eur J Intern Med 29:22–25

    Article  CAS  PubMed  Google Scholar 

  69. Iqbal AM, Schwenk WF 2nd (2018) A rare presentation of the syndrome of inappropriate antidiuretic hormone in a 12-year-old girl as the initial presentation of an immature ovarian teratoma. J Pediatr Adolesc Gynecol 31:62–63

  70. Lafferty FW (1991) Differential diagnosis of hypercalcemia. J Bone Miner Res 6:S51–S59

    Article  CAS  PubMed  Google Scholar 

  71. Laville M, Burst V, Peri A, Verbalis JG (2013) Hyponatremia secondary to the syndrome of inappropriate secretion of antidiuretic hormone (SIADH): therapeutic decision-making in real-life cases. Clin Kidney J 6:i1–i20

    Article  CAS  PubMed  PubMed Central  Google Scholar 

  72. North KN, Ouvrier RA, McLean CA, Hopkins IJ (1994) Idiopathic hypothalamic dysfunction with dilated unresponsive pupils: report of two cases. J Child Neurol 9:320–325

    Article  CAS  PubMed  Google Scholar 

  73. Paz-Priel I, Cooke DW, Chen AR (2011) Cyclophosphamide for rapid-onset obesity, hypothalamic dysfunction, hypoventilation, and autonomic dysregulation syndrome. J Pediatr 158:337–339

    Article  PubMed  Google Scholar 

  74. Reyes-Mugica M, Arnsmeier SL, Backeljauw PF et al (2000) Phosphaturic mesenchymal tumor-induced rickets. Pediatr Dev Pathol 3:61–69

    Article  CAS  PubMed  Google Scholar 

  75. Shi Z, Deng Y, Li X et al (2018) CT and MR imaging features in phosphaturic mesenchymal tumor-mixed connective tissue: a case report. Oncol Lett 15:4970–4978

    PubMed  PubMed Central  Google Scholar 

  76. Sirvent N, Berard E, Chastagner P et al (2003) Hypothalamic dysfunction associated with neuroblastoma: evidence for a new paraneoplastic syndrome? Med Pediatr Oncol 40:326–328

    Article  PubMed  Google Scholar 

  77. Soheilipour F, Ashrafi Amineh M, Hashemipour M et al (2009) Pamidronate therapy for hypercalcemia and congenital mesoblastic nephroma: a case report. Cases J 2:9315

    Article  PubMed  PubMed Central  Google Scholar 

  78. Wu W, Wang C, Ruan J et al (2017) A case report of phosphaturic mesenchymal tumor-induced osteomalacia. Medicine 96:e9470

    Article  PubMed  PubMed Central  Google Scholar 

  79. Zadik Y, Nitzan DW (2012) Tumor induced osteomalacia: a forgotten paraneoplastic syndrome? Oral Oncol 48:e9–e10

  80. Fukumoto S (2014) Diagnostic modalities for FGF23-producing tumors in patients with tumor-induced osteomalacia. Endocrinol Metab 29:136–143

    Article  Google Scholar 

  81. Silva JA, Mesquita Kde C, Igreja AC et al (2013) Paraneoplastic cutaneous manifestations: concepts and updates. An Bras Dermatol 88:9–22

    Article  PubMed  PubMed Central  Google Scholar 

  82. Yap F, Skalski M, Patel D et al (2017) Hypertrophic osteoarthropathy: clinical and imaging features. Radiographics 37:157–195

    Article  PubMed  Google Scholar 

  83. Callemeyn J, Van Haecke P, Peetermans WE, Blockmans D (2016) Clubbing and hypertrophic osteoarthropathy: insights in diagnosis, pathophysiology, and clinical significance. Acta Clin Belg 71:123–130

    Article  PubMed  Google Scholar 

  84. Manger B, Schett G (2014) Paraneoplastic syndromes in rheumatology. Nat Rev Rheumatol 10:662

    Article  CAS  PubMed  Google Scholar 

  85. Wieczorek M, Czernik A (2016) Paraneoplastic pemphigus: a short review. Clin Cosmet Investig Dermatol 9:291–295

    Article  CAS  PubMed  PubMed Central  Google Scholar 

  86. Fu Z, Liu M, Chen X et al (2018) Paraneoplastic pemphigus associated with Castleman disease detected by 18F-FDG PET/CT. Clin Nucl Med 43:464–465

  87. Schnarr S, Galanski M, Gratz KF, Zeidler H (1999) Clinical images: hypertrophic osteoarthropathy. Arthritis Rheum 42:2736

    CAS  PubMed  Google Scholar 

Download references

Author information

Affiliations

Authors

Corresponding author

Correspondence to Grace MY. Ma.

Ethics declarations

Conflicts of interest

None

Additional information

Publisher’s note

Springer Nature remains neutral with regard to jurisdictional claims in published maps and institutional affiliations.

This article has been selected as the CME activity for the current month.

Rights and permissions

Reprints and Permissions

About this article

Verify currency and authenticity via CrossMark

Cite this article

Ma, G.M., Chow, J.S. & Taylor, G.A. Review of paraneoplastic syndromes in children. Pediatr Radiol 49, 534–550 (2019). https://doi.org/10.1007/s00247-019-04371-y

Download citation

  • Received:

  • Revised:

  • Accepted:

  • Published:

  • Issue Date:

  • DOI: https://doi.org/10.1007/s00247-019-04371-y

Keywords

  • Children
  • Computed tomography
  • Magnetic resonance imaging
  • Malignancy
  • Oncology
  • Paraneoplastic syndrome