Skip to main content

Cerebral magnetic resonance findings during enzyme replacement therapy in mucopolysaccharidosis

Abstract

Background

Although enzyme replacement therapy (ERT) is an effective treatment for mucopolysaccharidosis (MPS) types I, II, IVA and VI, its effectiveness in children with central nervous system (CNS) disorders is said to be poor because the blood–brain barrier cannot be penetrated by ERT drugs.

Objective

To assess CNS involvement in mucopolysaccharidosis at the start of enzyme replacement therapy and to investigate the time course of ERT in the central nervous system.

Materials and methods

We performed brain MRI in 17 children and young adults who underwent ERT. The clinical severity was classified as attenuated or severe by a specialist pediatrician, based on the clinical symptoms and genotypes. At the start of ERT, we scored nine parameters using two- or three-point scales based on the severity of the disease revealed on MRI scans. After the start of ERT, we compared the initial and follow-up MRI scans, and classified the findings as no change, improved or worse. We then compared the results with the changes in clinical findings.

Results

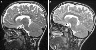
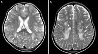
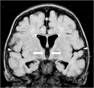
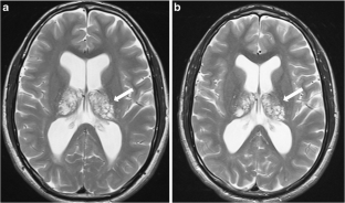
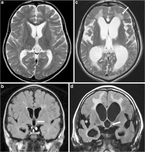
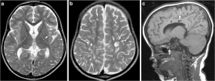
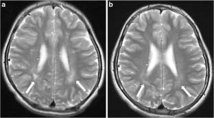
At the start of ERT, comparison of the clinical symptoms and image scores revealed differences between severe and attenuated mucopolysaccharidosis. The scores in patients with severe MPS ranged from 9 to 16 (mean 12.2); for patients with attenuated MPS, they ranged from 2 to 11 (mean 6.4). Images of the four patients with severe MPS showed ventricular dilation and brain atrophy. Such findings were made in only 2 of 13 patients with attenuated MPS. The results after the start of ERT showed that 11/17 (65%) patients manifested improvement or no change. All five patients with MPS I experienced improvement in some regions. There were no new lesions. One patient with MPS II experienced worsening of his CNS symptoms, and his MRI findings revealed more severe ventricular dilation, brain atrophy and white matter lesions.

Conclusion

Ventricular dilation and brain atrophy on imaging studies might represent useful markers in predicting the severity of mucopolysaccharidosis and worsening of CNS symptoms. Enzyme replacement therapy improves CNS images in MPS I and has an inhibitory effect on the occurrence of new lesions in MPS II.

This is a preview of subscription content, access via your institution.

Fig. 1
Fig. 2
Fig. 3
Fig. 4
Fig. 5
Fig. 6
Fig. 7
Fig. 8
Fig. 9

References

  1. Noh H, Lee JI (2014) Current and potential therapeutic strategies for mucopolysaccharidoses. J Clin Pharm Ther 39:215–224

    CAS  Article  PubMed  Google Scholar 

  2. Spranger JW (2016) Mucopolysaccharidoses. In: Kliegman RM (ed) Nelson textbook of pediatrics, 20th edn. Elsevier, Philadelphia, pp 737–743

    Google Scholar 

  3. Neufeld EF, Muenzer J (2000) The mucopolysaccharidoses. In: Scriver CR, Beaudet AL, Sly WS (eds) The metabolic and molecular bases of inherited disease, 8th edn. McGraw-Hill, New York, pp 3421–3452

    Google Scholar 

  4. Muenzer J (2004) The mucopolysaccharidoses: a heterogeneous group of disorders with variable pediatric presentations. J Pediatr 144:27–34

    Article  Google Scholar 

  5. Martin R, Beck M, Eng C et al (2008) Recognition and diagnosis of mucopolysaccharidosis II (Hunter syndrome). Pediatrics 12:377–386

    Article  Google Scholar 

  6. Miebach E (2005) Enzyme replacement therapy in mucopolysaccharidosis type I. Acta Paediatr Suppl 94:58–60

    CAS  Article  PubMed  Google Scholar 

  7. Liang J, Singhal A (2016) Regression of ventriculomegaly following medical management of a patient with Hurler syndrome. J Neurosurg Pediatr 17:537–539

    Article  PubMed  Google Scholar 

  8. Wang RY, Cambray-Forker EJ et al (2009) Treatment reduces or stabilizes brain imaging abnormalities in patients with mucopolysaccharidosis I and II. Mol Genet Metab 98:406–411

    CAS  Article  PubMed  Google Scholar 

  9. Lee C, Dineen TE, Brack M et al (1993) The mucopolysaccharidoses: characterization by cranial MR imaging. AJNR Am J Neuroradiol 14:1285–1292

    CAS  PubMed  Google Scholar 

  10. Manara R, Priante E, Grimaldi M et al (2011) Brain and spine MRI features of Hunter disease: frequency, natural evolution and response to therapy. J Inherit Metab 34:763–780

    Article  Google Scholar 

  11. Valayannopoulos V, Boddaert N, Barbier V et al (2010) Cognitive and neuroradiological improvement in three patients with attenuated mucopolysaccharidosis I treated by laronidase. Mol Genet Metab 100:20–23

    CAS  Article  PubMed  Google Scholar 

  12. Matheus MG, Castillo M, Smith JK et al (2004) Brain MRI findings in patients with mucopolysaccharidosis types I and II and mild clinical presentation. Neuroradiology 46:666–672

    Article  PubMed  Google Scholar 

  13. Parini R, Rigoldi M, Tedesco L et al (2015) Enzymatic replacement therapy for Hunter disease: up to 9 years experience with 17 patients. Mol Genet Metab Rep 3:65–74

    Article  PubMed  PubMed Central  Google Scholar 

  14. Zafeiriou DI, Batzios SP (2013) Brain and spinal MR imaging findings in mucopolysaccharidoses: a review. AJNR Am J Neuroradiol 34:5–13

    CAS  Article  PubMed  Google Scholar 

  15. Seto T, Kono K, Morimoto K et al (2001) Brain magnetic resonance imaging in 23 patients with mucopolysaccharidoses and the effect of bone marrow transplantation. Ann Neurol 50:79–92

    CAS  Article  PubMed  Google Scholar 

  16. Kara S, Sherr EH, Barkovich AJ (2008) Dilated perivascular spaces: an informative radiologic finding in Sanfilippo syndrome type A. Pediatr Neurol 38:363–366

    Article  PubMed  Google Scholar 

  17. Taccone A, Tortori Donati P, Marzoli A et al (1993) Mucopolysaccharidosis: thickening of dura mater at the craniocervical junction and other CT/MRI findings. Pediatr Radiol 23:349–352

    CAS  Article  PubMed  Google Scholar 

  18. Murata R, Nakajima S, Tanaka A et al (1989) MR imaging of the brain in patients with mucopolysaccharidosis. AJNR Am J Neuroradiol 10:1165–1170

    CAS  PubMed  Google Scholar 

Download references

Author information

Affiliations

Authors

Corresponding author

Correspondence to Yoshiko Matsubara.

Ethics declarations

Conflicts of interest

None

Rights and permissions

Reprints and Permissions

About this article

Verify currency and authenticity via CrossMark

Cite this article

Matsubara, Y., Miyazaki, O., Kosuga, M. et al. Cerebral magnetic resonance findings during enzyme replacement therapy in mucopolysaccharidosis. Pediatr Radiol 47, 1659–1669 (2017). https://doi.org/10.1007/s00247-017-3935-5

Download citation

  • Received:

  • Revised:

  • Accepted:

  • Published:

  • Issue Date:

  • DOI: https://doi.org/10.1007/s00247-017-3935-5

Keywords

  • Brain
  • Children
  • Enzyme replacement therapy
  • Magnetic resonance imaging
  • Mucopolysaccharidosis
  • Phenotype
  • Young adults