Skip to main content

Increased signal intensities in the dentate nucleus and globus pallidus on unenhanced T1-weighted images: evidence in children undergoing multiple gadolinium MRI exams

Abstract

Background

Recent reports have suggested residual gadolinium deposition in the brain in subjects undergoing multiple contrast-enhanced MRI exams. These findings have raised some concerns regarding gadolinium-based contrast agent (GBCA) usage and retention in brain tissues.

Objective

To summarize findings of hyperintense brain structures on precontrast T1-weighted images in 21 children undergoing multiple GBCA MRI exams.

Materials and methods

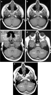
This retrospective study involved 21 patients, each of whom received multiple MRI examinations (range: 5-37 exams) with GBCA over the course of their medical treatment (duration from first to most recent exam: 1.2-12.9 years). The patients were between 0.9 and 14.4 years of age at the time of their first GBCA exam. Regions of interest were drawn in the dentate nucleus and the globus pallidus on 2-D fast spin echo images acquired at 1.5 T. The signal intensities of these two structures were normalized by that of the corpus callosum genu. Signal intensity ratios from these patients were compared to control patients of similar ages who have never received GBCA.

Results

Signal intensity ratios increased between the first and the most recent MRI exam in all 21 patients receiving GBCA, with an increase of 18.6%±12.7% (range: 0.5% to 47.5%) for the dentate nucleus and 12.4%±7.4% (range: -1.2% to 33.7%) for the globus pallidus (P<0.0001). Signal intensity ratios were also higher in GBCA patients than in controls (P<0.01). The degree of signal intensity enhancement did not correlate with statistical significance to the cumulative number or volume of GBCA administrations each patient received, the patient’s age or the elapsed time between the first and most recent GBCA MRI exams.

Conclusion

These results in children are consistent with recent findings in adults, suggesting possible gadolinium deposition in the brain.

This is a preview of subscription content, access via your institution.

Fig. 1
Fig. 2
Fig. 3
Fig. 4
Fig. 5

References

  1. Karabulut N (2015) Gadolinium deposition in the brain: another concern regarding gadolinium-based contrast agents. Diagn Interv Radiol 21:269–270

    Article  PubMed  PubMed Central  Google Scholar 

  2. Kanda T, Oba H, Toyoda K (2016) Recent advances in understanding gadolinium retention in the brain. AJNR Am J Neuroradiol 37:E1–E2

    CAS  Article  PubMed  Google Scholar 

  3. Kanda T, Ishii K, Kawaguchi H et al (2014) High signal intensity in the dentate nucleus and globus pallidus on unenhanced T1-weighted MR images: relationship with increasing cumulative dose of a gadolinium-based contrast material. Radiology 270:834–841

    Article  PubMed  Google Scholar 

  4. Quattrocchi CC, Mallio CA, Errante Y et al (2015) Gadodiamide and dentate nucleus T1 hyperintensity in patients with meningioma evaluated by multiple follow-up contrast-enhanced magnetic resonance examinations with no systemic interval therapy. Invest Radiol 50:470–472

    Article  PubMed  Google Scholar 

  5. Errante Y, Cirimele V, Mallio CA et al (2014) Progressive increase of T1 signal intensity of the dentate nucleus on unenhanced magnetic resonance images is associated with cumulative doses of intravenously administered gadodiamide in patients with normal renal function, suggesting dechelation. Invest Radiol 49:685–690

    CAS  Article  PubMed  Google Scholar 

  6. Adin ME, Kleinberg L, Vaidya D et al (2015) Hyperintense dentate nuclei on T1-weighted MRI: relation to repeat Gadolinium administration. AJNR Am J Neuroradiol 36:1859–1865

    CAS  Article  PubMed  PubMed Central  Google Scholar 

  7. McDonald RJ, McDonald JS, Kallmes DF et al (2015) Intracranial gadolinium deposition after contrast-enhanced MR imaging. Radiology 275:772–782

    Article  PubMed  Google Scholar 

  8. Kanda T, Fukusato T, Matsuda M et al (2015) Gadolinium-based contrast agent accumulates in the brain even in subjects without severe renal dysfunction: evaluation of autopsy brain specimens with inductively coupled plasma mass spectroscopy. Radiology 276:228–232

    Article  PubMed  Google Scholar 

  9. Radbruch A, Weberling LD, Kieslich PJ et al (2015) Gadolinium retention in the dentate nucleus and globus pallidus is dependent on the class of contrast agent. Radiology 275:783–791

    Article  PubMed  Google Scholar 

  10. Kanda T, Osawa M, Oba H et al (2015) High signal intensity in dentate nucleus on unenhanced T1-weighted MR images: association with linear versus macrocyclic gadolinium chelate administration. Radiology 275:803–809

    Article  PubMed  Google Scholar 

  11. Ramalho J, Castillo M, AlOBaidy M et al (2015) High signal intensity in globus pallidus and dentate nucleus on unenhanced T1-weighted MR images: evaluation of two linear Gadolinium-based contrast agents. Radiology 276:836–844

    Article  PubMed  Google Scholar 

  12. Stojanov DA, Aracki-Trenkic A, Vojinovic S et al (2015) Increasing signal intensity within the dentate nucleus and globus pallidus on unenhanced T1W magnetic resonance images in patients with relapsing-remitting multiple sclerosis: correlation with cumulative dose of a macrocyclic gadolinium-based contrast agent, Gadobutrol. Eur Radiol 26:807–815

    Article  PubMed  Google Scholar 

  13. Robert P, Lehericy S, Grand S et al (2015) T1-weighted hypersignal in the deep cerebellar nuclei after repeated administrations of Gadolinium-based contrast agents in healthy rats: difference between linear and macrocyclic agents. Invest Radiol 50:473–480

    CAS  Article  PubMed  PubMed Central  Google Scholar 

  14. Wáng Y, Schroeder J, Siegmund H et al (2015) Total gadolinium tissue deposition and skin structural findings following the administration of structurally different gadolinium chelates in healthy and ovariectomized female rats. Quant Imaging Med Surg 5:534–545

    PubMed  PubMed Central  Google Scholar 

  15. Roberts DR, Holden KR (2015) Progressive increase of T1 signal intensity in the dentate nucleus and globus pallidus on unenhanced T1-weighted MR images in the pediatric brain exposed to multiple doses of gadolinium contrast. Brain Dev 38:331–336

    Article  PubMed  Google Scholar 

  16. Miller JH, Hu HH, Pokorney A et al (2015) MRI brain signal intensity changes of a child during the course of 35 Gadolinium contrast examinations. Pediatrics 136:e1637–e1640

    Article  PubMed  Google Scholar 

  17. Sato T, Tamada T, Watanabe S et al (2015) Tissue gadolinium deposition in hepatorenally impaired rats exposed to Gd-EOB-DTPA: evaluation with inductively coupled plasma mass spectrometry (ICP-MS). Radiol Med 120:557–562

    Article  PubMed  Google Scholar 

  18. Huckle JE, Atlun E, Jay M et al (2016) Gadolinium deposition in humans: when did we learn that gadolinium was deposited in vivo? Invest Radiol 51:236–240

    CAS  Article  PubMed  Google Scholar 

  19. Reeder SB, Gulani V (2016) Gadolinium deposition in the brain: do we know enough to change practice? Radiology 279:323–326

    Article  PubMed  Google Scholar 

  20. Malayeri AA, Brooks KM, Bryant LH et al (2016) National Institutes of Health perspective on reports of gadolinium deposition in the brain. J Am Coll Radiol 13:237–241

    Article  PubMed  Google Scholar 

  21. Radbruch A, Weberling LD, Kieslich PJ et al (2015) High-signal intensity in the dentate nucleus and globus pallidus on unenhanced T1-weighted images: evaluation of the macrocyclic gadolinium-based contrast agent Gadobutrol. Invest Radiol 50:805–810

    CAS  Article  PubMed  Google Scholar 

  22. Murata N, Gonzalez-Cuyar LF, Murata K et al (2016) Macrocyclic and other non-group 1 gadolinium contrast agents deposit low levels of gadolinium in brain and bone tissue: preliminary results from 9 patients with normal renal function. Invest Radiol. doi:10.1097/RLI.0000000000000252

Download references

Acknowledgments

The Department of Medical Imaging and Radiology at Phoenix Children’s Hospital acknowledges research support from Philips Healthcare. The authors also thank librarian Kathy Zeblisky, MLS, of Phoenix Children’s Hospital for literature reference assistance.

Author information

Affiliations

Authors

Corresponding author

Correspondence to Houchun H. Hu.

Ethics declarations

Conflicts of interest

None

Rights and permissions

Reprints and Permissions

About this article

Verify currency and authenticity via CrossMark

Cite this article

Hu, H.H., Pokorney, A., Towbin, R.B. et al. Increased signal intensities in the dentate nucleus and globus pallidus on unenhanced T1-weighted images: evidence in children undergoing multiple gadolinium MRI exams. Pediatr Radiol 46, 1590–1598 (2016). https://doi.org/10.1007/s00247-016-3646-3

Download citation

  • Received:

  • Revised:

  • Accepted:

  • Published:

  • Issue Date:

  • DOI: https://doi.org/10.1007/s00247-016-3646-3

Keywords

  • Brain
  • Children
  • Dentate nucleus
  • Deposition
  • Gadolinium-based contrast agent
  • Globus pallidus
  • Magnetic resonance imaging