Skip to main content

Multidetector computed tomography pulmonary angiography in childhood acute pulmonary embolism

Abstract

Pulmonary embolism is a life-threatening condition affecting people of all ages. Multidetector row CT pulmonary angiography has improved the imaging of pulmonary embolism in both adults and children and is now regarded as the routine modality for detection of pulmonary embolism. Advanced CT pulmonary angiography techniques developed in recent years, such as dual-energy CT, have been applied as a one-stop modality for pulmonary embolism diagnosis in children, as they can simultaneously provide anatomical and functional information. We discuss CT pulmonary angiography techniques, common and uncommon findings of pulmonary embolism in both conventional and dual-energy CT pulmonary angiography, and radiation dose considerations.

This is a preview of subscription content, access via your institution.

Fig. 1
Fig. 2
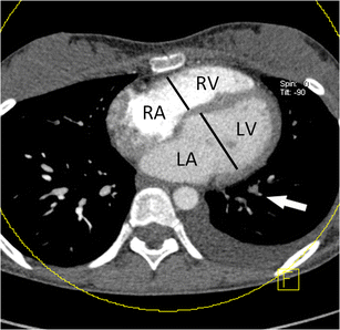
Fig. 3
Fig. 4
Fig. 5
Fig. 6

References

  1. Tapson VF (2008) Acute pulmonary embolism. N Engl J Med 358:1037–1052

    CAS  Article  PubMed  Google Scholar 

  2. Ritchie G, McGurk S, McCreath C et al (2007) Prospective evaluation of unsuspected pulmonary embolism on contrast enhanced multidetector CT (MDCT) scanning. Thorax 62:536–540

    PubMed Central  Article  PubMed  Google Scholar 

  3. Victoria T, Mong A, Altes T et al (2009) Evaluation of pulmonary embolism in a pediatric population with high clinical suspicion. Pediatr Radiol 39:35–41

    Article  PubMed  Google Scholar 

  4. Kritsaneepaiboon S, Lee EY, Zurakowski D et al (2009) MDCT pulmonary angiography evaluation of pulmonary embolism in children. AJR Am J Roentgenol 192:1246–1252

    Article  PubMed  Google Scholar 

  5. Zhang LJ, Zhang Z, Li SJ et al (2014) Pulmonary embolism and renal vein thrombosis in patients with nephrotic syndrome: prospective evaluation of prevalence and risk factors with CT. Radiology 273:897–906

    Article  PubMed  Google Scholar 

  6. Rajpurkar M, Warrier I, Chitlur M et al (2007) Pulmonary embolism—experience at a single children’s hospital. Thromb Res 119:699–703

    CAS  Article  PubMed  Google Scholar 

  7. Babyn PS, Gahunia HK, Massicotte P (2005) Pulmonary thromboembolism in children. Pediatr Radiol 35:258–274

    Article  PubMed  Google Scholar 

  8. Henzler T, Barraza JM Jr, Nance JW Jr et al (2011) CT imaging of acute pulmonary embolism. J Cardiovasc Comput Tomogr 5:3–11

    Article  PubMed  Google Scholar 

  9. Sanchez O, Planquette B, Meyer G (2009) Update on acute pulmonary embolism. Eur Respir Rev 18:137–147

    CAS  Article  PubMed  Google Scholar 

  10. Stein PD, Fowler SE, Goodman LR et al (2006) Multidetector computed tomography for acute pulmonary embolism. N Engl J Med 354:2317–2327

    CAS  Article  PubMed  Google Scholar 

  11. Lee EY, Zurakowski D, Boiselle PM (2010) Pulmonary embolism in pediatric patients: survey of CT pulmonary angiography practices and policies. Acad Radiol 17:1543–1549

    Article  PubMed  Google Scholar 

  12. Yu FF, Lu B, Gao Y et al (2013) Congenital anomalies of coronary arteries in complex congenital heart disease: diagnosis and analysis with dual-source CT. J Cardiovasc Comput Tomogr 7:383–390

    Article  PubMed  Google Scholar 

  13. Li YJ, Lau KK, Ardley N et al (2013) Efficacy of ‘breath holding at ease’ during CT pulmonary angiography in the improvement of contrast enhancement in pulmonary arteries. J Med Imaging Radiat Oncol 57:415–422

    Article  PubMed  Google Scholar 

  14. Goo HW (2013) Dual-energy lung perfusion and ventilation CT in children. Pediatr Radiol 43:298–307

    Article  PubMed  Google Scholar 

  15. Lu GM, Zhao Y, Zhang LJ et al (2012) Dual-energy CT of the lung. AJR Am J Roentgenol 199:S40–S53

    Article  PubMed  Google Scholar 

  16. Ko JP, Brandman S, Stember J et al (2012) Dual-energy computed tomography: concepts, performance, and thoracic applications. J Thorac Imaging 27:7–22

    Article  PubMed  Google Scholar 

  17. Callahan MJ, Servaes S, Lee EY et al (2014) Practice patterns for the use of iodinated IV contrast media for pediatric CT studies: a survey of the Society for Pediatric Radiology. AJR Am J Roentgenol 202:872–879

    Article  PubMed  Google Scholar 

  18. Lee EY, Tse SK, Zurakowski D et al (2012) Children suspected of having pulmonary embolism: multidetector CT pulmonary angiography–thromboembolic risk factors and implications for appropriate use. Radiology 262:242–251

    Article  PubMed  Google Scholar 

  19. Lee EY, Neuman MI, Lee NJ et al (2012) Pulmonary embolism detected by pulmonary MDCT angiography in older children and young adults: risk factor assessment. AJR Am J Roentgenol 198:1431–1437

    Article  PubMed  Google Scholar 

  20. Lee EY, Zucker EJ, Tsai J et al (2011) Pulmonary MDCT angiography: value of multiplanar reformatted images in detecting pulmonary embolism in children. AJR Am J Roentgenol 197:1460–1465

    Article  PubMed  Google Scholar 

  21. Maizlin ZV, Vos PM, Godoy MC et al (2007) Computer-aided detection of pulmonary embolism on CT angiography: initial experience. J Thorac Imaging 22:324–329

    Article  PubMed  Google Scholar 

  22. Buhmann S, Herzog P, Liang J et al (2007) Clinical evaluation of a computer-aided diagnosis (CAD) prototype for the detection of pulmonary embolism. Acad Radiol 14:651–658

    Article  PubMed  Google Scholar 

  23. Wittram C, Kalra MK, Maher MM et al (2006) Acute and chronic pulmonary emboli: angiography-CT correlation. AJR Am J Roentgenol 186:S421–S429

    Article  PubMed  Google Scholar 

  24. Brunot S, Corneloup O, Latrabe V et al (2005) Reproducibility of multidetector spiral computed tomography in detection of sub-segmental acute pulmonary embolism. Eur Radiol 15:2057–2063

    CAS  Article  PubMed  Google Scholar 

  25. Le Gal G, Righini M, Parent F et al (2006) Diagnosis and management of subsegmental pulmonary embolism. J Thromb Haemost 4:724–731

    Article  PubMed  Google Scholar 

  26. Ghanima W, Nielssen BE, Holmen LO et al (2007) Multidetector computed tomography (MDCT) in the diagnosis of pulmonary embolism: interobserver agreement among radiologists with varied levels of experience. Acta Radiol 48:165–170

    CAS  Article  PubMed  Google Scholar 

  27. Schoepf UJ, Schneider AC, Das M et al (2007) Pulmonary embolism: computer-aided detection at multidetector row spiral computed tomography. J Thorac Imaging 22:319–323

    Article  PubMed  Google Scholar 

  28. Wittenberg R, Peters JF, Sonnemans JJ et al (2010) Computer-assisted detection of pulmonary embolism: evaluation of pulmonary CT angiograms performed in an on-call setting. Eur Radiol 20:801–806

    PubMed Central  Article  PubMed  Google Scholar 

  29. Lee CW, Seo JB, Song JW et al (2011) Evaluation of computer-aided detection and dual-energy software in detection of peripheral pulmonary embolism on dual-energy pulmonary CT angiography. Eur Radiol 21:54–62

    Article  PubMed  Google Scholar 

  30. Blackmon KN, Florin C, Bogoni L et al (2011) Computer aided detection of pulmonary embolism at CT pulmonary angiography: can it improve performance of inexperienced readers? Eur Radiol 21:1214–1223

    Article  PubMed  Google Scholar 

  31. Kligerman SJ, Lahiji K, Galvin JR et al (2014) Missed pulmonary emboli on CT angiography: assessment with pulmonary embolism-computer-aided detection. AJR Am J Roentgenol 202:65–73

    Article  PubMed  Google Scholar 

  32. Wittenberg R, Berger FH, Peters JF et al (2012) Acute pulmonary embolism: effect of a computer assisted detection prototype on diagnosis—an observer study. Radiology 262:305–313

    Article  PubMed  Google Scholar 

  33. Krissak R, Henzler T, Reichert M et al (2010) Enhanced visualization of lung vessels for diagnosis of pulmonary embolism using dual energy CT angiography. Invest Radiol 45:341–346

    PubMed  Google Scholar 

  34. Zhang LJ, Wang ZJ, Zhou CS et al (2012) Evaluation of pulmonary embolism in pediatric patients with nephrotic syndrome with dual energy CT pulmonary angiography. Acad Radiol 19:341–348

    Article  PubMed  Google Scholar 

  35. Tang CX, Zhang LJ, Han ZH et al (2013) Dual-energy CT based vascular iodine analysis improves sensitivity for peripheral pulmonary artery thrombus detection: an experimental study in canines. Eur J Radiol 82:2270–2278

    Article  PubMed  Google Scholar 

  36. Lee EY, Zurakowski D, Diperna S et al (2010) Parenchymal and pleural abnormalities in children with and without pulmonary embolism at MDCT pulmonary angiography. Pediatr Radiol 40:173–181

    Article  PubMed  Google Scholar 

  37. Kang MJ, Park CM, Lee CH et al (2010) Dual-energy CT: clinical applications in various pulmonary diseases. Radiographics 30:685–698

    Article  PubMed  Google Scholar 

  38. Wildberger JE, Schoepf UJ, Mahnken AH et al (2005) Approaches to CT perfusion imaging in pulmonary embolism. Semin Roentgenol 40:64–73

    Article  PubMed  Google Scholar 

  39. Hansell DM, Bankier AA, MacMahon H et al (2008) Fleischner Society: glossary of terms for thoracic imaging. Radiology 246:697–722

    Article  PubMed  Google Scholar 

  40. Zhang LJ, Zhao YE, Wu SY et al (2009) Pulmonary embolism detection with dual-energy CT: experimental study of dual-source CT in rabbits. Radiology 252:61–70

    Article  PubMed  Google Scholar 

  41. Goo HW (2010) Initial experience of dual-energy lung perfusion CT using a dual-source CT system in children. Pediatr Radiol 40:1536–1544

    Article  PubMed  Google Scholar 

  42. Thieme SF, Johnson TR, Reiser MF et al (2010) Dual-energy lung perfusion CT: a novel pulmonary functional imaging method. Semin Ultrasound CT MR 31:301–308

    Article  PubMed  Google Scholar 

  43. Ghuysen A, Ghaye B, Willems V et al (2005) Computed tomographic pulmonary angiography and prognostic significance in patients with acute pulmonary embolism. Thorax 60:956–961

    PubMed Central  CAS  Article  PubMed  Google Scholar 

  44. Ghaye B, Ghuysen A, Willems V et al (2006) Severe pulmonary embolism: pulmonary artery clot load scores and cardiovascular parameters as predictors of mortality. Radiology 239:884–891

    Article  PubMed  Google Scholar 

  45. Becattini C, Agnelli G, Germini F et al (2014) Computed tomography to assess risk of death in acute pulmonary embolism: a meta-analysis. Eur Respir J 43:1678–1690

    Article  PubMed  Google Scholar 

  46. Erkens PM, Gandara E, Wells PS et al (2012) Does the Pulmonary Embolism Severity Index accurately identify low risk patients eligible for outpatient treatment? Thromb Res 129:710–714

    CAS  Article  PubMed  Google Scholar 

  47. Kang DK, Thilo C, Schoepf UJ et al (2011) CT signs of right ventricular dysfunction: prognostic role in acute pulmonary embolism. JACC Cardiovasc Imaging 4:841–849

    Article  PubMed  Google Scholar 

  48. Kang DK, Ramos-Duran L, Schoepf UJ et al (2010) Reproducibility of CT signs of right ventricular dysfunction in acute pulmonary embolism. AJR Am J Roentgenol 194:1500–1506

    Article  PubMed  Google Scholar 

  49. van der Meer RW, Pattynama PM, van Strijen MJ et al (2005) Right ventricular dysfunction and pulmonary obstruction index at helical CT: prediction of clinical outcome during 3-month follow-up in patients with acute pulmonary embolism. Radiology 235:798–803

    Article  PubMed  Google Scholar 

  50. Nural MS, Elmali M, Findik S et al (2009) Computed tomographic pulmonary angiography in the assessment of severity of acute pulmonary embolism and right ventricular dysfunction. Acta Radiol 50:629–637

    CAS  Article  PubMed  Google Scholar 

  51. Vedovati MC, Germini F, Agnelli G et al (2013) Prognostic role of embolic burden assessed at computed tomography angiography in patients with acute pulmonary embolism: systematic review and meta-analysis. J Thromb Haemost 11:2092–2102

    CAS  Article  PubMed  Google Scholar 

  52. Bauer RW, Frellesen C, Renker M et al (2011) Dual energy CT pulmonary blood volume assessment in acute pulmonary embolism - correlation with D-dimer level, right heart strain and clinical outcome. Eur Radiol 21:1914–1921

    Article  PubMed  Google Scholar 

  53. Apfaltrer P, Bachmann V, Meyer M et al (2012) Prognostic value of perfusion defect volume at dual energy CTA in patients with pulmonary embolism: correlation with CTA obstruction scores, CT parameters of right ventricular dysfunction and adverse clinical outcome. Eur J Radiol 81:3592–3597

    Article  PubMed  Google Scholar 

  54. Mayo J, Thakur Y (2014) Acute pulmonary embolism: from morphology to function. Semin Respir Crit Care Med 35:41–49

    Article  PubMed  Google Scholar 

  55. Macdougall RD, Strauss KJ, Lee EY (2013) Managing radiation dose from thoracic multidetector computed tomography in pediatric patients: background, current issues, and recommendations. Radiol Clin N Am 51:743–760

    Article  PubMed  Google Scholar 

  56. Lee EY, Kritsaneepaiboon S, Zurakowski D et al (2009) Beyond the pulmonary arteries: alternative diagnoses in children with MDCT pulmonary angiography negative for pulmonary embolism. AJR Am J Roentgenol 193:888–894

    Article  PubMed  Google Scholar 

  57. Li Q, Yu H, Zhang L et al (2013) Combining low tube voltage and iterative reconstruction for contrast-enhanced CT imaging of the chest-Initial clinical experience. Clin Radiol 68:e249–e253

    CAS  Article  PubMed  Google Scholar 

  58. Lu GM, Luo S, Meinel FG et al (2014) High-pitch computed tomography pulmonary angiography with iterative reconstruction at 80 kVp and 20 mL contrast agent volume. Eur Radiol 24:3260–3268

    Article  PubMed  Google Scholar 

Download references

Acknowledgments

This work was partially supported by the Program for New Century Excellent Talents in the University (NCET-12-0260) and Natural Science Foundation of China (No. 81401409 for C.X.T.).

Conflicts of interest

None

Author information

Affiliations

Authors

Corresponding author

Correspondence to Long Jiang Zhang.

Rights and permissions

Reprints and Permissions

About this article

Verify currency and authenticity via CrossMark

Cite this article

Tang, C.X., Schoepf, U.J., Chowdhury, S.M. et al. Multidetector computed tomography pulmonary angiography in childhood acute pulmonary embolism. Pediatr Radiol 45, 1431–1439 (2015). https://doi.org/10.1007/s00247-015-3336-6

Download citation

  • Received:

  • Revised:

  • Accepted:

  • Published:

  • Issue Date:

  • DOI: https://doi.org/10.1007/s00247-015-3336-6

Keywords

  • Acute pulmonary embolism
  • Children
  • CT pulmonary arteriography
  • Prognosis
  • Radiation dose