Skip to main content

Unusual signal intensity of congenital pulmonary airway malformation on fetal magnetic resonance imaging

Abstract

Congenital pulmonary airway malformation (CPAM) is classified into pathologically different types. These types are sometimes distinguishable by fetal lung MRI and are usually observed as higher-signal lesions on T2-weighted images than normal lung. We describe a case of unusual CPAM resembling neoplasms, with a lower signal than is found in normal lung. Histopathology showed a large number of mucogenic cells but found no evidence that could explain this feature on fetal MRI. An unusual low-signal mass associated with a pulmonary cyst in fetal lung on MRI may suggest an unusual type 1 CPAM.

This is a preview of subscription content, access via your institution.

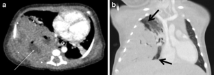
Fig. 1
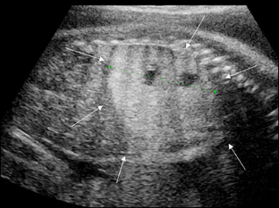
Fig. 2
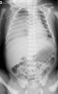
Fig. 3
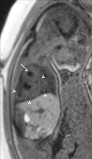
Fig. 4
Fig. 5
Fig. 6

References

  1. Hubbard AM, Adzick NS, Crombleholme TM et al (1999) Congenital chest lesions: diagnosis and characterization with prenatal MR imaging. Radiology 212:43–48

    Article  CAS  PubMed  Google Scholar 

  2. Levine D, Barnewolt CE, Mehta TS et al (2003) Fetal thoracic abnormalities: MR imaging. Radiology 228:379–388

    Article  PubMed  Google Scholar 

  3. Liu YP, Chen CP, Shih SL et al (2010) Fetal cystic lung lesions: evaluation with magnetic resonance imaging. Pediatr Pulmonol 45:592–600

    PubMed  Google Scholar 

  4. Stocker JT, Madewell JE, Drake RM (1977) Congenital cystic adenomatoid malformation of the lung: classification and morphologic spectrum. Hum Pathol 8:155–171

  5. Langston C (2003) New concepts in the pathology of congenital lung malformations. Semin Pediatr Surg 12:17–37

  6. Epelman M, Kreiger PA, Servaes S et al (2010) Current imaging of prenatally diagnosed congenital lung lesions. Semin Ultrasound CT MR 31:141–157

    Article  PubMed  Google Scholar 

  7. Rodriguez MR, Martinez de Vega V, Alonso RC et al (2012) MR imaging of thoracic abnormalities in the fetus. Radiographics 32:E305–E321

    Article  Google Scholar 

  8. Ota H, Langston C, Honda T et al (1998) Histochemical analysis of mucous cells of congenital adenomatoid malformation of the lung: insights into the carcinogenesis of pulmonary adenocarcinoma expressing gastric mucins. Am J Clin Pathol 110:450–455

    CAS  PubMed  Google Scholar 

  9. Rosado-de-Christenson ML, Stocker JT (1991) Congenital cystic adenomatoid malformation. Radiographics 11:865–886

    Article  CAS  PubMed  Google Scholar 

  10. Beydon N, Larroquet M, Coulomb A et al (2013) Comparison between US and MRI in the prenatal assessment of lung malformations. Pediatr Radiol 43:685–696

    Article  PubMed  Google Scholar 

Download references

Acknowledgments

We thank Drs. Yasufumi Fuchimoto and Kaori Sato in the Department of Pediatric Surgery at the NCCHD for details of patients’ surgical treatment.

Conflicts of interest

None

Author information

Affiliations

Authors

Corresponding author

Correspondence to Keiho Owada.

Rights and permissions

Reprints and Permissions

About this article

Verify currency and authenticity via CrossMark

Cite this article

Owada, K., Miyazaki, O., Matsuoka, K. et al. Unusual signal intensity of congenital pulmonary airway malformation on fetal magnetic resonance imaging. Pediatr Radiol 45, 763–766 (2015). https://doi.org/10.1007/s00247-015-3288-x

Download citation

  • Received:

  • Revised:

  • Accepted:

  • Published:

  • Issue Date:

  • DOI: https://doi.org/10.1007/s00247-015-3288-x

Keywords

  • Magnetic resonance imaging
  • Congenital pulmonary airway malformation
  • Mucin
  • Fetus