Skip to main content

Perianal disease in pediatric Crohn disease: a review of MRI findings

Abstract

Perianal complications of Crohn disease are a common occurrence in children and can result in significant morbidity when not accurately characterized prior to surgical intervention. MRI is an excellent imaging modality for the evaluation of perianal inflammatory bowel disease – allowing characterization and detailed description of perianal fistulas. MRI has many advantages over other imaging modalities for the pediatric patient. Radiologists will benefit from a sophisticated understanding of perianal anatomy, the classification of perianal fistulas, the advantages MRI offers in characterization of perianal fistulas as well as the common and incidental findings that are important in the MRI evaluation of perianal inflammatory bowel disease in children. Perianal fistulas are found at a high rate in pediatric referrals and are more commonly found in male patients.

This is a preview of subscription content, access via your institution.

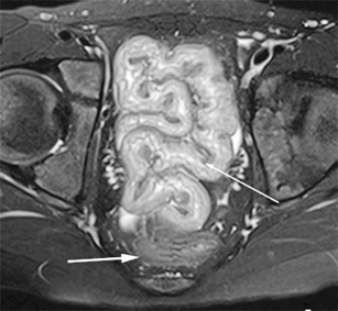
Fig. 1
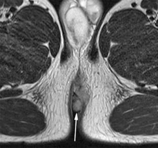
Fig. 2
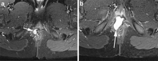
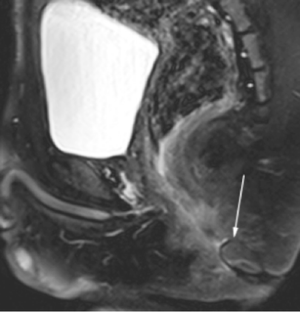
Fig. 3
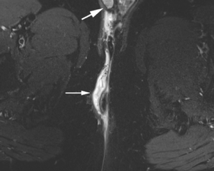
Fig. 4
Fig. 5
Fig. 6
Fig. 7
Fig. 8
Fig. 9
Fig. 10
Fig. 11
Fig. 12
Fig. 13
Fig. 14
Fig. 15

References

  1. Essary B, Kim J, Anupindi S et al (2006) Pelvic MRI in children with Crohn disease and suspected perianal involvement. Pediatr Radiol 37:201–208

    PubMed  Article  Google Scholar 

  2. Haggett PJP, Moore NRN, Shearman JDJ et al (1995) Pelvic and perineal complications of Crohn’s disease: assessment using magnetic resonance imaging. Gut 36:407–410

    PubMed  Article  CAS  PubMed Central  Google Scholar 

  3. Horsthuis K, Stoker J (2004) MRI of perianal Crohn's disease. AJR Am J Roentgenol 183:1309–1315

    PubMed  Article  Google Scholar 

  4. Hildebrand H, Finkel Y, Grahnquist L et al (2003) Changing pattern of paediatric inflammatory bowel disease in northern Stockholm 1990-2001. Gut 52:1432–1434

    PubMed  Article  CAS  PubMed Central  Google Scholar 

  5. Bernstein CN, Wajda A, Svenson LW et al (2006) The epidemiology of inflammatory bowel disease in Canada: a population-based study. Am J Gastroenterol 101:1559–1568

    PubMed  Article  Google Scholar 

  6. Duigenan S, Gee MS (2012) Imaging of pediatric patients with inflammatory bowel disease. AJR Am J Roentgenol 199:907–915

    PubMed  Article  Google Scholar 

  7. Halligan S, Stoker J (2006) Imaging of fistula in ano. Radiology 239:18–33

    PubMed  Article  Google Scholar 

  8. Parks AG, Gordon PH, Hardcastle JD (1976) A classification of fistula-in-ano. Br J Surg 63:1–12

    PubMed  Article  CAS  Google Scholar 

  9. Hendrickson BA, Gokhale R, Cho JH (2002) Clinical aspects and pathophysiology of inflammatory bowel disease. Clin Microbiol Rev 15:79–94

    PubMed  Article  PubMed Central  Google Scholar 

  10. Toma P, Granata C, Magnano G et al (2007) CT and MRI of paediatric Crohn disease. Pediatr Radiol 37:1083–1092

    PubMed  Article  Google Scholar 

  11. Morris J, Spencer JA, Ambrose NS (2012) MR imaging classification of perianal fistulas and its implications for patient management. Radiographics 20:623–635, discussion 635–637

  12. Hussain SM, Outwater EK, Joekes EC et al (2000) Clinical and MR imaging features of cryptoglandular and Crohn’s fistulas and abscesses. Abdom Imaging 25:67–74

    PubMed  Article  CAS  Google Scholar 

  13. Parks AG (1961) Pathogenesis and treatment of fistula-in-ano. Br Med J 1:463–469

    PubMed  Article  CAS  PubMed Central  Google Scholar 

  14. O’Malley RB, Al-Hawary MM, Kaza RK et al (2012) Rectal imaging: part 2, perianal fistula evaluation on pelvic MRI–what the radiologist needs to know. AJR Am J Roentgenol 199:W43–W53

    PubMed  Article  Google Scholar 

  15. Szurowska EE, Wypych JJ, Izycka-Swieszewska EE (2007) Perianal fistulas in Crohn’s disease: MRI diagnosis and surgical planning: MRI in fistulazing perianal Crohn’s disease. Abdom Imaging 32:705–718

    PubMed  Article  Google Scholar 

  16. de Miguel CJ, del Salto LG, Rivas PF et al (2012) MR imaging evaluation of perianal fistulas: spectrum of imaging features. Radiographics 32:175–194

    Article  Google Scholar 

  17. Dagia C, Ditchfield M, Kean M et al (2010) Feasibility of 3-T MRI for the evaluation of Crohn disease in children. Pediatr Radiol 40:1615–1624

    PubMed  Article  Google Scholar 

  18. Barth MM, Smith MP, Pedrosa I et al (2007) Body MR imaging at 3.0 T: understanding the opportunities and challenges. Radiographics 27:1445–1462

    PubMed  Article  Google Scholar 

  19. Chang KJ, Kamel IR, Macura KJ et al (2008) 3.0-T MR imaging of the abdomen: comparison with 1.5 T1. Radiographics 28:1983–1998

    PubMed  Article  Google Scholar 

  20. Bartram C, Buchanan G (2003) Imaging anal fistula. Radiol Clin N Am 41:443–457

    PubMed  Article  Google Scholar 

  21. Hori M, Oto A, Orrin S et al (2009) Diffusion-weighted MRI: a new tool for the diagnosis of fistula in ano. J Magn Reson Imaging 30:1021–1026

    PubMed  Article  Google Scholar 

  22. Kim H, Lim JS, Choi JY et al (2010) Rectal cancer: comparison of accuracy of local-regional staging with two- and three-dimensional preoperative 3-T MR imaging. Radiology 254:485–492

    PubMed  Article  Google Scholar 

  23. Proscia N, Jaffe TA, Neville AM et al (2010) MRI of the pelvis in women: 3D versus 2D T2-weighted technique. AJR Am J Roentgenol 195:254–259

    PubMed  Article  Google Scholar 

  24. Lichy MP, Wietek BM, Mugler JP et al (2005) Magnetic resonance imaging of the body trunk using a single-slab, 3-dimensional, T2-weighted turbo-spin-echo sequence with high sampling efficiency (SPACE) for high spatial resolution imaging: initial clinical experiences. Investig Radiol 40:754–760

    Article  Google Scholar 

  25. Halligan S, Bartram CI (1998) MR imaging of fistula in ano: are endoanal coils the gold standard? AJR Am J Roentgenol 171:407–412

    PubMed  Article  CAS  Google Scholar 

  26. Barker PG, Lunniss PJ, Armstrong P et al (1994) Magnetic resonance imaging of fistula-in-ano: technique, interpretation and accuracy. Clin Radiol 49:7–13

    PubMed  Article  CAS  Google Scholar 

  27. Sahni VA, Ahmad R, Burling D (2007) Which method is best for imaging of perianal fistula? Abdom Imaging 33:26–30

    Article  Google Scholar 

  28. Guillaumin EE, Jeffrey RBR, Shea WJW et al (1986) Perirectal inflammatory disease: CT findings. Radiology 161:153–157

    PubMed  Article  CAS  Google Scholar 

  29. Yousem DM, Fishman EK, Jones B (1988) Crohn disease: perirectal and perianal findings at CT. Radiology 167:331–334

    PubMed  Article  CAS  Google Scholar 

  30. deSouza NM, Gilderdale DJ, Coutts GA et al (1998) MRI of fistula-in-ano: a comparison of endoanal coil with external phased array coil techniques. J Comput Assist Tomogr 22:357–363

    PubMed  Article  CAS  Google Scholar 

  31. Kaur H, Choi H, You YN et al (2012) MR imaging for preoperative evaluation of primary rectal cancer: practical considerations. Radiographics 32:389–409

    PubMed  Article  Google Scholar 

  32. Ajaj W, Lauenstein TC, Langhorst J et al (2005) Small bowel hydro-MR imaging for optimized ileocecal distension in Crohn’s disease: Should an additional rectal enema filling be performed? J Magn Reson Imaging 22:92–100

    PubMed  Article  Google Scholar 

  33. Hiorns MP (2008) Imaging of inflammatory bowel disease. How? Pediatr Radiol 38:512–517

    Article  Google Scholar 

  34. Spencer JA, Ward J, Beckingham IJ et al (1996) Dynamic contrast-enhanced MR imaging of perianal fistulas. AJR Am J Roentgenol 167:735–741

    PubMed  Article  CAS  Google Scholar 

  35. Shenoy-Bhangle A, Nimkin K, Goldner D et al (2013) MRI predictors of treatment response for perianal fistulizing Crohn disease in children and young adults. Pediatr Radiol 44:23–29

    PubMed  Article  Google Scholar 

  36. Beckingham IJ, Spencer JA, Ward J et al (1996) Prospective evaluation of dynamic contrast enhanced magnetic resonance imaging in the evaluation of fistula in ano. Br J Surg 83:1396–1398

    PubMed  Article  CAS  Google Scholar 

  37. Buchanan GN, Halligan S, Bartram CI et al (2004) Clinical examination, endosonography, and MR imaging in preoperative assessment of fistula in ano: comparison with outcome-based reference standard. Radiology 233:674–681

    PubMed  Article  Google Scholar 

  38. Beets-Tan RGR, Beets GLG, van der Hoop AGA et al (2000) Preoperative MR imaging of anal fistulas: Does it really help the surgeon? Radiology 218:75–84

    Article  Google Scholar 

  39. Buchanan GN, Bartram CI, Phillips RKS et al (2003) Efficacy of fibrin sealant in the management of complex anal fistula: a prospective trial. Dis Colon Rectum 46:1167–1174

    PubMed  Article  Google Scholar 

  40. Karmiris K, Bielen D, Vanbeckevoort D et al (2011) Long-term monitoring of infliximab therapy for perianal fistulizing Crohn’s disease by using magnetic resonance imaging. Clin Gastroenterol Hepatol 9:130–136. doi: 10.1016/j.cgh.2010.10.022

  41. Van Assche G, Vanbeckevoort D, Bielen D et al (2003) Magnetic resonance imaging of the effects of infliximab on perianal fistulizing crohn’s disease. Am J Gastroenterol 98:332–339

    PubMed  Article  Google Scholar 

  42. Katsanos KH, Papathanasopoulos AA, Christodoulou DK et al (2009) Perianal fistulizing Crohn’s disease: imaging modalities and therapeutic challenges. Ann Gastroenterol 22:255–262

    Google Scholar 

Download references

Acknowledgement

The authors would like to acknowledge the work of Bill Reid from the Educational Resource Centre at the Royal Children’s Hospital.

Conflicts of interest

None

Author information

Affiliations

Authors

Corresponding author

Correspondence to Gregory L. Compton.

Additional information

CME activity This article has been selected as the CME activity for the current month. Please visit the SPR Web site at http://www.pedrad.org on the Education page and follow the instructions to complete this CME activity.

Rights and permissions

Reprints and Permissions

About this article

Verify currency and authenticity via CrossMark

Cite this article

Compton, G.L., Bartlett, M. Perianal disease in pediatric Crohn disease: a review of MRI findings. Pediatr Radiol 44, 1198–1208 (2014). https://doi.org/10.1007/s00247-014-3085-y

Download citation

  • Received:

  • Revised:

  • Accepted:

  • Published:

  • Issue Date:

  • DOI: https://doi.org/10.1007/s00247-014-3085-y

Keywords

  • Magnetic resonance imaging
  • Anatomy
  • Perianal
  • Crohn disease
  • Children
  • Fistula