Skip to main content

Pre- and postnatal imaging of early cerebral damage in Sturge-Weber syndrome

Abstract

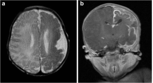
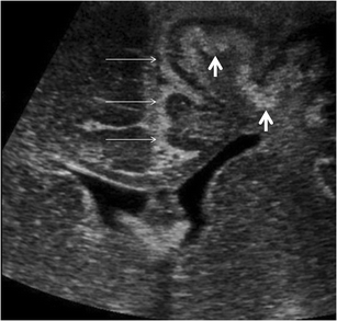
A case of prenatal diagnosis of Sturge-Weber syndrome associated with polymicrogyria is reported. The diagnosis was based on a unique association with unilateral hemispheric gyriform calcification, focal hemispheric atrophy and white matter changes on prenatal imaging including ultrasound and MRI. Polymicrogyria, which is exceptionally associated with Sturge-Weber syndrome, is suggestive of and reinforces the hypothesis of early impairment of the cerebral microvasculature related to leptomeningeal angioma, which may lead to abnormal cerebral development as early as the second trimester of pregnancy.

This is a preview of subscription content, access via your institution.

Fig. 1
Fig. 2
Fig. 3
Fig. 4
Fig. 5
Fig. 6

References

  1. Portilla P, Husson B, Lasjaunias P et al (2002) Sturge-Weber disease with repercussion on the prenatal development of the cerebral hemisphere. AJNR Am J Neuroradiol 23:490–492

    PubMed  Google Scholar 

  2. Avez-Couturier J, Auvin S, Cuisset JM et al (2006) Status epilepticus in a 2-month-old infant. Arch Pediatr 13:1525

    Article  Google Scholar 

  3. Comi AM (2006) Advances in Sturge-Weber syndrome. Curr Opin Neurol 19:124–128

    PubMed  Article  Google Scholar 

  4. Terdjman P, Aicardi J, Sainte-Rose C et al (1991) Neuroradiological findings in Sturge-Weber syndrome and isolated pial angiomatosis. Neuropediatrics 22:115–120

    PubMed  Article  CAS  Google Scholar 

  5. Adamsbaum C, Pinton F, Rolland Y et al (1996) Accelerated myelination in early Sturge-Weber syndrome: MRI-SPECT correlations. Pediatr Radiol 26:759–762

    PubMed  Article  CAS  Google Scholar 

  6. Hertz Pannier L, Laffond C, Dulac O et al (2009) Diagnostic précoce par IRM de l’angiome pial dans la maladie de Sturge Weber. J Radiol 90:1592. http://pe.sfrnet.org/ModuleConsultationPoster/posterDetail.aspx?intIdPoster=3929

    Google Scholar 

  7. Murakami N, Morioka T, Suzuki SO et al (2012) Focal cortical dysplasia type IIa underlying epileptogenesis in patients with epilepsy associated with Sturge-Weber syndrome. Epilepsia 53:e184–188

    PubMed  Article  Google Scholar 

  8. Stranzinger E, Huisman M (2007) Sturge-Weber syndrome. Early manifestation and visualization of disease course. Radiologe 47:1126–1130

    PubMed  Article  CAS  Google Scholar 

Download references

Conflicts of interest

None.

Author information

Affiliations

Authors

Corresponding author

Correspondence to Laurent Guibaud.

Rights and permissions

Reprints and Permissions

About this article

Cite this article

Cagneaux, M., Paoli, V., Blanchard, G. et al. Pre- and postnatal imaging of early cerebral damage in Sturge-Weber syndrome. Pediatr Radiol 43, 1536–1539 (2013). https://doi.org/10.1007/s00247-013-2743-9

Download citation

  • Received:

  • Revised:

  • Accepted:

  • Published:

  • Issue Date:

  • DOI: https://doi.org/10.1007/s00247-013-2743-9

Keywords

  • Sturge-Weber syndrome
  • Prenatal imaging
  • Polymicrogyria