Skip to main content

Diffusion tensor imaging and fiber tractography in brain malformations

Abstract

Diffusion tensor imaging (DTI) is an advanced MR technique that provides qualitative and quantitative information about the micro-architecture of white matter. DTI and its post-processing tool fiber tractography (FT) have been increasingly used in the last decade to investigate the microstructural neuroarchitecture of brain malformations. This article aims to review the use of DTI and FT in the evaluation of a variety of common, well-described brain malformations, in particular by pointing out the additional information that DTI and FT renders compared with conventional MR sequences. In addition, the relevant existing literature is summarized.

This is a preview of subscription content, access via your institution.

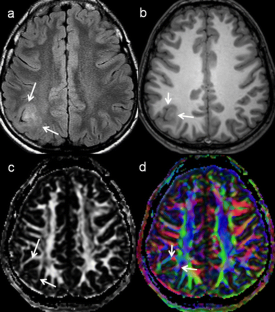
Fig. 1
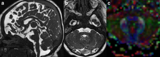
Fig. 2
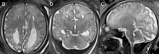
Fig. 3
Fig. 4
Fig. 5
Fig. 6
Fig. 7
Fig. 8
Fig. 9
Fig. 10
Fig. 11
Fig. 12
Fig. 13
Fig. 14
Fig. 15
Fig. 16
Fig. 17
Fig. 18
Fig. 19
Fig. 20
Fig. 21
Fig. 22
Fig. 23
Fig. 24
Fig. 25
Fig. 26
Fig. 27
Fig. 28
Fig. 29
Fig. 30
Fig. 31
Fig. 32

References

  1. Pajevic S, Pierpaoli C (1999) Color schemes to represent the orientation of anisotropic tissues from diffusion tensor data: application to white matter fiber tract mapping in the human brain. Magn Reson Med 42:526–540

    PubMed  CAS  Article  Google Scholar 

  2. Mori S, Crain BJ, Chacko VP et al (1999) Three-dimensional tracking of axonal projections in the brain by magnetic resonance imaging. Ann Neurol 45:265–269

    PubMed  CAS  Article  Google Scholar 

  3. Lee SK, Kim DI, Kim J et al (2005) Diffusion-tensor MR imaging and fiber tractography: a new method of describing aberrant fiber connections in developmental CNS anomalies. Radiographics 25:53–65

    PubMed  Article  Google Scholar 

  4. Rollins NK (2007) Clinical applications of diffusion tensor imaging and tractography in children. Pediatr Radiol 37:769–780

    PubMed  Article  Google Scholar 

  5. Wahl M, Barkovich AJ, Mukherjee P (2010) Diffusion imaging and tractography of congenital brain malformations. Pediatr Radiol 40:59–67

    PubMed  Article  Google Scholar 

  6. Chokshi FH, Poretti A, Meoded A et al (2011) Normal and abnormal development of the cerebellum and brainstem as depicted by diffusion tensor imaging. Semin Ultrasound CT MR 32:539–554

    PubMed  Article  Google Scholar 

  7. Raybaud C (2010) The corpus callosum, the other great forebrain commissures, and the septum pellucidum: anatomy, development, and malformation. Neuroradiology 52:447–477

    PubMed  Article  Google Scholar 

  8. Barkovich AJ, Norman D (1988) Anomalies of the corpus callosum: correlation with further anomalies of the brain. AJNR 9:493–501

    Google Scholar 

  9. Sztriha L (2005) Spectrum of corpus callosum agenesis. Pediatr Neurol 32:94–101

    PubMed  Article  Google Scholar 

  10. Hetts SW, Sherr EH, Chao S et al (2006) Anomalies of the corpus callosum: an MR analysis of the phenotypic spectrum of associated malformations. AJR 187:1343–1348

    PubMed  Article  Google Scholar 

  11. Aicardi J (2005) Aicardi syndrome. Brain Dev 27:164–171

    PubMed  Article  Google Scholar 

  12. Palmer L, Zetterlund B, Hard AL et al (2006) Aicardi syndrome: presentation at onset in Swedish children born in 1975-2002. Neuropediatrics 37:154–158

    PubMed  CAS  Article  Google Scholar 

  13. Hopkins B, Sutton VR, Lewis RA et al (2008) Neuroimaging aspects of Aicardi syndrome. Am J Med Genet A 146:2871–2878

    Google Scholar 

  14. Marszal E, Jamroz E, Pilch J et al (2000) Agenesis of corpus callosum: clinical description and etiology. J Child Neurol 15:401–405

    PubMed  CAS  Article  Google Scholar 

  15. Bedeschi MF, Bonaglia MC, Grasso R et al (2006) Agenesis of the corpus callosum: clinical and genetic study in 63 young patients. Pediatr Neurol 34:186–193

    PubMed  Article  Google Scholar 

  16. Schell-Apacik CC, Wagner K, Bihler M et al (2008) Agenesis and dysgenesis of the corpus callosum: clinical, genetic and neuroimaging findings in a series of 41 patients. Am J Med Genet A 146:2501–2511

    Google Scholar 

  17. Lee SK, Mori S, Kim DJ et al (2004) Diffusion tensor MR imaging visualizes the altered hemispheric fiber connection in callosal dysgenesis. AJNR 25:25–28

    PubMed  CAS  Google Scholar 

  18. Utsunomiya H, Yamashita S, Takano K et al (2006) Arrangement of fiber tracts forming Probst bundle in complete callosal agenesis: report of two cases with an evaluation by diffusion tensor tractography. Acta Radiol 47:1063–1066

    PubMed  CAS  Article  Google Scholar 

  19. Tovar-Moll F, Moll J, de Oliveira-Souza R et al (2007) Neuroplasticity in human callosal dysgenesis: a diffusion tensor imaging study. Cereb Cortex 17:531–541

    PubMed  Article  Google Scholar 

  20. Nakata Y, Barkovich AJ, Wahl M et al (2009) Diffusion abnormalities and reduced volume of the ventral cingulum bundle in agenesis of the corpus callosum: a 3 T imaging study. AJNR 30:1142–1148

    PubMed  CAS  Article  Google Scholar 

  21. Wahl M, Strominger Z, Jeremy RJ et al (2009) Variability of homotopic and heterotopic callosal connectivity in partial agenesis of the corpus callosum: a 3 T diffusion tensor imaging and Q-ball tractography study. AJNR 30:282–289

    PubMed  CAS  Article  Google Scholar 

  22. Glenn OA, Quiroz EM, Berman JI et al (2010) Diffusion-weighted imaging in fetuses with unilateral cortical malformations and callosal agenesis. AJNR 31:1100–1102

    PubMed  CAS  Article  Google Scholar 

  23. Meoded A, Poretti A, Tekes A et al (2011) Prenatal MR diffusion tractography in a fetus with complete corpus callosum agenesis. Neuropediatrics 42:122–123

    PubMed  CAS  Article  Google Scholar 

  24. Dubourg C, Bendavid C, Pasquier L et al (2007) Holoprosencephaly. Orphanet J Rare Dis 2:8

    PubMed  Article  Google Scholar 

  25. Raam MS, Solomon BD, Muenke M (2011) Holoprosencephaly: a guide to diagnosis and clinical management. Indian Pediatr 48:457–466

    PubMed  Article  Google Scholar 

  26. Dubourg C, David V, Gropman A et al (2011) Clinical utility gene card for: holoprosencephaly. Eur J Hum Genet 19:118–120

    Article  Google Scholar 

  27. Hahn JS, Plawner LL (2004) Evaluation and management of children with holoprosencephaly. Pediatr Neurol 31:79–88

    PubMed  Article  Google Scholar 

  28. Cohen MM Jr (2006) Holoprosencephaly: clinical, anatomic, and molecular dimensions. Birth Defects Res A Clin Mol Teratol 76:658–673

    PubMed  CAS  Article  Google Scholar 

  29. Levey EB, Stashinko E, Clegg NJ et al (2010) Management of children with holoprosencephaly. Am J Med Genet C Semin Med Genet 154:183–190

    Google Scholar 

  30. Simon EM, Hevner R, Pinter JD et al (2000) Assessment of the deep gray nuclei in holoprosencephaly. AJNR 21:1955–1961

    PubMed  CAS  Google Scholar 

  31. Simon EM, Hevner RF, Pinter J et al (2001) The dorsal cyst in holoprosencephaly and the role of the thalamus in its formation. Neuroradiology 43:787–791

    PubMed  CAS  Article  Google Scholar 

  32. Barkovich AJ, Simon EM, Clegg NJ et al (2002) Analysis of the cerebral cortex in holoprosencephaly with attention to the sylvian fissures. AJNR 23:143–150

    PubMed  Google Scholar 

  33. Barkovich AJ, Simon EM, Glenn OA et al (2002) MRI shows abnormal white matter maturation in classical holoprosencephaly. Neurology 59:1968–1971

    PubMed  CAS  Article  Google Scholar 

  34. Hahn JS, Barnes PD (2010) Neuroimaging advances in holoprosencephaly: refining the spectrum of the midline malformation. Am J Med Genet C Semin Med Genet 154:120–132

    Google Scholar 

  35. Rollins N (2005) Semilobar holoprosencephaly seen with diffusion tensor imaging and fiber tracking. AJNR 26:2148–2152

    PubMed  Google Scholar 

  36. Yakovlev PI (1959) Pathoarchitectonic studies of cerebral malformations. III. Arrhinencephalies (holotelencephalies). J Neuropathol Exp Neurol 18:22–55

    PubMed  CAS  Article  Google Scholar 

  37. Ortiz B, Herrera DA, Vargas S (2011) Clinical application of diffusion tensor imaging and tractography in a child with holoprosencephaly. Biomedica 31:164–167

    PubMed  Google Scholar 

  38. Albayram S, Melhem ER, Mori S et al (2002) Holoprosencephaly in children: diffusion tensor MR imaging of white matter tracts of the brainstem–initial experience. Radiology 223:645–651

    PubMed  Article  Google Scholar 

  39. Kinsman SL (2004) White matter imaging in holoprosencephaly in children. Curr Opin Neurol 17:115–119

    PubMed  Article  Google Scholar 

  40. Barkovich AJ, Quint DJ (1993) Middle interhemispheric fusion: an unusual variant of holoprosencephaly. AJNR 14:431–440

    PubMed  CAS  Google Scholar 

  41. Simon EM, Hevner RF, Pinter JD et al (2002) The middle interhemispheric variant of holoprosencephaly. AJNR 23:151–156

    PubMed  Google Scholar 

  42. Dobyns WB (2010) The clinical patterns and molecular genetics of lissencephaly and subcortical band heterotopia. Epilepsia 51(Suppl 1):5–9

    PubMed  Article  Google Scholar 

  43. Fink KR, Thapa MM, Ishak GE et al (2010) Neuroimaging of pediatric central nervous system cytomegalovirus infection. Radiographics 30:1779–1796

    PubMed  Article  Google Scholar 

  44. Jissendi-Tchofo P, Kara S, Barkovich AJ (2009) Midbrain-hindbrain involvement in lissencephalies. Neurology 72:410–418

    PubMed  Article  Google Scholar 

  45. Kara S, Jissendi Tchofo P, Barkovich AJ (2010) Developmental differences of the major forebrain commissures in lissencephalies. AJNR 31:1602–1607

    PubMed  CAS  Article  Google Scholar 

  46. Rollins N, Reyes T, Chia J (2005) Diffusion tensor imaging in lissencephaly. AJNR 26:1583–1586

    PubMed  Google Scholar 

  47. Kao YC, Peng SS, Weng WC et al (2011) Evaluation of white matter changes in agyria-pachygyria complex using diffusion tensor imaging. J Child Neurol 26:433–439

    PubMed  Article  Google Scholar 

  48. Mercuri E, Messina S, Bruno C et al (2009) Congenital muscular dystrophies with defective glycosylation of dystroglycan: a population study. Neurology 72:1802–1809

    PubMed  CAS  Article  Google Scholar 

  49. Moore SA, Saito F, Chen J et al (2002) Deletion of brain dystroglycan recapitulates aspects of congenital muscular dystrophy. Nature 418:422–425

    PubMed  CAS  Article  Google Scholar 

  50. Clement E, Mercuri E, Godfrey C et al (2008) Brain involvement in muscular dystrophies with defective dystroglycan glycosylation. Ann Neurol 64:573–582

    PubMed  CAS  Article  Google Scholar 

  51. Widjaja E, Geibprasert S, Blaser S et al (2009) Abnormal fetal cerebral laminar organization in cobblestone complex as seen on post-mortem MRI and DTI. Pediatr Radiol 39:860–864

    PubMed  Article  Google Scholar 

  52. Kato M, Dobyns WB (2003) Lissencephaly and the molecular basis of neuronal migration. Hum Mol Genet 12:R89–R96

    PubMed  CAS  Article  Google Scholar 

  53. Iannetti P, Nicita F, Spalice A et al (2011) Fiber tractography assessment in double cortex syndrome. Childs Nerv Syst 27:1197–1202

    PubMed  Article  Google Scholar 

  54. Colombo N, Salamon N, Raybaud C et al (2009) Imaging of malformations of cortical development. Epileptic Disord 11:194–205

    PubMed  Google Scholar 

  55. Blümcke I, Thom M, Aronica E et al (2011) The clinicopathologic spectrum of focal cortical dysplasias: a consensus classification proposed by an ad hoc Task Force of the ILAE diagnostic methods commission. Epilepsia 52:158–174

    PubMed  Article  Google Scholar 

  56. Raybaud C, Widjaja E (2011) Development and dysgenesis of the cerebral cortex: malformations of cortical development. Neuroimaging Clin N Am 21:483–543

    PubMed  Article  Google Scholar 

  57. Eriksson SH, Rugg-Gunn FJ, Symms MR et al (2001) Diffusion tensor imaging in patients with epilepsy and malformations of cortical development. Brain 124:617–626

    PubMed  CAS  Article  Google Scholar 

  58. Lee SK, Kim DI, Mori S et al (2004) Diffusion tensor MRI visualizes decreased subcortical fiber connectivity in focal cortical dysplasia. Neuroimage 22:1826–1829

    PubMed  Article  Google Scholar 

  59. Dumas de la Roque A, Oppenheim C, Chassoux F et al (2005) Diffusion tensor imaging of partial intractable epilepsy. Eur Radiol 15:279–285

    PubMed  Article  Google Scholar 

  60. Gross DW, Bastos A, Beaulieu C (2005) Diffusion tensor imaging abnormalities in focal cortical dysplasia. Can J Neurol Sci 32:477–482

    PubMed  Google Scholar 

  61. Widjaja E, Blaser S, Miller E et al (2007) Evaluation of subcortical white matter and deep white matter tracts in malformations of cortical development. Epilepsia 48:1460–1469

    PubMed  Article  Google Scholar 

  62. Chen Q, Lui S, Li CX et al (2008) MRI-negative refractory partial epilepsy: role for diffusion tensor imaging in high field MRI. Epilepsy Res 80:83–89

    PubMed  Article  Google Scholar 

  63. Widjaja E, Zarei Mahmoodabadi S, Otsubo H et al (2009) Subcortical alterations in tissue microstructure adjacent to focal cortical dysplasia: detection at diffusion-tensor MR imaging by using magnetoencephalographic dipole cluster localization. Radiology 251:206–215

    PubMed  Article  Google Scholar 

  64. Diehl B, Tkach J, Piao Z et al (2010) Diffusion tensor imaging in patients with focal epilepsy due to cortical dysplasia in the temporo-occipital region: electro-clinico-pathological correlations. Epilepsy Res 90:178–187

    PubMed  CAS  Article  Google Scholar 

  65. Flores-Sarnat L (2002) Hemimegalencephaly: part 1. Genetic, clinical, and imaging aspects. J Child Neurol 17:373–384

    PubMed  Article  Google Scholar 

  66. Flores-Sarnat L, Sarnat HB, Davila-Gutierrez G et al (2003) Hemimegalencephaly: part 2. Neuropathology suggests a disorder of cellular lineage. J Child Neurol 18:776–785

    PubMed  Article  Google Scholar 

  67. Hung PC, Wang HS (2005) Hemimegalencephaly: cranial sonographic findings in neonates. J Clin Ultrasound 33:243–247

    PubMed  Article  Google Scholar 

  68. Vigevano F, Bertini E, Boldrini R et al (1989) Hemimegalencephaly and intractable epilepsy: benefits of hemispherectomy. Epilepsia 30:833–843

    PubMed  CAS  Article  Google Scholar 

  69. Rintahaka PJ, Chugani HT, Messa C et al (1993) Hemimegalencephaly: evaluation with positron emission tomography. Pediatr Neurol 9:21–28

    PubMed  CAS  Article  Google Scholar 

  70. Sugarman JL (2007) Epidermal nevus syndromes. Semin Cutan Med Surg 26:221–230

    PubMed  CAS  Article  Google Scholar 

  71. Menascu S, Donner EJ (2008) Linear nevus sebaceous syndrome: case reports and review of the literature. Pediatr Neurol 38:207–210

    PubMed  Article  Google Scholar 

  72. Cohen MM Jr (2002) More on vascular malformations. Plast Reconstr Surg 109:2591–2594

    PubMed  Article  Google Scholar 

  73. Oduber CE, van der Horst CM, Hennekam RC (2008) Klippel-Trenaunay syndrome: diagnostic criteria and hypothesis on etiology. Ann Plast Surg 60:217–223

    PubMed  CAS  Article  Google Scholar 

  74. Balestri P, Vivarelli R, Grosso S et al (2003) Malformations of cortical development in neurofibromatosis type 1. Neurology 61:1799–1801

    PubMed  CAS  Article  Google Scholar 

  75. Jett K, Friedman JM (2010) Clinical and genetic aspects of neurofibromatosis 1. Genet Med 12:1–11

    PubMed  Article  Google Scholar 

  76. Payne JM, Moharir MD, Webster R et al (2010) Brain structure and function in neurofibromatosis type 1: current concepts and future directions. J Neurol Neurosurg Psychiatry 81:304–309

    PubMed  Article  Google Scholar 

  77. Cruz AA, Schirmbeck T, Pina-Neto JM et al (2002) Cicatricial upper eyelid retraction in encephalocraniocutaneous lipomatosis: a report of two cases and review of literature. Ophthal Plast Reconstr Surg 18:151–155

    PubMed  Article  Google Scholar 

  78. Moog U, Jones MC, Viskochil DH et al (2007) Brain anomalies in encephalocraniocutaneous lipomatosis. Am J Med Genet A 143:2963–2972

    Google Scholar 

  79. Moog U (2009) Encephalocraniocutaneous lipomatosis. J Med Genet 46:721–729

    PubMed  CAS  Article  Google Scholar 

  80. Dietrich RB, Glidden DE, Roth GM et al (1998) The Proteus syndrome: CNS manifestations. AJNR 19:987–990

    PubMed  CAS  Google Scholar 

  81. DeLone DR, Brown WD, Gentry LR (1999) Proteus syndrome: craniofacial and cerebral MRI. Neuroradiology 41:840–843

    PubMed  CAS  Article  Google Scholar 

  82. Biesecker L (2006) The challenges of Proteus syndrome: diagnosis and management. Eur J Hum Genet 14:1151–1157

    PubMed  Article  Google Scholar 

  83. Chapman K, Cardenas JF (2008) Hemimegalencephaly in a patient with a neurocutaneous syndrome. Semin Pediatr Neurol 15:190–193

    PubMed  Article  Google Scholar 

  84. Ruggieri M, Pavone L (2000) Hypomelanosis of Ito: clinical syndrome or just phenotype? J Child Neurol 15:635–644

    PubMed  CAS  Article  Google Scholar 

  85. Galluzzi P, Cerase A, Strambi M et al (2002) Hemimegalencephaly in tuberous sclerosis complex. J Child Neurol 17:677–680

    PubMed  Article  Google Scholar 

  86. Curatolo P, Bombardieri R, Jozwiak S (2008) Tuberous sclerosis. Lancet 372:657–668

    PubMed  CAS  Article  Google Scholar 

  87. Calzolari F, Chirico M, Tamisari L et al (1996) Hemimegalencephaly associated with somatic hemihypertrophy and a malformation of the feet: case report. Neuroradiology 38:367–370

    PubMed  CAS  Article  Google Scholar 

  88. Sener RN (1997) MR demonstration of cerebral hemimegalencephaly associated with cerebellar involvement (total hemimegalencephaly). Comput Med Imaging Graph 21:201–204

    PubMed  CAS  Article  Google Scholar 

  89. Di Rocco F, Novegno F, Tamburrini G et al (2001) Hemimegalencephaly involving the cerebellum. Pediatr Neurosurg 35:274–276

    PubMed  Article  Google Scholar 

  90. Abdelhalim AN, Moritani T, Richfield E et al (2003) Epidermal nevus syndrome: megalencephaly with bihemispheric and cerebellar involvement: imaging and neuropathologic correlation. J Comput Assist Tomogr 27:534–537

    PubMed  Article  Google Scholar 

  91. Sato N, Yagishita A, Oba H et al (2007) Hemimegalencephaly: a study of abnormalities occurring outside the involved hemisphere. AJNR 28:678–682

    PubMed  CAS  Google Scholar 

  92. Wintermark P, Roulet-Perez E, Maeder-Ingvar M et al (2009) Perfusion abnormalities in hemimegalencephaly. Neuropediatrics 40:92–96

    PubMed  CAS  Article  Google Scholar 

  93. Wolpert SM, Cohen A, Libenson MH (1994) Hemimegalencephaly: a longitudinal MR study. AJNR 15:1479–1482

    PubMed  CAS  Google Scholar 

  94. Herman TE, Siegel MJ (2001) Hemimegalencephaly and linear nevus sebaceous syndrome. J Perinatol 21:336–338

    PubMed  CAS  Article  Google Scholar 

  95. Yagishita A, Arai N, Tamagawa K et al (1998) Hemimegalencephaly: signal changes suggesting abnormal myelination on MRI. Neuroradiology 40:734–738

    PubMed  CAS  Article  Google Scholar 

  96. Griffiths PD, Welch RJ, Gardner-Medwin D et al (1994) The radiological features of hemimegalencephaly including three cases associated with proteus syndrome. Neuropediatrics 25:140–144

    PubMed  CAS  Article  Google Scholar 

  97. Sato N, Ota M, Yagishita A et al (2008) Aberrant midsagittal fiber tracts in patients with hemimegalencephaly. AJNR 29:823–827

    PubMed  CAS  Article  Google Scholar 

  98. Takahashi T, Sato N, Ota M et al (2009) Asymmetrical interhemispheric fiber tracts in patients with hemimegalencephaly on diffusion tensor magnetic resonance imaging. J Neuroradiol 36:249–254

    PubMed  CAS  Article  Google Scholar 

  99. Juranek J, Salman MS (2010) Anomalous development of brain structure and function in spina bifida myelomeningocele. Dev Disabil Res Rev 16:23–30

    PubMed  Article  Google Scholar 

  100. Stevenson KL (2004) Chiari type II malformation: past, present, and future. Neurosurg Focus 16:5

    Article  Google Scholar 

  101. Miller E, Widjaja E, Blaser S et al (2008) The old and the new: supratentorial MR findings in Chiari II malformation. Childs Nerv Syst 24:563–575

    PubMed  Article  Google Scholar 

  102. Hasan KM, Eluvathingal TJ, Kramer LA et al (2008) White matter microstructural abnormalities in children with spina bifida myelomeningocele and hydrocephalus: a diffusion tensor tractography study of the association pathways. J Magn Reson Imaging 27:700–709

    PubMed  Article  Google Scholar 

  103. Ou X, Glasier CM, Snow JH (2011) Diffusion tensor imaging evaluation of white matter in adolescents with myelomeningocele and Chiari II malformation. Pediatr Radiol 41:1407–1415

    PubMed  Article  Google Scholar 

  104. Kumar M, Srivastava A, Agarwal S et al (2011) Cognitive functions correlate with diffusion tensor imaging metrics in patients with spina bifida cystica. Childs Nerv Syst 27:723–728

    PubMed  Article  Google Scholar 

  105. Herweh C, Akbar M, Wengenroth M et al (2009) DTI of commissural fibers in patients with Chiari II-malformation. Neuroimage 44:306–311

    PubMed  CAS  Article  Google Scholar 

  106. Vachha B, Adams RC, Rollins NK (2006) Limbic tract anomalies in pediatric myelomeningocele and Chiari II malformation: anatomic correlations with memory and learning—initial investigation. Radiology 240:194–202

    PubMed  Article  Google Scholar 

  107. Herweh C, Akbar M, Wengenroth M et al (2010) Reduced anisotropy in the middle cerebellar peduncle in Chiari-II malformation. Cerebellum 9:303–309

    PubMed  Article  Google Scholar 

  108. Parisi MA, Dobyns WB (2003) Human malformations of the midbrain and hindbrain: review and proposal classification scheme. Mol Genet Metab 80:36–53

    PubMed  CAS  Article  Google Scholar 

  109. Leonardi ML, Pai GS, Wilkes B et al (2001) Ritscher-Schinzel cranio-cerebello-cardiac (3 C) syndrome: report of four new cases and review. Am J Med Genet 102:237–242

    PubMed  CAS  Article  Google Scholar 

  110. Rossi A, Bava GL, Biancheri R et al (2001) Posterior fossa and arterial abnormalities in patients with facial capillary haemangioma: presumed incomplete phenotypic expression of PHACES syndrome. Neuroradiology 43:934–940

    PubMed  CAS  Article  Google Scholar 

  111. Grinberg I, Millen KJ (2005) The ZIC gene family in development and disease. Clin Genet 67:290–296

    PubMed  CAS  Article  Google Scholar 

  112. Aldinger KA, Lehmann OJ, Hudgins L et al (2009) FOXC1 is required for normal cerebellar development and is a major contributor to chromosome 6p25.3 Dandy-Walker malformation. Nat Genet 41:1037–1042

    PubMed  CAS  Article  Google Scholar 

  113. Zanni G, Barresi S, Travaglini L et al (2011) FGF17, a gene involved in cerebellar development, is downregulated in a patient with Dandy-Walker malformation carrying a de novo 8p deletion. Neurogenetics 12:241–245

    PubMed  CAS  Article  Google Scholar 

  114. Kumar R, Kumar Jain M, Kumar Chhabra D (2001) Dandy-Walker syndrome: different modalities of treatment and outcome in 42 cases. Childs Nerv Syst 17:348–352

    PubMed  CAS  Article  Google Scholar 

  115. Alexiou GA, Sfakianos G, Prodromou N (2010) Dandy-Walker malformation: analysis of 19 cases. J Child Neurol 25:188–191

    PubMed  Article  Google Scholar 

  116. Bolduc ME, Limperopoulos C (2009) Neurodevelopmental outcomes in children with cerebellar malformations: a systematic review. Dev Med Child Neurol 51:256–267

    PubMed  Article  Google Scholar 

  117. Bolduc ME, Du Plessis AJ, Sullivan N et al (2011) Spectrum of neurodevelopmental disabilities in children with cerebellar malformations. Dev Med Child Neurol 53:409–416

    PubMed  Article  Google Scholar 

  118. Boddaert N, Klein O, Ferguson N et al (2003) Intellectual prognosis of the Dandy-Walker malformation in children: the importance of vermian lobulation. Neuroradiology 45:320–324

    PubMed  CAS  Google Scholar 

  119. Barkovich AJ, Kjos BO, Norman D et al (1989) Revised classification of posterior fossa cysts and cystlike malformations based on the results of multiplanar MR imaging. AJR 153:1289–1300

    PubMed  CAS  Google Scholar 

  120. Klein O, Pierre-Kahn A, Boddaert N et al (2003) Dandy-Walker malformation: prenatal diagnosis and prognosis. Childs Nerv Syst 19:484–489

    PubMed  CAS  Article  Google Scholar 

  121. Mohanty A, Biswas A, Satish S et al (2006) Treatment options for Dandy-Walker malformation. J Neurosurg 105(5 Suppl Pediatrics):348–356

    PubMed  Google Scholar 

  122. Parisi MA, Doherty D, Chance PF et al (2007) Joubert syndrome (and related disorders) (OMIM 213300). Eur J Hum Genet 15:511–521

    PubMed  CAS  Article  Google Scholar 

  123. Doherty D (2009) Joubert syndrome: insights into brain development, cilium biology, and complex disease. Semin Pediatr Neurol 16:143–154

    PubMed  Article  Google Scholar 

  124. Parisi MA (2009) Clinical and molecular features of Joubert syndrome and related disorders. Am J Med Genet C Semin Med Genet 151:326–340

    Google Scholar 

  125. Brancati F, Dallapiccola B, Valente EM (2010) Joubert syndrome and related disorders. Orphanet J Rare Dis 5:20

    PubMed  Article  Google Scholar 

  126. Poretti A, Dietrich Alber F, Brancati F et al (2009) Normal cognitive functions in Joubert syndrome. Neuropediatrics 40:287–290

    PubMed  CAS  Article  Google Scholar 

  127. Dafinger C, Liebau MC, Elsayed SM et al (2011) Mutations in KIF7 link Joubert syndrome with sonic hedgehog signaling and microtubule dynamics. J Clin Invest 121:2662–2667

    PubMed  CAS  Article  Google Scholar 

  128. Garcia-Gonzalo FR, Corbit KC, Sirerol-Piquer MS et al (2011) A transition zone complex regulates mammalian ciliogenesis and ciliary membrane composition. Nat Genet 43:776–784

    PubMed  CAS  Article  Google Scholar 

  129. Sang L, Miller JJ, Corbit KC et al (2011) Mapping the NPHP-JBTS-MKS protein network reveals ciliopathy disease genes and pathways. Cell 145:513–528

    PubMed  CAS  Article  Google Scholar 

  130. Lee JE, Silhavy JL, Zaki MS et al (2012) CEP41 is mutated in Joubert syndrome and is required for tubulin glutamylation at the cilium. Nat Genet 44:193–199

    PubMed  CAS  Article  Google Scholar 

  131. Lee JH, Silhavy JL, Lee JE et al (2012) Evolutionarily assembled cis-regulatory module at a human ciliopathy locus. Science 335:966–969

    PubMed  CAS  Article  Google Scholar 

  132. Hildebrandt F, Benzing T, Katsanis N (2011) Ciliopathies. N Engl J Med 364:1533–1543

    PubMed  CAS  Article  Google Scholar 

  133. Cardenas-Rodriguez M, Badano JL (2009) Ciliary biology: understanding the cellular and genetic basis of human ciliopathies. Am J Med Genet C Semin Med Genet 151:263–280

    Google Scholar 

  134. Goetz SC, Anderson KV (2010) The primary cilium: a signalling centre during vertebrate development. Nat Rev Genet 11:331–344

    PubMed  CAS  Article  Google Scholar 

  135. Maria BL, Hoang KB, Tusa RJ et al (1997) ‘Joubert syndrome’ revisited: key ocular motor signs with magnetic resonance imaging correlation. J Child Neurol 12:423–430

    PubMed  CAS  Article  Google Scholar 

  136. Maria BL, Quisling RG, Rosainz LC et al (1999) Molar tooth sign in Joubert syndrome: clinical, radiologic, and pathologic significance. J Child Neurol 14:368–376

    PubMed  CAS  Article  Google Scholar 

  137. Quisling RG, Barkovich AJ, Maria BL (1999) Magnetic resonance imaging features and classification of central nervous system malformations in Joubert syndrome. J Child Neurol 14:628–635

    PubMed  CAS  Article  Google Scholar 

  138. Gleeson JG, Keeler LC, Parisi MA et al (2004) Molar tooth sign of the midbrain-hindbrain junction: occurrence in multiple distinct syndromes. Am J Med Genet A 125:125–134

    Article  Google Scholar 

  139. Poretti A, Huisman TA, Scheer I et al (2011) Joubert syndrome and related disorders: spectrum of neuroimaging findings in 75 patients. AJNR 32:1459–1463

    PubMed  CAS  Article  Google Scholar 

  140. Alorainy IA, Sabir S, Seidahmed MZ et al (2006) Brain stem and cerebellar findings in Joubert syndrome. J Comput Assist Tomogr 30:116–121

    PubMed  Article  Google Scholar 

  141. Senocak EU, Oguz KK, Haliloglu G et al (2010) Structural abnormalities of the brain other than molar tooth sign in Joubert syndrome-related disorders. Diagn Interv Radiol 16:3–6

    PubMed  Google Scholar 

  142. Putoux A, Thomas S, Coene KL et al (2011) KIF7 mutations cause fetal hydrolethalus and acrocallosal syndromes. Nat Genet 43:601–606

    PubMed  CAS  Article  Google Scholar 

  143. Bachmann-Gagescu R, Ishak GE, Dempsey JC et al (2012) Genotype-phenotype correlation in CC2D2A-related Joubert syndrome reveals an association with ventriculomegaly and seizures. J Med Genet 49:126–137

    PubMed  CAS  Article  Google Scholar 

  144. Poretti A, Brehmer U, Scheer I et al (2008) Prenatal and neonatal MR imaging findings in oral-facial-digital syndrome type VI. AJNR 29:1090–1091

    PubMed  CAS  Article  Google Scholar 

  145. Takanashi J, Tada H, Ozaki H et al (2009) Malformations of cerebral cortical development in oral-facial-digital syndrome type VI. AJNR 30:E22–23

    PubMed  CAS  Article  Google Scholar 

  146. Poretti A, Vitiello G, Hennekam RC et al (2012) Delineation and diagnostic criteria of oral-facial-digital syndrome type VI. Orphanet J Rare Dis 7:4

    PubMed  Article  Google Scholar 

  147. Widjaja E, Blaser S, Raybaud C (2006) Diffusion tensor imaging of midline posterior fossa malformations. Pediatr Radiol 36:510–517

    PubMed  Article  Google Scholar 

  148. Poretti A, Boltshauser E, Loenneker T et al (2007) Diffusion tensor imaging in Joubert syndrome. AJNR 28:1929–1933

    PubMed  CAS  Article  Google Scholar 

  149. Friede RL, Boltshauser E (1978) Uncommon syndromes of cerebellar vermis aplasia. I: Joubert syndrome. Dev Med Child Neurol 20:758–763

    PubMed  CAS  Article  Google Scholar 

  150. Yachnis AT, Rorke LB (1999) Neuropathology of Joubert syndrome. J Child Neurol 14:655–659, discussion 669-672

    PubMed  CAS  Article  Google Scholar 

  151. Ferland RJ, Eyaid W, Collura RV et al (2004) Abnormal cerebellar development and axonal decussation due to mutations in AHI1 in Joubert syndrome. Nat Genet 36:1008–1013

    PubMed  CAS  Article  Google Scholar 

  152. Engle EC (2010) Human genetic disorders of axon guidance. Cold Spring Harb Perspect Biol 2:a001784

    PubMed  Article  CAS  Google Scholar 

  153. Lee JH, Gleeson JG (2010) The role of primary cilia in neuronal function. Neurobiol Dis 38:167–172

    PubMed  CAS  Article  Google Scholar 

  154. Friede RL (1978) Uncommon syndromes of cerebellar vermis aplasia. II: Tecto-cerebellar dysraphia with occipital encephalocele. Dev Med Child Neurol 20:764–772

    PubMed  CAS  Article  Google Scholar 

  155. Demaerel P, Kendall BE, Wilms G et al (1995) Uncommon posterior cranial fossa anomalies: MRI with clinical correlation. Neuroradiology 37:72–76

    PubMed  CAS  Article  Google Scholar 

  156. Komiyama A, Toda H, Johkura K et al (1999) Pretectal pseudobobbing associated with an expanding posterior fossa cyst in tectocerebellar dysraphia: an electro-oculographic study. J Neurol 246:221–223

    PubMed  CAS  Article  Google Scholar 

  157. Dehdashti AR, Abdouzeid H, Momjian S et al (2004) Occipital extra- and intracranial lipoencephalocele associated with tectocerebellar dysraphia. Childs Nerv Syst 20:225–228

    PubMed  Article  Google Scholar 

  158. Krishnamurthy S, Kapoor S, Sharma V et al (2008) Tectocerebellar dysraphia and occipital encephalocele: an unusual association with abdominal situs inversus and congenital heart disease. Indian J Pediatr 75:1178–1180

    PubMed  Article  Google Scholar 

  159. Poretti A, Singhi S, Huisman TA et al (2011) Tecto-cerebellar dysraphism with occipital encephalocele: not a distinct disorder, but part of the Joubert syndrome spectrum? Neuropediatrics 42:170–174

    PubMed  CAS  Article  Google Scholar 

  160. Toelle SP, Yalcinkaya C, Kocer N et al (2002) Rhombencephalosynapsis: clinical findings and neuroimaging in 9 children. Neuropediatrics 33:209–214

    PubMed  CAS  Article  Google Scholar 

  161. Poretti A, Alber FD, Burki S et al (2009) Cognitive outcome in children with rhombencephalosynapsis. Eur J Paediatr Neurol 13:28–33

    PubMed  Article  Google Scholar 

  162. Poretti A, Bartholdi D, Gobara S et al (2008) Gómez-López-Hernández syndrome: an easily missed diagnosis. Eur J Med Genet 51:197–208

    PubMed  Article  Google Scholar 

  163. Sukhudyan B, Jaladyan V, Melikyan G et al (2010) Gómez-López-Hernández syndrome: reappraisal of the diagnostic criteria. Eur J Pediatr 169:1523–1528

    PubMed  Article  Google Scholar 

  164. Dill P, Poretti A, Boltshauser E et al (2009) Fetal magnetic resonance imaging in midline malformations of the central nervous system and review of the literature. J Neuroradiol 36:138–146

    PubMed  CAS  Article  Google Scholar 

  165. Barth PG (1993) Pontocerebellar hypoplasias. An overview of a group of inherited neurodegenerative disorders with fetal onset. Brain Dev 15:411–422

    PubMed  CAS  Article  Google Scholar 

  166. Barth PG, Blennow G, Lenard HG et al (1995) The syndrome of autosomal recessive pontocerebellar hypoplasia, microcephaly, and extrapyramidal dyskinesia (pontocerebellar hypoplasia type 2): compiled data from 10 pedigrees. Neurology 45:311–317

    PubMed  CAS  Article  Google Scholar 

  167. Maricich SM, Aqeeb KA, Moayedi Y et al (2011) Pontocerebellar hypoplasia: review of classification and genetics, and exclusion of several genes known to be important for cerebellar development. J Child Neurol 26:288–294

    PubMed  Article  Google Scholar 

  168. Namavar Y, Barth PG, Poll-The BT et al (2011) Classification, diagnosis and potential mechanisms in pontocerebellar hypoplasia. Orphanet J Rare Dis 6:50

    PubMed  Article  Google Scholar 

  169. Namavar Y, Barth PG, Kasher PR et al (2011) Clinical, neuroradiological and genetic findings in pontocerebellar hypoplasia. Brain 134:143–156

    PubMed  Article  Google Scholar 

  170. Barth PG, Majoie CB, Caan MW et al (2007) Pontine tegmental cap dysplasia: a novel brain malformation with a defect in axonal guidance. Brain 130:2258–2266

    PubMed  Article  Google Scholar 

  171. Jissendi-Tchofo P, Doherty D, McGillivray G et al (2009) Pontine tegmental cap dysplasia: MR imaging and diffusion tensor imaging features of impaired axonal navigation. AJNR 30:113–119

    PubMed  CAS  Article  Google Scholar 

  172. Rauscher C, Poretti A, Neuhann TM et al (2009) Pontine tegmental cap dysplasia: the severe end of the clinical spectrum. Neuropediatrics 40:43–46

    PubMed  CAS  Article  Google Scholar 

  173. Bacciu A, Ormitti F, Pasanisi E et al (2010) Cochlear implantation in pontine tegmental cap dysplasia. J Child Neurol 74:962–966

    Google Scholar 

  174. Briguglio M, Pinelli L, Giordano L et al (2011) Pontine tegmental cap dysplasia: developmental and cognitive outcome in three adolescent patients. Orphanet J Rare Dis 6:36

    PubMed  Article  Google Scholar 

  175. Desai NK, Young L, Miranda MA et al (2011) Pontine tegmental cap dysplasia: the neurootologic perspective. Otolaryngol Head Neck Surg 145:992–998

    PubMed  Article  Google Scholar 

  176. Dickson BJ (2002) Molecular mechanisms of axon guidance. Science 298:1959–1964

    PubMed  CAS  Article  Google Scholar 

  177. Chilton JK (2006) Molecular mechanisms of axon guidance. Dev Biol 292:13–24

    PubMed  CAS  Article  Google Scholar 

  178. Bashaw GJ, Klein R (2010) Signaling from axon guidance receptors. Cold Spring Harb Perspect Biol 2:a001941

    PubMed  Article  CAS  Google Scholar 

  179. Amoiridis G, Tzagournissakis M, Christodoulou P et al (2006) Patients with horizontal gaze palsy and progressive scoliosis due to ROBO3 E319K mutation have both uncrossed and crossed central nervous system pathways and perform normally on neuropsychological testing. J Neurol Neurosurg Psychiatry 77:1047–1053

    PubMed  CAS  Article  Google Scholar 

  180. Bosley TM, Oystreck DT, Robertson RL et al (2006) Neurological features of congenital fibrosis of the extraocular muscles type 2 with mutations in PHOX2A. Brain 129:2363–2374

    PubMed  Article  Google Scholar 

  181. Jen JC, Chan WM, Bosley TM et al (2004) Mutations in a human ROBO gene disrupt hindbrain axon pathway crossing and morphogenesis. Science 304:1509–1513

    PubMed  CAS  Article  Google Scholar 

  182. Woods CG (2004) Neuroscience. Crossing the midline. Science 304:1455–1456

    PubMed  CAS  Article  Google Scholar 

  183. Tamada A, Kumada T, Zhu Y et al (2008) Crucial roles of Robo proteins in midline crossing of cerebellofugal axons and lack of their up-regulation after midline crossing. Neural Dev 3:29

    PubMed  Article  CAS  Google Scholar 

  184. Rossi A, Catala M, Biancheri R et al (2004) MR imaging of brain-stem hypoplasia in horizontal gaze palsy with progressive scoliosis. AJNR 25:1046–1048

    PubMed  Google Scholar 

  185. dos Santos AV, Matias S, Saraiva P et al (2006) MR imaging features of brain stem hypoplasia in familial horizontal gaze palsy and scoliosis. AJNR 27:1382–1383

    PubMed  Google Scholar 

  186. Bomfim RC, Tavora DG, Nakayama M et al (2009) Horizontal gaze palsy with progressive scoliosis: CT and MR findings. Pediatr Radiol 39:184–187

    PubMed  Article  Google Scholar 

  187. Haller S, Wetzel SG, Lutschg J (2008) Functional MRI, DTI and neurophysiology in horizontal gaze palsy with progressive scoliosis. Neuroradiology 50:453–459

    PubMed  Article  Google Scholar 

  188. Avadhani A, Ilayaraja V, Shetty AP et al (2010) Diffusion tensor imaging in horizontal gaze palsy with progressive scoliosis. Magn Reson Imaging 28:212–216

    PubMed  Article  Google Scholar 

  189. Sicotte NL, Salamon G, Shattuck DW et al (2006) Diffusion tensor MRI shows abnormal brainstem crossing fibers associated with ROBO3 mutations. Neurology 67:519–521

    PubMed  CAS  Article  Google Scholar 

  190. Barkovich AJ, Millen KJ, Dobyns WB (2007) A developmental classification of malformations of the brainstem. Ann Neurol 62:625–639

    PubMed  Article  Google Scholar 

  191. Barkovich AJ, Millen KJ, Dobyns WB (2009) A developmental and genetic classification for midbrain-hindbrain malformations. Brain 132:3199–3230

    PubMed  Article  Google Scholar 

  192. Poretti A, Boltshauser E, Plecko B (2007) Brainstem disconnection: case report and review of the literature. Neuropediatrics 38:210–212

    PubMed  CAS  Article  Google Scholar 

  193. Moog U, Jones MC, Bird LM et al (2005) Oculocerebrocutaneous syndrome: the brain malformation defines a core phenotype. J Med Genet 42:913–921

    PubMed  CAS  Article  Google Scholar 

  194. Sellick GS, Barker KT, Stolte-Dijkstra I et al (2004) Mutations in PTF1A cause pancreatic and cerebellar agenesis. Nat Genet 36:1301–1305

    PubMed  CAS  Article  Google Scholar 

  195. Singhi S, Ishman S, Oaks J et al (2010) Inferior pontine segmentation abnormality in a child with sensorineural deafness: DTI analysis of fiber tracts. J Neuroradiol 38:62–65

    PubMed  Google Scholar 

  196. Meoded A, Poretti A, Dzirasa L et al (2012) Aberrant course of the cortico-spinal tracts in the brainstem revealed by DTI/tractography. Neurographics (in press)

  197. Ciccarelli O, Catani M, Johansen-Berg H et al (2008) Diffusion-based tractography in neurological disorders: concepts, applications, and future developments. Lancet Neurol 7:715–727

    PubMed  Article  Google Scholar 

Download references

Acknowledgments

Dr. Poretti was supported financially by the Anna Mueller Grocholswi-Foundation, Zurich, Switzerland.

Author information

Affiliations

Authors

Corresponding author

Correspondence to Thierry A. G. M. Huisman.

Rights and permissions

Reprints and Permissions

About this article

Cite this article

Poretti, A., Meoded, A., Rossi, A. et al. Diffusion tensor imaging and fiber tractography in brain malformations. Pediatr Radiol 43, 28–54 (2013). https://doi.org/10.1007/s00247-012-2428-9

Download citation

  • Received:

  • Accepted:

  • Published:

  • Issue Date:

  • DOI: https://doi.org/10.1007/s00247-012-2428-9

Keywords

  • MRI
  • Diffusion tensor imaging
  • Fiber tractography
  • Brain malformations
  • Children