Skip to main content

A retrospective review of pituitary MRI findings in children on growth hormone therapy

Abstract

Background

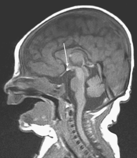
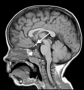
Patients with congenital hypopituitarism might have the classic triad of pituitary stalk interruption syndrome, which consists of: (1) an interrupted or thin pituitary stalk, (2) an absent or ectopic posterior pituitary (EPP), and (3) anterior pituitary hypoplasia or aplasia.

Objective

To examine the relationship between pituitary anatomy and the degree of hormonal dysfunction.

Materials and methods

This study involved a retrospective review of MRI findings in all children diagnosed with congenital growth hormone deficiency from 1988 to 2010 at a tertiary-level pediatric hospital.

Results

Of the 52 MRIs reviewed in 52 children, 26 children had normal pituitary anatomy and 26 had one or more elements of the classic triad. Fourteen of fifteen children with multiple pituitary hormone deficiencies had structural anomalies on MRI. Twelve of 37 children with isolated growth hormone deficiency had an abnormal MRI.

Conclusion

Children with multiple pituitary hormone deficiencies were more likely to have the classic triad than children with isolated growth hormone deficiency. A normal MRI was the most common finding in children with isolated growth hormone deficiency.

This is a preview of subscription content, access via your institution.

Fig. 1
Fig. 2
Fig. 3
Fig. 4
Fig. 5

References

  1. Beukhof CM, Lequin MH, Drop ST (2007) The classic triad and variants. In: Deal C (ed) MRI in congenital hypopituitarism. Lilly Genesis References Series, Chicago, pp 69–80

    Google Scholar 

  2. Maghnie M, Triulzi F, Larizza D et al (1991) Hypothalamic-pituitary dysfunction in growth hormone-deficient patients with pituitary abnormalities. J Clin Endo Metab 73:79–83

    Article  CAS  Google Scholar 

  3. Abrahams JJ, Trefelner E, Boulware SD (1991) Idiopathic growth hormone deficiency: MR findings in 35 patients. AJNR 12:155–160

    PubMed  CAS  Google Scholar 

  4. Hamilton J, Chitayat D, Blaser S et al (1998) Familial growth hormone deficiency associated with MRI abnormalities. Am J Med Genetics 80:128–132

    Article  CAS  Google Scholar 

  5. Argyropoulou M, Perignon F, Brauner R et al (1992) Magnetic resonance imaging in the diagnosis of growth hormone deficiency. J Pediatr 20:886–891

    Google Scholar 

  6. Delman BN (2009) Imaging of pediatric pituitary abnormalities. Endocrinol Metab Clin N Am 38:673–698

    Article  CAS  Google Scholar 

  7. Delman BN, Fatterpekar GM, Law M et al (2008) Neuroimaging for the pediatric endocrinologist. Pediatr Endocrinol Rev 5:708–719

    PubMed  Google Scholar 

  8. Ouyang T, Rothfus WE, Ng JM et al (2011) Imaging of the pituitary. Radiol Clin N Am 49:549–571

    PubMed  Article  Google Scholar 

  9. Hayakawa K, Konishi Y, Matsuda T et al (1989) Development and aging of brain midline structures: assessment with MR imaging. Radiology 172:171–177

    PubMed  CAS  Google Scholar 

  10. Elster AD, Chen MY, Williams DW III et al (1990) Pituitary gland: MR imaging of physiologic hypertrophy in adolescence. Radiology 174:681–685

    PubMed  CAS  Google Scholar 

  11. Argyropoulou M, Perignon F, Brunelle F et al (1991) Height of normal pituitary gland as a function of age evaluated by magnetic resonance imaging in children. Pediatr Radiol 21:247–249

    PubMed  Article  CAS  Google Scholar 

  12. Fink AM, Vidmar S, Kumbla S et al (2005) Age-related pituitary volumes in prepubertal children with normal endocrine function: volumetric magnetic resonance data. J Clin Endocrinol Metab 90:3274–3278

    PubMed  Article  CAS  Google Scholar 

  13. Rupp D, Molitch M (2008) Pituitary stalk lesions. Curr Opin Endocrinol Diabetes Obes 15:339–345

    PubMed  Article  Google Scholar 

Download references

Acknowledgements

This work was presented at the following meetings: the Endocrine Society Meeting, June 2010, San Diego, CA, USA (poster); the Canadian Pediatric Endocrine Group Meeting, February 2011, Toronto, Canada (oral presentation); and the European Society of Pediatric Radiology Meeting, June 2010, Bordeaux, France (oral presentation).

We would like to thank Dr. Margaret Lawson for assisting with generation of research questions, Ms. Brenda Fraser, RN, for assistance with the patient database, and Dr. Jeffrey Tsai for review of manuscript.

Author information

Affiliations

Authors

Corresponding author

Correspondence to Sarah L. Tsai.

Rights and permissions

Reprints and Permissions

About this article

Cite this article

Tsai, S.L., Laffan, E. & Lawrence, S. A retrospective review of pituitary MRI findings in children on growth hormone therapy. Pediatr Radiol 42, 799–804 (2012). https://doi.org/10.1007/s00247-012-2349-7

Download citation

  • Received:

  • Revised:

  • Accepted:

  • Published:

  • Issue Date:

  • DOI: https://doi.org/10.1007/s00247-012-2349-7

Keywords

  • Pituitary MRI
  • Hypopituitarism
  • Congenital growth hormone deficiency
  • Classic triad