Abstract
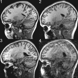
A new technique for prospectively correcting head motion (called PROMO) during acquisition of high-resolution MRI scans has been developed to reduce motion artifacts. To evaluate the efficacy of PROMO, four T1-weighted image volumes (two with PROMO enabled, two uncorrected) were acquired for each of nine children. A radiologist, blind to whether PROMO was used, rated image quality and artifacts on all sagittal slices of every volume. These ratings were significantly better in scans collected with PROMO relative to those collected without PROMO (Mann-Whitney U test, P < 0.0001). The use of PROMO, especially in motion-prone patients, should improve the accuracy of measurements made for clinical care and research, and potentially reduce the need for sedation in children.
This is a preview of subscription content, access via your institution.



References
- 1.
Hubbard A, Markowitz RI, Kimmel B, et al (1992) Sedation for pediatric patients undergoing CT and MRI. J Comput Assist Tomogr 16:3–6
- 2.
Sanborn P, Michna E, Zurakowski D, et al (2005) Adverse cardiovascular and respiratory events during sedation of pediatric patients for imaging examinations. Radiology 237:288–294
- 3.
Shankaranarayanan A, Roddey C, White NS, et al (2007) Motion insensitive 3D imaging using a novel real-time image-based 3D PROspective MOtion Correction Method (3D PROMO). ISMRM, Germany
- 4.
Brown TT, Kuperman JM, Erhart MJ, et al (2010) Prospective motion correction of high-resolution magnetic resonance imaging data in children. Neuroimage 53:139–145
- 5.
Gelb A (1974) Applied optimal estimation. MIT, Cambridge
- 6.
White NS, Shankaranarayanan A, Han ET (2007) Prospective motion correction using nonlinear predictive filtering. ISMRM, Germany
- 7.
White NS, Roddey C, Shankaranarayanan A (2010) PROMO: real-time prospective motion correction in MRI using image-based tracking. Magn Reson Med 63:91–105
- 8.
Roddey C, Shankaranarayanan A, Han ET (2008) Motion insensitive imaging using 3D PROspective MOtion (PROMO) correction with region-of-interest tracking. ISMRM, Canada
Acknowledgements
The authors would like to thank the children and parents who volunteered to participate in this study, which was supported by grants from the National Institutes of Health Specialized Neuroscience Research Programs (U54 NS056883), the National Institute on Drug Abuse (RC2 DA029475), the National Institute of Neurological Disorders and Stroke (P50 NS022343), support from General Electric, and by a fellowship from the UCSD Institute for Neural Computation.
Author information
Affiliations
Corresponding author
Rights and permissions
About this article
Cite this article
Kuperman, J.M., Brown, T.T., Ahmadi, M.E. et al. Prospective motion correction improves diagnostic utility of pediatric MRI scans. Pediatr Radiol 41, 1578–1582 (2011). https://doi.org/10.1007/s00247-011-2205-1
Received:
Revised:
Accepted:
Published:
Issue Date:
Keywords
- Motion correction
- Head motion
- MRI
- Children