Skip to main content

Reducing abdominal CT radiation dose with the adaptive statistical iterative reconstruction technique in children: a feasibility study

Abstract

Backgound

The use of the adaptive statistical iterative reconstruction (ASIR) algorithm has been shown to reduce radiation doses in adults undergoing abdominal CT studies while preserving image quality. To our knowledge, no studies have been done to validate the use of ASIR in children.

Objective

To retrospectively evaluate differences in radiation dose and image quality in pediatric CT abdominal studies utilizing 40% ASIR compared with filtered-back projection (FBP).

Materials and methods

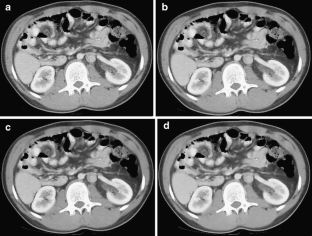
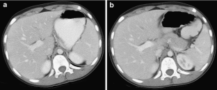
Eleven patients (mean age 8.5 years, range 2–17 years) had separate 40% ASIR and FBP enhanced abdominal CT studies on different days between July 2009 and October 2010. The ASIR studies utilized a 38% mA reduction in addition to our pediatric protocol mAs. Study volume CT dose indexes (CTDIvol) and dose-length products (DLP) were recorded. A consistent representative image was obtained from each study. The images were independently evaluated by two radiologists in a blinded manner for diagnostic utility, image sharpness and image noise.

Results

The average CTDIvol and DLP for the 40% ASIR studies were 4.25 mGy and 185.04 mGy-cm, compared with 6.75 mGy and 275.79 mGy-cm for the FBP studies, representing 37% and 33% reductions in both, respectively. The radiologists’ assessments of subjective image quality did not demonstrate any significant differences between the ASIR and FBP images.

Conclusion

In our experience, the use of 40% ASIR with a 38% decrease in mA lowers the radiation dose for children undergoing enhanced abdominal examinations by an average of 33%, while maintaining diagnostically acceptable images.

This is a preview of subscription content, access via your institution.

Fig. 1
Fig. 2
Fig. 3

References

  1. Slovis TL, Frush DP (2007) The effects of radiation in children. The alliance for radiation safety in pediatric imaging, image gently campaign. Available via http://www.pedrad.org/associations/5364/ig/. Accessed 15 Oct 2010

  2. Strauss KJ, Goske MJ, Kaste SC et al (2010) Image gently: ten steps you can take to optimize image quality and lower CT dose for pediatric patients. AJR 194:868–873

    PubMed  Article  Google Scholar 

  3. The Alliance for Radiation Safety in Pediatric Imaging (2007) How to develop CT protocols for children. The image gently campaign. Available via http://www.pedrad.org/associations/5364/files/Protocols.pdf. Accessed 12 Feb 2011

  4. Frush DP (2009) Radiation safety. Pediatr Radiol 39(Suppl 3):S385–S390

    Article  Google Scholar 

  5. Hopper KD, King SH, Lobell ME et al (1997) The breast: in-plane X-ray protection during diagnostic thoracic CT—shielding with bismuth radioprotective garments. Radiology 205:853–858

    PubMed  CAS  Google Scholar 

  6. Fricke BL, Donnely LF, Frush DP et al (2003) In-plane bismuth breast shields for pediatric CT: effects on dose and imaging quality using experimental and clinical data. AJR 180:407–411

    PubMed  Google Scholar 

  7. Coursey C, Frush D, Yoshizumi T et al (2008) Pediatric chest MDCT and tube current modulation: effect on radiation dose with breast shielding. AJR 190:54–61

    Article  Google Scholar 

  8. Greess H, Lutze J, Nomayr A et al (2004) Dose reduction in subsecond multislice spiral CT examination of children by online tube current modulation. Eur Radiol 14:995–999

    PubMed  Article  CAS  Google Scholar 

  9. Hsieh J (2008) Adaptive statistical iterative reconstruction. GE Healthcare, Waukesha

    Google Scholar 

  10. Silva AC, Lawder HJ, Hara A et al (2010) Innovations in CT dose reduction strategy: application of the adaptive statistical iterative reconstruction algorithm. AJR 194:191–199

    PubMed  Article  Google Scholar 

  11. Singh S, Kalra MK, Hsieh J et al (2010) Abdominal CT: comparison of adaptive statistical iterative reconstruction and filtered back projection techniques. Radiology 257:373–383

    PubMed  Article  Google Scholar 

  12. Sagara Y, Hara AK, Pavlicek W et al (2010) Abdominal CT: comparison of low-dose CT with adaptive statistical iterative reconstruction and routine-dose CT with filtered back projection in 53 patients. AJR 195:713–719

    PubMed  Article  Google Scholar 

  13. Hara AK, Paden RG, Silva AC et al (2009) Iterative reconstruction technique for reducing body radiation dose at CT: feasibility study. AJR 193:764–771

    PubMed  Article  Google Scholar 

  14. Marin D, Nelson RC, Schindera ST et al (2010) Low-tube voltage, high-tube current mulidetector abdominal CT: improved image quality and decreased radiation dose with adaptive statistical iterative reconstruction algorithm—initial clinical experience. Radiology 254:145–153

    PubMed  Article  Google Scholar 

  15. Prakash P, Kalra MK, Kambadakone AK et al (2010) Reducing abdominal CT radiation dose with adaptive statistical iterative reconstruction technique. Invest Radiol 45:202–210

    PubMed  Article  Google Scholar 

  16. Leipsic J, Labounty TM, Heilbron B et al (2010) Estimated radiation dose reduction using adaptive statistical iterative reconstruction in coronary CT angiography: the ERASIR study. AJR 195:655–660

    PubMed  Article  Google Scholar 

  17. Prakash P, Kalra MK, Ackman JB et al (2010) Diffuse lung disease: CT of the chest with adaptive statistical iterative reconstruction technique. Radiology 256:261–269

    PubMed  Article  Google Scholar 

  18. Flicek KT, Hara AK, Silva AC et al (2010) Reducing the radiation dose for CT colonography using adaptive statistical iterative reconstruction: a pilot study. AJR 195:126–131

    PubMed  Article  Google Scholar 

  19. Prakash P, Kalra MK, Digumarthy SR et al (2010) Radiation dose reduction with chest computed tomography using adaptive statistical iterative reconstruction technique: initial experience. J Comput Assist Tomogr 34:40–45

    PubMed  Article  Google Scholar 

  20. Leipsic J, Nguyen G, Brown J et al (2010) A prospective evaluation of dose reduction and image quality in chest CT using adaptive statistical iterative reconstruction. AJR 195:1095–1099

    PubMed  Article  Google Scholar 

Download references

Conflict of interest statement

A.P. and S.S.T. are consultants for GE Healthcare. The remaining authors (G.A.V., R.S.C., B.L.C. and T.S.) have no pertinent disclosures and had full control of the study data during the study.

Disclaimer

Dr. Panigrahy and Dr. Tadros are consultants for GE Healthcare. Drs. Vorona, Ceschin, Clayton and Sutcavage have no pertinent disclosures and had full control of the study data during the study period.

Author information

Affiliations

Authors

Corresponding author

Correspondence to Gregory A. Vorona.

Appendix

Appendix

Table 7 CT examination parameters

Rights and permissions

Reprints and Permissions

About this article

Cite this article

Vorona, G.A., Ceschin, R.C., Clayton, B.L. et al. Reducing abdominal CT radiation dose with the adaptive statistical iterative reconstruction technique in children: a feasibility study. Pediatr Radiol 41, 1174–1182 (2011). https://doi.org/10.1007/s00247-011-2063-x

Download citation

  • Received:

  • Revised:

  • Accepted:

  • Published:

  • Issue Date:

  • DOI: https://doi.org/10.1007/s00247-011-2063-x

Keywords

  • Adaptive statistical iterative reconstruction
  • Image quality
  • Radiation dose
  • Reconstruction algorithm
  • CT