Skip to main content

MR findings of synovial disease in children and young adults: Part 2

Abstract

Synovium is the thin membranous lining of a joint. It produces synovial fluid, which lubricates and nourishes the cartilage and bone in the joint capsule. Synovial diseases in children can be classified as normal structures as potential sources of pathology (synovial folds: plicae, infrapatellar fat pad clefts), noninfectious synovial proliferation (juvenile idiopathic arthritis, hemophilic arthropathy, lipoma arborescens, synovial osteochondromatosis, pigmented villonodular synovitis, reactive synovitis), infectious synovial proliferation (pyogenic arthritis, tuberculous arthritis), deposition disease (gouty arthropathy), vascular malformation, malignancy (metastasis) and intra-/periarticular cysts and cyst-like structures. Other intra-articular neoplasms, such as intra-articular synovial sarcoma, can mimic synovial disease in children.

This is a preview of subscription content, access via your institution.

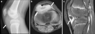
Fig. 1
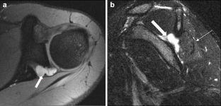
Fig. 2
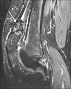
Fig. 3
Fig. 4
Fig. 5
Fig. 6
Fig. 7
Fig. 8
Fig. 9
Fig. 10
Fig. 11
Fig. 12
Fig. 13
Fig. 14

References

  1. Ranson M (2009) Imaging of pediatric musculoskeletal infection. Semin Musculoskelet Radiol 13:277–299

    PubMed  Article  Google Scholar 

  2. Zawin JK, Hoffer FA, Rand FF et al (1993) Joint effusion in children with an irritable hip: US diagnosis and aspiration. Radiology 187:459–463

    PubMed  CAS  Google Scholar 

  3. Jaramillo D, Treves ST, Kasser JR et al (1995) Osteomyelitis and septic arthritis in children: appropriate use of imaging to guide treatment. AJR 165:399–403

    PubMed  CAS  Google Scholar 

  4. Hopkins KL, Li KC, Bergman G (1995) Gadolinium-DTPA-enhanced magnetic resonance imaging of musculoskeletal infectious processes. Skeletal Radiol 24:325–330

    PubMed  Article  CAS  Google Scholar 

  5. Graif M, Schweitzer ME, Deely D et al (1999) The septic versus nonseptic inflamed joint: MRI characteristics. Skeletal Radiol 28:616–620

    PubMed  Article  CAS  Google Scholar 

  6. Karchevsky M, Schweitzer ME, Morrison WB et al (2004) MRI findings of septic arthritis and associated osteomyelitis in adults. AJR 182:119–122

    PubMed  Google Scholar 

  7. Yang WJ, Im SA, Lim GY et al (2006) MR imaging of transient synovitis: differentiation from septic arthritis. Pediatr Radiol 36:1154–1158

    PubMed  Article  Google Scholar 

  8. Kwack KS, Cho JH, Lee JH et al (2007) Septic arthritis versus transient synovitis of the hip: gadolinium-enhanced MRI finding of decreased perfusion at the femoral epiphysis. AJR 189:437–445

    PubMed  Article  Google Scholar 

  9. Kan JH, Young RS, Yu C et al (2010) Clinical impact of gadolinium in the MRI diagnosis of musculoskeletal infection in children. Pediatr Radiol 40:1197–1205

    PubMed  Article  Google Scholar 

  10. Leigh Moore S, Rafii M (2003) Advanced imaging of tuberculosis arthritis. Semin Musculoskelet Radiol 7:143–153

    PubMed  Article  Google Scholar 

  11. Harisinghani MG, McLoud TC, Shepard JA et al (2000) Tuberculosis from head to toe. Radiographics 20:449–470, quiz 528–449, 532

    PubMed  CAS  Google Scholar 

  12. Burk DL Jr, Dalinka MK, Kanal E et al (1988) Meniscal and ganglion cysts of the knee: MR evaluation. AJR 150:331–336

    PubMed  Google Scholar 

  13. Parmar H, Shah J, Patkar D et al (2004) Tuberculous arthritis of the appendicular skeleton: MR imaging appearances. Eur J Radiol 52:300–309

    PubMed  Article  Google Scholar 

  14. Hong SH, Kim SM, Ahn JM et al (2001) Tuberculous versus pyogenic arthritis: MR imaging evaluation. Radiology 218:848–853

    PubMed  CAS  Google Scholar 

  15. Choi JA, Koh SH, Hong SH et al (2009) Rheumatoid arthritis and tuberculous arthritis: differentiating MRI features. AJR 193:1347–1353

    PubMed  Article  Google Scholar 

  16. Erdem H, Baylan O, Simsek I et al (2005) Delayed diagnosis of tuberculous arthritis. Jpn J Infect Dis 58:373–375

    PubMed  Google Scholar 

  17. Schlesinger N, Thiele RG (2010) The pathogenesis of bone erosions in gouty arthritis. Ann Rheum Dis 69:1907–1912

    PubMed  Article  CAS  Google Scholar 

  18. Cassidy J, Peety R (2005) Musculoskeletal manifestations of systemic disease. In: Textbook of pediatric rheumatology, 5th edn. Elselvier, Philadelphia

  19. Gentili A (2003) Advanced imaging of gout. Semin Musculoskelet Radiol 7:165–174

    PubMed  Article  Google Scholar 

  20. Howell RR (1985) Juvenile gouty arthritis. Am J Dis Child 139:547

    PubMed  CAS  Google Scholar 

  21. Yarom A, Rennebohm RM, Strife F et al (1984) Juvenile gouty arthritis. Two cases associated with mild renal insufficiency. Am J Dis Child 138:955–957

    PubMed  CAS  Google Scholar 

  22. Mulliken JB, Glowacki J (1982) Hemangiomas and vascular malformations in infants and children: a classification based on endothelial characteristics. Plast Reconstr Surg 69:412–422

    PubMed  Article  CAS  Google Scholar 

  23. Legiehn GM, Heran MK (2006) Classification, diagnosis, and interventional radiologic management of vascular malformations. Orthop Clin North Am 37:435–474, vii–viii

    PubMed  Article  Google Scholar 

  24. Thompson KS, Reyes CV, Jensen J et al (1996) Synovial metastasis: diagnosis by fine-needle aspiration cytologic investigation. Diagn Cytopathol 15:334–337

    PubMed  Article  CAS  Google Scholar 

  25. Roidis N, Zachos V, Basdekis G et al (2007) Tumor-like meniscal cyst. Arthroscopy 23(111):e1–e6

    PubMed  Google Scholar 

  26. Abboud JA, Silverberg D, Glaser DL et al (2006) Arthroscopy effectively treats ganglion cysts of the shoulder. Clin Orthop Relat Res 444:129–133

    PubMed  Article  Google Scholar 

  27. Anderson JJ, Connor GF, Helms CA (2010) New observations on meniscal cysts. Skeletal Radiol 39:1187–1191

    PubMed  Article  Google Scholar 

  28. Reagan WD, McConkey JP, Loomer RL et al (1989) Cysts of the lateral meniscus: arthroscopy versus arthroscopy plus open cystectomy. Arthroscopy 5:274–281

    PubMed  Article  CAS  Google Scholar 

  29. Tung GA, Entzian D, Stern JB et al (2000) MR imaging and MR arthrography of paraglenoid labral cysts. AJR 174:1707–1715

    PubMed  CAS  Google Scholar 

  30. Fehrman DA, Orwin JF, Jennings RM (1995) Suprascapular nerve entrapment by ganglion cysts: a report of six cases with arthroscopic findings and review of the literature. Arthroscopy 11:727–734

    PubMed  Article  CAS  Google Scholar 

  31. Bedi A, Dodson C, Altchek DW (2010) Symptomatic SLAP tear and paralabral cyst in a pediatric athlete: a case report. J Bone Joint Surg Am 92:721–725

    PubMed  Article  Google Scholar 

  32. Marra MD, Crema MD, Chung M et al (2008) MRI features of cystic lesions around the knee. Knee 15:423–438

    PubMed  Article  Google Scholar 

  33. Soren A (1982) Pathogenesis, clinic, and treatment of ganglion. Arch Orthop Trauma Surg 99:247–252

    PubMed  Article  CAS  Google Scholar 

  34. Kang CN, Kim DW, Kim DJ et al (1999) Intra-articular ganglion cysts of the knee. Arthroscopy 15:373–378

    PubMed  Article  CAS  Google Scholar 

  35. Mine T, Ihara K, Tanaka H et al (2003) A giant ganglion cyst that developed in the infrapatellar fat and partly extended into the knee joint. Arthroscopy 19:E40

    PubMed  Article  Google Scholar 

  36. Volk M, Gmeinwieser J, Hanika H et al (1998) Ischiogluteal bursitis mimicking soft-tissue metastasis from a renal cell carcinoma. Eur Radiol 8:1140–1141

    PubMed  Article  CAS  Google Scholar 

  37. Sistla R, Tameem A, Vidyasagar JV (2010) Intra articular synovial sarcoma. Indian J Pathol Microbiol 53:115–116

    PubMed  Article  Google Scholar 

  38. Bixby SD, Hettmer S, Taylor GA et al (2010) Synovial sarcoma in children: imaging features and common benign mimics. AJR 195:1026–1032

    PubMed  Article  Google Scholar 

  39. McCarville MB, Spunt SL, Skapek SX et al (2002) Synovial sarcoma in pediatric patients. AJR 179:797–801

    PubMed  Google Scholar 

  40. Jones BC, Sundaram M, Kransdorf MJ (1993) Synovial sarcoma: MR imaging findings in 34 patients. AJR 161:827–830

    PubMed  CAS  Google Scholar 

  41. Siegel HJ, Sessions W, Casillas MA Jr et al (2007) Synovial sarcoma: clinicopathologic features, treatment, and prognosis. Orthopedics 30:1020–1025, quiz 1026–1027

    PubMed  Google Scholar 

Download references

Author information

Affiliations

Authors

Corresponding author

Correspondence to Hee K. Kim.

Rights and permissions

Reprints and Permissions

About this article

Cite this article

Kim, H.K., Zbojniewicz, A.M., Merrow, A.C. et al. MR findings of synovial disease in children and young adults: Part 2. Pediatr Radiol 41, 512–524 (2011). https://doi.org/10.1007/s00247-011-2007-5

Download citation

  • Received:

  • Revised:

  • Accepted:

  • Published:

  • Issue Date:

  • DOI: https://doi.org/10.1007/s00247-011-2007-5

Keywords

  • Synovial disease
  • MR
  • Children