Skip to main content

MR findings of synovial disease in children and young adults: Part 1

Abstract

Synovial diseases in children can be classified into normal structures as potential sources of pathology (synovial folds: plicae, infrapatellar fat pad clefts); noninfectious synovial proliferation (juvenile idiopathic arthritis, hemophilic arthropathy, lipoma arborescens, synovial osteochondromatosis, pigmented villonodular synovitis, reactive synovitis), and infectious synovial proliferation, deposition disease, vascular malformations, malignancy (including metastasis) and intra-articular/periarticular cysts and cyst-like structures (ganglia). Familiarity with characteristic MR imaging findings of synovial diseases in children and young adults will enable a more confident diagnosis for earlier intervention and directed therapy. The first part of this paper will cover potential pathology of normal synovial structures as well as noninfectious synovial proliferation.

This is a preview of subscription content, access via your institution.

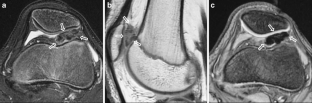
Fig. 1
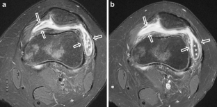
Fig. 2
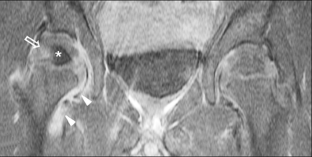
Fig. 3
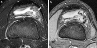
Fig. 4
Fig. 5
Fig. 6
Fig. 7
Fig. 8
Fig. 9
Fig. 10
Fig. 11
Fig. 12
Fig. 13
Fig. 14
Fig. 15
Fig. 16
Fig. 17
Fig. 18
Fig. 19
Fig. 20
Fig. 21
Fig. 22
Fig. 23
Fig. 24
Fig. 25
Fig. 26

References

  1. Petty R, Cassidy J (2005) Synovium. In: Textbook of pediatric rheumatology, 5th edn. Elsevier Sanders, Philadelphia, p 13

  2. McGonagle D, Tan AL, Moller Dohn U et al (2009) Microanatomic studies to define predictive factors for the topography of periarticular erosion formation in inflammatory arthritis. Arthritis Rheum 60:1042–1051

    PubMed  Article  Google Scholar 

  3. Sheldon PJ, Forrester DM, Learch TJ (2005) Imaging of intraarticular masses. Radiographics 25:105–119

    PubMed  Article  Google Scholar 

  4. Armstrong P, Saxton H (1972) Ilio-psoas bursa. Br J Radiol 45:493–495

    PubMed  Article  CAS  Google Scholar 

  5. Bresnihan B, Flanagan AM (2008) Synovium. In: Firestein GS (ed) Kelley’s textbook of rheumatology, 8th edn. W.B. Saunders Company, Philadelphia

    Google Scholar 

  6. Buchmann RF, Jaramillo D (2004) Imaging of articular disorders in children. Radiol Clin North Am 42:151–168, vii

    PubMed  Article  Google Scholar 

  7. Deutsch AL, Resnick D, Dalinka MK et al (1981) Synovial plicae of the knee. Radiology 141:627–634

    PubMed  CAS  Google Scholar 

  8. Garcia-Valtuille R, Abascal F, Cerezal L et al (2002) Anatomy and MR imaging appearances of synovial plicae of the knee. Radiographics 22:775–784

    PubMed  Google Scholar 

  9. Boles CA, Martin DF (2001) Synovial plicae in the knee. AJR 177:221–227

    PubMed  CAS  Google Scholar 

  10. Matsusue Y, Yamamuro T, Hama H et al (1994) Symptomatic type D (separated) medial plica: clinical features and surgical results. Arthroscopy 10:281–285

    PubMed  Article  CAS  Google Scholar 

  11. Bae DK, Nam GU, Sun SD et al (1998) The clinical significance of the complete type of suprapatellar membrane. Arthroscopy 14:830–835

    PubMed  Article  CAS  Google Scholar 

  12. Patel SJ, Kaplan PA, Dussault RG et al (1998) Anatomy and clinical significance of the horizontal cleft in the infrapatellar fat pad of the knee: MR imaging. AJR 170:1551–1555

    PubMed  CAS  Google Scholar 

  13. Vahlensieck M, Linneborn G, Schild H et al (2002) Hoffa’s recess: incidence, morphology and differential diagnosis of the globular-shaped cleft in the infrapatellar fat pad of the knee on MRI and cadaver dissections. Eur Radiol 12:90–93

    PubMed  Article  CAS  Google Scholar 

  14. Ravelli A, Martini A (2007) Juvenile idiopathic arthritis. Lancet 369:767–778

    PubMed  Article  CAS  Google Scholar 

  15. Wallace CA, Levinson JE (1991) Juvenile rheumatoid arthritis: outcome and treatment for the 1990s. Rheum Dis Clin North Am 17:891–905

    PubMed  CAS  Google Scholar 

  16. Petty RE, Southwood TR, Manners P et al (2004) International League of Associations for Rheumatology classification of juvenile idiopathic arthritis: second revision, Edmonton, 2001. J Rheumatol 31:390–392

    PubMed  Google Scholar 

  17. Weiss JE, Ilowite NT (2007) Juvenile idiopathic arthritis. Rheum Dis Clin North Am 33:441–470, vi

    PubMed  Article  Google Scholar 

  18. Gardner-Medwin JM, Killeen OG, Ryder CA et al (2006) Magnetic resonance imaging identifies features in clinically unaffected knees predicting extension of arthritis in children with monoarthritis. J Rheumatol 33:2337–2343

    PubMed  Google Scholar 

  19. Weiss PF, Arabshahi B, Johnson A et al (2008) High prevalence of temporomandibular joint arthritis at disease onset in children with juvenile idiopathic arthritis, as detected by magnetic resonance imaging but not by ultrasound. Arthritis Rheum 58:1189–1196

    PubMed  Article  Google Scholar 

  20. Gylys-Morin VM, Graham TB, Blebea JS et al (2001) Knee in early juvenile rheumatoid arthritis: MR imaging findings. Radiology 220:696–706

    PubMed  Article  CAS  Google Scholar 

  21. Herve-Somma CM, Sebag GH, Prieur AM et al (1992) Juvenile rheumatoid arthritis of the knee: MR evaluation with Gd-DOTA. Radiology 182:93–98

    PubMed  CAS  Google Scholar 

  22. Workie DW, Graham TB, Laor T et al (2007) Quantitative MR characterization of disease activity in the knee in children with juvenile idiopathic arthritis: a longitudinal pilot study. Pediatr Radiol 37:535–543

    PubMed  Article  Google Scholar 

  23. De Maeseneer M, Debaere C, Desprechins B et al (1999) Popliteal cysts in children: prevalence, appearance and associated findings at MR imaging. Pediatr Radiol 29:605–609

    PubMed  Article  Google Scholar 

  24. Rooney ME, McAllister C, Burns JF (2009) Ankle disease in juvenile idiopathic arthritis: ultrasound findings in clinically swollen ankles. J Rheumatol 36:1725–1729

    PubMed  Article  Google Scholar 

  25. Cuomo A, Pirpiris M, Otsuka NY (2006) Case report: biceps tenosynovial rice bodies. J Pediatr Orthop B 15:423–425

    PubMed  Google Scholar 

  26. Chung C, Coley BD, Martin LC (1998) Rice bodies in juvenile rheumatoid arthritis. AJR 170:698–700

    PubMed  CAS  Google Scholar 

  27. DiVito A, Kan JH (2008) Juvenile idiopathic arthritis with rice bodies. Pediatr Radiol 38:1263

    PubMed  Article  Google Scholar 

  28. Chau CL, Griffith JF, Chan PT et al (2003) Rice-body formation in atypical mycobacterial tenosynovitis and bursitis: findings on sonography and MR imaging. AJR 180:1455–1459

    PubMed  CAS  Google Scholar 

  29. Llauger J, Palmer J, Roson N et al (1999) Pigmented villonodular synovitis and giant cell tumors of the tendon sheath: radiologic and pathologic features. AJR 172:1087–1091

    PubMed  CAS  Google Scholar 

  30. Mooney NE (1983) Hemophilic arthropathy: a literature review. Orthop Nurs 2:37–38

    PubMed  Article  CAS  Google Scholar 

  31. Luck JV Jr, Silva M, Rodriguez-Merchan EC et al (2004) Hemophilic arthropathy. J Am Acad Orthop Surg 12:234–245

    PubMed  Google Scholar 

  32. Kerr R (2003) Imaging of musculoskeletal complications of hemophilia. Semin Musculoskelet Radiol 7:127–136

    PubMed  Article  Google Scholar 

  33. Arnold WD, Hilgartner MW (1977) Hemophilic arthropathy. Current concepts of pathogenesis and management. J Bone Joint Surg Am 59:287–305

    PubMed  CAS  Google Scholar 

  34. Doria AS (2010) State-of-the-art imaging techniques for the evaluation of haemophilic arthropathy: present and future. Haemophilia 16(Suppl 5):107–114

    PubMed  Article  Google Scholar 

  35. Donnelly LF, Bisset GS 3rd, Passo MH (1994) MRI findings of lipoma arborescens of the knee in a child: case report. Pediatr Radiol 24:258–259

    PubMed  Article  CAS  Google Scholar 

  36. Martin S, Hernandez L, Romero J et al (1998) Diagnostic imaging of lipoma arborescens. Skeletal Radiol 27:325–329

    PubMed  Article  CAS  Google Scholar 

  37. Vilanova JC, Barcelo J, Villalon M et al (2003) MR imaging of lipoma arborescens and the associated lesions. Skeletal Radiol 32:504–509

    PubMed  Article  Google Scholar 

  38. Murphey MD, Carroll JF, Flemming DJ et al (2004) From the archives of the AFIP: benign musculoskeletal lipomatous lesions. Radiographics 24:1433–1466

    PubMed  Article  Google Scholar 

  39. Sola JB, Wright RW (1998) Arthroscopic treatment for lipoma arborescens of the knee: a case report. J Bone Joint Surg Am 80:99–103

    PubMed  CAS  Google Scholar 

  40. Kistler W (1991) Synovial chondromatosis of the knee joint: a rarity during childhood. Eur J Pediatr Surg 1:237–239

    PubMed  Article  CAS  Google Scholar 

  41. Carey RP (1983) Synovial chondromatosis of the knee in childhood. A report of two cases. J Bone Joint Surg Br 65:444–447

    PubMed  CAS  Google Scholar 

  42. Murphey MD, Vidal JA, Fanburg-Smith JC et al (2007) Imaging of synovial chondromatosis with radiologic-pathologic correlation. Radiographics 27:1465–1488

    PubMed  Article  Google Scholar 

  43. Milgram JW (1977) Synovial osteochondromatosis: a histopathological study of thirty cases. J Bone Joint Surg Am 59:792–801

    PubMed  CAS  Google Scholar 

  44. Narvaez JA, Narvaez J, Ortega R et al (2003) Hypointense synovial lesions on T2-weighted images: differential diagnosis with pathologic correlation. AJR 181:761–769

    PubMed  Google Scholar 

  45. Alexander JE, Holder JC, McConnell JR et al (1987) Synovial osteochondromatosis. Am Fam Physician 35:157–161

    PubMed  CAS  Google Scholar 

  46. Neubauer P, Weber AK, Miller NH et al (2007) Pigmented villonodular synovitis in children: a report of six cases and review of the literature. Iowa Orthop J 27:90–94

    PubMed  Google Scholar 

  47. Layfield LJ, Meloni-Ehrig A, Liu K et al (2000) Malignant giant cell tumor of synovium (malignant pigmented villonodular synovitis). Arch Pathol Lab Med 124:1636–1641

    PubMed  CAS  Google Scholar 

  48. Murphey MD, Rhee JH, Lewis RB et al (2008) Pigmented villonodular synovitis: radiologic-pathologic correlation. Radiographics 28:1493–1518

    PubMed  Article  Google Scholar 

  49. Goldman AB, DiCarlo EF (1988) Pigmented villonodular synovitis. Diagnosis and differential diagnosis. Radiol Clin North Am 26:1327–1347

    PubMed  CAS  Google Scholar 

  50. Dorwart RH, Genant HK, Johnston WH et al (1984) Pigmented villonodular synovitis of synovial joints: clinical, pathologic, and radiologic features. AJR 143:877–885

    PubMed  CAS  Google Scholar 

  51. Huang GS, Lee CH, Chan WP et al (2003) Localized nodular synovitis of the knee: MR imaging appearance and clinical correlates in 21 patients. AJR 181:539–543

    PubMed  Google Scholar 

  52. Franceschi F, Marinozzi A, Papalia R et al (2006) Intra- and juxta-articular osteoid osteoma: a diagnostic challenge: misdiagnosis and successful treatment: a report of four cases. Arch Orthop Trauma Surg 126:660–667

    PubMed  Article  Google Scholar 

  53. Bauer TW, Zehr RJ, Belhobek GH et al (1991) Juxta-articular osteoid osteoma. Am J Surg Pathol 15:381–387

    PubMed  Article  CAS  Google Scholar 

  54. Chai JW, Hong SH, Choi JY et al (2010) Radiologic diagnosis of osteoid osteoma: from simple to challenging findings. Radiographics 30:737–749

    PubMed  Article  Google Scholar 

Download references

Author information

Affiliations

Authors

Corresponding author

Correspondence to Hee Kyung Kim.

Additional information

CME Activity

This article has been selected as the CME activity for the current month. Please visit the SPR website at www.pedrad.org on the Education page and follow the instructions to complete this CME activity.

Rights and permissions

Reprints and Permissions

About this article

Cite this article

Kim, H.K., Zbojniewicz, A.M., Merrow, A.C. et al. MR findings of synovial disease in children and young adults: Part 1. Pediatr Radiol 41, 495–511 (2011). https://doi.org/10.1007/s00247-011-1971-0

Download citation

  • Received:

  • Revised:

  • Accepted:

  • Published:

  • Issue Date:

  • DOI: https://doi.org/10.1007/s00247-011-1971-0

Keywords

  • Synovium
  • MR
  • Children