Skip to main content

Parenchymal and pleural abnormalities in children with and without pulmonary embolism at MDCT pulmonary angiography

Abstract

Background

Prior studies in adults suggest that a wedge-shaped peripheral consolidation may be predictive of pulmonary embolism (PE). In contrast, a previous study in children provided no evidence of an association between this finding and PE, but it was limited by a small sample size and was not specifically designed to answer this question.

Objective

To compare the frequencies of parenchymal and pleural abnormalities in children with and without PE at multidetector computed tomographic pulmonary angiography (CTPA).

Materials and methods

The study population included 22 consecutive pediatric patients (11 males, 11 females; mean age 13.2 ± 5.8 years; range 4 months to 18 years) with PE diagnosed by CTPA from July 2004 to January 2009 and identified using our hospital database. The comparison group included 22 randomly selected pediatric patients (10 males, 12 females; mean age 15.2 ± 3.3 years; range 5.6 to 18 years) who underwent CTPA studies without evidence of PE during the same study period. All CTPA studies were reviewed by consensus by two pediatric radiologists for the presence of parenchymal and pleural abnormalities including: wedge-shaped peripheral consolidation, other forms of consolidation, atelectasis, linear opacity, ground-glass opacity, mosaic attenuation pattern, nodule, mass, focal patchy increased attenuation, and pleural effusion. Differences in frequencies of parenchymal and pleural abnormalities between the two groups were analyzed by logistic regression to determine odds ratios for association with PE. The two groups were also compared with respect to risk factors for PE.

Results

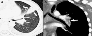
Wedge-shaped peripheral consolidation was seen in eight children (36%) with PE and in two children (9%) without PE [odds ratio = 5.7, 95% confidence interval (CI): 1.2 to 30, p = 0.03]. There were no significant differences in the frequency of other findings between the groups (all p-values > 0.10). Prior history of neoplasm was the only independent risk factor significantly associated with the presence of PE (p = 0.006).

Conclusion

Wedge-shaped peripheral consolidation is significantly associated with PE on CTPA studies of children. The identification of a wedge-shaped peripheral consolidation in children should alert radiologists to carefully evaluate for concurrent PE.

This is a preview of subscription content, access via your institution.

Fig. 1
Fig. 2
Fig. 3

References

  1. Kritsaneepaiboon S, Lee EY, Zurakowski D et al (2009) MDCT pulmonary angiography evaluation of pulmonary embolism in children. AJR 192:1246–1252

    Article  PubMed  Google Scholar 

  2. Victoria T, Mong A, Altes T et al (2009) Evaluation of pulmonary embolism in a pediatric population with high clinical suspicion. Pediatr Radiol 39:35–41

    Article  PubMed  Google Scholar 

  3. Lee EY, Kritsaneepaiboon S, Zurakowski D et al (2009) Beyond the pulmonary arteries: alternative diagnoses in children with MDCT pulmonary angiography negative for pulmonary embolism. AJR 193:888–894

    Article  PubMed  Google Scholar 

  4. Babyn PS, Gahunia HK, Massicotte P (2005) Pulmonary thromboembolism in children. Pediatr Radiol 35:258–274

    Article  PubMed  Google Scholar 

  5. Tapson VF (2008) Acute pulmonary embolism. N Engl J Med 358:1037–1052

    Article  CAS  PubMed  Google Scholar 

  6. Ritchie G, McGurk S, McCreath C et al (2007) Prospective evaluation of unsuspected pulmonary embolism on contrast enhanced multidetector CT (MDCT) scanning. Thorax 62:536–540

    Article  PubMed  Google Scholar 

  7. Schoepf UJ (2006) Pulmonary artery CTA. Tech Vasc Interv Radiol 9:180–191

    Article  PubMed  Google Scholar 

  8. Stein PD, Fowler SE, Goodman LR et al (2006) Multidetector computed tomography for acute pulmonary embolism. N Engl J Med 354:2317–2327

    Article  CAS  PubMed  Google Scholar 

  9. Schoepf UJ, Goldhaber SZ, Costello P (2004) Spiral computed tomography for acute pulmonary embolism. Circulation 109:2160–2167

    Article  PubMed  Google Scholar 

  10. Hayashino Y, Goto M, Noguchi Y et al (2005) Ventilation-perfusion scanning and helical CT in suspected pulmonary embolism: meta-analysis of diagnostic performance. Radiology 234:740–748

    Article  PubMed  Google Scholar 

  11. Coche EE, Muller NL, Kim KI et al (1998) Acute pulmonary embolism: ancillary findings at spiral CT. Radiology 207:753–758

    CAS  PubMed  Google Scholar 

  12. Shah AA, Davis SD, Gamsu G et al (1999) Parenchymal and pleural findings in patients with and patients without acute pulmonary embolism detected at spiral CT. Radiology 211:147–153

    CAS  PubMed  Google Scholar 

  13. Johnson PT, Wechsler RJ, Salazar AM et al (1999) Spiral CT of acute pulmonary thromboembolism: evaluation of pleuroparenchymal abnormalities. J Comput Assist Tomogr 23:369–373

    Article  CAS  PubMed  Google Scholar 

  14. Greaves SM, Hart EM, Brown K et al (1995) Pulmonary thromboembolism: spectrum of findings on CT. AJR 165:1359–1363

    CAS  PubMed  Google Scholar 

  15. Chintapalli K, Thorsen MK, Olson DL et al (1988) Computed tomography of pulmonary thromboembolism and infarction. J Comput Assist Tomogr 12:553–559

    Article  CAS  PubMed  Google Scholar 

  16. Revel MP, Triki R, Chatellier G et al (2007) Is it possible to recognize pulmonary infarction on multisection CT images? Radiology 244:875–882

    Article  PubMed  Google Scholar 

  17. Frush DP, Herlong JR (2005) Pediatric thoracic CT angiography. Pediatr Radiol 35:11–25

    Article  PubMed  Google Scholar 

  18. Hansell DM, Bankier AA, MacMahon H et al (2008) Fleischner Society: glossary of terms for thoracic imaging. Radiology 246:697–722

    Article  PubMed  Google Scholar 

  19. King S, Thomson A (2002) Radiological perspectives in empyema. Br Med Bull 61:203–214

    Article  PubMed  Google Scholar 

  20. Jaffe A, Calder AD, Owens CM et al (2008) Role of routine computed tomography in paediatric pleural empyema. Thorax 63:897–902

    Article  CAS  PubMed  Google Scholar 

  21. Newcombe RG (1998) Two-sided confidence intervals for the single proportion: comparison of seven methods. Stat Med 17:857–872

    Article  CAS  PubMed  Google Scholar 

  22. Hosmer DW, Lemeshow S (2000) Applied logistic regression, 2nd edn. Wiley, New York, pp 47–90

    Google Scholar 

  23. Balakrishnian J, Meziane MA, Siegelman SS et al (1989) Pulmonary infarction: CT appearance with pathologic correlation. J Comput Assist Tomogr 13:941–945

    Article  Google Scholar 

  24. Ren H, Kuhlman JE, Hruban RH et al (1990) CT of inflation-fixed lungs: wedge-shaped density and vascular sign in the diagnosis of infarction. J Comput Assist Tomogr 14:82–86

    CAS  PubMed  Google Scholar 

Download references

Author information

Affiliations

Authors

Corresponding author

Correspondence to Edward Y. Lee.

Rights and permissions

Reprints and Permissions

About this article

Cite this article

Lee, E.Y., Zurakowski, D., Diperna, S. et al. Parenchymal and pleural abnormalities in children with and without pulmonary embolism at MDCT pulmonary angiography. Pediatr Radiol 40, 173–181 (2010). https://doi.org/10.1007/s00247-009-1418-z

Download citation

  • Received:

  • Revised:

  • Accepted:

  • Published:

  • Issue Date:

  • DOI: https://doi.org/10.1007/s00247-009-1418-z

Keywords

  • Pulmonary embolism
  • Lung
  • Pleura
  • Computed tomographic pulmonary angiography
  • Children
  • Pleuroparenchymal findings
  • CT