Skip to main content

Soccer injuries in children

Abstract

Soccer is the most popular sport in the world, with FIFA recognising more than 265 million amateur players. Despite the fact that soccer is a contact sport, it is perceived to be relatively safe to play, a factor that has contributed to its status as the fastest growing team sport in the USA. Acute and minor injuries predominate in the statistics, with contusions and abrasions being the most commonly recorded. As would be expected, the majority of soccer injuries are to the lower limbs, with serious truncal and spinal trauma being rare. This article examines the type and anatomic location of injuries sustained by children and adolescents who play soccer, and the main mechanisms whereby such injuries occur. The risk factors underpinning injury occurrence are considered, along with injury avoidance tactics.

This is a preview of subscription content, access via your institution.

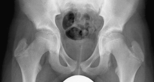
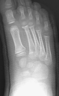
Fig. 1
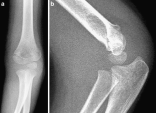
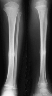
Fig. 2
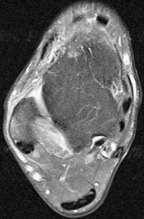
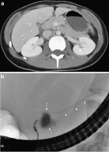
Fig. 3
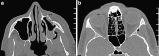
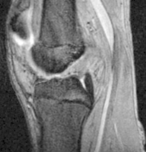
Fig. 4
Fig. 5
Fig. 6
Fig. 7
Fig. 8
Fig. 9
Fig. 10
Fig. 11
Fig. 12
Fig. 13
Fig. 14
Fig. 15

References

  1. Metzl JD (1999) Sports-specific concerns in the young athlete: soccer. Pediatr Emerg Care 15:130–134

    CAS  PubMed  Article  Google Scholar 

  2. Metzl JD, Micheli LJ (1998) Youth soccer: an epidemiologic perspective. Clin Sports Med 17:663–673

    Article  CAS  PubMed  Google Scholar 

  3. Giza E, Micheli LJ (2005) Soccer injuries. Med Sports Sci 49:140–169

    Article  Google Scholar 

  4. Kucera KL, Marshall SW, Kirkendall DT et al (2005) Injury history as a risk factor for incident injury in youth soccer. Br J Sports Med 39:462–466

    Article  CAS  PubMed  Google Scholar 

  5. Adams AL, Schiff MA (2006) Childhood soccer injuries treated in U.S. emergency departments. Acad Emerg Med 13:571–574

    Article  PubMed  Google Scholar 

  6. FIFA World Cup. Available via http://www.fifa.com. Accessed 01 Apr 2009

  7. Junge A, Cheung K, Edwards T et al (2004) Injuries in youth amateur soccer and rugby players—comparison of incidence and characteristics. Br J Sports Med 38:168–172

    Article  CAS  PubMed  Google Scholar 

  8. Pickett W, Streight S, Simpson K et al (2005) Head injuries in youth soccer players presenting to the emergency department. Br J Sports Med 39:226–231

    Article  CAS  PubMed  Google Scholar 

  9. The Football Association. Available via http://www.thefa.com. Accessed 13 Apr 2009

  10. Faude O, Junge A, Kindermann W et al (2005) Injuries in female soccer players. Am J Sports Med 33:1694–1706

    Article  PubMed  Google Scholar 

  11. Kibler WB (1993) Injuries in adolescent and preadolescent soccer players. Med Sci Sports Exercise 25:1330–1332

    CAS  Google Scholar 

  12. Price RJ, Hawkins RD, Hulse MA et al (2004) The Football Association medical research programme: an audit of injuries in academy youth football. Br J Sports Med 38:466–471

    Article  CAS  PubMed  Google Scholar 

  13. Backous DD, Friedl KE, Smith NJ et al (1988) Soccer injuries and their relation to physical maturity. Am J Dis Child 142:839–842

    CAS  PubMed  Google Scholar 

  14. Boyd KT, Brownson P, Hunter JB (2001) Distal radial fractures in young goalkeepers: a case for an appropriately sized soccer ball. Br J Sports Med 35:409–411

    Article  CAS  PubMed  Google Scholar 

  15. Hoff GL, Martin TA (1986) Outdoor and indoor soccer: injuries among youth players. Am J Sports Med 14:231–233

    Article  CAS  PubMed  Google Scholar 

  16. Schmidt-Olsen S, Bünemann LK, Lade V et al (1985) Soccer injuries of youth. Br J Sports Med 19:161–164

    Article  CAS  PubMed  Google Scholar 

  17. Lindenfeld TN, Schmitt DJ, Hendy MP et al (1994) Incidence of injury in indoor soccer. Am J Sports Med 22:364–371

    Article  CAS  PubMed  Google Scholar 

  18. Inklaar H, Bol E, Schmikli SL et al (1996) Injuries in male soccer players: team risk analysis. Int J Sports Med 17:229–234

    Article  CAS  PubMed  Google Scholar 

  19. Emery CA, Meeuwisse WH, Hartmann SE (2005) Evaluation of risk factors for injury in adolescent soccer. Implementation and validation of an injury surveillance system. Am J Sports Med 33:1882–1891

    Article  PubMed  Google Scholar 

  20. Leininger RE, Knox CL, Comstock RD (2007) Epidemiology of 1.6 million pediatric soccer-related injuries presenting to US emergency departments from 1990 to 2003. Am J Sports Med 35:288–293

    Article  PubMed  Google Scholar 

  21. Wong P, Hong Y (2005) Soccer injury in the lower extremities. Br J Sports Med 39:473–482

    Article  CAS  PubMed  Google Scholar 

  22. Powell JW, Barber-Foss KD (1999) Injury patterns in selected high school sports: a review of the 1995–1997 seasons. J Athlet Train 34:277–284

    CAS  Google Scholar 

  23. Barnes BC, Cooper L, Kirkendall DT et al (1998) Concussion history in elite male and female soccer players. Am J Sports Med 26:433–438

    CAS  PubMed  Google Scholar 

  24. The Society of Chiropodists and Podiatrists. Feet for life. Available via http://www.feetforlife.org. Accessed 13 Apr 2009

  25. Cattermole HR, Hardy JR, Gregg PJ (1996) The footballer’s fracture. Br J Sports Med 30:171–175

    Article  CAS  PubMed  Google Scholar 

  26. Boden BP, Lohnes JH, Nunley JA et al (1999) Tibia and fibula fractures in soccer players. Knee Surg Sports Traumatol Arthrosc 7:262–266

    Article  CAS  PubMed  Google Scholar 

  27. Vinger PF, Capão Filipe JA (2004) The mechanism and prevention of soccer eye injuries. Br J Ophthalmol 88:167–168

    Article  CAS  PubMed  Google Scholar 

  28. Centers for Disease Control and Prevention (CDC) (1994) Injuries associated with soccer goalposts—United States, 1979–1993. Morb Mortal Wkly Rep 43:153–155

    Google Scholar 

  29. Mueller FO, Cantu RC (n.d.) National Center for Catastrophic Sport Injury Research, 25th annual report; fall 1982-spring 2007. Available via http://www.unc.edu/depts/nccsi. Accessed 13 Apr 2009

  30. McAleer IM, Kaplan GW, LoSasso BE (2002) Renal and testis injuries in team sports. J Urol 168:1805–1807

    Article  PubMed  Google Scholar 

  31. Zeren B, Öztekin HH (2005) Score-celebration injuries among soccer players. A report of 9 cases. Am J Sports Med 33:1237–1240

    Article  PubMed  Google Scholar 

  32. Kirkendall DT, Jordan SE, Garrett WE (2001) Heading and head injuries in soccer. Sports Med 31:369–386

    Article  CAS  PubMed  Google Scholar 

  33. US Consumer Product Safety Commission (1995) National electronic injury surveillance system data (January 1992 through October 1994). US Consumer Product Safety Commission, Washington, DC

    Google Scholar 

  34. Macgregor DM (2003) Don’t save the ball! Br J Sports Med 37:351–353

    Article  CAS  PubMed  Google Scholar 

  35. Delaney JS, Frankovich R (2005) Head injuries and concussions in soccer. Clin J Sports Med 15:216–219

    Article  Google Scholar 

  36. Stokes MA, McKeever JA, McQuillan RF et al (1994) A season of football injuries. Ir J Med Sci 163:290–293

    Article  CAS  PubMed  Google Scholar 

  37. Schwebel DC, Banaszek MM, McDaniel M (2007) Behavioural risk factors for youth soccer (football) injury. J Pediatr Psychol 32:411–416

    Article  PubMed  Google Scholar 

  38. Söderman K, Pietila T, Alfredson H et al (2002) Anterior cruciate ligament injuries in young females playing soccer at senior levels. Scand J Med Sci Sports 12:65–68

    Article  PubMed  Google Scholar 

  39. Demorest RA, Landry GL (2003) Prevention of pediatric sports injuries. Curr Sports Med Rep 2:337–343

    PubMed  Google Scholar 

  40. Fauno P, Wulff Jakobsen B (2006) ACL injuries in soccer. Int J Sports Med 27:75–79

    Article  CAS  PubMed  Google Scholar 

  41. Roos EM (2005) Joint injury causes knee osteoarthritis in young adults. Curr Opin Rheumatol 17:195–200

    Article  PubMed  Google Scholar 

  42. Madden CC, Mellion MB (1996) Sever’s disease and other causes of heel pain in adolescents—includes patient information sheets. Am Fam Physician 54:1995–2000

    CAS  PubMed  Google Scholar 

  43. Fredberg U, Bolvig L, Andersen NT (2008) Prophylactic training in asymptomatic soccer players with ultrasonographic abnormalities in Achilles and patellar tendons. The Danish Super League study. Am J Sports Med 36:451–460

    Article  PubMed  Google Scholar 

  44. Bir CA, Cassatta SJ, Janda DH (1995) An analysis and comparison of soccer shin guards. Clin J Sport Med 5:95–99

    Article  CAS  PubMed  Google Scholar 

  45. Francisco AC, Nightingale RW, Guilak F et al (2000) Comparison of soccer shin guards in preventing tibia fracture. Am J Sports Med 28:227–233

    CAS  PubMed  Google Scholar 

  46. Walker J, Jakobsen J, Brown S (2002) Attitudes concerning mouthguard use in 7- to 8-year-old children. J Dent Child 69:207–211

    CAS  Google Scholar 

  47. Blønd L, Hansen LB (1999) Injuries caused by falling soccer goalposts in Denmark. Br J Sports Med 33:110–112

    Article  PubMed  Google Scholar 

Download references

Author information

Affiliations

Authors

Corresponding author

Correspondence to Anne Paterson.

Rights and permissions

Reprints and Permissions

About this article

Cite this article

Paterson, A. Soccer injuries in children. Pediatr Radiol 39, 1286–1298 (2009). https://doi.org/10.1007/s00247-009-1416-1

Download citation

  • Received:

  • Revised:

  • Accepted:

  • Published:

  • Issue Date:

  • DOI: https://doi.org/10.1007/s00247-009-1416-1

Keywords

  • Soccer
  • Children
  • Anterior cruciate ligament
  • Celebration injury
  • Overuse injury
  • Falling goalpost